What values on PFT indicate a restrictive disease?
Name the interstitial (restrictive) lung diseases that cause fibrosis.
A disease caused by irritiants and toxins that cause waves of inflammation (endothelial activation/injury), causing wound healing and interstitial fibrosis, damaging lung tissue in the alveoli “SCARING LUNG TISSUE”
IPF (Interstitial pulmonary fibrosis)
Idiopathic Pulmonary Fibrosis is a disorder where waves of inflammation and injury lead to fibrosis.
What clinical findings will we see in a patient?
Idiopathic Pulmonary Fibrosis (IPF) has no known cause. However, what populations do we see it highest in?
1. Increasing age (>50)
2. Smokers
3. Industrial areas
What is the pathogenic mechanism of IPF?
Idiopathic pulmonary fibrosis is a disease most common in which age group?
>50
Diagnosis of IPF requires what?
Classic findings on CT or biopsy of the lungs showing UIP (usual interstitial pneumonia).
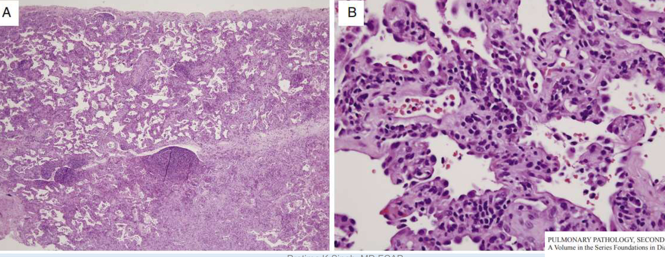
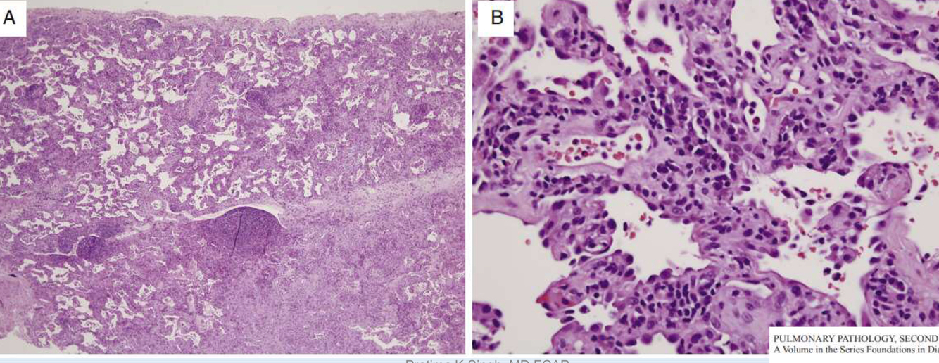
On biopsy, what do we see in IPF (Idiopathic Pulmonary Fibrosis)?
4 different findings because IPF occurs in a wave:
Microscopically, what is the hallmark of Idiopathic Pulmonary Fibrosis; there is coexistence of what?
What is honeycomb fibrosis?
Cystic spaces of air that are lined with type 2 pneumocytes or bronchiolar epithelium
What indicates that we have an early lesion formed by IPF?
Fibroblastic proliferation (fibroblastic foci)
What is the course of IPF?
Progressive. If diagnosis is made, most people die 3-5 years after unless transplant
What are potential treatments to IPF?
Why is it important to recognize pt’s with Nonspecific Interstitial Pneumonia?
Have much better prognosis than those w/ UIP
What is a major morphological difference between the lesions of Nonspecific Interstitial Pneumonia and Idiopathic Pulmonary Fibrosis?
What 4 morphologial findings are does Nonspecific Interstitial Pneumonia NOT have?
What is this?

Nonspecific Interstitial Pneumonia (NIP);
Uniform pattern of inflammation; interstitium is thick and has inflammatory cells; all same age
Which population is most likely to be affected by Nonspecific Interstitial Pneumonia?
How do patients with Cryptogenic Organizing Pneumonia (COP) present and what is seen radiographically?
1. 50/60s
.
What is the hallmarkhistology seen with Cryprogenic Organizing Pneumonia, inflammation of the small airways (bronchioles)?
Intraalveolar fibrosis: plugs of loose, swirly CT (fibroblast foci called Masson bodies in alveoli, alveolar ducts and bronchioles, which is the bodies attempt at fibrosis and scar formation.
Walls will be okay (not harmed)

How do we diagnose COP?
Diagnosis of exclusion: make sure not infection, toxins, other CT disorder.
Does honeycombing or interstitial fibrosis occur in COP (crytogenic organizing pneumo)
NO
Prognosis and Tx of Cryprogenic Organizing Pneumonia?