Clin Path 2 Flashcards

(364 cards)

1
Q

What is hematopoiesis?

A

The production of blood cells and platelets

How well did you know this?
1
Not at all
2
3
4
5
Perfectly
2
Q

What are the components of whole blood?

A

Fluids and cells

How well did you know this?
1
Not at all
2
3
4
5
Perfectly
3
Q

What is the fluid portion of blood called?

A

Plasma

How well did you know this?
1
Not at all
2
3
4
5
Perfectly
4
Q

List the types of cells found in whole blood.

A
  • RBCs
  • WBCs
  • Thrombocytes (platelets)
How well did you know this?
1
Not at all
2
3
4
5
Perfectly
5
Q

What are agranulocytes?

A

White blood cells with no granules present

How well did you know this?
1
Not at all
2
3
4
5
Perfectly
6
Q

Name the types of agranulocytes.

A
  • Lymphocytes
  • Monocytes
How well did you know this?
1
Not at all
2
3
4
5
Perfectly
7
Q

What are granulocytes?

A

White blood cells with granules

How well did you know this?
1
Not at all
2
3
4
5
Perfectly
8
Q

List the types of granulocytes.

A
  • Neutrophils
  • Eosinophils
  • Basophils
How well did you know this?
1
Not at all
2
3
4
5
Perfectly
9
Q

What is the lifespan of blood cells? Delete

A

Constantly produced and have a finite life span

How well did you know this?
1
Not at all
2
3
4
5
Perfectly
10
Q

Where does hematopoiesis occur in adults?

A

Primarily in red bone marrow

How well did you know this?
1
Not at all
2
3
4
5
Perfectly
11
Q

What is erythropoiesis?

A

Production of erythrocytes (red blood cells)

How well did you know this?
1
Not at all
2
3
4
5
Perfectly
12
Q

What is leukopoiesis?

A

Production of leukocytes (white blood cells)

How well did you know this?
1
Not at all
2
3
4
5
Perfectly
13
Q

What is thrombopoiesis?

A

Production of thrombocytes (platelets)

How well did you know this?
1
Not at all
2
3
4
5
Perfectly
14
Q

What is the role of pluripotent hematopoietic stem cells (HSC)?

A

All blood cells arise from this cell

How well did you know this?
1
Not at all
2
3
4
5
Perfectly
15
Q

What cytokine is responsible for the production of RBCs?

A

Erythropoietin (EPO)

How well did you know this?
1
Not at all
2
3
4
5
Perfectly
16
Q

Where is erythropoietin produced?

A

By cells in the kidneys

How well did you know this?
1
Not at all
2
3
4
5
Perfectly
17
Q

What are the stages of RBC development?

A
  • Rubriblasts
  • Pro-rubriblasts
  • Rubricytes
  • Metarubricytes
  • Reticulocytes
How well did you know this?
1
Not at all
2
3
4
5
Perfectly
18
Q

What is the function of thrombopoietin?

A

Stimulates the production of platelets

How well did you know this?
1
Not at all
2
3
4
5
Perfectly
19
Q

List the progenitor cells in thrombopoiesis.

A
  • Megakaryoblast
  • Promegakaryocyte
  • Megakaryocyte
How well did you know this?
1
Not at all
2
3
4
5
Perfectly
20
Q

What are the stages of granulopoiesis?

A
  • Myeloblasts
  • Promyelocytes
  • Myelocytes
  • Band cells
  • Segmented granulocytes

(Neutrophil production)

How well did you know this?
1
Not at all
2
3
4
5
Perfectly
21
Q

What are monoblasts?

A

Precursor cells similar to myeloblasts with an irregular-shaped nucleus

How well did you know this?
1
Not at all
2
3
4
5
Perfectly
22
Q

What is lymphopoiesis?

A

Production of lymphocytes

How well did you know this?
1
Not at all
2
3
4
5
Perfectly
23
Q

List the types of lymphocytes produced during lymphopoiesis.

