chronic inflammatory conditions are
incredibly common - not usually life threatening - debilitating (IBD and RA)
definition
prolonged inflammation with associated repair
characterised by
how does chronic inflammation arise
sometimes the proportion of cell types can
indicate diagnosis
which cells are indicative of rheumatoid arthritis
mainly plasma cells
which cells are indicative of chronic gastritis
mainly lymphocytes
which cells are indicative of of leishmaniasis (protozoal infections)
mainly macrophages
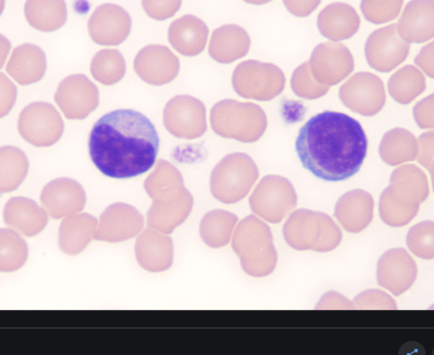
which cells are involved in chronic inflammation
macrophages in circulation
monocytes
macrophages once entering tissue space
macrophage (histiocyte)
features of macrophages

primary role of maxcrophage
phagocytosis - removal of pathogens/ necrosis/ debris - antigen presentation to immune system
secondary role of macrophages
macrophages can look different depending on
what stimulus they are eating

lymphocyte features
subdivided into T and B lymphocytes (cant distinguish appearance- have to use immunohistochemistry)

T lymphocytes
CD8+ (protein on surface)- Cytotoxic (MHC I)
CD4+- helper T cells (MHC II)
B lymphocyte
Mature into plasma cells
Produce antibodies (immunoglobulins)
Neutralises pathogens
plasma cell features

function of plasma cells
fully differentiated B lymphocytes
Produce antibodies
features of eosinophils

why is the cytoplasm of an eosinophil bright red and granuklar
features of fibroblasts/myofibroblasts

role of fibroblast/myofibroblast