Class 2 Div 1 Flashcards

(28 cards)

1
Q

define class 2 div 1

A

The lower incisor edges lie posterior to the cingulum plateau of the upper incisors, there is an increase in overjet and the upper central incisors usually proclined or of average inclination

How well did you know this?
1
Not at all
2
3
4
5
Perfectly
2
Q

Why treat class 2 div 1

A
  • aesthetic concerns
  • incisors at risk of trauma
  • overjet >9mm x2 as likely to suffer trauma
How well did you know this?
1
Not at all
2
3
4
5
Perfectly
3
Q

Associated skeletal pattern?

A
  • usually class 2 (sometimes class 1 and possible with class 3 if incisors are proclined)
  • usually due to retrognathic mandible

skeletal pattern (vertical)
- found with a range of vertical skeletal patterns

skeletal pattern (transverse)
- no particular assosiation

How well did you know this?
1
Not at all
2
3
4
5
Perfectly
4
Q

what can an overjet be due to

A
  • skeletal pattern
  • tooth inclination
  • combination of both
How well did you know this?
1
Not at all
2
3
4
5
Perfectly
5
Q

What are normal ceph values

not class2, normal

A
  • SNA= 81+/-3 (maxilla to anteiror cranial base)
  • SNB= 78+/-3 (mandible to anterior cranial base)
  • ANB= 3 +/-2 (difference between the two)
  • MxP/MnP= 27 +/-4
  • UI/MxP = 109+/-6
  • LI/MnP = 93 +/-6
  • LAFH/TAFH = 55%
How well did you know this?
1
Not at all
2
3
4
5
Perfectly
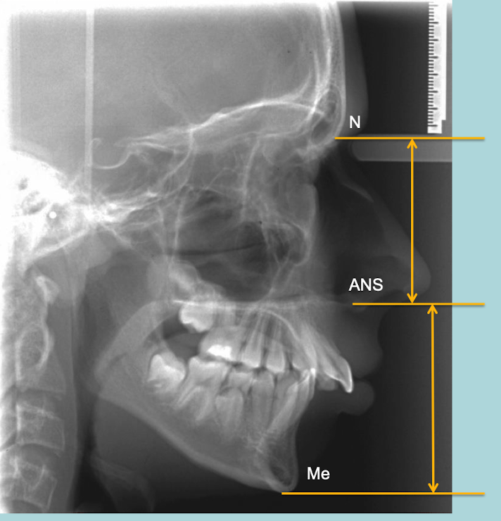
6
Q

ceph landmarks for upper/ lower anterior face height

A
  • nasion
  • anterior nasal spine
  • menton
How well did you know this?
1
Not at all
2
3
4
5
Perfectly
7
Q

class 2 div 1 impact on soft tissues

A
  • often incompetent lips
  • can have lower lip trap
  • if lips incompetent then special effort needed to achieve an anterior oral seal (mentalis muscle could be increased)
How well did you know this?
1
Not at all
2
3
4
5
Perfectly
8
Q

how is an anterior oral seal achieved

A
  1. lip to lip seal, mandible postured to allow lips to meet
  2. lower lip drawn up behind upper incisors, tongue placed forwards between incisors to lower lip
  3. combination of both
How well did you know this?
1
Not at all
2
3
4
5
Perfectly
9
Q

class 2 div 1 effect on dental factors

A
  1. increased overjet
  2. overbite varies
  3. can see good alignment, crowding or spacing
  4. molar relationship
  5. habitually parted lips may lead to drying of gingiva and exacerbation of any pre-existing gingivitis
How well did you know this?
1
Not at all
2
3
4
5
Perfectly
10
Q

occlusal features of sucking habit

A
  1. proclination of upper incisors
  2. retroclination of lower incisors
  3. localised or incomplete AOB
  4. narrow upper arch (possible unilateral posterior crossbite)
How well did you know this?
1
Not at all
2
3
4
5
Perfectly
11
Q

sucking habit tx principles

A
  • stop habit (reinforcement, removable appliance habit breaker, fixed appliance habit breaker)
  • allow spontaneous improvement
  • treat residual malocclusion if required
How well did you know this?
1
Not at all
2
3
4
5
Perfectly
12
Q

management options for class 2 div 1

A
  1. accept
  2. attempt growth modification
  3. simple tipping of teeth
  4. camouflague
  5. orthognathic surgery
How well did you know this?
1
Not at all
2
3
4
5
Perfectly
13
Q

when would you accept class 2 div 1 malocclusion

A
  • mildly increased OJ
  • significant OJ but not unhappy?
  • nb tx might be more difficult when older
  • advice re mouthguard
How well did you know this?
1
Not at all
2
3
4
5
Perfectly
14
Q

in what ways can you attempt growth modification

A
  1. headgear
    - try and restrain growth of maxilla horizontally and/or vertically
  2. functional appliance
How well did you know this?
1
Not at all
2
3
4
5
Perfectly
15
Q

what do functional appliances do + aims

A

functional appliances utilize, eliminate, or guide the forces of muscle function, tooth eruption and growth to correct a malocclusion
success depends on favourable growth and compliant pt

Aims
- restraint of maxillary growth
- encourage mandibular growth

How well did you know this?
1
Not at all
2
3
4
5
Perfectly
16
Q

what malocclusions are functional appliances mostly used for

A

class 2 div 1

can use for 2 div 2 too

17
Q

how do functional applinaces work

A

by posturing the mandible down and forwards, it encourages the mandible to grow

18
Q

Types of functional appliance

A

Removable
- tooth-borne = (twin block or activator)
- soft tissue borne (Frankel 2, 2div2)

Fixed
- Herbst

19
Q

what appliance is this

20
Q

Therapeutic effect of functional appliances

A

Mostly dento-alveolar changes
- distal movement of uppers
- mesial movement of lowers
- retroclination of upper incisors
- proclination of lower incisors

Minor degree of skeletal changes
- RCTs indicate that degree of max restraint and mandibular growth is usually small

21
Q

what ages are appropriate to use a functional appliance

A
  • should be used during growth
  • if possible coincide with pubertal growth spurt
  • early use about 10 years old
  • later use is late mixed or early permanent dentition
22
Q

potential disadvantages of early treatment with functional appliance

A
  • skeletal effects might not be maintained long term
  • overall tx time increased
23
Q

potential benefits of early treatment with functional appliance

A
  • improve appearance earlier (e.g. for bullying reasons)
  • reduce risk of trauma
  • often better compliance with appliance wear
24
Q

when could you use an URA for tipping of teeth

A
  • v mild class 2 or 1
  • OJ due to proclined and spaced incisors
  • OB favourable
25
Give a prescription for retroclining anterior teeth with a URA
Active: roberts retractor; 0.5mm ID tubing Retention: adam's clasps on 6s; 0.7mm HSSW Anchorage: ?mesial stops on 3s baseplate: self cure PMMA + FABP (OJ+3mm)
26
when would you use camouflage with class 2 div 1
- bit older - not severe enough for surgery
27
how would you camouflague class 2 div1
- take out premolar - bring uppers back - procline lowers to reduce OJ
28
when would you consider orthognathic surgery
- when growth is complete (minmum females 16; males 20) - severe AP discrepancy or vertical direction - fixed appliances required