A
  • T-lymphocytes
  • B-lymphocytes
  • Natural killer cells (NK)
How well did you know this?
1
Not at all
2
3
4
5
Perfectly
24
Q

What does the suffix ‘-penia’ indicate?

A

Decreased number of cells

How well did you know this?
1
Not at all
2
3
4
5
Perfectly
25
What does neutropenia refer to?
Decreased neutrophils
26
What is leukemoid response?
Marked leukocytosis, usually due to inflammatory disease
27
What is the difference between leukocytosis and leukemia?
Leukocytosis is an increase in white blood cells, while leukemia involves neoplastic cells of blood or marrow
28
What is the significance of a left-shift in a blood count?
Increased numbers of immature neutrophils
29
What is the **most common technique** used to prepare the differential blood cell count?
Wedge smear ## Footnote The wedge smear technique is widely utilized for blood cell analysis.
30
Differential blood cell smears are usually stained with a **________**.
Romanowsky stain ## Footnote This stain is essential for visualizing different types of blood cells.
31
Blood cell smears are used to determine estimated **________** numbers.
platelet ## Footnote Estimating platelet numbers is crucial for assessing blood clotting ability.
32
A minimum of **________** WBCs are counted and classified when performing the differential WBC count.
100 ## Footnote Counting at least 100 WBCs ensures a reliable differential count.
33
The differential WBC count provides the **relative percentage** of each WBC type present in a sample. True or False?
TRUE ## Footnote This count is vital for diagnosing various conditions based on WBC types.
34
Absolute values in the differential WBC count are recorded by multiplying the relative percentage of each cell type by the **________**.
total WBC count ## Footnote This calculation gives the actual number of each WBC type in the sample.
35
Eosinophilic granules vary in **________**, color, shape, and number of granules present among species.
size ## Footnote The variation in eosinophilic granules can help identify species differences.
36
Monocytes tend to have an **________** nucleus and are the largest of the WBCs in circulation.
amoeboid ## Footnote Their unique nucleus shape is a distinguishing feature of monocytes.
37
Neutrophils are the largest of the **________**, containing a nucleus with three to five lobes.
granulocytes ## Footnote Neutrophils play a key role in the immune response.
38
True or False: **Basophils** are commonly seen on the blood cell smear.
FALSE ## Footnote Basophils are relatively rare in blood smears compared to other WBCs.
39
What are the two **abnormalities** seen in bone marrow samples?
* Changes in cell numbers * Changes in cell morphologic features and maturation ## Footnote Noting these changes help in diagnosing various hematological conditions.
40
Inflammatory conditions evident on bone marrow aspirate are classified as _______.
* Fibrinous * Chronic * Chronic granulomatous * Chronic pyogranulomatous ## Footnote This classification aids in understanding the underlying inflammatory processes.
41
Neoplastic disorders of hematopoiesis are classified as either **lymphoproliferative** or _______.
myeloproliferative ## Footnote These classifications are essential for diagnosing blood cancers and related disorders.
42
Anemia is generally considered **regenerative** when the percentage of reticulocytes in the peripheral blood is equal to or greater than the expected percentage for the corresponding _______.
PCV ## Footnote PCV stands for packed cell volume, which is a measure of the proportion of blood volume that is occupied by red blood cells.
43
Blood films from patients with **regenerative anemias** may show evidence of which features? List them.
* Increased macrocytosis * Increased polychromasia * Howell-Jolly bodies ## Footnote These features indicate an active response to anemia and increased red blood cell production.
44
Common causes of **nonregenerative anemia** include _______.
* Iron deficiency * Ehrlichiosis * Drug toxicity * Histoplasmosis * Hypothyroidism * Renal insufficiency ## Footnote Identifying these causes is crucial for effective treatment and management of anemia.
45
Anemia can be classified as **normocytic**, **macrocytic**, or _______.
