Chapter 45- shoulder Flashcards

(63 cards)

1
Q

Describe the sensory and motor components of the brachial plexus

A
How well did you know this?
1
Not at all
2
3
4
5
Perfectly
2
Q

Label the following diagram

A
  1. Spine of scapula
  2. Clavicle
  3. Acromioin
  4. Humerus head
  5. GH joint
  6. Shaft of humerus
  7. Medial boarder of scapula
  8. Humeral head (greater tuberosity)
  9. acromion
  10. GH joint
  11. Lateral boarder of scapula
  12. clavicle
  13. coracoid process
How well did you know this?
1
Not at all
2
3
4
5
Perfectly
3
Q

Label the ligaments in the diagram

A

A (yellow) coracoacromial ligament
B (red) coracohumeral ligemant
C (blue) Glenohumeral ligements
D (white) coracoclavicular (trapezoid +

How well did you know this?
1
Not at all
2
3
4
5
Perfectly
4
Q

Label the following rotator cuff muscles:
For each include the insertion and function

A

Green: subscapularis
Insertion: lesser tuberosity
Function: internal rotation

Red: supraspinatous
Insertion: greater tuberosity
Function: shoulder abduction

Blue: infraspinatous
Insertion: greater tuberosity
Function: external rotation

Yellow Teres Minor
Insertion: greater tuberosity
Function: external rotation

How well did you know this?
1
Not at all
2
3
4
5
Perfectly
5
Q

List 8 ddx for extrinsic shoulder pain

A
  • Disorders of the c-spine
  • Thoracic outlet
  • ACS
  • Subdiaphragmatic abscess
  • Pneumonia
  • Pancoast tumour
  • Diaphragmatic irritation
    ○ Ruptured ectopic
    ○ Cholecystitis
    ○ Pancreatitis
    ○ Gastritis
    ○ Splenic rupture
How well did you know this?
1
Not at all
2
3
4
5
Perfectly
6
Q

List 4 special tests for rotator cuff pathology. For each test, list the muscle it is testing

A
How well did you know this?
1
Not at all
2
3
4
5
Perfectly
7
Q

List 3 XR views of shoulder

A
  1. AP
  2. Posterior trans-scapular lateral or ‘Y-view’
  3. Axillary view
How well did you know this?
1
Not at all
2
3
4
5
Perfectly
8
Q

List 6 indications for orthopedic consultation for clavicle fractures

A
  1. Open fractures
  2. Associated neurovascular injuries
  3. Type II lateral fracture - 30% non union
  4. Severely comminuted
  5. Displaced fractures of the middle third
  6. Type III
How well did you know this?
1
Not at all
2
3
4
5
Perfectly
9
Q

Describe the allman and neer classification for clavicle fractures

A

Allman Classification:
Group I: Fractures of the middle third (midshaft).

Group II: Fractures of the lateral (distal) third.

Group III: Fractures of the medial (proximal) third.

How well did you know this?
1
Not at all
2
3
4
5
Perfectly
10
Q

Describe the Neer classification of distal (lateral) clavicle fractures

A

Type 1 - stable and minimally displaced (coracoclavicular ligament remains intact)
Non-operative

Type 2 -Significant medial displacment
IIA- intact Conoid and trapezoid ligament
IIB -torn Conoid and/or trapezoid ligament
**both require surgical fixation

Type 3 -intra-articular fracture, minimal displacement
-non operative

Type 4: Physeal fracture that occurs in pediatric patient. intact Conoid and trapezoid ligament
-non-operative

Type 5: Comminuted fracture pattern
Conoid and trapezoid ligaments remain intact
***Unstable, require surgical repair

How well did you know this?
1
Not at all
2
3
4
5
Perfectly
11
Q

25 F with blunt trauma from MVC. Step off deformity with skin tenting over L clavicle

Physical exam: weakness of external rotation with the arm in adduction

Diagnosis?
What is the significance of the physical exam finding?
Management?

A

a. Type 2B clavicle fracture
Unstable

b. suprascapular nerve injury most common

Ortho consult in ED
ORIF <72hr

How well did you know this?
1
Not at all
2
3
4
5
Perfectly
12
Q

10 yo M with blunt force trauma to L shoulder. Obvious clavicular deformity

Diagnosis?
Mangement?

