Chromosomes & Chromosomal Abnormalities Flashcards

(37 cards)

1
Q

Somatic nondisjunction during mitosis contributes to aneuploidy in cancer cells. This results from the failure of what cell cycle checkpoint?

A

Spindle assembly checkpoint in M phase

How well did you know this?
1
Not at all
2
3
4
5
Perfectly
2
Q

How are the short and long arms of chromosomes identified?

A

Short arm - p

Long arm - q

How well did you know this?
1
Not at all
2
3
4
5
Perfectly
3
Q

What is the most common cause of trisomies?

A

Nondisjunction

How well did you know this?
1
Not at all
2
3
4
5
Perfectly
4
Q

What clinical features are associated with Down Syndrome?

A

Decreased intellectual ability, severe hypotonia in newborns, congenital abnormalities, increased risk of acute leukemia, abnormal immune response

How well did you know this?
1
Not at all
2
3
4
5
Perfectly
5
Q

A cell has 69 chromosomes. Is this cell euploid or polyploid?

A

The cell is both euploid (multiple of 23 chromosomes) and polyploid (one complete set of extra chromosomes).

Haploid gametes and diploid cells are euploid, but not polyploid.

How well did you know this?
1
Not at all
2
3
4
5
Perfectly
6
Q

Prader-Willi and Angelman syndromes may be associated with what chromosomal abnormality?

A

Microdeletions

How well did you know this?
1
Not at all
2
3
4
5
Perfectly
7
Q

How do microdeletions differ from deletions?

A

In deletions, an entire chromsomal arm is deleted. In microdeletions, only a region or band is deleted.

How well did you know this?
1
Not at all
2
3
4
5
Perfectly
8
Q

What are the structural chromosomal abnormalities?

A

Inversions, ring chromosomes, isochromosomes, translocations, deletion, microdeletions

How well did you know this?
1
Not at all
2
3
4
5
Perfectly
9
Q

True/False. Phenotypes on ring chromosomes are associated with deleted genes.

A

True. Deletion of genes during formation of the ring chromosome results in phenotypic changes. If no genes are deleted then there will be no phenotypic changes.

How well did you know this?
1
Not at all
2
3
4
5
Perfectly
10
Q

Differentiate between a submetacentric and acrocentric chromosome.

A

In a submetacentric chromosome, the centromere is located near the middle of the chromosome, but is not exactly in the center. This results in a short and a long arm.

In an acrocentric chromosome, the centromere is located at one end of the chromosome. This results in a short and a long arm. The short arm also contains satellites.

How well did you know this?
1
Not at all
2
3
4
5
Perfectly
11
Q

What process takes place during meisos to increase genetic diversity of gametes by allowing for different combinations of traits?

A

Recombination via crossing over between homologous chromosomes

How well did you know this?
1
Not at all
2
3
4
5
Perfectly
12
Q

True/False. Robertsonian translocations always result in mutant phenotypes.

A

False. Individuals with a Robertsonian Translocation are phenotypically normal. They are are increased risk of producing abnormal gametes, also increasing risk for chromosomal disorders such as Down Syndrome.

How well did you know this?
1
Not at all
2
3
4
5
Perfectly
13
Q

What are the clinical features of Klinefelter syndrome?

A

In males - hypogonadism, gynecomastia, sparse body hair, reduced muscle mass

Infertility, normal IQ but predisposition for learning disabilities

How well did you know this?
1
Not at all
2
3
4
5
Perfectly
14
Q

What are the sex chromosome aneuploidies?

A

Klinefelter Syndrome (XXY)

Turner Syndrome (45,X)

Trisomy X (XXX)

Jacob Syndrome (XYY)

How well did you know this?
1
Not at all
2
3
4
5
Perfectly
15
Q

A newborn has rocker-bottom feet, a small head, and clenched fists. As the newborn ages, significant developmental disabilities and a congenital heart defect are noted. What disorder is causing the observed symptoms?

A

Edwards Syndrome - Trisomy 18

How well did you know this?
1
Not at all
2
3
4
5
Perfectly
16
Q

Chromosome loci are named based on chromosome number, arm, region, and band. Identify the circle loci on the chromosome.

17
Q

How can aneuploidy result from nondisjunction in meiosis?

A

Failure of homologous chromosomes to separate in meiosis I

OR
Failure of sister chromatids to separate during meiosis II

18
Q

What is an unbalanced chromosomal abnormality with loss of one arm and duplication of the other?

A

Isochromosome

19
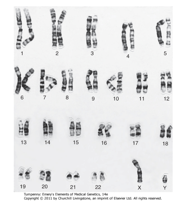
Q

Flip to view a normal male karyotype.

20
Q

What are the two classes of chromosomal abnormalities?

A

Structural & numerical

21
Q

What is mosaicism?

A

Mosaicism is the concept that cells in the body may sometimes be genetically different than other cells, with different genotypes and phenotypes. The mature organism is a mosaic of mutated and non-mutated cells.

22
Q

What is a Robertsonian translocation?

A

Translocation involving two acrocentric chromosomes. The short arm of one chromosome is exchanged for the long arm of another to create a larger metacentric chromosome. Offspring are phenotypically normal. Any chromosome fragments that fail to integrate at degraded.

23
Q

What characteristics are associated with Trisomy X?

A

Sterility, irregular menses, mildly decreased IQ

24
Q

Why is the incidence of certain single-gene disorders associated with greater paternal age?

A

Primary spermatocytes undergo cell division beginning at puberty until death. The greater the number of cell divisions, the more likely point mutations and thus single-gene disorders are to occur.

25
What causes isochromosomes?
Horizontal, rather than vertical, division
26
The risk of chromosomal abnormalities increases with the age of which parent?
Mother - oocytes undergo meiotic arrests. Greater risk of nondisjunction or other chromosomal abnormalities is associated with longer oocyte arrest
27
An individual is known to have germline mosaicism. What is their phenotype? What would be the phenotype of their offspring?
Germline mosaicism occurs if there is a mutation in embryonic development in all or some of the germline. The individual will display normal phenotype, but will pass the mutations to their offspring. Offspring may have normal or mutant phenotype.
28
What disorders are associated with chromosomal deletions?
Wolf-Hirschhorn Cri-du-chat
29
What are the three autosomal trisomies?
Trisomy 21 - Down Syndrome Trisomy 18 - Edwards Syndrome Trisomy 13 - Patau Syndrome
30
What is the difference between pericentric and paracentric inversion?
Paracentric inversions do not involve the centromere, while paricentric inversions do involve the centromere.
31
The parent of teenage patient presents with concerns as the patient has not developed secondary sex characteristics. Upon observation, you also note the patient has short stature and webbed neck. What disorder is affecting the patient?
Turner Syndome
32
The centromere is located in the middle of this type of chromosome, resulting in equal arms.
Metacentric chromosome
33
What characteristics are associated with Jacob Syndrome?
Taller than average, reduced IQ, increased incident of behavioral disorders and learning disabilities
34
What are the characteristics and clinical features of Patau Syndrome (Trisomy 13)?
Small head, sloping forehead, large nose, small eyes, cleft lip, significant developmental disabilities, malformation of CNS, heart defects, renal abnormalities
35
How does mosaicism differ from chimerism?
In mosaicism, cells are from the same zygote and differ only by the result of a mutation. In chimerism, two zygotes fuse to form one embryo.
36
What is a translocation?
A segment of one chromosome is transferred to another chromosome
37
How does mixoploidy differ from aneuploidy?
In mixoploidy, only some cells have extra chromosomes in mosaic form. In aneuploidy, all cells have the addition or deletion of individual chromosomes.