microcytic ## Footnote These classifications refer to the size of red blood cells and are important for diagnosing different types of anemia.
46
Anemia can also be classified by its cause as **hemolytic** or _______.
hemorrhagic ## Footnote Additionally, anemia may result from decreased or defective RBC production, which is another classification approach.
47
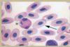
What is in the upper right? What is in the upper left?
A Howell-Jolly body is present in an erythrocyte in the upper right. A metarubricyte is present in the upper left of the image,
48
Identify the darker/singular structure in this picture
A neutrophil in a blood smear from a normal canine.
49
Identify the structure in upper right
A canine band neutrophil.
50
Identify C and F
Canine (C), feline (F), Bonus equine (E), bovine (B) eosinophils that demonstrate the variable size, shape, and color of granules in different species.
51
Identify this structure
Normal feline basophil.
52
Identify this structure
A small, mature lymphocyte in blood from a normal canine.
53
Identify two structures in this sample
Normal canine monocyte (right) and two neutrophils.
54
Identify thie l most common cell and the cell on the bottom left
Normal canine rbc (erythrocytes) and platelets (thrombocytes) I
55
A blood film is used to perform
the differential white blood cell (WBC) count to estimate platelet numbers and to evaluate the morphologic features of WBCs, red blood cells (RBCs), and platelets
56
What are the **changes in leukocyte morphologic features** that may occur?
* Affect the nucleus * Affect the cytoplasm * Involve inclusions within the cell ## Footnote Changes in leukocyte morphology can indicate various health conditions.
57
What changes in erythrocyte morphologic features can be noted?
* Size * Shape * Color * Arrangement ## Footnote These changes can be indicative of different types of anemia or other blood disorders.
58
Delete. Morphologic changes seen on a **blood smear** must be _______.
semunquantified ## Footnote This quantification helps in assessing the severity and type of blood disorders.
59
What are the **nuclear changes** to leukocytes?
* Hyposegmentation * Hypersegmentation * Pyknosis * Karyolysis * Karyorrhexis ## Footnote These nuclear changes can indicate various pathological conditions.
60
What types of **inclusions** can be seen in leukocytes?
* Lysosomes * Abnormal granules * Blood parasites ## Footnote The presence of these inclusions can suggest infections or other hematological disorders.
61
Changes in **erythrocyte size** can cause cells to be classified as what?
* Microcytes * Macrocytes * Both ## Footnote These changes are important in diagnosing different types of anemia.
62
What are the **alterations in erythrocyte behavior**?
* Rouleaux formation * Autoagglutination ## Footnote These behaviors can affect blood flow and oxygen delivery in the body.
63
What types of **inclusions** can be seen in erythrocytes?
* Howell-Jolly bodies * Heinz bodies * Basophilic stippling (punctate basophilia) * Blood parasites ## Footnote The presence of these inclusions can indicate various underlying health issues.
64
What is the most abundant WBC in most mammals
Neutrophils
65
What is the primary purpose of neutrophils and what can an increase in neutrophils indicate
infection or inflammation
66
what are heterophils
Similar to neutrophils but found in birds, reptiles, and some fish
67
If constriction of a band cell makes up more than 1/3 the width of the nucleus it is called a _________
segmented neutrophil
68
Eosinophils are capable of ______
phagocytosis
69
The main function of eosinophils is the _____ and increased numbers can be found in patients with_____
‒ modulation of immune system -allergies and parasitic infections or infestations
70
Delete
Hello
71
The main function of basophils to _____ and increased numbers can indicate___
mediate the immune system nflammation or infectious conditions
72
Lymphocytes are the most WBC in _________
ruminants
73
The main function of lymphocytes is the _____ and increased numbers can be found in patients with_______
production of antibodies Viral infection
74
