clin path 2 Flashcards

(47 cards)

1
Q

microchromic microcytic in anemia pattern

A

external chronic hemorrhage
iron deficiency

How well did you know this?
1
Not at all
2
3
4
5
Perfectly
2
Q

where can bilirubin be conjugated in the dog?

A

kidneys and hepatocyte
normal for dog to have a little bilirubin in urine

How well did you know this?
1
Not at all
2
3
4
5
Perfectly
3
Q

hemolytic anemia bilirubin metabolism

A
  1. macrophages on overdrive killing RBCs
  2. hepatocytes cannot keep up and conjugate all the bilirubin
  3. causes increase in unconjugated bilirubin in blood
How well did you know this?
1
Not at all
2
3
4
5
Perfectly
4
Q

fasting hyperbilirubinemia

A

fats bind to hepatocytes and block bilirubin metabolism
increased unconjugated biliruben
in large animals

How well did you know this?
1
Not at all
2
3
4
5
Perfectly
5
Q

functional cholestasis

A

accumulation of bile
endotoxin interferes with excretion of conjugated bilirubin
increased conjugated bilirubin

How well did you know this?
1
Not at all
2
3
4
5
Perfectly
6
Q

obstructional cholestasis

A

bile cannot be excreted (blocked bile duct)
increased conjugated bilirubin
no anemia or regeneration

How well did you know this?
1
Not at all
2
3
4
5
Perfectly
7
Q

intravascular hemolysis

A

Site of RBC destruction: Blood vessels

Initiating processes:
* Antibodies > MAC
* RBC infectious agents
* Oxidative injury

How well did you know this?
1
Not at all
2
3
4
5
Perfectly
8
Q

extravascular hemolysis

A

Site of RBC destruction: Macrophages (sinusoidal capillaries)

Initiating processes
* Antibodies > Opsonization
* RBC infectious agents
* Oxidative injury
* Old age markers

How well did you know this?
1
Not at all
2
3
4
5
Perfectly
9
Q

ghost cells

A

intravascular hemolysis
from RBC + MAC= MAC formation
loss of hemoglobin via MACs = ghost cells

How well did you know this?
1
Not at all
2
3
4
5
Perfectly
10
Q

spherocytes

A

extracellular hemolysis
no central palor
from destruction of RBC via antibodies, opsonization
mostly used in dog (cats/horses normal RBC look like spherocytes)

How well did you know this?
1
Not at all
2
3
4
5
Perfectly
11
Q

hemoglobinemia

A

free hemoglobin in blood
can be from ruptured RBCs

How well did you know this?
1
Not at all
2
3
4
5
Perfectly
12
Q

causes of hemolytic anemia

A

immune mediated hemolytic anemia(IMHA)
infectious hemolytic anemia
oxidative hemolytic anemia
fragmentation hemolysis

How well did you know this?
1
Not at all
2
3
4
5
Perfectly
13
Q

immune mediated hemolytic anemia

A

antibodies target self RBCs

How well did you know this?
1
Not at all
2
3
4
5
Perfectly
14
Q

how do antibodies to self RBCs form in IMHA?

A

Autoimmune:
Primary (nonassociative or Idiopathic) or
Secondary (associative)
* Infection
* Neoplasms
* Drugs

Alloimmune

How well did you know this?
1
Not at all
2
3
4
5
Perfectly
15
Q

primary (nonassociative) IMHA clinical signs

A

Dogs»_space; Cats
Young to middle aged
Predisposed breeds

History & Physical Examination:
-megaly
* Lymphadenomegaly
* Splenomegaly
* Hepatomegaly

Vomiting & diarrhea (V/D)
Polyuria & polydipsia (PU/PD)
Fever

How well did you know this?
1
Not at all
2
3
4
5
Perfectly
16
Q

IMHA mechanism

A
  1. antibodies (IgG) against RBCs
  2. opsonization and agglutination
  3. complete or partial phagocytosis of RBCs
  4. aggregates of RBCs
  5. biliruben, hemoglobin degredation products (AAs, biliruben, iron,), spherocytes, ghost cells
How well did you know this?
1
Not at all
2
3
4
5
Perfectly
17
Q

