Class III Flashcards

(24 cards)

1
Q

what is definition of Class III?

A

Lower incisor edge occludes anterior to the cingulumplateau of the upper central incisor

The overjet is reduced or reversed

How well did you know this?
1
Not at all
2
3
4
5
Perfectly
2
Q

1) what could skeletal aetiology of class II be due to?

2) what are skeletal features of class III

A

1) Small maxilla
Large mandible
Combination of
both

2) Usually present with a Class 3 skeletal base
relationship
Can present with a Class 1 and rarely a Class 2 skeletal base relationship
The greater the A-P discrepancy the more complex the malocclusion is to treat

How well did you know this?
1
Not at all
2
3
4
5
Perfectly
3
Q

What do you use for vertical relationships and what is more complex to treat?

A

 May be associated with average, increased or reduced
vertical proportions
- Frankfort Mandibular Planes Angle
- Facial Height proportions
- Lateral Cephalometry

increase FMPA and anterior open bite more complex to treat

How well did you know this?
1
Not at all
2
3
4
5
Perfectly
4
Q

what is this measuring?

A

FMPA

How well did you know this?
1
Not at all
2
3
4
5
Perfectly
5
Q

what is this measuring?

A

facial height proportions

How well did you know this?
1
Not at all
2
3
4
5
Perfectly
6
Q

what is transverse relationship of Class III?

A

A-P and transverse relationship linked

Retrusive maxilla sits on wider part of mandible
- Bilateral Crossbites

How well did you know this?
1
Not at all
2
3
4
5
Perfectly
7
Q

what are dental features of class III?

A

Vary
Class III incisor relationship
Class III molar relationship (not always)
Tendency to reverse overjet
Reduced overbite, anterior open bite may be present
Crossbites
Anterior
Buccal
Alignment
- Maxilla often crowded
- Mandible often aligned or spaced
Dentoalveolar compensation
- Proclined upper incisors
- Retroclined lower incisors
Tendency for displacements on closing

How well did you know this?
1
Not at all
2
3
4
5
Perfectly
8
Q

what are soft tissue features of Class III?

A

Not usually involved in
aetiology
Do encourage dentoalveolar
compensation
- Tongue proclines the upper
incisors
- Lower lip retroclines lower
incisors

How well did you know this?
1
Not at all
2
3
4
5
Perfectly
9
Q

why treat a class III?

A

Aesthetics
- Dental
- Profile concerns
Dental health reasons
- Attrition
- Gingival recession
- Mandibular Displacement
Function
- Speech
- Mastication

How well did you know this?
1
Not at all
2
3
4
5
Perfectly
10
Q

what are factors of Class III which make treatment more difficult? and in regards to facial growth?

A

In general,
> number of teeth in anterior crossbite

Skeletal element in aetiology

> the A-P discrepancy

Presence of anterior open bite

in regards to facial growth
Tends to be unfavourable
Mandibular growth continues for longer
Potential for Class III to get worse
Do not do anything irreversible until growth has
stopped
- Could affect future treatment if surgery required

How well did you know this?
1
Not at all
2
3
4
5
Perfectly
11
Q

what are class III management options?

A

Accept/ Monitor - Mild Class III/ or unsure how growth and development will progress

Intercept early with URA - Early correction of incisor relationship

Growth Modification - Functional appliance/ Head Gear/ TAD’s

Camouflage - Accept underlying skeletal relationship. Correct incisors to Class I

Combined Orthognathic/ Orthodontic Tx - Functional/Masticatory/ or profile concerns

How well did you know this?
1
Not at all
2
3
4
5
Perfectly
12
Q

1) when to accept and monitor?

2) When to use interceptive tx? what does it do?

A

1) No concerns
No dental health indications
No Displacements
No attrition
Mild cases

2) Suitable if Class III incisors have developed due to
early contact on permanent incisors (i.e. mandibular
displacement)

Correction of anterior crossbite in mixed dentition has
the advantage that further forward mandibular growth
may be counter-balanced by some dento-alveolar
compensation.

