Chapter 32 - Diaphragm continue Flashcards

(171 cards)

1
Q

The pars lumbalis of the diaphragm attaches to which vertebrae in dogs?
A) T10 and T11
B) L2 and L5
C) L3 and L4
D) L5 and L6

A

C) L3 and L4

The right and left crura of the pars lumbalis attach to the cranial ventral border of L4 and the body of L3.

How well did you know this?
1
Not at all
2
3
4
5
Perfectly
2
Q

On lateral radiographs, the right diaphragmatic crus can be identified by its:
A) Association with the gastric fundus
B) Confluence with the caudal vena cava
C) Attachment to the left kidney
D) Connection with the thoracic duct

A

B

How well did you know this?
1
Not at all
2
3
4
5
Perfectly
3
Q

Approximately what percentage of intrathoracic volume change during quiet respiration is due to diaphragmatic movement?
A) 25%
B) 40%
C) 60%
D) 75%

A

Diaphragmatic contraction contributes ~75% of the change in intrathoracic volume; intercostal muscles contribute the rest.

How well did you know this?
1
Not at all
2
3
4
5
Perfectly
4
Q

Which of the following embryological structures contributes to the formation of the diaphragm?
A) Hepatic diverticulum
B) Septum transversum
C) Mesonephric ridge
D) Mesodermal ridge

A

B

The diaphragm is embryologically formed by the septum transversum, pleuroperitoneal folds, and mesentery of the foregut.

How well did you know this?
1
Not at all
2
3
4
5
Perfectly
5
Q

Which of the following is a radiographic sign specific to a peritoneopericardial diaphragmatic hernia (PPDH) in cats?

A) Asymmetry of the diaphragm on lateral projection
B) Dorsal peritoneopericardial mesothelial remnant between the heart and diaphragm
C) Caudal displacement of the cupula due to heart contact
D) Cardiac silhouette shifted laterally

A

b

How well did you know this?
1
Not at all
2
3
4
5
Perfectly
6
Q

Which radiographic feature is most helpful in differentiating a diaphragmatic hernia from other thoracic abnormalities?

A) Displacement of the heart and mediastinum
B) Pleural fluid presence
C) Identification of abdominal viscera in the thorax
D) Altered slope of the diaphragm

A

c

How well did you know this?
1
Not at all
2
3
4
5
Perfectly
7
Q

Which of the following is a nonspecific radiographic sign of diaphragmatic hernia that may obscure more important findings?

A) Gas-filled stomach in the thorax
B) Cranial displacement of abdominal organs
C) Pleural fluid
D) Divergence of diaphragmatic crura

A

c

How well did you know this?
1
Not at all
2
3
4
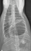
5
Perfectly
8
Q

Hiatal hernias are most often associated with which concurrent condition?

A) Pneumothorax
B) Esophagitis from gastroesophageal reflux
C) Hepatic cysts
D) Generalized pulmonary edema

A

b

How well did you know this?
1
Not at all
2
3
4
5
Perfectly
9
Q

Emrbyologically, the diaphragm is formed by

A
  • Septum transversum (ventrally)
  • foregut mesentery and 2 pleuroperitoneal folds (dorsally)
How well did you know this?
1
Not at all
2
3
4
5
Perfectly
10
Q

Movement of the diaphragm provides approximately ___ % of the change in intrathoracic volume during quiet respiration, and the ____ provide the rest.

A
  • 75
  • intercostal muscles
How well did you know this?
1
Not at all
2
3
4
5
Perfectly
11
Q

Lymph flow is unidirectional/bidirectional. What is the final destination of lymph?

A

unidirectional
thoracic trunks

How well did you know this?
1
Not at all
2
3
4
5
Perfectly
12
Q

Parts of the diaphragm

A

Tendinous centre
3 thin peripheral muscles:
- pars lumbalis (R and L crura)
- pars costalis
- pars sternalis

How well did you know this?
1
Not at all
2
3
4
5
Perfectly
13
Q

Where do the crura of pars lumbalis attach?

A

L3 body / L4 cranioventral border

How well did you know this?
1
Not at all
2
3
4
5
Perfectly
14
Q

Which part of the diaphragm attaches to L3/L4?

A

Pars lumbalis crura

How well did you know this?
1
Not at all
2
3
4
5
Perfectly
15
Q

what passes through the aortic hiatus?