The largest white blood cell is the
Monocyte
75
The main function of monocytes is the _____ and increased numbers can be found in patients with_______
phagocytosis Chronic infection
76
What is this structure
Llamas and camelids red blood cells
77
The number of platelets should be counted in _____ and the average is _____ per oil immersion field
a minimum 10 x1000 fields should be counted 7 to 10
78
Delete Platelet clumping is _____ in mammals and if present you can assume ______
Probably adequate platelets present
79
What is the image on the left and P is what?
Platelet and megathrombocyte
80
A megathrombocyte is a ______that suggests an
large platelet early release of platelets from the bone marrow.
81
What are the **morphologic features** that may change in leukocytes?
* Nucleus * Cytoplasm * Inclusions within the cell ## Footnote Changes in leukocyte morphologic features can indicate various conditions.
82
Changes in **erythrocyte morphologic features** affect which aspects?
* Size * Shape * Color * Arrangement ## Footnote These changes can provide insights into different hematological disorders.
83
Delete
semunquantified ## Footnote This process is essential for accurate diagnosis and monitoring.
84
What are the **nuclear changes** to leukocytes?
* Hyposegmentation * Hypersegmentation * Pyknosis * Karyolysis * Karyorrhexis ## Footnote These changes can indicate various pathological conditions.
85
What **inclusions** can be seen in leukocytes?
* Lysosomes * Abnormal granules * Blood parasites ## Footnote The presence of these inclusions can be indicative of specific diseases.
86
Changes in erythrocyte size can involve _______ and _______.
* Microcytes * Macrocytes ## Footnote These changes can reflect underlying health issues.
87
What are the **alterations in erythrocyte behavior**?
* Rouleaux formation * Autoagglutination ## Footnote These behaviors can affect blood flow and oxygen delivery.
88
What **inclusions** are seen in erythrocytes?
* Howell-Jolly bodies * Heinz bodies * Basophilic stippling * Blood parasites ## Footnote The presence of these inclusions can indicate various hematological disorders.
89
Anisocytosis
Anisocytosis is a variation in the size of RBCs and it may indicate the presence of macrocytes (i.e., large cells), microcytes (i.e., small cells), or both. Anisocytosis is a common finding in normal bovine blood.
90
What type of stain is used to perform a reticulocyte count?
A supravital stain, such as new methylene blue or brilliant cresyl blue
91
Platelets are derived from the _______ in the bone marrow
megakaryocyte
92
When is a **bone marrow evaluation** needed?
When the differential blood cell count demonstrates ambiguous or unexplained abnormal results ## Footnote Bone marrow evaluation provides sufficient detail for the diagnostician.
93
What are the **methods** for collecting bone marrow samples?
* Aspiration * Removing a bone marrow core ## Footnote Proper restraint and aseptic technique are crucial during collection.
94
Name the **types of needles** used for bone marrow collection.
* Rosenthal needle * Illinois sternal needle * Jamshidi needle * 18-gauge hypodermic needle (for cats) ## Footnote Special needles are required for effective bone marrow sampling.
95
What are the **sites** that can be used for a bone marrow aspiration biopsy?
* Head of the humerus * Iliac crest * Femoral canal ## Footnote The site must be surgically prepared and draped.
96
What is the importance of using **different collection sites** for core and aspiration biopsy samples?
To avoid the introduction of artifacts into the sample ## Footnote Core samples allow for evaluation of the relationship among cells as they appear in vivo.
97
How soon must **bone marrow smears** be made after sample collection?
No more than one hour ## Footnote Prompt preparation is crucial for accurate evaluation.
98
What type of stain is usually used for **bone marrow smears**?
Romanowsky-type stain ## Footnote Bone marrow smears must be rapidly air-dried before staining.
99
What is the normal composition of **adult bone marrow**?
Approximately 50% fat and 50% cells ## Footnote Variations in cellularity are described as hypoplasia, hyperplasia, or aplasia.
100
