Chapter 58 Flashcards

(18 cards)

1
Q

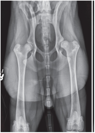
A seven-month-old Labrador Retriever is in your clinic for a routine screening of hip
dysplasia.
Name 3 abnormalities of the extended hip radiograph in the figure below?

A
  • Subluxation of the left hip joint
  • Poor femoral head coverage on the right hip joint
  • Bilaterally femoral head metaphyseal sclerosis, but no signs of osteoarthritis
How well did you know this?
1
Not at all
2
3
4
5
Perfectly
2
Q

The first radiographic signs of canine hip dysplasia can be seen at …A… weeks of age
and consists of …B…

A: A= 7 weeks B= only subluxation of the femoral head
B: A= 7 weeks B= subluxation of the femoral head and underdevelopment of the craniodorsal acetabular rim
C: A= 12 weeks B= only subluxation of the femoral head
D: A= 12 weeks B= subluxation of the femoral head and underdevelopment of the craniodorsal acetabular rim

A

B: A= 7 weeks B= subluxation of the femoral head and underdevelopment of the craniodorsal acetabular rim

How well did you know this?
1
Not at all
2
3
4
5
Perfectly
3
Q

Name 3 possible types of radiographic measurements for measuring hip joint laxity in
dogs.

A

Norberg angle
PennHIP distraction index
Percentage femoral head coverage

How well did you know this?
1
Not at all
2
3
4
5
Perfectly
4
Q

Briefly describe the different principles of the 3 measurements of question 3 and give
the reference range for a normal hip joint.

A
  • Norberg angle (NA): measurement of femoral head displacement from the
    acetabulum calculated by drawing a line connecting the centers of the femoral heads
    and one from the center of each femoral head to the cranliolateral acetabular rim on
    the same side. NA of 105 or more degrees is considered normal according to Tobias.
  • PennHIP distraction index (DI): measurement of maximal femoral head displacement
    from the acetabulum when the legs are placed in a neutral position and a distractive
    force is applied. The DI is calculated by dividing the distance between the geometric
    center of the acetabulum by the radius of the femoral head. DI less than 0.3 is
    considered normal according to Tobias. DI= d/r
  • Percentage feroral head coverage (FHC): measurement of femoral head
    displacement from the acetabulum. Normal FHC is defined as 50 or more precent of
    the femoral head is covered by the acetabulum.
How well did you know this?
1
Not at all
2
3
4
5
Perfectly
5
Q

Which of the following statements is/are true?

  1. Significantly increased hip joint laxity have been reported in dogs with higher
    volumes of synovial fluid in the hip joints.
  2. The first part of the Ortolani test is also called the Barlow test.

A: 1 is true 2 is false
B: 2 is true 1 is false
C: both are true
D: both are false

A

C: both are true

How well did you know this?
1
Not at all
2
3
4
5
Perfectly
6
Q

Which of the following statements is/are true?
1. Dogs with a positive Ortolani test have a higher change of later development of clinical signs of hip dysplasia and development of osteoarthritis in the Ortolani positive hip joint.

  1. In direct comparison of OFA (orthopedic foundation for animals) score and distraction index (DI), it is reported that about 50% of the hips scored OFA excellent had joint laxity with a DI of 0.3 or more.

A: 1 is true 2 is false
B: 2 is true 1 is false
C: both are true
D: both are false

A

B: 2 is true 1 is false

How well did you know this?
1
Not at all
2
3
4
5
Perfectly
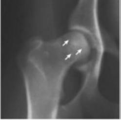
7
Q

Name the abnormality marked with the arrows in the figure below. Be specific.

A

Grade 2 circumferential femoral head osteophyte (CFHO) is seen as a white line at the articular margin of the femoral head.

How well did you know this?
1
Not at all
2
3
4
5
Perfectly
8
Q

Radiographic signs of osteoarthrosis denote a definitive diagnosis of canine hip
dysplasia but such signs are strongly influenced by the age of the animal at the time
of evaluation.
According to Tobias, what is the percentage correct diagnosed as dysplastic dogs at 1
year of age based on characteristic radiographic signs of canine hip dysplasia on the
hip-extended radiograph performed up to 5 years of age?

A

63-69%

6 months of age: 16-32%
1 year: 63-69%
2 years: 92-95%

How well did you know this?
1
Not at all
2
3
4
5
Perfectly
8
Q

PennHIP method requires that dogs be sedated and positioned in dorsal

recumbency. 3 different radiographic exposures are made; a ventrodorsal hip-
extended, a compression and a distraction. Besides this, there are two more

tests/techniques for measuring hip joint laxity in dogs. Name this 2 tests/techniques
and describe briefly the positioning of the dog for making this specific radiographs.

A

Dorsolateral subluxation (DLS): Sternal recumbency on a foam rubber mold. The
stifles are adducted and bound with tape. The distal tibiae are also bound with tape.
The distal aspect of the lateral femoral epicondyle is palpated and positioned te be
slightly caudal to the greater trochanter.
Flückiger stress technique: Dorsal recumbency. Femora are angled at 60 degrees to
the table top, and dorsally directed force is applied, causing dorsolateral
displacement of the femoral heads.

