Chest Flashcards

(24 cards)

1
Q

Solitary pulmonary nodule

A
  1. Hamartoma
  2. Neoplasm (speckled of eccentric calms are suspicious)
  3. Granuloma

Benign calcification is ** central, diffuse, laminated or popcorn**

How well did you know this?
1
Not at all
2
3
4
5
Perfectly
2
Q

Multiple pulmonary nodules

A
  1. Mets
  2. TB or granumomatous disease (Wegners, RA)
  3. Septic emboli

Haematogenous spread tends to favour lower lobes (mets and infection)

How well did you know this?
1
Not at all
2
3
4
5
Perfectly
3
Q

Cavitatory lung mass

A
  1. TB (reactivation rather than primary)
  2. Pulmonary Abscess (usually staph)
  3. Squamous cell carcinoma (primary and mets)

ALso think of Fungal Histoplasmosis, RA, Wegners

How well did you know this?
1
Not at all
2
3
4
5
Perfectly
4
Q

Miliary Nodules

A
  1. TB (due to haematogenous spread. 1-3mm micronodules. Immunocom, elderly, children
  2. Mets
  3. Fungal infection (aspergillus, cryptococcus, histoplasma)

Miliary upper lobe nodules - think inhalational coal workers pneumoconiosis or silicosis

How well did you know this?
1
Not at all
2
3
4
5
Perfectly
5
Q

Miliary nodules due to mets

3 most common primaries?

TRM

A
  1. Thyroid
  2. Renal
  3. Melanoma
How well did you know this?
1
Not at all
2
3
4
5
Perfectly
6
Q

Calcified miliary nodules?

A

Healed varicella

How well did you know this?
1
Not at all
2
3
4
5
Perfectly
7
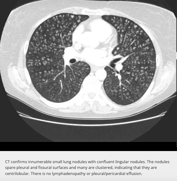
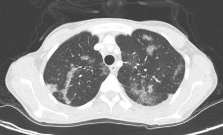
Q

Centrilobular nodules

Differentials

(think inhalational)

Where are they located?

A

Located usually 3-5mm away from pleural surface and fisures. Within secondary pulmonary nodule. Can be any size or even ground glass. Distribution of most important.

  1. Bronchiolitis due to infection (TB and MAI windermere)
  2. Hypersensivity pneumonitis
  3. Endobronchial spread of a lung tumour

Also think silicosis (inhalational)

How well did you know this?
1
Not at all
2
3
4
5
Perfectly
8
Q

Tree in bud

A

These are another word for branching centrilobular nodules

How well did you know this?
1
Not at all
2
3
4
5
Perfectly
9
Q

Cystic lung disease

A
  1. Emphysema
  2. LAM
  3. LCH
How well did you know this?
1
Not at all
2
3
4
5
Perfectly
10
Q

Collagen vascular diseases

Name some

A
  1. RA
  2. Scleroderma
  3. SLE
How well did you know this?
1
Not at all
2
3
4
5
Perfectly
11
Q

Lower lobe ILD/fibrosis

A
  1. UIP most common
  2. Scleroderma/RA
  3. Aesbestos related disease

Amiodarone/Belomycin should also be considered

How well did you know this?
1
Not at all
2
3
4
5
Perfectly
12
Q

Upper lobe fibrosis

A

Elevation of the hila due to fibrosis. Coarse interstitial markings

  1. Reactivation TB (cavitatory nodules and fibrosis)
  2. Sarcoidosis/Silicosis
  3. Cystic fibrosis
How well did you know this?
1
Not at all
2
3
4
5
Perfectly
13
Q

Unilateral hyperlucent lung

A
  1. Poland syndrome
  2. Mastectomy
  3. Swyer james (obliterative bronchiolitis)
  4. Scoliosis

Don;t forget pneumothorax. FB

PE can also give hyperlucent lung due to lack of blood flow

How well did you know this?
1
Not at all
2
3
4
5
Perfectly
14
Q

Anterior mediastinal mass

A
  1. Thyroid (goitre)
  2. Lymphoma (Hodgkins usually)
  3. Teratoma/Seminoma
  4. Thymoma
How well did you know this?
1
Not at all
2
3
4
5
Perfectly
15
Q

Middle Mediastinum mass

A
  1. Lymphadenopathy (hilar, paratracheal)
  2. Thoracic aortic aneurysm
  3. Bronchogenic cyst (most common cyst)
  4. Hiatus hernia
How well did you know this?
1
Not at all
2
3
4
5
Perfectly
16
Q

Bronhcogenic cyst

A

Middle mediastinal mass usually

17
Q

Posterior mediastinal mass

A
  1. Neuroblastoma (think if calcification, bony erosion or mets)
  2. Extramedullary haematopoesis
  3. Duplication cyst (can include bronchogenic. All looks the same though. Neuroenteric cysts will have spinal malformations)

Lymphoma can also be posterior mediastinal

18
Q

Extramedullary haematopoesis

Causes?

A

In patients with severe and chronic anaemia

  1. Thalassaemia
  2. Sickle cell
  3. Hypersplenism

Usually bilateral and asymmetric paraspinal masses

Causes trabecular pattern in bones

19
Q

How to tell if a mass is in posterior mediastinum on CXR?

A

Rib erosion or splaying of ribs confirms

20
Q

Crazy paving differentials

A
  1. Pulmonary alveolar proteinosis (filling of alveolar spaces with protein)
21
Q

Multifocal peripheral consolidation/ground glass

COP

A
  1. Cryptogenic organising pneumonia (more lower lobe. Subpleural sparing)
  2. Eosinophilic pneumonia (upper lobe more than lower. Can look like pulmonary oedema)

Eosinphilic

22
Q

Ground glass opacification

A
  1. Pulmonary oedema
  2. Pulmonary haemorrhage
  3. Atypical infection (PCP, CMV)
  4. ARDS

ARDs vs pulmonary oedema: normal size heart and no pleural effusion in ARDS

23
Q

Mediastinal and/or hilar lymphadenopathy

A
  1. Reactive to infection (TB and fungal nodes calcify)
  2. Lymphoma
  3. Sarcoidosis

Consider metastatic disease also

24
Q

Calcification of the pleura

A
  1. Pleural plagues (usually bilateral. spares costophrenic angles)
  2. Sequelae of previous empyema, healed TB or previous haemothorax
  3. Talc pleurodesis can mimic calcification