Which condition does not occur in impetigo?
A) Itching
B) Pruritus
C) Regional lymphadenopathy
D) Fever
D) Fever
Fever and malaise do not occur in impetigo. Itching can occur in impetigo. Pruritus (itching) can occur in impetigo. Regional lymphadenopathy can occur in impetigo.
Which agent is used to treat impetigo?
A) Antiviral medications
B) Topical or systemic antibiotics
C) Corticosteroids
D) Nonsteroidal antiinflammatory agents
B) Topical or systemic antibiotics
Impetigo is caused by a bacterial infection; therefore, topical or systemic antibiotics are used to treat it. Antiviral medications are not used to treat impetigo. Corticosteroids are not used to treat impetigo. Nonsteroidal antiinflammatory agents are not used to treat impetigo.
Tonsillitis and pharyngitis are caused by group A β-hemolytic streptococci. These conditions are significant because of their relationship to scarlet fever and rheumatic fever. Which condition may be related to heart valve damage?
A) Rheumatic fever
B) Strawberry tongue
C) Scarlet fever
D) Geographic tongue
A) Rheumatic fever
Rheumatic fever can result in heart valve damage and the development of bacterial endocarditis. Strawberry tongue is associated with scarlet fever, but not specifically with heart valve damage. Heart valve damage is not a specific component of scarlet fever. Geographic tongue is not associated with heart valve damage.
Which antigen is injected into the skin to determine exposure and infection with Mycobacterium tuberculosis?
a. HLA-B27
b. PPD
c. VDRL
d. IgE
ANS: B
Purified protein derivative (PPD) is injected into the skin to determine whether the person has been exposed to and infected with Mycobacterium tuberculosis. HLA-B27 is an antigenic marker present in most patients with Reiter syndrome. VDRL is a serologic blood test used to confirm the diagnosis of syphilis. IgE in the immune response causes mast cells to release their granules containing histamine.
Which disease is caused by the spirochete Treponema pallidum?
A) Tuberculosis
B) Actinomycosis
C) Syphilis
D) Necrotizing ulcerative gingivitis (NUG)
C) Syphilis
Syphilis is caused by the spirochete Treponema pallidum. Tuberculosis is caused by Mycobacterium tuberculosis. Actinomycosis is an infection caused by a filamentous bacterium called Actinomyces israelii. NUG is caused by both a fusiform bacillus and a spirochete, Borrelia vincentii.
Involvement and enlargement of the submandibular and cervical lymph nodes in tuberculosis is called
A) miliary tuberculosis.
B) lymphadenopathy.
C) scrofula.
D) angioedema.
C) scrofula.
Scrofula is the name for the involvement and enlargement of the submandibular and cervical lymph nodes in tuberculosis. Miliary tuberculosis is when the bacteria are carried throughout the body, causing involvement of organs such as the kidney and liver. Lymphadenopathy is enlargement of lymph nodes associated with many illnesses and conditions. Angioedema is a diffuse swelling of tissue caused by vascular permeability of the deeper blood vessels.
Which condition is associated with scarlet fever?
A) Black hairy tongue
B) Median rhomboid glossitis
C) Scrofula
D) Strawberry tongue
D) Strawberry tongue
Strawberry tongue is associated with scarlet fever. Black hairy tongue occurs when elongation and black discoloration of the filiform papillae is present, often caused by tobacco, alcohol, hydrogen peroxide, or chemical rinses. Median rhomboid glossitis is thought to be associated with Candida organisms. Scrofula is involvement and enlargement of the submandibular and cervical lymph nodes in tuberculosis.
The most common site(s) for oral lesions in tuberculosis is(are) the
A) tongue and palate.
B) gingiva.
C) floor of the mouth and mucobuccal folds.
D) uvula and fauces.
A) tongue and palate.
The tongue and palate are the most common sites for oral lesions in tuberculosis. The gingiva is not a common site for oral lesions in tuberculosis. The floor of the mouth and mucobuccal folds are not common sites for oral lesions in tuberculosis. The uvula and fauces are not common sites for oral lesions in tuberculosis.
The most characteristic form of which disease is the formation of abscesses that tend to drain from the mandible to the skin by the formation of sinus tracts, with sulfur granules in the pus draining from the sinus tracts?
a. Actinomycosis
b. Tuberculosis
c. Syphilis
d. Impetigo

a. Actinomycosis
Actinomycosis is characterized by the formation of abscesses that tend to drain from the mandible to the skin by the formation of sinus tracts, with sulfur granules identified in the pus draining from the sinus tracts. It requires long-term antibiotic treatment. Tuberculosis is a primary infection of the lung. The signs and symptoms of this lung infection include fever, chills, fatigue, weight loss, and persistent cough. Syphilis is not characterized by abscesses and sulfur granules. Impetigo is a bacterial skin infection. The lesions are either vesicles or bullae.
In primary syphilis, the oral lesion is termed
A) mucous patch.
B) chancre.
C) gumma.
D) ulcer.