A

aorta
azygos
hemiazygos veins
lumbar cistern of thoracic duct

How well did you know this?
1
Not at all
2
3
4
5
Perfectly
16
Q

Where does pars costalis of the diaphragm attach?

A

8-13th rib

How well did you know this?
1
Not at all
2
3
4
5
Perfectly
17
Q
A
How well did you know this?
1
Not at all
2
3
4
5
Perfectly
18
Q

Where does pars sternalis of the diaphragm attach?

A

xiphoid process cartilage

How well did you know this?
1
Not at all
2
3
4
5
Perfectly
19
Q

From dorsal to ventral, what are the openings in the diaphragm?

A

aortic hiatus
esophageal hiatus
caudal vena cava foramen

How well did you know this?
1
Not at all
2
3
4
5
Perfectly
20
Q

what passes through the esophageal hiatus?

A

esophagus
vagus nerve trunks

How well did you know this?
1
Not at all
2
3
4
5
Perfectly
21
Q

what passes through the vena cava foramen?

A

caudal vena cava

How well did you know this?
1
Not at all
2
3
4
5
Perfectly
22
Q

Where is the caudal vena cava foramen located?

A

at the junction of the muscular and tendinous portion of the diaphragm

How well did you know this?
1
Not at all
2
3
4
5
Perfectly
23
Q

DV or VD?

A

VD

How well did you know this?
1
Not at all
2
3
4
5
Perfectly
24
Q

Which 2 recesses does the diaphragm form?

