
cleft lip (bilateral)

cleft palate

bifid uvula

submucous palatal cleft with bifid uvula
what syndrome is depicted?
hint: patient also has CP and glossoptosis

pierre robin sequence represented by mandibular micrognathia

commissural lip pit

paramedian lip pits
what syndrome is depicted?
hint: patient also has paramedian lip pits

van der Woude syndrome
(paramedian lip pits and CP and/or CL)

double lip
what syndrome is depicted?
hint: patient also has double lip and nontoxic thyroid enlargement

ascher syndrome, as depicted by edema of the upper eyelids (blepharochalasis)

fordyce’s granules of the upper lip (top picture) and buccal mucosa (lower picture)

leukoedema
whiteness disappears when buccal mucosa is stretched (lower right picture)

microglossia

macroglossia
lower picture: associated with down syndrome

ankyloglossia

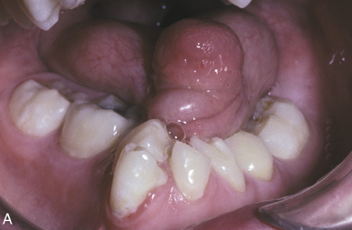
lingual thyroid

fissured tongue
aka scrotal tongue

hairy tongue

coated tongue

geographic tongue

lateral facial cleft

oblique facial cleft

median cleft of upper lip

aglossia