chest x rays Flashcards

(25 cards)

1
Q

what is important to check before you assess the x ray?

A
  • name
  • DOB
    -medical record number
How well did you know this?
1
Not at all
2
3
4
5
Perfectly
2
Q

what does PIRE stand for in terms of assessing for quality?

A

-projection
-inspiration
-exposure
-rotation

How well did you know this?
1
Not at all
2
3
4
5
Perfectly
3
Q

how is an AP X-ray taken?

A

-plate is placed behind the person
-xray is taken from the front causing the heart to appear larger than on the PA

How well did you know this?
1
Not at all
2
3
4
5
Perfectly
4
Q

how is a PA xray taken?

A

-plate is placed in front of the person
-xray is taken from behind, this then hits the heart slightly later

How well did you know this?
1
Not at all
2
3
4
5
Perfectly
5
Q

are most x rays PA or AP?

A

PA
- the person is asked to move their arms to take their scapula away from the lung fields to make it easier to read

How well did you know this?
1
Not at all
2
3
4
5
Perfectly
6
Q

Why is a good inspiratory effort important on CXR?

A

it allows all of the structures to be more visible

How well did you know this?
1
Not at all
2
3
4
5
Perfectly
7
Q

what ribs should you see on a chest xray?

A

-5-6 anterior ribs (in blue in pic)
-9 posterior ribs (purple)

How well did you know this?
1
Not at all
2
3
4
5
Perfectly
8
Q

what condition might be present if there’s more than 6 anterior ribs visible on xray?

A

-COPD

How well did you know this?
1
Not at all
2
3
4
5
Perfectly
9
Q

what colours are air, bone and tissue on xray?

A

–air
-bone
-tissues

if toast is overdone, what colour is it

How well did you know this?
1
Not at all
2
3
4
5
Perfectly
10
Q

how do you assess for rotation on chest xray?

A

-the space between the medial clavicle and the margin of the adjacent vertebrae should be equal to each other

How well did you know this?
1
Not at all
2
3
4
5
Perfectly
11
Q

what are the important anatomical landmarks to see on a chest x ray?

A

-manubrium
-diaphragm / liver
-heart - sup VC, aortic arch, atriums, inferior VC
-left main bronchus
-right main bronchus

How well did you know this?
1
Not at all
2
3
4
5
Perfectly
12
Q

what is the systematic approach to read a chest xray?

A

-A- airways
-B-bones
-C-cardiac
-D-diaphragm
-E-effusions
-F-fields
-G-gastric bubble
-H- hardware

How well did you know this?
1
Not at all
2
3
4
5
Perfectly
13
Q

how to you read airway?

A

-check for position of the trachea and the carina
-is there any evidence of shifting of the structure ?
-is there an endotracheal tube in place?

How well did you know this?
1
Not at all
2
3
4
5
Perfectly
14
Q

what do you look out for in reading bones?

A

-fractures
-scoliosis

How well did you know this?
1
Not at all
2
3
4
5
Perfectly
15
Q

what do you look out for in terms of ‘cardiac’?

A

-check the ratio of the heart size: width of thorax (normal adult ratio is less than 50%)
-if heart is enlarged, it may indicate cardiomegaly, but you cannot judge this accurately on AP film
-check borders - edges of the heart should be clear which ensures nothing is obscuring this silhouette eg pulmonary oedema

How well did you know this?
1
Not at all
2
3
4
5
Perfectly
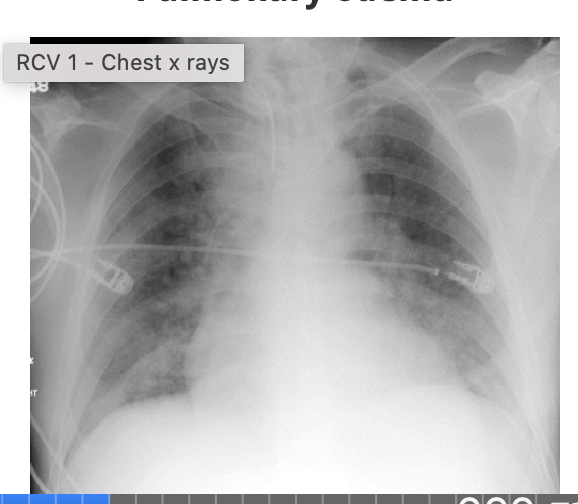
16
Q

what is an example of a condition in which the heart borders are blurred?

A

-pulmonary oedema

17
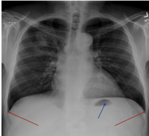
Q

how to check the diaphragm on chest xray?

A

-check the position of the R & L semi-diaphragm, the right should be higher than the left due to the liver
-also should be a nice dome shape
-check for any flattening - can be seen in hyper inflated lungs as seen in COPD
-check cardio phrenic and cost phrenic angles on diaphragm

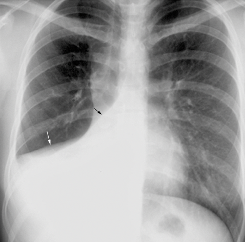
18
Q

what is an effusion?

A

an accumulation of fluid in an anatomic space

19
Q

how do you check for fields on an xray?

A

-check the lung fields - compare left to right lung
-are the volumes of the lungs equal?
-are there any differences overall?

20
Q

what is consolidation?

A

-accumulation of solid or liquid material in the air spaces and lung parenchyma
-loss of silhouette
-increase in opacity (ie quality)

21
Q

what would a Lower lobe collapse look like on an xray?

A

-increased opacity
-loss of silhouette

22
Q

what is a gastric bubble and what does it look like on a chest xray?

A

-gas in the fundus of the stomach - completely normal
-seen in approx 70% of chest X-rays

23
Q

how many anterior ribs should you see on an adequately inspired chest xray?

24
Q

which hemidiaphragm sits higher on chest xray?

25
what do you look for of hardware on chest x rays?
-any medical lines or devices attached to the person -ECG (left) -nasogastric tube (right)