A

phrenicocostalis
phrenicolumbalis

How well did you know this?
1
Not at all
2
3
4
5
Perfectly
25
DV or VD ?
DV
26
LL or RL?
LL
27
What / where is the intercrural cleft?
- a shorter convex, opaque line caudal and ventral to the crura
28
LL or RL?
RL
29
In which recumbency are the crura parallel?
RL
30
In which recumbency are the crura crossed?
LL
31
What do the crura do in RL and LL?
RL: parallel LL: crossed (sometimes)
32
What can be a cause of the appearance of the crura to be extensively separated (by up to 2.5 vertebral lengths)?
- rotation of the patient - XR beam centre over cranial or mid thorax
33
What can be used to distinguish RL from LL?
confluence of the CVC with the right crus of the diaphragm - in RL this will be the cranial crus
34
When is a single domed diaphragm seen on a VD?
when XR beam is centred over mid-abdo
35
When is a single domed diaphragm seen on a DV?
when XR beam is centred over mid-thorax
36
What is the normal intersection point of the diaphragm and the spine, and what is the normal variation?
(T9-)T11 - T13 (-L1)
37
When is a 3-domed diaphragm seen on a VD?
when XR beam is centred over mid-thorax
38
When is a 3-domed diaphragm seen on a DV?
when XR beam is centred over mid-abdo
39
How many vertebral lengths does normal respiration affect the diaphragm position?
1/2 - 2
40
In cats, the diaphragmatic crura change position equally on different projection, as with dogs. True or False?
False; variation is much smaller and distinction of diaphragmatic anatomy is more challenging (probably too small?).
41
RL or LL (cat)?
LL
42
RL or LL (cat)?
RL
43
44
2 causes of a more convex and cranially extending diaphragm?
45
46
2 causes of an asymmetric diaphragmatic shape
- unilateral tension pneumothorax - hemiparalysis
47
Which way (cranial / caudal) will the diaphragm shift with a generalised paralysis?
Cranial
48
49
2 causes of bilateral caudal displacement of the diaphragm
- Severe respiratory disease - Bilateral tension pneumothorax
50
What is the most common cause of diaphragmatic hernia?
Abdominal trauma; high momentary increase in abdominal pressure when the glottis is open > high pleuro-peritoneal pressure gradient
51
To ascertain the position of the stomach and proximal small bowel, a small amount (______ ml/kg) of ______ (___% w/v) can be given orally and radiographs obtained after _______minutes.
0.5 ml/kg of barium sulfate 30% w/v 15-20 minutes
52
Positive-contrast peritoneography can be performed by injecting _____ mL/kg body weight of ___________ contrast medium into the peritoneal cavity.
2 an iodinated, preferably nonionic,
53
54
which side of the diaphragm herniates more frequently in dogs?
right
55
Which organs are reported in chronic herniations (not acute)?
colon and pancreas
56
The (5) organs that most frequently acuteky herniate are, in order of prevalence, the:
liver, small bowel, stomach, spleen, and omentum
57
Why is gastrothorax a potentially life-threatening state?
cardiac tamponade
58
59
60
61
Presence of pleural fluid can distinguish the diaphragmatic hernia from thoracic pathology - T or F?
False; Pleural fluid is present consistently with chronic diaphragmatic hernias, or if a herniated abdominal organ, most usually the liver, is strangulated through a small diaphragmatic opening.
62
PPDH is always clinical - T or F?
Peritoneopericardial hernias may produce clinical signs, but are often an incidental radiographic finding.
63
which 'sign'/ structure is specific to cats with PPDH?
dorsal peritoneopericardial mesothelial remnant
64
PPDH may have what genetic pattern in cats? Overrepresented breed(s)? Rate of incidence?
autosomal recessive DLH, Himalayans 1:500 - 1:1500
65
66
Approximately ___% of all diaphragmatic hernias are congenitally predisposed.
15
67
A peritoneopericardial diaphragmatic hernia occurs when abdominal viscera herniates into the pericardial sac through a _________ formed between the _________ and the ________.
- congenital hiatus - tendinous portion of - - the diaphragm pericardial sac
68
Which hepatic condition is associated with PPDH herniation?
hepatic cysts
69
Most common PPDH herniating organ?
liver
70
2 types of hiatal hernias
sliding and paraesophageal
71
72
Which type of hiatal hernia is usually congenital and found in younger animals?
sliding
73
3 causes of hiatal hernias
- enlarged esophageal hiatus: congenital (1), trauma (2) - contraction of the longitudinal esophageal muscle (3)
74
other differentials for large rounded cardiac silhouette (other than PPDH)?
pericardial effusion, generalized heart enlargement, or both
75
Hiatal hernias occur when ______ enters the thorax through the ________.
a portion of stomach esophageal hiatus
76
With which condition is sliding hiatal hernia associated?
esophagitis from gastroesophageal reflux
77
which anatomical structures move with a sliding hiatal hernia?
The gastroesophageal sphincter and a portion of stomach (usually cardia) are herniated into the thorax. The caudal esophagus and the cardia slide intermittently from the abdomen into the thorax, causing temporary cranial displacement of the thoracic esophagus.
