Sarcomas with complex karyotypes which are pleomorphic and geneticaly heterogenous and carry a poor prognosis are most often seen in whom?
Adults
A well-encapsulated mass of mature adipocytes that is soft, mobile, and painless arising most commonly in adults is known as what?
Lipoma

Liposarcoma most often arises in whom and in which locations?

Which genetic abberations is associated with the myxoid type of liposarcomas?
t(12;16) –> 12q encodes MDM2 a potent inhibitor of p53

Which genetic abberation is associated with the well-differentiated type of liposarcoma?
12q13-q15 –> 12q encodes MDM2 a potent inhibitor of p53

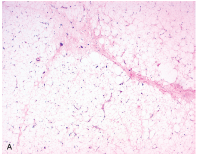
What is the morphology of the well-differentiated type of liposarcoma?
Contains adipocytes with scattered atypical spindle cells

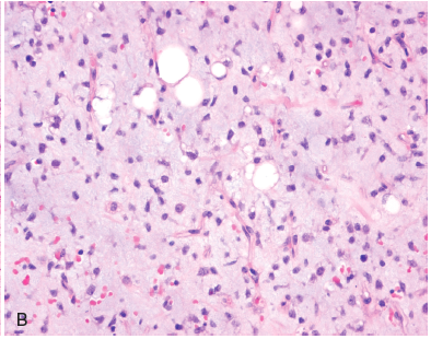
What is the morphology of the myxoid type of liposarcoma?
Basophilic myxoid matrix, arborizing capillaries (“chicken-wire”) + primitive cells at various stages of adipocyte differentiation

Which age group is the myxoid type of liposarcoma most common in and where in the body do they arise?
30 y/o arising in the thigh and leg

Which translocation is associated with nodular fasciitis?
t(17;22) –> MYH9-USP6 fusion gene

A history of what is seen in some cases of nodular fasciitis?
Trauma
Whom does nodular fasciitis arise in and in which locations; describe its typical presentation.

What is the prognosis and tx of nodular fasciitis?
Often spontaneously regress and if excised, rarely recurs
What occurs in the palmar (dupuytren contracture) subtype of superficial fibromatosis?

Which fibrous soft tissue tumors are large, infiltrative masses that frequently recur, but do not metastasize?
Deep Fibromatosis (Desmoid Tumors)

Patients with what germline mutation and syndrome are predisposed to developing deep fibromatosis (desmoid tumors)?
APC mutations –> familial adenomatous polyposis (FAP) - Gardner syndrome

Which age group and sex most often develop Deep Fibromatosis (desmoid tumors); where do they arise?

Mutations in which 2 genes are associated with Deep Fibromatosis (desmoid tumors)?
APC or β-catenin —> ↑ Wnt signaling

What is the characteristic histologic pattern of Deep Fibromatosis (Desmoid Tumors)?
Cytologically bland fibroblasts arranged in broad sweeping fascicles amid dense collagen; histology resembles scar

What is the clinical course of Deep Fibromatosis (Desmoid Tumors) and how are they dealt with?
What are the most common soft tissue sarcomas of childhood and adolescence?
Embryonal and alveolar type of rhabdomyosarcoma

Where do the pediatric forms of rhabdomyosarcomas most often arise?
Siuses, head and neck, and GU tract

Which genetic aberrations and translocations are associated with alveolar rhabdomyosarcomas?
Fusion of FOXO1 with either PAX3 = (2;13) or PAX7 = (1;13)

What is the morphology of alveolar rhabdomyosarcomas?

In sarcoma botryoides, where the tumor cells abut the mucosa of an organ, they form a submucosal zone of hypercellularity called what?
Cambium layer