What minimum results are reported in a **routine bone marrow evaluation**?
* Overall cellularity * M:E ratio * Presence or absence of hemosiderin * Number of megakaryocytes * Morphologic abnormalities ## Footnote Results of a concurrent peripheral blood film are also included.
101
Name the **myeloid cells** found in bone marrow samples.
* Myeloblasts * Promyelocytes * Myelocytes * Metamyelocytes * Mature segmented neutrophils * Band neutrophils * Eosinophils * Basophils ## Footnote Myeloid cells tend to be larger and stain paler than erythroid cells.
102
What are the **erythroid cells** present in bone marrow?
* Rubriblasts * Prorubricytes * Rubricytes * Metarubricytes ## Footnote Erythroid cells are smaller and more basophilic than myeloid cells.
103
What does the **M:E ratio** represent?
The ratio of myeloid to erythroid cells ## Footnote It is determined by counting 500 nucleated cells and classifying them.
104
What must be noted regarding **hemosiderin** in bone marrow samples?
Presence or absence must be noted ## Footnote Hemosiderin appears as small gray to black granules and is not present in samples from cats.
105
What are the classifications of **inflammatory conditions** in bone marrow?
* Fibrinous * Chronic * Chronic granulomatous * Chronic pyogranulomatous ## Footnote Classified according to the primary cell type(s) present.
106
What are the two main classifications of **neoplastic disorders** of hematopoiesis?
* Lymphoproliferative * Myeloproliferative ## Footnote Numerous classification schemes exist for these disorders.
107
When is a **bone marrow evaluation** needed?
When the differential blood cell count demonstrates ambiguous or unexplained abnormal results Bonus: Abnormal results include: * persistent unexplained pancytopenia, neutropenia, or thrombocytopenia and nonregenerative anemia * Abnormal morphologic changes or unexplained immature cells * Stages neoplastic diseases * Diagnosis parasitic infections – Ehrlichiosis, leishmaniasis ## Footnote Bone marrow evaluation provides sufficient detail for the diagnostician.
108
What are the two methods for collecting bone marrow samples?
* Aspiration * Removing a bone marrow core ## Footnote Proper restraint and aseptic technique are crucial during the collection process.
109
What types of needles are used for **bone marrow collection**?
* Rosenthal needle * Illinois sternal needle * Jamshidi needle * 18-gauge hypodermic needle (for cats) ## Footnote Special bone marrow needles are required for the procedure.
110
List the **sites** that can be used for a bone marrow aspiration biopsy.
* Head of the humerus * Iliac crest * Femoral canal ## Footnote The site must be surgically prepared and draped.
111
What must be done with core biopsy samples during bone marrow evaluation?
They must be taken at a different collection site than aspiration biopsy samples ## Footnote This avoids the introduction of artifacts into the sample.
112
How soon must **bone marrow smears** be made after sample collection?
No more than one hour ## Footnote Smears are prepared similarly to peripheral blood smears.
113
What type of stain is usually used for bone marrow smears?
Romanowsky-type stain ## Footnote Bone marrow smears must be rapidly air-dried.
114
What is the normal composition of **adult bone marrow**?
Approximately 50% fat and 50% cells ## Footnote Variations in cellularity are described as hypoplasia, hyperplasia, or aplasia.
115
What minimum results are reported in a routine bone marrow evaluation?
* Overall cellularity * M:E ratio * Presence or absence of hemosiderin * Number of megakaryocytes * Morphologic abnormalities ## Footnote Results of a concurrent peripheral blood film are also included.
116
Name the **myeloid cells** found in bone marrow samples.
* Myeloblasts * Promyelocytes * Myelocytes * Metamyelocytes * Mature segmented neutrophils * Band neutrophils * Eosinophils * Basophils ## Footnote Myeloid cells tend to be larger and stain paler than erythroid cells.
117
What are the **erythroid cells** present in bone marrow?
* Rubriblasts * Prorubricytes * Rubricytes * Metarubricytes ## Footnote Erythroid cells are smaller and more basophilic.
118
What does the **M:E ratio** represent?