78
what is a paraesophageal hiatal hernia?
- the cardia or cardia and fundus, or other soft tissue structures herniate through or alongside the esophageal hiatus and become positioned adjacent to the esophagus - usually static and do not slide between the thorax and abdomen, and the gastroesophageal sphincter is in a normal position.
79
what is a non-sliding hiatal hernia?
the gastroesophageal sphincter and the gastric cardia displaced through the esophageal hiatus and fixed within the thorax
80
which breed has hiatal hernias in association with other esophageal issues (dysmotility and redundancy)?
shar-pei
81
82
What findings to expect with esophagram of hiatal hernia?
83
Which type of tumor has been reported to originate from the diaphragm?
peripheral nerve sheath tumor (1y FN GSD - 1999, 11Y MN Greyhound - 2008)
84
Etiology of peritoneopleural hernias
Congenital; The defects are created when the septum transversum or the pleural peritoneal folds do not develop and fuse to form a complete diaphragm.
85
86
Pleuroperitoneal hernias occurring in the membranous portion are associated with which other condition?
Umbilical hernias
87
Pleuroperitoneal hernias occurring in the muscular location are reported in which location?
Dorsolateral
88
What is the most consistent sign of a sliding hiatal hernia?
displaced stomach The cardia appears to be stretched toward the diaphragm or may extend into the thorax. This displacement produces an abnormal shape to the cardia and fundus remaining in the abdomen. The caudal esophagus may or may not be distended, and a soft tissue mass may be seen adjacent to the left diaphragmatic crus
89
90
How long is the caudal esophageal sphincter?
1-2cm "The caudal esophageal sphincter can be identified as a concentric, smooth, 1- to 2-cm narrowing in the caudal esophagus "
91
92
93
Signalment for gastroesophageal intussusception
young, male GSD also animals with pre-existing dilated esophagus
94
Does barium enter the stomach with an esophagram of a gastroesophageal intussusception?
No, but rugal folds may be outline.
95
96
Is gastroesophageal intussusception incidental or clinical?
Gastroesophageal intussusception usually produces an esophageal obstruction, which results in rapid deterioration of the animal’s condition with a high mortality rate; a timely diagnosis is therefore essential.
97
Besides the stomach, what else can herniate in a gastroesophageal intussusception?
spleen, duodenum, pancreas, omentum
98
99
100
With membranous defects of the diaphragm, what structure is displaced in dogs?
Liver
101
With membranous defects of the diaphragm, what structure is displaced in cats?
Falciform fat
102
Why do displaced structures (in membranous defects) remain in the ventral thorax and are confined to the mediastinum?
because the peritoneum and pleura are still intact
103
innervation of the diaphragm
phrenic nerve
104
types of motor dysfunction of the diaphragm
paralysis (unilateral or bilateral) flutter
105
causes of diaphragmatic paralysis
- pneumonia, trauma, myopathies, and neuropathies, or the cause may be unidentified
106
Transient diaphragmatic paralysis has been reported as a consequence of what, in which species?
post-traumatic 2 cats unilateral paralysis
107
What kind of movement occurs with bilateral diaphragmatic paralysis?
no movement, minimal or paradoxical (cranial during inspiration)
108
Why can bilateral diaphragmatic paralysis be difficult to diagnose even on fluoro?
diaphragmatic movement is sometimes produced by compensatory abdominal muscle contraction during respiration
109
What is diaphragmatic flutter and how is it diagnosed??
contractions of the diaphragm synchronous with the heartbeat - usually transient, Dg on fluoro
110
Muscular dystrophy in cats has which imaging features of the diaphragm?
Muscular hypertrophy occurs, and affects the diaphragm (giving it a scalloped appearance at the ventral margin) and the esophagus (causing extrahiatal obstruction > megaesophagus). This is seen after 7 mo of age.
111
Muscular dystrophy in dogs has which imaging features?
In dogs with muscular dystrophy, radiographic abnormalities include: - diaphragmatic asymmetry - diaphragmatic undulation - gastroesophageal hiatal hernia
112
1) How many muscles make up the diaphragm? a) 1 b) 2 c) 3 d) 4
1) C pars sternalis, pars costalis, par lumbalis
113
2) Which of these statements is false about the pars lumbalis a) It attaches to the cranioventral border of L4 b) It is the part of the diaphragm that makes up the right and left crura c) The Attachment area on the vertebrae can appear indistinct and be mistaken for bone lysis d) It attaches to the body of L2 and 3
2) D only to l3 and l4
114
3) Which of the following does not pass through the aortic hiatus? a) Vagal nerve trunk b) Hemiazygous veins c) Lumbar cistern of the thoracic duct d) Azygous vein
3) A- goes in to oesophageal hiatus
115
4) Caudal diaphragmatic displacement is usually associated with which diseases? a) Diaphragmatic paralysis b) Abdominal disease c) Trauma d) Respiratory disease
D
116
