Chapter 26: Soft Tissue Flashcards

(38 cards)

1
Q

Sarcomas with complex karyotypes which are pleomorphic and geneticaly heterogenous and carry a poor prognosis are most often seen in whom?

A

Adults

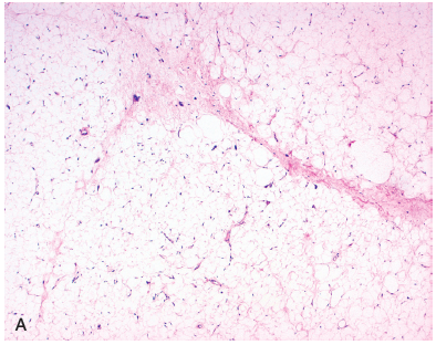
How well did you know this?
1
Not at all
2
3
4
5
Perfectly
2
Q

A well-encapsulated mass of mature adipocytes that is soft, mobile, and painless arising most commonly in adults is known as what?

A

Lipoma

How well did you know this?
1
Not at all
2
3
4
5
Perfectly
3
Q

Liposarcoma most often arises in whom and in which locations?

A
  • Common malignant ST tumor, adults (50-60 y/o)
  • Arise in deep ST of prox. extremities and retroperitoneum
How well did you know this?
1
Not at all
2
3
4
5
Perfectly
4
Q

Which genetic abberations is associated with the myxoid type of liposarcomas?

A

t(12;16) –> 12q encodes MDM2 a potent inhibitor of p53

How well did you know this?
1
Not at all
2
3
4
5
Perfectly
5
Q

Which genetic abberation is associated with the well-differentiated type of liposarcoma?

A

12q13-q15 –> 12q encodes MDM2 a potent inhibitor of p53

How well did you know this?
1
Not at all
2
3
4
5
Perfectly
6
Q

What is the morphology of the well-differentiated type of liposarcoma?

A

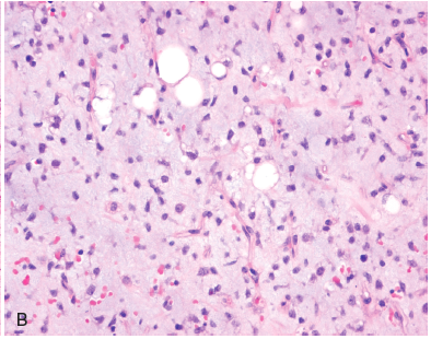
Contains adipocytes with scattered atypical spindle cells

How well did you know this?
1
Not at all
2
3
4
5
Perfectly
7
Q

What is the morphology of the myxoid type of liposarcoma?

A

Basophilic myxoid matrix, arborizing capillaries (“chicken-wire”) + primitive cells at various stages of adipocyte differentiation

How well did you know this?
1
Not at all
2
3
4
5
Perfectly
8
Q

Which age group is the myxoid type of liposarcoma most common in and where in the body do they arise?

A

30 y/o arising in the thigh and leg

How well did you know this?
1
Not at all
2
3
4
5
Perfectly
9
Q

Which translocation is associated with nodular fasciitis?

A

t(17;22) –> MYH9-USP6 fusion gene

How well did you know this?
1
Not at all
2
3
4
5
Perfectly
10
Q

A history of what is seen in some cases of nodular fasciitis?

A

Trauma

How well did you know this?
1
Not at all
2
3
4
5
Perfectly
11
Q

Whom does nodular fasciitis arise in and in which locations; describe its typical presentation.

A
  • Appear in UE’s (arms, forearm) of young adults (20-30 yo)
  • Grow rapidly over several weeks or months; typically no larger than 5cm
How well did you know this?
1
Not at all
2
3
4
5
Perfectly
12
Q

What is the prognosis and tx of nodular fasciitis?

A

Often spontaneously regress and if excised, rarely recurs

How well did you know this?
1
Not at all
2
3
4
5
Perfectly
13
Q

What occurs in the palmar (dupuytren contracture) subtype of superficial fibromatosis?

A
  • Irregular or nodular thickening of the palmar fascia; unilateral or bilaterally
  • Slow progression to flexion contracture, mainly affecting 4th and 5th fingers of hand
How well did you know this?
1
Not at all
2
3
4
5
Perfectly
14
Q

Which fibrous soft tissue tumors are large, infiltrative masses that frequently recur, but do not metastasize?

A

Deep Fibromatosis (Desmoid Tumors)

How well did you know this?
1
Not at all
2
3
4
5
Perfectly
15
Q

Patients with what germline mutation and syndrome are predisposed to developing deep fibromatosis (desmoid tumors)?