IMHA blood smear

A

agglutination of RBCs, clumps
not rouleaux (chains of RBC, normal in horses)

How well did you know this?
1
Not at all
2
3
4
5
Perfectly
18
Q

infectious hemolytic anemia (associative)

A

Pathogenesis
* Direct RBC lysis
* Innocent bystander
* Expose hidden antigens > IMHA

Signalment
* Cat, Cattle»_space;> Dog, Horse
* Variable

History & Physical Examination
* Similar to idiopathic IMHA
* -megaly
* Lymphadenomegaly
* Splenomegaly
* Hepatomegaly

Vomiting & diarrhea (V/D)
Polyuria & polydipsia (PU/PD)
Fever

How well did you know this?
1
Not at all
2
3
4
5
Perfectly
19
Q

diagnosing infectious hemolytic anemia

A

blood smear!!
check for parasites on RBCs

20
Q

diagnosing infectious hemolytic anemia

A

blood smear!!
check for parasites on RBCs

21
Q

oxidative hemolytic anemia (associative)

A

Pathogenesis
* Toxin ingestion, drug administration
* Oxidative RBC injury

Signalment
* Dogs, cats, horses, sheep

History & Physical Examination
* Toxin/drug exposure
* Hemolytic anemia
* Chocolate brown blood

22
Q

oxidative hemolytic anemia caused by injury to iron of hemoglobin causes what clinical finding?

A

methemoglobinemia
blood is brown

23
Q

oxidative hemolytic anemia caused by injury to globin of hemoglobin causes what clinical finding?

24
Q

oxidative hemolytic anemia caused by injury to RBC membranes causes what clinical finding?

A

eccentrocytes
most common in horses
pinched off piece of membrane, flat clear area on side of RBC