5) True or false, traumatic diaphragmatic hernias usually involve the tendinous portion of the diaphragm? a) True b) False
5) B false, it is usually muscular
117
6) Approximately what percentage of diaphragmatic hernias are congenitally predisposed? a)15% b) 30% c) 45% d) 48%
A
118
Congenital hernias of the membranous diaphragm… (more than one may be correct) a) are associated with inguinal hernias b) are associated with umbilical hernias c) are usually in a dorsolateral position d) usually involve herniation of the liver (dogs) and falciform fat (cats) in to the mediastinum
7) B and D. C is for muscular hernias
119
8) The lumbar cistern of the thoracic duct passes through the… a) aortic hiatus b) oesophageal hiatus c) vena cava foramen
A
120
9) the normal intersection of the point of the diaphragm with the spine is usually X and can very between Y. (X,Y) a) T10-12, T7-13 b) T11-13, T9-T13 c)T11-13, T9-L1 d) T12-13, T8-L3
C
121
what is the arrow pointing to?
Peritoneopericardial remnant
122
Where does pars costalis attach? 8th- 13th ribs 10th – 12th ribs 9th – 10th ribs 11th – 13th ribs
A
123
When is a 3-domed appearance of the diaphragm seen on DV? When the beam is centred over the mid-thorax When the beam is centred over the mid-abdomen
B
124
Which condition is associated with PPDH? Liver cysts Liver torsion Hepatocellular carcinoma Cirrhosis
cysts
125
Which of the following attaches to the xiphoid cartilage? Pars lumbalis Pars costalis Pars sternalis None of the above
c
126
In traumatic diaphragmatic hernias, which is the correct order of prevalence for herniation through the diaphragm? Liver, small intestine, stomach, spleen, omentum Liver, stomach, small intestine, spleen, omentum Small intestine, liver, stomach, spleen, omentum Liver, spleen, stomach, omentum, small intestine
A
127
Which breeds of cats are overrepresented for Pertioneopericardial Diaphragmatic Hernias? Siamese, Domestic Short-hair Munchkin, Himalayans Persian, Ragdolls Himalayans, Domestic Long-hair
Himalayans, Domestic Long-hair
128
Which of the following radiographic findings would not typically be associated with a sliding hiatal hernia? Cranial displacement of the gastric cardia Hypomotile esophagus Soft tissue mass adjacent to the right diaphragmatic crus Gastroesophgeal sphincter within the thorax
Soft tissue mass adjacent to the right diaphragmatic crus, should be on the left
129
Which of the following statements is TRUE regarding peritoneopericardial diaphragmatic hernias? A: Congenital hiatus formed between the muscular portion and the pericardial sac B: Autosomal dominant gene in cats C: DSH are predisposed D: Hepatic cysts associated with liver herniation into the pericardial sac
D (tendinous portion, recessive, DLH and Himalayan)
130
Which of the following statements is FALSE regarding gastroesophageal intussusception? A: Type IV hiatal hernia B: Most common in female, German Shephard dogs C: Occur in patients with pre-existing dilated oesophagus D: Radiographic sign of a sharp air/gas interface on a lateral thoracic radiographic projection
B- male dogs more
131
What statement regarding peritoneopleural hernias is FALSE? A: Rare in cats and dogs B: Due to failure of septum transversum C: In dogs, membranous defects often associated with umbilical hernias D: In dogs, membranous defects most often associated with herniation of falciform fat
d, it is the liver in dogs
132
There are 3 opening through the diaphragm but where is the caudal vena cava foramen located? a Dorsally b Centrally c At the junction of the muscular and tendinous portion towards the right d Ventrally
c
133
embryologically, the diaphragm is formed from a) septum transversum ventrally and by the mesentery of the foregut and two pleuroperitoneal folds dorsally b) septum obliqum ventrally and by the mesentery of the hindgut and the dorsal pleuroperitoneal fold dorsally c) septum primum ventrally and by the mesentery of the hindgut and two pleuroperitoneal folds dorsally d) septum transversum ventrally and septum obliqum dorsally
A
134
What structures embryologically form the diaphragm?
- Septum transversum (ventrally) - Mesentery of foregut (dorsally) - 2 pleuroperitoneal folds (dorsally)
135
During queit respiration, what % of change in thoracic volume is achieved by diaphragmatic movement vs intercostal mm?
- 75% diaphragm - 25% intercostal
136
What reason is given for potenital spread of abdominal disease to mediastinum / pleural space?
- unidirectional drainage of lymph nodes -\> final destination thoracic trunks
137
Detail the anatomical portions of the diaphragm?
- Central tendinous part - Peripheral muscular part (3 areas) Pars sternalis =\> attaches to xiphoid cartilage Pars costalis =\> attaches to 8-13th ribs Pars lumbalis =\> 2 crura. R attaches to craionventral border L4, L attaches to body of L3
138
Which 2 recesses are formed by the diaphragm?
- Phrenicocostalis (costodiaphragmatic) recess =\> formed between layesrs of pleura lining diaphragm and ribs - Phrenicolumbalis (lumbodiaphragmatic) recess =\> formed similarly, but region dorsal to crura and ventral to vertebra (bilateral)
