Chiari Flashcards

(17 cards)

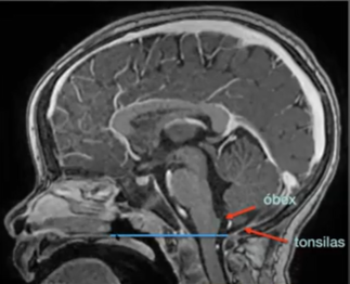
1
Q

Para delimitar o chiari, é importante entender onde termina a fossa posterior e quais são as linhas de referência;

Caracterize

linha de Chamberlain
Linha de McGregor
Linha de McRAE
Linha de Twinings

A

Chamberlain: Palato duro até o opistio (positivo se < 2mm abaixo)

McGregor: Mesma coisa mas vai abaixo do opistio

Note que no normal o óbex (marca o começo do canal medular central) tem que estar na linha ou acima dela (marca também o grácil e cuneiforme). A tonsila também acima e o dontoide abaixo (se estiver acima vai chamar de invaginação basilar)

Somente a medida abaixo da linha não é suficiente pra caracterizar o chiari

Quando você aperta o obex (marca final do IV ventriculo) e IV ventriculo, você diminui o fluxo liquorico pela medula.

O clivus fica mais curto.

How well did you know this?
1
Not at all
2
3
4
5
Perfectly
2
Q

Qual a diferença entre Chiari tipo I e tipo 1,5

A

Tipo 1: Apenas a tonsila hernia pelo forame magno

Tipo 1,5: Tonsila e o tronco cerebral (o óbex fica abaixo da linha de chamberlain)

How well did you know this?
1
Not at all
2
3
4
5
Perfectly
3
Q

Por qual motivo o nome malformação de chiari não se usa mais?

A

Porque a fossa posterior pode ter diversos formatos diferentes, mas nem todos causam sintomas ou clínica. Então você tem as deformidades da fossa posterior e as deformidades Chiari

How well did you know this?
1
Not at all
2
3
4
5
Perfectly
4
Q

Critérios europeus para Chiari I

A

Não existe critério anatômico confiável. Qualquer descida tonsilar nao reversível que impeça a passagem normal do liquor.

Cerebelo tem que ser normal

NORMALMENTE abaixo de 5mm (borderlina 3-5mm)

How well did you know this?
1
Not at all
2
3
4
5
Perfectly
5
Q

Qual a fisiopatologia mais aceita para a siringomielia no chiari tipo I

A

O fluxo liquorico nao passa da fossa posterior pro canal raquiano

Na sistole empurra pra baixo, mas como não tem fluxo, na diástole tem um fluxo reverso, fazendo um movimento de pistão.

How well did you know this?
1
Not at all
2
3
4
5
Perfectly
6
Q

Chiari tipo I

Sexo
Sintomatologia

A

Feminino (3:1)
Criança nao vale essa predileção

Atenção: Pode ser assintomático e se resolver espontaneamente.

Pode fazer esporte! Só nao pode de impacto.

How well did you know this?
1
Not at all
2
3
4
5
Perfectly
7
Q

Estabeleça as diferenças

Chiari tipo 0

Chiari tipo I
Chiari Tipo 1.5
Chiari Tipo II
Chiari tipo III

Chiari tipo IV
Chiari Tipo V

A

Tipo 0 : Fossa posterior “apertada” E seringomielia mas com tonsila < 3mm.

Tipo I: Herniação da tonsila > 5 mm abaixo do forame magno com ou sem hidromielia

Tipo 1.5 = Além da tonsila, desce o tronco cerebral (obex abaixo da linha)

Tipo II: É a descida das estruturas da fossa posterior pelo forame magno associado a mielomeningocele

Tipo III = Tipo II + Disrafismo occipital (cefalocele)

Tipo IV = Nao se usa mais. Cerebelo pequeno com encefalocele occipital (tipo II com cerebelo “ausente”)

Tipo V = Disrafismo da fossa posterior sem cerebelo e o occipital é quem sai pelo forame magno

Originalmente só existe 1,2, 3 e 4. Os demais nomes vieram depois

How well did you know this?
1
Not at all
2
3
4
5
Perfectly
8
Q

Imagem de um Chiari tipo 0

A

Tipo 0 : Fossa posterior “apertada” E seringomielia mas com tonsila < 3mm.

How well did you know this?
1
Not at all
2
3
4
5
Perfectly
9
Q

Imagem de um Chiari tipo I

A

Tipo I: Herniação da tonsila > 5 mm abaixo do forame magno com ou sem hidromielia

How well did you know this?
1
Not at all
2
3
4
5
Perfectly
10
Q

Imagem Chiati tipo 1.5

A

Tipo 1.5 = Além da tonsila, desce o tronco cerebral (obex abaixo da linha)

Costuma ser mais grave e mais resistente que a tipo I

How well did you know this?
1
Not at all
2
3
4
5
Perfectly
11
Q

Imagem Chiari tipo II

A

Ela foi descrita por arnold, e por isso Arnold-Chiari SÓ VALE PRA TIPO II

Tipo 2 = 2 lugares (medula e cerebelo!)

How well did you know this?
1
Not at all
2
3
4
5
Perfectly
12
Q

Imagem de Chiari tipo III

A

ipo III = Tipo II + Disrafismo occipital (cefalocele)

How well did you know this?
1
Not at all
2
3
4
5
Perfectly
13
Q

Imagem Chiari tipo IV

A

Tipo IV = Nao se usa mais. Cerebelo pequeno com encefalocele occipital (tipo II com cerebelo “ausente”)

How well did you know this?
1
Not at all
2
3
4
5
Perfectly
14
Q

Imagem Chiari tipo V

A

Tipo V = Disrafismo da fossa posterior sem cerebelo e o occipital é quem sai pelo forame magno

Tipo 5 = 5 vezes se ferrou porque não sobrou nada alem do occipital

How well did you know this?
1
Not at all
2
3
4
5
Perfectly
15
Q

Quando tratar o Chiari tipo I

A

Cefaléia (valsalva / Duração curta / Posterior do cranio)
Escoliose
Torcicolo
Dor cervical
Limitação do movimento do pescoço
Alteração da marcha
Fraqueza de extremidades
Parestesia

How well did you know this?
1
Not at all
2
3
4
5
Perfectly
16
Q

Qual diferença entre seringomielie e hidromielia.

Como diferenciar

A

Seringomielie é uma cavidade cística dentro da medula.

Hidromielia é o aumento do canal central da medula por LCR. Toericamente a hidromielia é uma seringomielia.

Na imagem não tem como diferenciar.

Causa mais comum de seringomielia: Chiari tipo I (43%) . Seringomielia significa que o chiari pode ser mais sintomatico.

17
Q

tratamento para Chiari

Pede o restante do neuroeixo?

A

Descompressão da fossa posterior
Laminectomia C1
Aspiração subpial das tonsilas
Duroplastia

Pode ser só descompressão óssea (discutível).

Sim, você pode ter alteração do filum terminalis, que pode ser a primeira opção de cirurgia.