A

Type 4 lateral clavicular fracture

(Physeal fracture that occurs in the skeletally immature
Conoid and trapezoid ligaments remain intact)

Stable-non operative
sling immobilization with gentle ROM exercises at 2-4 weeks and strengthening at 6-10 weeks

How well did you know this?
1
Not at all
2
3
4
5
Perfectly
13
Q

Outline the management for stable clavicle fractures

List clavicle fractures can be treated non-operatively

A

sling immobilization with gentle ROM exercises at 2-4 weeks and strengthening at 6-10 weeks

stable fractures
- Neer Type I, III, IV
- pediatric distal clavicle fractures
- non displaced middle third
- non-displaced medial third

How well did you know this?
1
Not at all
2
3
4
5
Perfectly
14
Q

List 4 absolute and 4 relative indications for operative repair (ORIF) of clavicle #s

A

absolute
1. open or impending open fractures
2. subclavian artery or vein injury
3. floating shoulder (distal clavicle and scapula neck fractures with > 10mm of displacement)
4. symptomatic nonunion

Relative
1. unstable fracture patterns (Neer Type IIA, IIB, V)
2. brachial plexus injury (questionable because 66% have spontaneous return)
3. closed head injury
4. Seizure disorder
5. polytrauma patient

How well did you know this?
1
Not at all
2
3
4
5
Perfectly
15
Q

Describe the AARD syndrome with clavicle fracture

A

AARD - atlantoaxial rotary displacements. The pathophysiology of AARD is not well
understood but it is suspected that the clavicle fracture and AARD occur sequentially and
may be associated with a lax or disrupted alar ligament. Sternocleidomastoid muscle spasm may also be a contributing factor. Give-away is the ‘cocked-robin’ position with patient, often
pediatric female, head bent towards fracture side but rotated away. You see an injured robin
in your ED, CT it!

How well did you know this?
1
Not at all
2
3
4
5
Perfectly
16
Q

List 4 complications associated with clavicle fractures that are treated non-operatively

A

○ Delayed union
○ Non-union
○ Symptomatic malunion
○ Type III - AC joint osteoarthritis

How well did you know this?
1
Not at all
2
3
4
5
Perfectly
17
Q

Describe the classification of scapular fractures (4)

Which is most common?

A

Type I-
- acromion process
-scapular spine
-coracoid process

Type II
scapular neck

Type III
intra-articular # of glenoid fossa

Type IV
scapular body
***most common

How well did you know this?
1
Not at all
2
3
4
5
Perfectly
18
Q

25 M with blunt force trauma from fall (3ft off a ladder onto his R shoulder)

Diagnosis?
Management?

A

Scapula fracture
Displaced fracture of the scapula lateral border
Fracture line passing through the scapula body

  • Analgesia
  • Immobilization in a sling for comfort and passive ROM exercises
  • Pendulum sling usually 2-4 weeks
  • Physical therapy
  • F/U assessment if displacement

**Nondisplaced fractures of body, spine, acromion process do not require further therapy

How well did you know this?
1
Not at all
2
3
4
5
Perfectly
19
Q

List 6 indications for surgical repair of a scapula fracture

A
  1. Open fracture
  2. Intra-articular fracture
  3. Complete loss of rotator cuff function
  4. Severe displaced/angulated neck/body/spine
  5. Acromion:
    □ Displaced impinging on GH joint
    □ Superior dislocation of humerus causing acromial #
  6. Coracoid if severely displaced > 1cm (ruptured CC ligaments)
How well did you know this?
1
Not at all
2
3
4
5
Perfectly
20
Q

List 3 acute and 3 delayed complications associated with scapula fractures

A

Delayed
■ Pneumothorax
■ Hemothorax
■ Pulmonary contusion

Acute
■ Rib fracture
■ Humerus fracture
■ Clavicle fracture

How well did you know this?
1
Not at all
2
3
4
5
Perfectly
21
Q

Describe the Neer’s classification of Proximal Humerus fractures

A

Neer system divides the proximal humerus into four parts and considers displacement as being significant in terms of classification.

1 - Anatomic neck
2- Surgical neck
3 - Greater tuberosity
4 - Lesser tuberosity

Considered displaced if:
1. Angled > 45 degrees
OR
2. Separated > 1cm from neighbouring segment

Categorize based on number of parts that meet the displacement criteria as above

1 –> 1 part (no fragments meet criteria for displacement
2 –> 2 part displacement (one segment is displaced)
3 –> 3 part displacement (two parts are displaced)
4 –> 4 part displacement (three parts are displaced)

How well did you know this?
1
Not at all
2
3
4
5
Perfectly
22
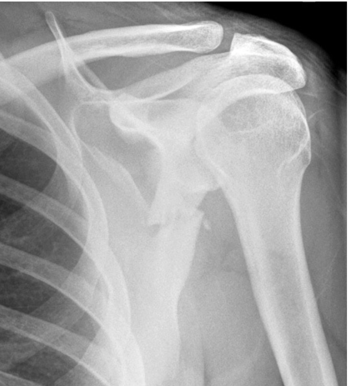
Q

60F with shoulder trauma~fell from standing with impact to R shoulder

A

Transverse fractures of the surgical neck (red line)
Fracture line (yellow) causing separation of the greater tubercle

there is only minor displacement with moderate impaction and angulation (~30 degrees), with the glenohumeral joint remaining enlocated.