A

APC mutations –> familial adenomatous polyposis (FAP) - Gardner syndrome

How well did you know this?
1
Not at all
2
3
4
5
Perfectly
16
Q

Which age group and sex most often develop Deep Fibromatosis (desmoid tumors); where do they arise?

A
  • Women in teens to 30’s
  • Arise in anterior abdominal wall but may also be seen in limb girdles or the mesentery
17
Q

Mutations in which 2 genes are associated with Deep Fibromatosis (desmoid tumors)?

A

APC or β-catenin —>Wnt signaling

18
Q

What is the characteristic histologic pattern of Deep Fibromatosis (Desmoid Tumors)?

A

Cytologically bland fibroblasts arranged in broad sweeping fascicles amid dense collagen; histology resembles scar

19
Q

What is the clinical course of Deep Fibromatosis (Desmoid Tumors) and how are they dealt with?

A
  • May be disfiguring and disabling; may be painful
  • Because of extensive infiltration, may be difficult to resect
20
Q

What are the most common soft tissue sarcomas of childhood and adolescence?

A

Embryonal and alveolar type of rhabdomyosarcoma

21
Q

Where do the pediatric forms of rhabdomyosarcomas most often arise?

A

Siuses, head and neck, and GU tract

22
Q

Which genetic aberrations and translocations are associated with alveolar rhabdomyosarcomas?

A

Fusion of FOXO1 with either PAX3 = (2;13) or PAX7 = (1;13)

23
Q

What is the morphology of alveolar rhabdomyosarcomas?

A
  • Networks of fibrous septae dividing cells into clusters and aggregates; centers are dischohesive
  • Resemblance to pulmonary alveoli
  • Cross striations are not a common feature
24
Q

In sarcoma botryoides, where the tumor cells abut the mucosa of an organ, they form a submucosal zone of hypercellularity called what?

A

Cambium layer

25
Where does embryonal rhabdomyosarcoma most often arise, characteristic morphology, and age group?
- Arise in **genitourinary tract** - Patients **1-5 y/o** - **Primitive spindle cells**, **_"strap cells_****_"_**
26
What is tx for rhabdomyosarcoma; which variant has the best and which has the worst prognosis?
- Tx is **surgery** + **chemotherapy**, with or without **radiation** - **Botryoid** variant = **best prognosis** - **Pleomorphic** variant = **worse prognosis**
27
Phenotype of multiple cutaneos leiomuomas may be transmitted as an **autosomal dominant** trait associated with what?
**Uterine leiomyomas** + **renal cell carcinoma** --\> **hereditary leiomyomatosis** and **renal cell cancer syndorme**
28
Hereditary leiomyomatosis and renal cell cancer syndorme is due to what mutation and loss of what?
**Germline** loss-of-function mutation in **fumarate hydratase** gene on **1q42.3**
29
Soft tissue leiomyomas are usually 1-2 cm and are composed of what?
**Fascicles** of _densely_ **eosinophilic** spindle cells that tend to _intersect_ each other at **right angles**
30
Leiomyosarcomas most often develop in which age group, sex, and structures; common presentation?
- Present as **painless firm masses**, most often in **women** who are **40-60 y/o** - Arise in **deep ST's** of the **extremities** and **retroperitoneum**
31
Morphology of Leiomyosarcomas?
**Pleomorphic** **eosinophilic** spindle cells w/ **blunt-ended**, hyperchromatic nuclei arranged in **interweaving fascicles**
32
Leiomyosarcomas arising where are particularly deadly?
Those arising from **great vessels**, especially the **IVC**
33
Leiomyosarcomas will stain positive for what?
**Antibodies** to **smooth muscle actin** and **desmin**
34
How does Synovial Sarcoma typically present and in which age group?
Pt's in their **20s-40s** presenting with **deep-seated mass** in **thigh, leg, chest wall** or **head and neck** that has been present for **several years**
35
Which characteristic chromosomal translocation is associated with Synovial Sarcomas?
**t(x;18)** producing ***SS18-SSX1, -SSX2,*** *or **-SSX4***
36
Synovial sarcomas, especially the biphasic type can be differentiated from other sarcoma by (+) immunohistochemical staining for what?
**Epithelial markers** (i.e., **keratin**)
37
Characteristic morphology of Synovial Sarcoma and how do the monophasic vs. biphasic types differ?
- **Tight fascicles** of **_uniform_** **basophilic spindle cells** - **Biphasic type** also contains **_gland-like structures_**
38
What is the prognosis of Synovial Sarcomas and where do they metastasize?
- **5-year** of **25%** to **62%** related to **_stage**_ and _**patient age_** - Commonly metz to **lung** and **regional LN's**