B) chancre.
A chancre is the lesion in stage I (primary) syphilis. A mucous patch is the lesion in stage II (secondary) syphilis. A gumma is the lesion in stage III (tertiary) syphilis. An ulcer is a general descriptive term and is not the specific term used to describe the lesions of syphilis.
Which statement is not true about syphilis?
A) Dark-field examination may be used to diagnose syphilitic lesions on the skin.
B) Syphilis is generally treated with penicillin.
C) The VDRL and fluorescent treponemal antibody absorption (FTA-ABS) tests are
D) commonly used to confirm the diagnosis of syphilis.
E) The antibody titer increases if treatment has been successful.
D) commonly used to confirm the diagnosis of syphilis.
The antibody titer decreases if the treatment has been successful. Dark-field examination is used to diagnose skin lesions. Syphilis is generally treated with penicillin. The VDRL and FTA-ABS tests are two serologic blood tests used to confirm the diagnosis of syphilis.
Pericoronitis is most often associated with
A) maxillary canines.
B) mandibular third molars.
C) maxillary second molars.
D) mandibular first molars.
B) mandibular third molars.
Pericoronitis most often involves the mucosal tissue associated with partially erupted mandibular third molars. Pericoronitis is not seen on maxillary canines. Pericoronitis is not seen on maxillary second molars. Pericoronitis is not seen on mandibular first molars.
Which is the name of the soft tissue flap that covers the distal-occlusal part of an incompletely erupted third molar?
A) Operculum
B) Gingival flap
C) Pericoronitis
D) Partial eruption flap
A) Operculum
The operculum is the soft tissue flap that covers the distal-occlusal part of an incompletely erupted third molar. The gingival flap is not an operculum. Pericoronitis is the inflammation of the mucosa around the crown of a partially erupted or impacted tooth. The term partial eruption flap does not exist.
Which statement is true concerning a positive reaction to the PPD skin test?
A) The patient has active tuberculosis.
B) The patient is contagious.
C) The patient has been infected previously with Mycobacterium tuberculosis.
D) The patient is in need of hospitalization.
C) The patient has been infected previously with Mycobacterium tuberculosis.
A positive skin reaction to PPD means that the patient was previously infected with the bacteria. A positive skin reaction to PPD does not mean that the patient has active tuberculosis. A positive skin reaction to PPD does not mean that the patient is contagious. A positive skin reaction to PPD does not require any hospitalization.
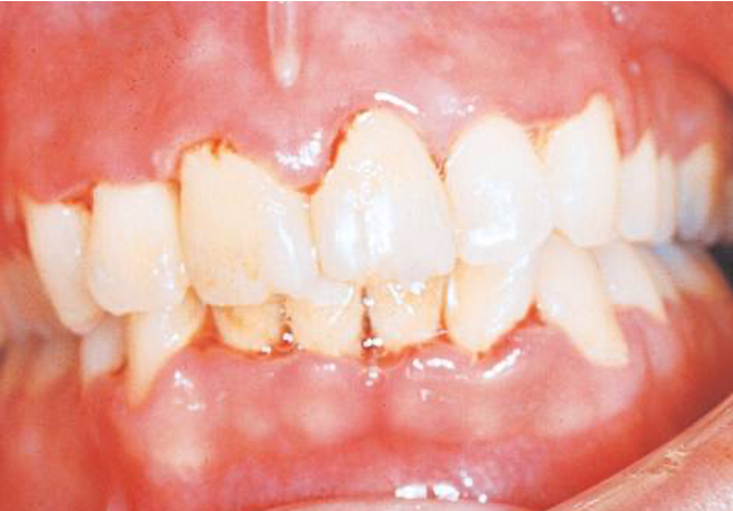
The gingivae shown are painful and erythematous. The interdental papillae appear as punched-out, necrotic, cratering areas. The overall sloughing of the necrotic tissue appears as a pseudomembrane over the tissues. The patient experiences a foul odor and metallic taste. On the basis of these features, which condition is suspected?
A) Acute marginal gingivitis
B) Primary herpes simplex infection
C) NUG
D) Pseudomembranous candidiasis

C) NUG
In NUG the gingiva are painful and erythematous, the interdental papillae are punched out and necrotic, and the patient experiences a foul odor and metallic taste. In acute marginal gingivitis there is no cratering and necrosis of the papillae. In primary herpes simplex infection there is no cratering and necrosis of the papillae. In pseudomembranous candidiasis a white curdlike material is present on the mucosal surfaces. The underlying mucosa appears erythematous.
Acute osteomyelitis of the jaws may commonly result from which condition?
A) Extension of a periapical abscess
B) Surgery
C) Fracture of the jaw
D) Paget disease

