
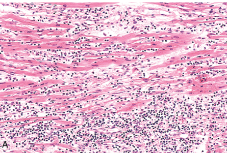
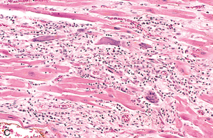
acute myocarditis

Chronic, hypersensitivity myocarditis
Multinucleate giant cells

Atrial septal defect
L to R

Patent ductus arteriosus
L to R

Ventricular Septal Defect
42%
L to R

myxoma

rheumatic valvular disease

calcific aortic stenosis

scarlet fever
what are the two leading causes of death in the US?
what’s the MC mechanism of heart disease?
contractile (pump) failure
Why, when a patient has heart failure/CHF, can they not meet tissue demands?
what dysfunctions cause decreased cardiac output?
what are the risks for systolic dysfunction?
CAD, systemic HTN, decreased pH
what are the risks for diastolic dysfunction?
Females
myocardial fibrosis, amyloidosis, left-sided hypertrophy, pericardial tamponade
what is forward failure? backward failure? are they typically found together or separate? what organs do they affect?
forward: insufficient output = hypoxia
backward: venous congestion – increased venous volume/pressure
forward failure is almost always combined with backward failure – affects virtually every organ
what are 3 adaptations that occur with the heart?
what is the Frank-Starling mechanism?
increased ventricular stretch = stronger contraction
benefit: increased output
cost: increased O2 , increased tension
compensated heart failure
what are neurohumoral mechanisms of heart adapation?
NE: increased heart rate, increased contractility, R-A-A system (increase BP)
ANP: vasodilation (balances NE)
Why does cardiac hypertrophy occur?
when the heart gets overloaded.
can be physiological or pathological
increases O2 consumption
what are the symptoms of left sided heart failure? right sided?
left sided: short of breath, fatigue
right sided: edema in legs (pitting edema) and liver failure
what is the ‘good’ type of cardiac hypertrophy? the ‘bad’ type? How can you tell the difference?
good: eccentric hypertrophy
bad: concentric hypertrophy
can tell the difference by looking at the ratio of wall to chamber size
what causes left-sided heart failure?
IHD (CAD), HTN, valve disorders (mitral & aortic), primary myocardial disease
once the left ventricle hypertrophies, what else in the heart can dilate? which causes what?
the left atria– atria fibrillation atrial thrombi (stroke)