CID Flashcards

(11 cards)

1
Q

¿Qué es?

A

Generación excesiva y anormal de trombina y fibrina en la sangre

How well did you know this?
1
Not at all
2
3
4
5
Perfectly
2
Q

¿CID explosiva?

A

Neoplasias: LPA (M3)

How well did you know this?
1
Not at all
2
3
4
5
Perfectly
3
Q

Etiologías más importantes

A
  • Sepsis GN
  • Obstétricas
  • Neoplasias
  • Autoinmunidad
  • Trauma masivo
How well did you know this?
1
Not at all
2
3
4
5
Perfectly
4
Q

⭐️ muy preguntado

Alteraciones de laboratorio en CID

A
  • TP, TTPA y TT prolongados
  • Fibrinógeno ↓
  • Factores de coagulación ↓
  • AT-III ↓
  • PDF ↑ y Dímero D ↑
How well did you know this?
1
Not at all
2
3
4
5
Perfectly
4
Q

Clínica inicial y tardía de CID
* Inicial
* Tardía

A
  • Trombosis, microangiopatía
  • Hemorragias generalizadas
How well did you know this?
1
Not at all
2
3
4
5
Perfectly
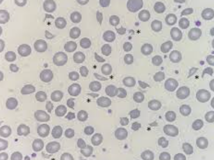
5
Q

Hallazgos en extensión de sangre periférica

A
  • Esquistocitos
  • Trombocitopenia
How well did you know this?
1
Not at all
2
3
4
5
Perfectly
6
Q

Etiología CID aguda vs crónica
* Aguda:
* Crónica:

A
  • Sepsis, obstétricos
  • Neoplasias
How well did you know this?
1
Not at all
2
3
4
5
Perfectly
7
Q

Tx

Tx para CID crónica

A

HBPM

How well did you know this?
1
Not at all
2
3
4
5
Perfectly
8
Q

Tratamiento de CID

A

Tratar causa base (lo más importante)

How well did you know this?
1
Not at all
2
3
4
5
Perfectly
8
Q

Tx

Si el sangrado o descenso severo…

A

Plasma fresco o plaquetas

How well did you know this?
1
Not at all
2
3
4
5
Perfectly
9
Q

TP, TTPA y TT prolongados + leucopenia + trombopenia ¿Dx + probable?

A

CID aguda

How well did you know this?
1
Not at all
2
3
4
5
Perfectly