
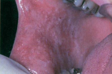
Linea alba

Morsitcatio Buccarum (linea alba ripped apart)

Traumatic ulcerations

Riga fede disease

Thermal burns

chemical injuries

Xerostomia

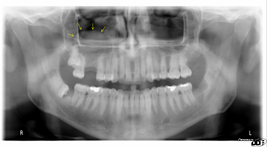
Osteoradionecrosis

Bisphosphonate related Osteonecrosis of the jaw (BRONJ)

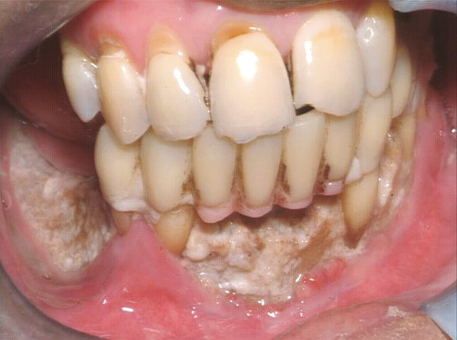
Mathamphetamine use

Exfoliative Cheilitis

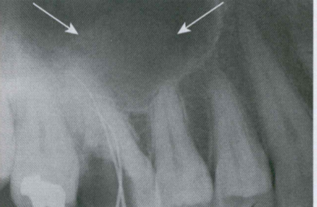
Amalgam Tattoo (radiograph will see little flecks)

Smokers melanosis

antral pseudocyst

Antral pseudocyst