This would be considered a one-part fracture, as although both a greater tuberosity and surgical neck of humerus fracture are present neither are significantly displaced (<1cm) nor are they significantly angulated (<45 degrees).

How well did you know this?
1
Not at all
2
3
4
5
Perfectly
23
Q

What is the most common associated nerve injury with proximal humerus injuries

A

axillary nerve

How well did you know this?
1
Not at all
2
3
4
5
Perfectly
24
Q

Outline the management for proximal humerus fractures

A

sling immobilization followed by progressive rehabilitation
**immediate physical therapy results in faster recover

most proximal humerus fractures can be treated nonoperatively including
minimally displaced surgical and anatomic neck fractures

ORIF indications:
1. greater tuberosity displaced > 5mm

  1. displaced 2-part fractures
    3-, and 4-part fractures in younger patients
  2. head-splitting fractures in younger patients

Urgent ortho consult for all pediatric proximal humeral epiphysis #s

How well did you know this?
1
Not at all
2
3
4
5
Perfectly
25
List 5 complications associated with proximal humerus fractures
1. Adhesive capsulitis 2. OA 3. AVN 4. NV injury - axillary nerve -axillary artery -anterior/posterior humeral circumflex artery - brachial plexus 5. Myositis ossification
26
Describe the clinical presentation for anterior vs posterior sternoclavicular joint dislocation.
anterior dislocation - deformity with palpable bump posterior dislocation: dyspnea or dysphagia tachypnea and stridor worse when supine
27
Describe the classification for grading sternoclavicular dislocation and outline the management for each
Grade 1= mild sprain of sternoclavicular and costoclavicular ligaments Tx: Sling immobilization, primary care follow up Grade 2 = subluxation of the joint (ant/post) 2/2 disruption of sternoclavicular ligament and capsule Tx: Sling immobilization and patient referred for orthopedic follow up care, 4-6 weeks Grade 3 = complete rupture of sternoclavicular and costoclavicular ligaments a. Anterior --> reduced in ED b. Posterior --> true ortho emergencies, may need to be reduced in ED if airway obstruction or vascular compromise
28
List 5 complications associated with traumatic posterior sternoclavicular joint dislocation
Complications: 1. Subclavian compression and laceration 2. Brachial plexopathy 3. Pneumothorax 4. Esophageal rupture 5. Tracheal compression 6. Trachea-esophageal fistula 7. Thoracic outlet syndrome
29
What is normal AC joint and CC joint distance on XR?
Normal AC joint 5-8mm normal CC distance 10-13mm
30
Describe the AC joint injury classification (Rockwood) and subsequent management
Type I sprains of AC with no separation of acromion and clavicle. Mild swelling and tenderness. Full ROM ● Sling immobilization, follow up PCP, ROM and strength exercises when pain subsides (1-3w) Type II -AC (>7mm) with <25% clavicular elevation. Mild swelling and tenderness. Full ROM ● Sling immobilization, follow up PCP, ROM and strength exercises when pain subsides (1-3w) Type III - completed disruption of AC ligaments, CC ligament and muscle attachment. Coracoclavicular distance increased by 25-100%. Arm abducted ++ pain ● Sling immobilize and early ortho follow-up Type IV - type III + clavicle displaced posteriorly into trapezius. Arm abducted ++ pain ● Call ortho - early surgical treatment Type V type III + clavicle displaced superiorly > 100% ● Call ortho - early surgical treatment Type VI - rare inferior displacement ● Call ortho - early surgical treatment
31
List 4 types of anterior shoulder dislocations
1. Subcoracoid (common) 2. Subglenoid (common) 3. Subclavicular 4. Intrathoracic
32
Outline the classification of anterior shoulder dislocations
1. traumatic vs atraumatic 2. primary vs recurrent 3. anatomic position a. Subcoracoid (common) b. Subglenoid (common) c. Subclavicular d. Intrathoracic
33
25 M W L shoulder injury during contact sport. Dx? Management?
Anterior shoulder dislocation with likely hill sachs deformity humeral head is dislocated anteriorly and inferiorly with some flattening of the corresponding part of the humerus. Tx: Reduce + immobilize with sling x3 withs with early ROM and outpatient ortho follow up
34
60 F presents with severe right shoulder pain and immobility. She fell down the steps outside her house and landed on her right side two hours prior to presentation. On exam, her right arm is abducted and externally rotated. She has decreased sensation to touch over the lateral aspect of her right shoulder Dx?