How well did you know this?
1
Not at all
2
3
4
5
Perfectly
9
Q

Which of the following statements regarding the PennHIP procedure are true/false?
a. The PennHIP procedure can be performed with documented accuracy as early
as 12 weeks of age
b. A distraction index of <0.30 means tight hips an distraction index of >0.70
means extreme hip joint laxity.

A

a = false, should be 16 weeks
b = true

How well did you know this?
1
Not at all
2
3
4
5
Perfectly
10
Q

A major advantage of the PennHIP method for practicing veterinarians is its ability to
assess the risk of a young dog developing the osteoarthritis of canine hip dysplasia
later in life. The PennHIP report includes three findings, what are those findings?

A

a. A subjective assessment of the presence and severity of osteoarthritis
b. A distraction index for each hip joint
c. A laxity ranking of the individual dog (based on the looser of two hip joints)
relative to other members of the breed

How well did you know this?
1
Not at all
2
3
4
5
Perfectly
11
Q

Which of the following statements is/are true?
a. Prospective analyses of the diagnostic sensitivity and specificity of methods to
palpate hip joint laxity as a function of long-term (greater than 2 years)
outcome measures have not been done in veterinary medicine.
b. More than 70% of dogs without an Ortolani sign, and therefore presumably
having tight ‘normal’ hip joints, had hip joint laxity indicating susceptibility to
osteoarthritis (DI >0.30).

A

a = true
b = false >50%

How well did you know this?
1
Not at all
2
3
4
5
Perfectly
12
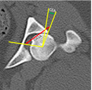
Q

In the picture below two angles are depicted to measure hip laxity on CT images.
a. What do these abbreviations stand for and explain how the lines are drawn.
b. Do they correlate with the PennHIP outcomes?

A

a CEA = center edge angle
DASA = dorsal acetabular sector angle
The DASA angle is the angle between a line from the center of the femoral head to
the dorsolateral edge of the acetabular rim and the horizontal pelvic axis.
The CEA is measured between a line from the center of the femoral head to the
dorsolateral edge of the acetabular rim and a line perpendicular to the horizontal pelvic
axis.
b Yes they do correlate with the PennHIP distraction index and cartilage microdamage
at 30 months of age.

How well did you know this?
1
Not at all
2
3
4
5
Perfectly
13
Q

According to the Tobias, what are the six critical characteristics of the ideal hip
screening method?

A
  1. It should be accurate
  2. It should be precise
  3. It is desirable to have a continuous scale
  4. It should be measurable as early in life as possible
  5. It must have a heritable component
  6. There must be selection pressure
How well did you know this?
1
Not at all
2
3
4
5
Perfectly
14
Q

Heritability and selection pressure are essential principles of quantative genetics. For
for any genetic complex trait, these two concepts determine the rate of expected
genetic change in the ensuing generation.
Explain Heritability and selection pressure.

A

Heritability reflects the degree to which the phenotype predicts the genotype.
Heritability is a number between 0 and 1.
Selection pressure is the amount of range in the phenotype in the breed. There must
be a certain range in the breed to improve the breed. If all members of a breed have
the same hip score, no further genetic change can be made.

How well did you know this?
1
Not at all
2
3
4
5
Perfectly
15
Q

Hip screening methods have been around for decades. Why does the method used
by the OFA show slow observed progress in improving hip joint phenotypes in the
Labrador retriever?

A

Because the heritability of the OFA score was found to be low, 0.21.
In addition to the low heritability of OFA scores in Labrador Retrievers, the ability to
obtain genetic improvement in hip joint quality using a hip-extended radiograph
score is made even more challenging by the difficulty in applying further
significant selection pressure as increasingly more dogs are graded as excellent or the
equivalent thereof.
Poor relationship between the hip-extended phenotype and later development
of osteoarthritis.
Also, the genetic progress drawn from databases based on voluntary radiograph
submission is difficult to interpret because of selection bias.

16
Q

The purpose of selective breeding is to maximize the proportion of dogs within a
population that have a target phenotype. The target phenotype is defined by the
interplay of the heritability of the selection phenotype, the selection pressure that
can be applied, and the ‘value’ of the target outcome and how it relates to the
disease or trait of interest, in this case, hip osteoarthritis.
What are the target phenotypes of;
The OFA?
The BVA/KC system?
The PennHIP system?
The FCI?

A

OFA; excellent score
BVA/KC; 0 out of a total of 106 points
PennHIP; DI <0.30
FCI; A

17
Q

In an investigation of 439 dogs having both official OFA scores and official PennHIP
scores it was found that the OFA scores of Excellent, good and fair had a relatively

high chance of receiving a PennHIP DI score of > 0.30, putting them into the osteo-
arthritis susceptible range.

What where the percentages for each OFA group receiving a DI score of >0.30
A. Excellent; 23% Good;41% Fair;55%
B. Excellent; 35% Good;62%Fair;75%
C. Excellent;52% Good;82% Fair;95%
D. Excellent;61% Good;93% Fair; 98%