Classification Flashcards

(24 cards)

1
Q

how is the 2017 disease classification graded?

A

1 - health
2 - plaque induced gingivitis (localised/ generlised)
3 - non plauqe induced gingival diseases nd conditions
4 - periodontitis
- periodontitis***
- localised (<= 30 teeth)
- molar incisor pattern>
5- necrotising perio diseases
6 - perio as a manifestation of systemic
7 - systemic disease or conditions affecting the periodontal tissues
8 - perio bscesses
9- perio-endo lesions
10- micogongival deformities and conditons

How well did you know this?
1
Not at all
2
3
4
5
Perfectly
2
Q

how is clinical gingival health characterised?

A

absence of
-bleeding on probing
- erythema
- edema,
- patient symptoms,
- attachment and bone loss

How well did you know this?
1
Not at all
2
3
4
5
Perfectly
3
Q

what are the physiological bone levels range for clinical gingival health?

A

1.0 to 3.0 mm apical to the cemento-enamel junction

How well did you know this?
1
Not at all
2
3
4
5
Perfectly
4
Q

how is gingival health defined?

A
  • For an intact periodontium and a reduced and stable periodontium
  • gingival health is defined as < 10% bleeding sites with probing depths ≤3 mm
How well did you know this?
1
Not at all
2
3
4
5
Perfectly
5
Q

what is plaque induced gingivitis - intact periodontium?

A

BPEs 2 and no radiological bone loss and no interdental recession

How well did you know this?
1
Not at all
2
3
4
5
Perfectly
6
Q

what is bleeding on probing in relation to localised or generalised?

A

<30% - localised
>30% - generalised

How well did you know this?
1
Not at all
2
3
4
5
Perfectly
7
Q

what differentiates health and gingivitis

A

health <10% BOP
gingivitis >10% BOP

How well did you know this?
1
Not at all
2
3
4
5
Perfectly
8
Q

what are plaque induced gingivitis modifying factors?

A

A. associated with bacterial dental biofilm only
B. potential modifying factors of plaque induced gingivitis
1. systemic conditions
a) sex steroid hormones
-puberty
- Menstrual cycle
- pregnancy
- oral contraceptive
b) hyperglcemia
c) leukemia
d) smoking
e) malnutrition
2. oral factors enhancing plaque accumulation
a) prominent subgigival restoration margins
b) hyposalivation
C. drug-influenced gingival enlargements

How well did you know this?
1
Not at all
2
3
4
5
Perfectly
9
Q

what is plaque induced gingivitis - modified by puberty?

A

can be BPE 3s
no radiological bone loss
no interdental recession

How well did you know this?
1
Not at all
2
3
4
5
Perfectly
10
Q

types of plaque induced gingivitis?

A

modified by puberty
modified by poor restorative margins
drug influenced gingival enlargement

How well did you know this?
1
Not at all
2
3
4
5
Perfectly
11
Q

what are non plaque induced gingival diseases?

A
  • Genetic/developmental e.g. hereditary gingival fibromatosis
  • Specific infections e.g. herpetic gingival stomatitis, Candida albicans
  • Inflammatory/immune conditions – e.g. lichen planus
  • Inflammatory/immune conditions e.g. benign mucous membrane pemphigoid
  • Nutritional deficiency e.g. vitamin C deficiency
How well did you know this?
1
Not at all
2
3
4
5
Perfectly
12
Q

what may occur in severely immune compromised nercotising periodontitis patients?

A

bone sequestrum

How well did you know this?
1
Not at all
2
3
4
5
Perfectly
13
Q

what are necrotising perio diseases?

A
  • necrotising gingivitis
  • necrotising periodontitis
How well did you know this?
1
Not at all
2
3
4
5
Perfectly
14
Q

what is a type of rare diseases that affect the course of periodontitis resulting in the early presentation of severe periodontitis.?

A

o Papillon Lefevre Syndrome
o leucocyte adhesion deficiency
o hypophosphatasia
o Down’s syndrome
o Ehlers-Danlos

How well did you know this?
1
Not at all
2
3
4
5
Perfectly
15
Q

what are a more heterogeneous group of conditions which result in breakdown of periodontal tissues and some of which may mimic the clinical presentation of periodontitis.

A

o squamous cell carcinoma
o Langerhans cell histiocytosis

How well did you know this?
1
Not at all
2
3
4
5
Perfectly
16
Q

what is recession type 1 for gingival recession?

A
  • Gingival recession with no loss of inter‐ proximal attachment.
  • Interproximal CEJ is clinically not detect‐ able at both mesial and distal aspects of the tooth.
17
Q

what is recession type 2 for gingival recession?

A
  • Gingival recession associated with loss of interproximal attachment.
  • therefore total interproximal attachment loss < buccal attachment loss
  • ip-(measured from the interproximal CEJ to the depth of the interproximal sulcus/pocket) b- (measured from the buccal CEJ to the apical end of the buccal sulcus/pocket).
18
Q

what is recession type 3 for gingival recession?

A
  • Gingival recession associated with loss of interproximal attachment.
  • total interproximal attachment loss > buccal attachment loss
  • ip- (measured from the interproximal CEJ to the apical end of the sulcus/pocket) b- (measured from the buccal CEJ to the apical end of the buccal sulcus/pocket)
19
Q

what is this

A

pregnancy epulis

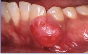
20
Q

what is this

A

necrotising gingivitis

21
Q

what is this

A

necrotising periodontitis

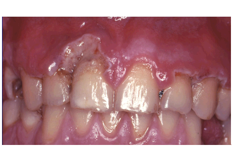
22
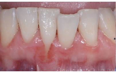
Q

what type is this

A

recession type 1

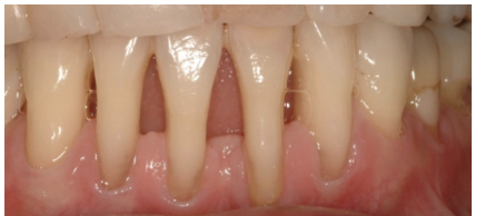
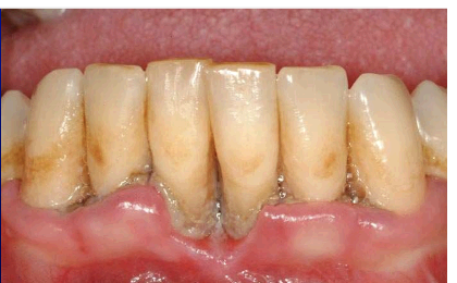
23
Q

what type is this?

A

recession type 3

24
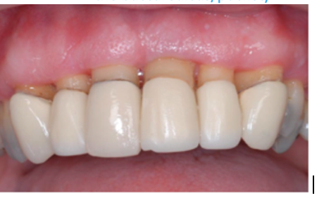
Q

what type is this?

A

recession type 2