A) Extension of a periapical abscess
Acute osteomyelitis of the jaws commonly results from extension of a periapical abscess. Acute osteomyelitis can result from surgery, but this is not a common reaction. Acute osteomyelitis can result from fracture of the jaw, but again this is not a common reaction. Paget disease has been associated with chronic osteomyelitis.
Candidiasis is the result of an overgrowth of a
A) yeastlike fungus.
B) spirochete.
C) filamentous bacterium.
D) fusiform bacillus.
A) yeastlike fungus.
Candidiasis is the result of an overgrowth of a yeastlike fungus, Candida albicans. A spirochete, Borrelia vincentii, causes NUG. A filamentous bacterium called Actinomyces israelii causes actinomycosis. Fusiform bacilli are involved in the etiology of NUG.
Which condition does not contribute to the overgrowth of Candida albicans?
A) Antibiotic therapy
B) Dentures
C) Cancer chemotherapy
D) Angioedema
D) Angioedema
Angioedema is a type I hypersensitivity reaction and has nothing to do with Candida albicans. Antibiotic therapy can cause an overgrowth of Candida albicans. Dentures can contribute to an overgrowth of Candida albicans. Cancer chemotherapy can contribute to an overgrowth of Candida albicans.
The most common type of candidiasis affecting the oral mucosa is __________________.
A) pseudomembranous
B) erythematous
C) chronic atrophic
D) chronic hyperplastic
C) chronic atrophic
Chronic atrophic candidiasis, or denture stomatitis, is the most common type of candidiasis affecting the oral mucosa. Pseudomembranous candidiasis is a white curdlike material present on the mucosal tissues. The underlying mucosa is erythematous in appearance. It is not the most common type of oral mucosal candidiasis. Erythematous candidiasis is often painful and may be localized or generalized. It is not the most common type of oral mucosal candidiasis. Chronic hyperplastic candidiasis appears as a white lesion that does not wipe off. If it does not respond to antifungal therapy, a biopsy should be considered. It is not the most common type of candidiasis.
This lesion in the commissure is most likely caused by Candida albicans or a nutritional deficiency and is termed
A) pseudomembranous candidiasis.
B) angular cheilitis.
C) chronic mucocutaneous candidiasis.
D) chronic atrophic candidiasis.

B) angular cheilitis.
Angular cheilitis is a lesion seen in the commissure of the lips and is most likely caused by Candida albicans or a nutritional deficiency. Pseudomembranous candidiasis appears as a white curdlike material on the mucosal surface. The underlying mucosa is erythematous. Chronic mucocutaneous candidiasis is a severe form of candidiasis that occurs in patients who are severely immunocompromised. Chronic atrophic candidiasis, or denture stomatitis, is the most common type of oral candidiasis affecting the oral mucosa.
Deep fungal infections include all except
a. histoplasmosis.
b. coccidioidomycosis.
c. blastomycosis.
d. actinomycosis.
d. actinomycosis.
Actinomycosis is not a deep fungal infection. It is caused by a filamentous bacterium. Histoplasmosis is a deep fungal infection widespread in the Midwestern United States. Coccidioidomycosis is a deep fungal infection more prevalent in the Western United States. Blastomycosis is a deep fungal infection most common in the Ohio–Mississippi River basin area.
The initial infection and signs and symptoms of deep fungal infections, including histoplasmosis, coccidioidomycosis, and blastomycosis, are related to diseases in which location?
A) Lung
B) Kidney
C) Lymph nodes
D) Nasal cavity
A) Lung
Deep fungal infections are most commonly primary infections of the lung. The kidney is not the primary site for deep fungal infection. The lymph nodes are not the primary site for deep fungal infection. The nasal cavity may be a primary site for a rare fungal infection called mucormycosis.
Another name for verruca vulgaris is
A) condyloma acuminatum.
B) the common wart.
C) Heck disease.
D) focal epithelial hyperplasia.

B) the common wart.
Another name for verruca vulgaris is the common wart. Condyloma acuminatum is a benign papillary lesion sexually transmitted and caused by a human papillomavirus (HPV), which is different from the papillomavirus that causes verruca vulgaris. Heck disease is caused by an HPV that is different from the types of HPV that cause verruca vulgaris and condyloma acuminatum. The disease presents with multiple mucosal nodules and resolves spontaneously. Focal epithelial hyperplasia is another name for Heck disease.

The image shows an oral condyloma acuminatum presenting in a child. The presence of condyloma acuminatum in a child suggests
A) hypersensitivity.
B) genetic predisposition.
C) sexual abuse.
D) autoimmune disease.

C) sexual abuse.
.
The HPV that causes condyloma acuminatum is almost always transmitted by sexual contact. The presence of condyloma acuminatum in a child suggests sexual abuse. Hypersensitivity is not the cause of condyloma acuminatum. Genetic predisposition has nothing to do with the cause of condyloma acuminatum. Condyloma acuminatum is not an autoimmune disease.