The ratio of erythroid to myeloid cells ## Footnote It is determined by counting 500 nucleated cells.
119
What must be noted regarding **hemosiderin** in bone marrow samples?
Presence or absence must be noted ## Footnote Hemosiderin appears as small gray to black granules and is not present in samples from cats.
120
What types of abnormalities can be seen in bone marrow samples?
* Changes in relative percentages of cells * Abnormalities in maturation patterns * Presence of inflammatory cells * Presence of neoplastic cells ## Footnote Inflammatory conditions are classified according to the primary cell type(s) present.
121
Inflammatory conditions in bone marrow are classified as:
* Fibrinous * Chronic * Chronic granulomatous * Chronic pyogranulomatous ## Footnote Neoplastic disorders of hematopoiesis are classified as lymphoproliferative or myeloproliferative.
122
Reticulocytes staining
Polychromatic staining Use a Supravital stain like new methylene blue, Not Romanowsky stains
123
Discuss cat reticulocytes
Cats have two types: *Aggregate – large clumps of reticulum * Punctate – unique to cats – small singular 2 to 8 basophilic granules * Normal 0.4% aggregate and 1.5% to 10% punctate
124
Reticulocytes are expressed as what per RBVs
Percentage per 1000 RBCs
125
You should do reticulocyte counts on
* Done on all anemic animals except horses * Horses do not release retics
126
reticulocytes are useful in determining______
Bone marrow response
127
Corrected reticulocyte count
* Multiply observed reticulocytes by the observed PCV and then divide by the normal PCV. * Normal – dog 45%; Cat 35% Example * A dog has a PCV of 15% and observed retic count of 15% 15 × 15/45 = 5%
128
Two ways to calculate reticulocyte counts
Corrected reticulocyte count Reticulocyte Production Index
129
Plasia (as a root word) means
cells, therefor aplasia is without cells
130
Erythrocyte Sedimentation Rate
The rate RBCs fall in their own plasma, which will be altered in some disease states
131
Hematologic abnormalities can be caused by
primary diseases, or they may be secondary to other disorders.
131
Erythrocyte Osmotic Fragility
Test of the ability to withstand hemolysis in varying concentrations of
132
Hematologic Abnormalities are classified by_____ and characterized by _____
Classified * Cell number * Cell morphology Characterized * Increase cellularity ‒ Hypercellular * Decreased cellularity – Hypocellular * Absent ‒ Aplastic
133
RBC functioning in relation to anemia
* Transport and protect hemoglobin (O2 carrier) * Loss each day should equal production
134
Further laboratory tests that may result from an anemia finding
* Reticulocyte counts * Erythrocyte indexes * RBC morphology * Plasma color, turbidity, and total plasma protein concentration * Serum blood iron measurement, bilirubin measurement, and bone marrow evaluation
135
Most animals exhibit signs of regeneration of red blood cells _____
within 4 to 7 days from
136
Regenerative anemia generally caused by
Three main categories: * Decreased production * Increased loss or destruction * Condition that involves O2 carrying capacity of RBCs
137
Hemostasis
The ability of the body’s systems to maintain the integrity of the blood and blood vessels
138
Hemostasis involves:
* A number of complex pathways * Platelets * Coagulation factors
139
Mechanical phase of coagulation
* Initiated when blood vessel is ruptured or torn * Exposed subendothelium of vessel is charged * Platelets attract to this charged surface * Undergo morphologic and physiologic changes * Causes platelets to adhere to each other and the endothelium * Activated platelets expose phosphatidylserine on their outer membrane * Requires von Willebrand factor * Stabilizes the platelet plug * The adhesion and aggregation of platelets trigger the chemical phase
140
Chemical phase of coagulation
* Coagulation cascade * Involves a number of factors * Intrinsic and extrinsic pathways * Results in a fibrin mesh or clot
141
Final phase of coagulation
* Degradation of the fibrin clot
142
What does **hemostasis** refer to?
The ability of the body systems to maintain the integrity of the blood and blood vessels ## Footnote Involves complex pathways, platelets, and coagulation factors.
