Sarcomas with complex karyotypes which are pleomorphic and genetically heterogenous and carry a poor prognosis are most often seen in whom?
Adults
Most soft tissue tumors are sporadic, but there is a minority that is associated with germline mutations such as what?
Tumor Suppressor gene: NF1, Gardner, Li-Fraumeni, Osler-Weber-Rendu
Environmental exposure: radiation, burns, toxins
what is the cytogenic abnormality associated with ewing sarcoma family tumors?
t(11;22)(q24;q12)
A well-encapsulated mass of mature adipocytes that is soft, mobile, and painless arising most commonly in adults is known as what?
Lipoma

what is lipomatosis?
when multifocal lipomas involve a limb
what is the histology of a lipoma?
encapsulated mass of normal appearing adipose tissue
Liposarcoma most often arises in whom and in which locations?
-They recur locally repeatedly, unless completely excised

what are the 3 different histologic variants of a liposarcoma?
well differentiated, myxoid, and pleomorphic
Which genetic abberations is associated with the myxoid type of liposarcomas?
t(12;16) –> 12q encodes MDM2 a potent inhibitor of p53

Which genetic abberation is associated with the well-differentiated type of liposarcoma?
12q13-q15 –> 12q encodes MDM2 a potent inhibitor of p53

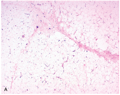
What is the morphology of the well-differentiated type of liposarcoma?
Contains mature adipocytes with scattered atypical spindle cells

What is the morphology of the myxoid type of liposarcoma?
abundant Basophilic myxoid matrix, arborizing capillaries (“chicken-wire”) + primitive cells at various stages of adipocyte differentiation

Which age group is the myxoid type of liposarcoma most common in and where in the body do they arise?
30 y/o arising in the thigh and leg

Which translocation is associated with nodular fasciitis?
t(17;22) –> MYH9-USP6 fusion gene

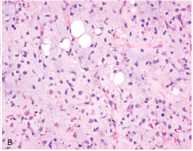
What is the histology associated with the pleomorphic complex karyotype of liposarcoma?
sheets of anaplastic cells with bizarre nuclei admixed with variable numbers of immature adipocytes= lipoblasts
What are the 3 classes of fibrous tumors?
nodular fasciitis, superficial fibromatoses, and deep fibromatosis (desmoid tumors)
What is a self-limited fibroblastic and myofibroblastic proliferation usually seen in young adults in the upper extremity?
nodular fasciitis
A history of what is seen in some cases of nodular fasciitis?
Trauma
Whom does nodular fasciitis arise in and in which locations; describe its typical presentation.

what is the translocation associated with nodular fasciitis?
t(17;22) → MYH9-USP6 fusion gene = clonal, self-limited, proliferation
What is the prognosis and tx of nodular fasciitis?
Often spontaneously regress and if excised, rarely recurs
What occurs in the palmar (dupuytren contracture) subtype of superficial fibromatosis?

Which fibrous soft tissue tumors are large, infiltrative masses that frequently recur, but do not metastasize?
Deep Fibromatosis (Desmoid Tumors)

Patients with what germline mutation and syndrome are predisposed to developing deep fibromatosis (desmoid tumors)?
APC mutations –> familial adenomatous polyposis (FAP) - Gardner syndrome
