What is the morphology of Vibrio cholerae?
Comma-shaped; gram (-) bacteria
What is the reservoir and mode of transmission for Vibrio cholerae?
Reservoir = shellfish
MOT = fecal-oral; water
Is Vibrio cholerae invasive and which components of the organism are related to its virulence?
In severe cases of Cholera what are the signs and symptoms?
What are the characteristics of the diarrhea?
When is the onset?
What is the rate of diarrhea in severe cases of cholera and what problems can this create?
When do most deaths occur?
Treatment?
What is the morphology and mode of transmission for Campylobacter spp.?
What is the most common bacterial enteric pathogen in developed countries and important cause of traveler’s diarrhea?
Campylobacter jejuni
What are the 4 major properties contributing to the virulence of Campylobacter jejuni?
What are some of the signs and symptoms of Campylobacter infection?
How can sx’s of a fever be produced?
What is the association of Campylobacter infection and HLA-B27?
Can result in reactive arthritis
What are 2 possible complications of Campylobacter infection that are not HLA linked?
*NOT HLA linked, like reactive arthritis
How is the diagnosis of Campylobacter infection made?
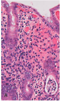
Which immune cell infiltrates predominate and where are they found?
What is the affect of Campylobacter infection on crypt architecture?

What is the morphology of Shigella?
Mode of transmission?
Reservoir?
- MOT = fecal-oral, food, water
- Reservoir = humans
Shigella is one of the most common causes of?
Dysentery (blood diarrhea)
Where are the most common sites for infection by Shigella and who is most at risk?
Most deaths occur in whom?
Why is such a low infective dose of Shigella required to cause symptoms?
Once Shigella are in the intestine how are they taken up and what do they do?
All Shigella spp. carry which virulence plasmids allowing for direct injeciton of bacterial proteins into host cytoplasm?
Type III secretion system
Shigella dysenteriae serotype 1 are able to release which special toxin and what does this cause?
Shigella most prominently infect which part of the GI, likely due to what?
What is the morphology of the mucosa?
What is the most common clinical presentation of a pt w/ Shigella infection?
Complications of Shigella infection are related to which immune system component and presents as a triad of sx’s most commonly in which patient population?
1) Sterile reactive arthritis
2) Urethritis
3) Conjunctivitis
The Shigella dysenteriae serotype 1 that secretes shiga toxin is somtimes associated w/ what clinical complication?
Hemolytic-uremic syndrome (typically assoc. w/ EHEC)