Where are polyps more common?
Polyps are most common in the colon but may occur in the esophagus, stomach, or small
intestine.
How do polyps begin?
Most, if not all, polyps begin as small elevations of the mucosa.
These are referred to
as sessile, a term borrowed from botanists who use it to describe flowers and leaves that grow directly from the stem without a stalk.
As sessile polyps enlarge, several processes,including what?
What are pedunculated polyps?
Polyps with stalks are termed pedunculated.
In general, intestinal polyps can be classified as what?
What is the most common neoplastic polyp ?
adenoma,
which has the potential to progress to cancer.
The nonneoplastic
polyps can be further classified as what?
What is an example of purely inflammatory lesion?
The polyp that forms as part of the solitary rectal ulcer syndrome is an example of a purely
inflammatory lesion.
What is the clinical triad of inflammatory polyp?
What is the underlying cause in solitary rectal ulcer syndrome?
The underlying cause is impaired
relaxation of the anorectal sphincter that creates a sharp angle at the anterior rectal shelf and
leads to recurrent abrasion and ulceration of the overlying rectal mucosa.
Inflammatory polyp ultimately form as a result of what reasons?
chronic cycles of injury and healing.
Entrapment of this polyp in the fecal stream leads to mucosal prolapse.
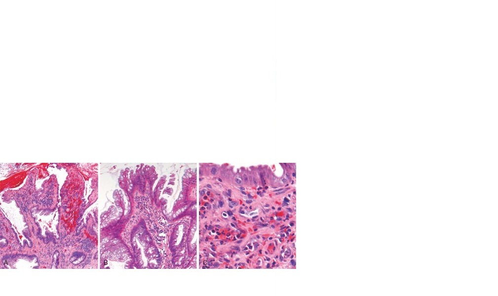
Thus, the distinctive histologic features are
those of a typical inflammatory polyp with superimposed mucosal prolapse and include lamina
propria fibromuscular hyperplasia, mixed inflammatory infiltrates, erosion, and epithelial
hyperplasia ( Fig. 17-41 ).

FIGURE 17-41 Solitary rectal ulcer syndrome.
What are Hamartomatous polyps?
occur sporadically and in the context of various genetically determined or acquired syndromes ( Table 17-9 ).
Recall that hamartomas are tumor-like growths
composed of mature tissues that are normally present at the site in which they develop.
Although hamartomatous polyposis syndromes are rare, what is their importance?
they are important to recognize
because of associated intestinal and extra-intestinal manifestations and the possibility that
other family members are affected.
TABLE 17-9 – Gastrointestinal Polyposis Syndromes
Syndrome
TABLE 17-9 – Gastrointestinal Polyposis Syndromes
Peutz-Jeghers
syndrome
TABLE 17-9 – Gastrointestinal Polyposis Syndromes
Juvenile polyposis
TABLE 17-9 – Gastrointestinal Polyposis Syndromes
Cowden syndrome,
Bannayan- Ruvalcaba-Riley
syndrome
TABLE 17-9 – Gastrointestinal Polyposis Syndromes
Cronkhite-Canada
syndrome
TABLE 17-9 – Gastrointestinal Polyposis Syndromes
Tuberous
sclerosis
TABLE 17-9 – Gastrointestinal Polyposis Syndromes
Familial
adenomatous
polyposis (FAP
Classic FAP
Attenuated FAP
TABLE 17-9 – Gastrointestinal Polyposis Syndromes
Gardner
syndrome
TABLE 17-9 – Gastrointestinal Polyposis Syndromes
Turcot syndrome
What are juvenile polyps?