143
What are the **two phases** of blood coagulation?
* Mechanical phase (primary hemostasis) * Chemical phase (secondary hemostasis) ## Footnote The mechanical phase is initiated when a blood vessel is ruptured, while the chemical phase involves the coagulation cascade.
144
What stabilizes the **platelet aggregate** during primary hemostasis?
von Willebrand factor ## Footnote This factor is crucial for the adherence of platelets to each other and to the blood vessel.
145
What is the end result of the **coagulation cascade**?
Formation of a mesh of fibrin strands that forms the clot ## Footnote This process is part of the chemical phase of hemostasis.
146
What is the term for the breakdown of a clot?
Tertiary hemostasis ## Footnote This phase involves the release of D-dimers and fibrin degradation products.
147
What do **coagulation tests** evaluate?
* Specific portions of the hemostatic mechanisms * Mechanical phase of hemostasis * Chemical phase of hemostasis ## Footnote Most tests are quick, inexpensive, and require plasma collected with an anticoagulant.
148
What is preferred for an accurate **platelet count**?
Manual platelet count ## Footnote Automated analyzers may provide inaccurate platelet counts.
149
What does the **activated clotting time (ACT)** test evaluate?
Every clinically significant clotting factor except for factor VII ## Footnote Requires a pre-incubated Vacutainer tube containing diatomaceous earth.
150
What does the **buccal mucosal test** detect?
Abnormalities in platelet function ## Footnote Involves making an incision and wicking blood away until bleeding stops.
151
What does the **clot retraction test** evaluate?
* Platelet number * Platelet function * Intrinsic coagulation pathway * Extrinsic coagulation pathway ## Footnote Blood is drawn into a sterile tube and examined over a 24-hour period.
152
What is the method for **fibrinogen determination**?
Use of two hematocrit tubes and centrifugation ## Footnote Total solids are measured before and after incubation at 58ºC.
153
What does the **prothrombin time (PT)** test evaluate?
Extrinsic coagulation pathway ## Footnote Requires a citrated plasma sample and tissue thromboplastin reagent.
154
What do the **activated partial thromboplastin time (APTT)** and **partial thromboplastin time (PTT)** tests evaluate?
Intrinsic pathway ## Footnote These tests are more sensitive to abnormalities in the clotting mechanism than the ACT test.
155
What is the most common inherited disorder of domestic animals?
von Willebrand’s disease ## Footnote Causes decreased or deficient production of von Willebrand factor, particularly in Dobermans.
156
What can cause **secondary coagulation disorders**?
* Decreased production of platelets * Increased destruction of platelets * Nutritional deficiencies * Liver disease * Ingestion of certain medications or toxic substances ## Footnote Thrombocytopenia refers to a decreased number of platelets.
157
What effect does **warfarin** have on coagulation?
Inhibits vitamin K function ## Footnote Vitamin K is required for the synthesis of some coagulation factors.
158
What medications can cause **bleeding disorders**?
* Warfarin * Aspirin ## Footnote Both can interfere with normal coagulation processes.
159
What is required for **hemostasis**?
* Platelets * Coagulation factors * Complex reaction pathways ## Footnote Hemostasis is the process that prevents and stops bleeding, involving various components and pathways.
160
Hemostasis proceeds through **mechanical** and **chemical** pathways. True or False?
TRUE ## Footnote Both pathways are essential for the effective functioning of hemostasis.
161
The term **mechanical hemostasis** refers to what?
The aggregation and adhesion of platelets to exposed blood vessel endothelium ## Footnote This process is crucial for the initial response to vascular injury.
162
The **mechanical** and **chemical phases** of hemostasis are what?
Interrelated and interdependent ## Footnote Both phases work together to ensure effective hemostasis.
163
Activated platelets expose **phosphatidylserine** on their surface and release what?
Microparticles that also contain phosphatidylserine ## Footnote Phosphatidylserine plays a key role in coagulation processes.