anterior shoulder dislocation with bankhart lesion with axillary nerve injury Bony Bankart - avulsion of the anteroinferior glenohumeral ligament with capsulolabral detachment
35
List 4 complications associated with anterior shoulder dislocation
1. Brachial plexus injury 2. Axillary nerve injury 3. Axillary artery injury 4. Rotator cuff tear or sprain 5. Shoulder instability 6. Recurrent dislocations -High risk if Bankhart's lesion, Hill-Sachs deformity, Glenoid rim fracture
36
List 6 techniques for reduction of anterior shoulder dislocation
a. Stimson / hanging weight ■ Prone with 10-15l;bs on forearmover 20-30 min b. Traction-counter traction ■ Folded sheet in axilla providing counter traction c. Cunningham ■ Seated/ upright, adduct affected arm with elbow flexed at 90. with pts hand resting on operators shoulder. operator applies downward traction while pts shrugs shoulders/ rotates superior and posterior. 2nd operator can be useful to massage surrounding muscles and assist with shoulder rotation d. External rotation method ■ Supine, elbow at 90, slow gentle external rotation e. Milch ■ Supine, HOB 20-30, slow abduction with ext. rotation. If 90 abduct and 90 ext. rotation, then gentle traction f. Scapular manipulation ■ Repositioning of glenoid fossa. First obtain traction then rotate scapula clockwise from inferior tip, while stabilizing superior tip g. Fares Patient lies supine or prone, grasp affected arm’s wrist, gently oscillate arm up and down, apply gentle traction to arm and slowly abduct, once abducted to 90 degrees then externally rotate, continue with oscillation and traction until reduced
37
38
Describe the stimson technique for CMR of ant. shoulder dislocation.
Patient is prone with affected limb hanging over the edge the exam table. a 10-15 lb wht is attached to wrist (provides traction in forward flexion) Traction overcomes the spasm and can often result in reduction within 20 minutes.
39
Describe the cunningham technique for CMR of anterior shoulder dislocation.
Cunningham: Sit facing the patient, patient moves shoulders up and back (shrug), massage patient biceps as the patient holds arm adducted and elbow flexed.
40
Describe the Fares technique for CMR of anterior shoulder dislocations
- Patient lies supine - Operator oscillates arm up and down, apply gentle traction to arm and slowly abduct, once abducted to 90 degrees then externally rotate, continue with oscillation and traction until reduced
41
Describe the scapular technique for CMR of anterior shoulder dislocations
often used in combination with Stimson technique; provider is behind patient with the superior aspect of the shoulders stabilized; the scapula is manipulated in a counterclockwise motion with superior stabilization and a medial force applied to the inferior angle.
42
Describe the milch technique for CMR of anterior shoulder dislocations
Patient supine steady downward traction is applied at the elbow combined with slow external rotation and abduction of the limb. Can use free hand to manipulate humeral head laterally and superiorly.
43
Describe the traction-counter traction technique for CMR of anterior shoulder dislocations
gradual traction applied to the affected arm while an assistant uses counter traction.
44
List 2 absolute contraindications for closed manual reductions of anterior shoulder dislocation in the ED.
1. Delayed presentation in the elderly 2. Dislocation + humeral neck fracture (causes AVN of humeral head)
45
outline post reduction care for anterior shoulder dislocation
1. Immobilize in internal rotation - 3 weeks in younger - 1 week in the elderly (higher risk of adhesive capsulitis) 2. Activity: - no overhead lifting - early ROM with gentle shoulder pendulum exercises daily, as well as elbow ROM exercises 3. Outpatient follow up with ortho or sport med
46
Describe sensory testing for anterior shoulder dislocation
Ulnar= lateral aspect of tip of pinky median= Radial aspect of tip of index radial= 1st web space Axillary= military patch of deltoid
47
List 3 fractures to look for in a post-reduction x-ray of a patient with an anterior glenohumeral shoulder dislocation
1. Avulsion of greater tuberosity 2. Hill sachs lesion 3. Bony bankhart
48
28 M presents to ED after a fall while riding his mountain bike. The patient states he went off a six-foot ramp and landed on his right shoulder. On exam: he is unable to move his right shoulder and is holding his R arm in internal rotation. X-ray of the right shoulder is obtained, as seen above. Which of the following is the most likely diagnosis?