139
List the 3 openings within the diaphragm, and what they contain
Aortic hiatus - Aorta, hemiazygous, azygous, lumbar cistern of thoracic duct Oesophageal hiatus - Oesophagus, vagus trunks Caval hiatus - CaVC
140
Which portions of the diaphragm are not visible radiographically?
- Visibility dependent on adjcanet opacity. - Accordingly majority of thoracic portion visible EXCEPT recesses, as lung not contacting - Ventral portion of abdominal diaphragm may be visible if falciform fat present
141
Where is the cupula?
= the body Most cranial convex portion on both DV and laterals
142
What effect can poor radiographic technique (cranial centring, rotation) have on the appearance of the diaphragm in the lateral projections?
- INcreased seperation of the crura (up to 2.5 vertebral lengths)
143
In what views does the diaphragm have a dome / mickey mouse shape?
Dome: DV thorax, VD mid abdomen Mickey: VD thorax, DV mid abdomen
144
Where does the diaphragm extend caudally to (intersection with spine)? How does it change with extreme resp?
- Normal: T11-13 - May vary between T9-L1 - Extreme: More verteical, flattened / straight, tenting in the cat
145
Table - Rx signs of diaphragmatic disease
146
Where are the most common changes to diaphragmatic shape seen? why?
- Cupula -\> heart contact, patient postiioning, large breed dogs
147
What are the possible causes of asymmetry of the diaphragm? Name one way to confirm your suspicions for more unusual dx....
- Unilateral tension pneumo - Hemiparalysis -\> FLURO
148
List 5 broad types of diaphragmatic hernia
- Traumatic - Peritoneopericardial - Hiatal - Peritoneopleural - Other congenital diaphragmatic defects
149
Describe the pathophys of traumatic hernia
- Increased abdominal pressure with OPEN glottis =\> leads to large peritoneo-pleural pressure gradient - Subsequent rent formation
150
What radiographic techniques are described to better characterise diaphragmatic herniation?
- Positional radiographs - Removal of pleural fluid + repeat - Barium study (0.5ml / kg, 30%w/v) - +ve contrast peritneography (2ml/kg, iodinated), other selective +ve contrast techniques - Horizontal beam =\>LAST RESORT, position animal so accumulates cranially - other modalities
151
Table: Radiographic features of traumatic diaphragmatic hernia
152
Incidence of laterality of traumatic hernia?
- In one report equal.... BUT in dogs has been reported R\>L
153
Which organs are most commonly herniated in traumatic diaphragmatic hernias? And when chronic?
Acute (IN ORDER) Liver \> small intestine \> stomach \> spleen \> omentum Chronic (IN ORDER) Liver \> small intestine \> omentum \> spleen \> stomach \> colon \> pancreas
154
What are the most consistent radiographic features of traumatic diaphragmatic hernia?
- Abdo organs in thorax - Displacement of abdo/thoracic organs - loss of thoracic diaphgramatic surface - assym / altered slope on lateral - Pleural fluid
155
What specific life-threatening complication occurs secondary to tension gastrothorax?
- Potential / actual cardiovascular tamponade
156
What feature is a consistent finding with chronic diaphragamatic hernias?
- Pleural fluid =\> also consistent if strangulated organ is present
157
Approximately what % of diaphragmatic hernias are congenitally predisposed?
15%
158
Which cats (and with what means of inheritance / rate of incidence) are predisposed to congenital DH?
- Himalayans and DLH - Simple autosomal recessive in cats, reported 1:500 to 1:1500 incidence
159
What comorbidity has been associated with herniation of liver in PPDH?
- Hepatic cysts
160
Box; Radiographic features of PPDH
161
What is a consistent feature of PPDH in cats?
Dorsal peritoneopericardial mesothelial remnant
162
List three proposed causes of hiatal hernia
1) Congenital 2) Traumatic 3) Contraction of longitudinal oesophageal muscle
163
Hiatal hernia classification
1) sliding 2) Paraoesophageal 3) Combo of 1 and 2 4) EITHER herniation of other organ OR GO intussusception
164
Which breed have congenital hiatal hernia?
Shar pei
165
Rx signs of sliding HH
166
What presdisposing features for GO intussusception are reported?
- Male - GSD - Pre-existing oesophageal dilation
167
Box: Radiographic features of GO intussusception
168
Congenital diaphragmatic defects have beend described in the dog in certain locations. List them
1) Muscular portion, dorsolateral location 2) Membranous (central) in association with umbilical hernia
169
What causes for diaphragmatic motor disturbances are reported?
Traumatic Myopathy Neuropathy Pneumonia Idiopathic
170
Features of diaphragmatic paralysis
- Unilateral: Cranial displacement of one crus, unequal movement - Bilateral: Cranial displacement of both crura, minimal or no movement NB: Diaphragmatic flutter reported -\> Contracture synchronous with heart beat THINK FLURO FOR THESE
171
Features of muscular dystrophy
- Dystrophin deficiency, dogs and cats - Rx: Diaphragmatic assymetry, undulation, and GO hiatal hernia, scalloping of diaphragm with muscular HYPERTROPHY (chec with US). Hiatal thickening / obstruction can cause megaO