25
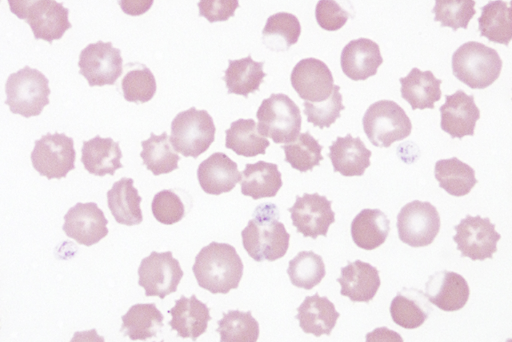
fragmentation hemolysis
Pathogenesis * Fragile RBCs * Microangiopathy (diseased small blood vessels) Inciting conditions * Iron deficiency * Hemangiosarcoma * Thrombus * Disseminated intravascular coagulation (DIC) (fibrin strands in vessels breaks RBCs apart) * Heart valve disease Signalment, History & Physical Examination= variable
26
blood smear of fragmentation hemolysis
acanthocytes, keratocytes, schistocytes
27
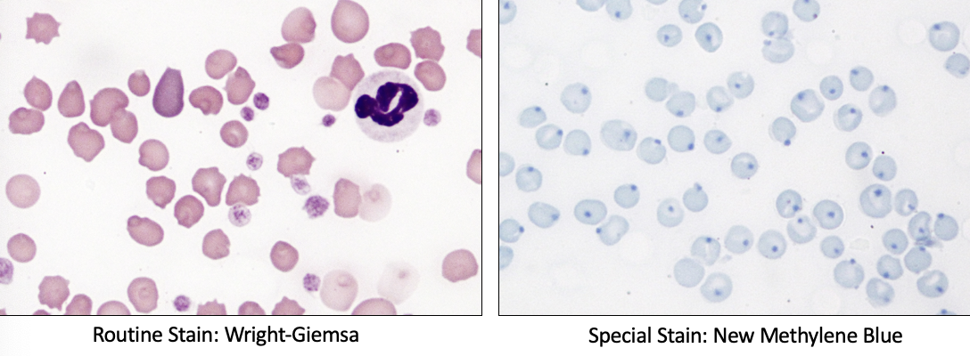
oxidative hemolytic anemia blood smear
ecentrocytes, heinz bodies
28
bicytopenia
at least 2 cells from bone marrow are decreased
29
pancytopenia
many cells from bone marrow are decreased (platelets, RBCs, WBCs)
30
myelosuppression
suppressed marrow production of cells decreased hematopoetic precursors
31
myelotoxin
damages bone marrow/precursors
32
myelophthisis
marrow is replaced with something else generalized marrow hypoplasia
33
non regenerative anemia criteria
no reticulocytes no evidence of acute hemorrhage no evidence of hemolysis marrow hypoplasia (selective erythroid or generalized marrow hypoplasia)
34
anemia of chronic disease (ACD)/ anemia of inflammatory disease (AID)
iron sequestration (hepcidin lets iron stay stuck in macrophage, GI tract) mild to moderate anemia (NOT severe) normocytic (sometimes microcytic), normochromic cause: almost any disease nonregenerative selective: erythrocytes
35
myelosuppressive agents/toxins
Selective erythroid hypoplasia * Viruses: **FeLV** * Drugs: rhEPO * Idiopathic: **Autoantibodies** Generalized marrow hypoplasia * Viruses: **FeLV, parvovirus** * Bacteria: Ehrlichia spp * Drugs: **Chemotherapy**, azathioprine, estrogen, trimethoprim-sulfamethoxazole (TMS), methimazole * Toxins: Plants * Idiopathic: Autoantibodies | dont memorize list, just know meds can lead to marrow damage
36
non regenerative vs regenerative IMHA
non regenerative: precursor immune related anemia (PIMA)
37
polycythemia
too many cells = erythrocytosis
38
relative hemoconcentration erythrocytosis
RBC mass is increased relative to the plasma PCV is normal but free water is lost (less plasma) so PCV % increases dehydration lab: * increased total protein (hyperalbuminemia, hyperglubulinemia) * hypernatremia, hyperchloremia * increased USG (specific gravity = concentrated urine) * azotemia (increased waste products, not producing as much urine)
39
relative redistribution erythrocytosis
RBC mass is increased relative to the plasma due to **excitment**, spleen squeezes out extra RBCs short term lab: * mild neutrophilia * mild lymphocytosis * mild hyperglycemia * mild thrombocytosis * NO hyperproteinemia
40
Primary absolute erythrocytosis
polycythemia vera RBC neoplasia
41
secondary absolute erythrocytosis
**increased EPO** appropriate (hypoxia, need more RBC) * low FiO2 * R to L shunt inappropiate * EPO secreting tumor
42
Fibrinogen
produced in liver soluable protein in plasma function: * fibrinogen > Fibrin (insoluable) * hemostasis * inflammation
43
4 stages of hemostasis
1. vasoconstriction 2. **p**rimary hemostasis = **p**latelets, von Willebrand factor (vWF) 3. secondary hemostasis= coagulation cascade (Tissue factor, **converts fibrinogen to fibrin)** 4. thrombus and antithrombotic events (shut off coagulation)
44
edothelial cells of blood vessel
have all the maincomponents of hemostasis
45
PP:Fib ratio in normal animal horse and ruminant | plasma protein: fibronogen
ruminant: 10-15 PP:fib horse: 15-20 PP:fib
46
dehydration PP:Fib ratio horse and ruminant
ruminant: >15 PP:fib horse: >20 PP:fib **increased PP:fib ratio**
47
inflammation PP:Fib ratio horse and ruminant
ruminant: <10 PP:fib horse: <15 PP:fib **decreased PP:fib ratio** increased fibrinogen