Posterior shoulder dislocation MOI: caused by an axial force applied while the shoulder is internally rotated and abducted or by a direct blow to the anterior shoulder. Clinical presentation: arm will be held in adduction and internal rotation, and there is mechanical obstruction with active external rotation of the extremity.
49
List 4 XR findings in posterior shoulder dislocation
1. Loss of half moon elliptical overlap of humeral head and glenoid 2. Rim sign b/w glenoid and articular surface of humerus 3. Light bulb or drumstick appearance 4. Trough Sign --> reverse Hill-Sachs
50
List 3 types of posterior shoulder dislocation
- Subacromial (most common) - Subglenoid - Subspinous
51
List 3 injuries associated with with posterior shoulder dislocation
1. humerus surgical neck # 2. Reverse hill sachs injury (usually requires usrgery) 3. Rotator cuff injuries
52
List 4 common causes of posterior shoulder dislocation
1. Seizures/ epilepsy 2. electrocution 3. falls with axial force in internal rotation + adduction 4. Trauma
53
What is the best XR view for diagnosing posterior shoulder dislocation?
Posterior shoulder dislocations are commonly missed. Common x-ray findings are insensitive for the diagnosis. The axillary view is best for diagnosis
54
Outline the management for posterior shoulder dislocation
Reduction (CMR): □ Internal rotation + lateral traction □ Stimson technique can be used (f no engaged Hill-Sachs and no humeral neck fracture) - Immobilize with simple sling / external rotation sling - Ortho follow up in 1-2 weeks
55
35M with fall from a ladder and tried to catch himself with his right arm Patient was unable to put his arm down on exam On exam: Arm locked overhead in 110-160 degrees of abduction What is the most likely diagnosis?
Luxatio erecta uncommon shoulder dislocation ~ inferior displacement of the humeral head with loss of articulation with the glenoid fossa caused by severe arm hyperabduction **high rate of axillary nerve neuropraxia and branchial plexopathy
56
Out ine the management for Luxatio erecta
CMR + immobilization with sling (same as anterior ) Traction/countertraction maneuvers Surgery for young healthy active
57
Describe 4 special tests for Impingement syndrome
1. Painful arc - pain with active ROM 60-90 degrees (subacromial) or 120-180 degrees (acromioclavicular) 2. Neer impingement sign - pain with forced forward elevation while examiner locks the scapula in place. This is resolved by injection of 10cc beneath ant. Acromion 3. Hawkins-Kennedy - Arm placed into 90 degrees of flexion followed by internal rotation 4. Infraspinatus muscle test - resistance to external rotation with arm adducted and elbow flexed to 90
58
Describe expected physical exam findings with the following rotator cuff muscle tears: List one special test for each rotator cuff muscle a. Supraspinatous b. Infraspinatous c. Teres minor d. Subscapularis
a. Supraspinatous: Weakness to resisted elevation in Jobe position - Drop arm test - Pain with Jobe test b. Infraspinatous: ER weakness at 0° abduction - ER lag sgn c. Teres minor : ER weakness at 90° abduction and 90° ER - horn blowers sign d. Subscapularis: IR weakness at 0° abduction -Belly Press - Lift off
59
Outline the management for rotator cuff tears
MRI gold standard for diagnosis. Clinical dx in ED > out patient MRI analgesia immobilize in sling for comfort Physiotherapy ortho follow up 1-2 weeks Early surgical repair (< 4 months) is preferred in young or active individuals
60
Describe 2 special tests for biceps tendonitis
1. Yergason Test: - arm adducted and elbow flexed to 90 --> supinate against resistance and see if there is anterior shoulder pain (50% of cases) 2. Speed's Test: - forward flexion of the shoulder (elbow extended and forearm supinated) carried out against resistance and produces pain in the bicipital groove
61
What is the most common site for calcific tendonitis? How is it diagnosed? Outline the management?
a. supraspinatus tendon near its attachment to great tuberosity b. Diagnosis XR > calcific deposits in the involved tendon POCUS can identify and effectively localize calcific deposits c. Management: - Sling for comfort - NSAIDs - avoid offending activities - Refer to PCP / sports med in 1-2 weeks (may benefit from steroid injections or needle lavage procedures)
62
List 4 risk factors for adhesive capsulitis
1. Female 2. Age 40-60 3. Thyroid disease 4. DM
63
Define adhesive capsulitis
- Idiopathic inflammatory reaction within the capsule and leads to restricted active and passive ROM