Only suitable for correcting a lateral incisor crossbite if
permanent canines are high above lateral roots
- Delay if canines have dropped down into buccal position as risk of resorption to lateral incisor

URA to procline incisors over the bite
Good OB will maintain stability

How well did you know this?
1
Not at all
2
3
4
5
Perfectly
13
Q

1) when to use growth modification?

2) types of functional appliances?

3) aim of it?

A

1) Growing patient

2) Functional appliances
Chin cup
Reverse Twin Block Frankel III

Protraction headgear ± Rapid Maxillary Expansion

3) Aimed at reducing and / or redirecting mandibular growth and encourage maxillary growth

How well did you know this?
1
Not at all
2
3
4
5
Perfectly
14
Q

what is this and what does it do?

A

Frankel III

Pellotes (Shields) labial to upper incisors to hold lip away

Palatal arch to procline the upper incisors

Lower labial bow to retrocline the lower incisors

How well did you know this?
1
Not at all
2
3
4
5
Perfectly
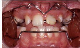
15
Q

what is this?

A

reverse twin block

How well did you know this?
1
Not at all
2
3
4
5
Perfectly
16
Q

what is this and explain it?

A

Protraction Headgear

Co-operative patient
14 hour/day protraction facemask wear
400g/side
Best results when used in early mixed dentition ( 8-10
years)
± Rapid maxillary Expansion
- Disrupts circum-maxillary sutures

17
Q

what are bollard implants?

A

Used in late mixed and permanent dentition

Infrazygomatic crest and lower canine region

Mucoperiosteal flaps need to be raised for
insertion and removal

18
Q

what would treatment plan be for class III?

A
  1. XLA all first permanent molars
  2. SR LL8 and LR8
  3. Upper and lower fixed appliances to treat to Class I
  4. Life long retention
19
Q

what do you do in terms of treatment for patients that are still growing?

A

Do not embark on full correction if still growing
- Can not predict growth changes
- Consider upper arch alignment only
- Do not XLA in lower arch as this could affect future
treatment options

20
Q

what is purpose of orthognathic surgery approach?

A

Orthognathic surgery is surgical manipulation of the mandible and / or maxilla to produce optimal
dentofacial aesthetics and function

21
Q

1) what is idea of orthodontic camouflage?

2) what are favourable features for it?

3) What do you actually do?

4) What are aims?

A

1) Accept underlying skeletal base relationship
- Aim for class 1 incisors

2) Growth stopped
Mild to moderate Class III Skeletal base ANB not <0˚
Average or increased overbite
Able to reach edge to edge incisor relationship
Little or no dentoalveolar compensation

3)Extraction pattern
- Extract further back in the upper arch
- Extract further forward in the lower arch
- Classic pattern - Upper 5’s , lower 4’s

However not always possible
- Dental health may dictate extraction pattern

4) Procline upper incisors
Retrocline lower incisors
Correct overjet

22
Q

1) when do you do orthognathic surgery treatment?

2) who is part of mdt for it?

A

1) Pt usually has aesthetic or functional concerns
Growth completed
Moderate/Severe skeletal discrepancy
- A-P
- Transverse
- Vertical

2) Orthodontist
Maxillofacial surgeon
Technician
Psychologist

23
Q

what is treatment for orthognathic surgery?

A

Presurgical orthodontics (approx. 18 months)
- Level, align, co-ordinate and decompensate
* Uppers 109˚
* Lowers 90˚

Orthognathic surgery to reposition the jaws
- Mandible
- Mandible ± Maxilla

Post surgical Orthodontics (approx. 6 months)

24
Q

what is GDP role of class III?

A

 GDP role
 Identify Class III malocclusion
 Refer to hospital service or specialist practitioner

 URA Treatment ?
 Anterior cross-bite correction