What are the different subjects that will be discussed in the lecture? (you obv don’t have to learn this)
What are the two characteristics of a stem cell?
How is the process called whereby stem cells become specialized to perform a particular function
Differentiation
In what two ways can a stem cell divide?
Symmetrical (copy) and asymmetrical (differentiation)
What are the different types of stem cells and their characteristics?
Which cells are in heterochromatin, and which are in euchromatin form: stem cells or differentiated cells?
Stem cells can also be divided into embryonic stem cells and adult stem cells. Can you explain what they mean?
There are many different strategies for stem cell therapy but what are the three types that will be discussed?
How are embryonic stem (ES) cells ‘made’?
Embryonic stem cells are derived from inner cell mass (from embryo’s)
How are induced pluripotent stem (iPS) cells ‘made’?
They are induced, by adding repogragramming factors (Yamanaka factors) to mature differentiated cells, so they become pluripotent stem cells

How are nuclear transfer embryonic stem (NT-ES) cells ‘made’?
This was how Dolly was made, a cytoplasmic donor with enucleated cell/oocyte and a somatic nuclear donor cell is needed. After the cell and the DNA are ‘merged’, it is injected in a third animal that will carry the blastocyst.

In the cell, there is a balance between self-renewal and differentiation. What happens when the cell is in balance?
There is tissue homeostasis, a.k.a. normal tissue
In the cell, there is a balance between self-renewal and differentiation. What happens when the cell is shifted towards differentiation?
There is tissue aging and/or degeneration
In the cell, there is a balance between self-renewal and differentiation. What happens when the cell is shifted towards self-renewal?
Cancer.

For an overview of the different ‘balances’, see this figure
So, tumor cells are associated with self-renewal. In what ways can they acquire self-renewal?
What is the evidence that suggests that stem cells are the origin of cancer? (+ can you also name examples?)
There is additional evidence for stem cell origin of tumors… what are they?
(besides:
Earlier, we noticed that tumor specific mutations that are present in the normal stem cell compartment are additional evidence that stem cells are the origin of tumors. How is this phenomenon called and how does it ‘work’?
Clonal hematopoiesis (CHIP): aging related phenomenon in which hematopoietic stem cells (HSCs) contribute to the formation of a genetically distinct subpopulation of blood cells (example: acute and chronic myeloid leukemia)

Earlier, we noticed that the presence of similar cell surface markers in normal and cancer stem cells is evidence that stem cells are the origin of cancer. What are some examples of diseases where these markers can be used?
Examples are AML, CML and brain tumors, but as you can see in this figure there are many more

In cancer, there is heterogeneity. What does this mean?
Tumor heterogeneity refers to observations that although cancer formation is believed to be a clonal process beginning with a single transformed cell, not all malignant cells within a tumor are the same
How does heterogeneity occur? (3 answers)

What is the definition of stemness and what three things belong to stemness?
Stemness refers to common molecular processes underlying the core stem cell properties of self-renewal and the generation of differentiated progeny.

True/false: The severity of cancer is directly related to the stemness of the cell
True! This also means that the patient survival can be predicted upon the factors that impinge on stemness, and also the treatment is less effective if the cell has more of these features
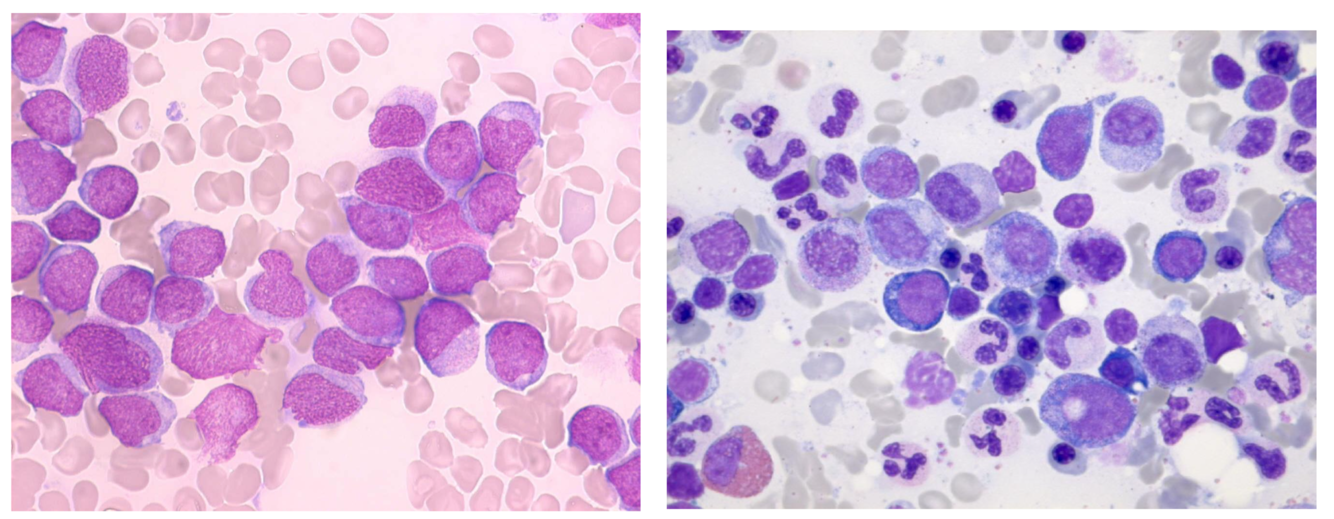
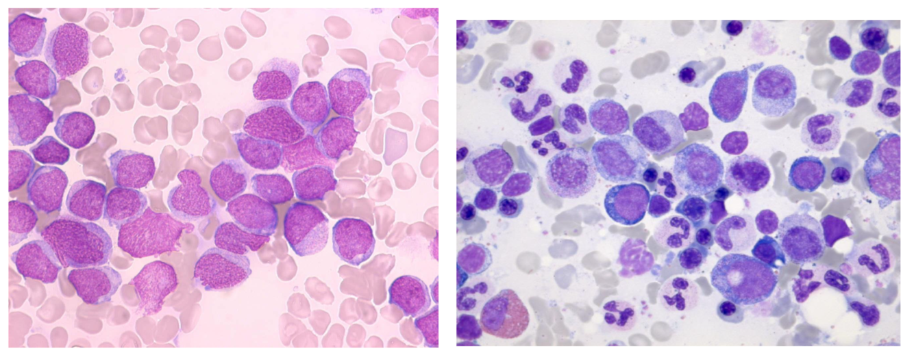
Which of these two figures shows a normal bone marrow, and which shows (immature) blast cells?

The left figure is a blast cell, the right figure is a normal bone marrow