164
Coagulation complexes attach to **phosphatidylserine** on the surfaces of what?
* Microparticles * Platelets ## Footnote This attachment is crucial for the formation of the coagulation complex.
165
What role does **thrombin** serve in hemostasis?
Enhances the recruitment and activation of platelets ## Footnote Thrombin is a key enzyme in the coagulation cascade.
166
What is **fibrinogen** converted to during hemostasis?
* Soluble form * Insoluble form ## Footnote Fibrinogen is a critical protein in the clotting process.
167
The breakdown of **fibrin** requires what?
* Plasmin * tPA ## Footnote These components are essential for fibrinolysis, the process of breaking down clots.
168
Fibrin is broken down into what products?
* Soluble FDPs * Insoluble FDPs * D-dimers ## Footnote These breakdown products are important markers in assessing clot formation and breakdown.
169
tPA (blood term)
tissue plasminogen activator Its primary function includes catalyzing the conversion of plasminogen to plasmin, the primary enzyme involved in dissolving blood clots.
170
FDP
fibrin degradation products components of the blood produced by clot degeneration
171
D-dimer
a small protein fragment present in the blood after a blood clot is degraded by fibrinolysis.
172
Why must **blood for coagulation testing** be collected carefully?
To avoid triggering the clotting mechanisms ## Footnote Minimal trauma during collection is essential for accurate test results.
173
What factors can alter **coagulation test results**?
* Patient excitement * Excessive venous stasis ## Footnote Both can lead to inaccurate coagulation measurements.
174
What type of plasma is most commonly used in **coagulation tests**?
Sodium-citrate–anticoagulated plasma ## Footnote This type of plasma is standard for most coagulation testing.
175
Which anticoagulated samples are preferred for the evaluation of **platelet numbers**?
EDTA-anticoagulated samples ## Footnote EDTA is specifically used for accurate platelet count assessments.
176
What is the proper ratio of **citrate to blood** for coagulation testing?
1 part citrate to 9 parts whole blood ## Footnote This ratio is crucial for accurate coagulation test results.
177
What types of systems do automated analyzers use to monitor for **clot formation**?
* Mechanical systems * Optical systems ## Footnote These systems help in detecting clot formation during coagulation testing.
178
**What do coagulation tests evaluate?**
Specific parts of the coagulation pathways ## Footnote Coagulation tests are essential for assessing the blood's ability to clot properly.
179
**Most coagulation assays are performed with what type of equipment?**
Automated analyzers ## Footnote Automated analyzers enhance the efficiency and accuracy of coagulation testing.
180
**What does buccal mucosa bleeding time evaluate?**
Platelet number and function ## Footnote This test assesses how well platelets are functioning in the blood.
181
**Where are coagulation factor assays performed?**
Reference laboratories ## Footnote These assays are conducted when a specific factor deficiency must be identified.
182
**How are vWF evaluations performed?**
Via immunologic methods ## Footnote vWF evaluations are crucial for diagnosing von Willebrand disease.
183
**Bleeding disorders** may be caused by what types of defects?
* Congenital defects * Acquired defects ## Footnote These defects can affect coagulation proteins, platelets, or the vasculature.
184
What are some **clinical signs** of bleeding disorders?
* Delayed deep-tissue hemorrhage * Hematoma formation * Superficial petechial hemorrhages * Ecchymotic hemorrhages * Epistaxis * Melena * Prolonged bleeding at injection and incision sites ## Footnote These signs indicate various forms of bleeding and can vary in severity.
185
What is the most common **inherited coagulation disorder** of domestic animals?
vWD ## Footnote vWD stands for von Willebrand disease, which affects blood clotting.
186
What does **thrombocytopenia** refer to?
A decreased number of platelets ## Footnote It is the most common coagulation disorder seen in small animal veterinary practice.
187
Name the **Vitamin-K–dependent factors**.
* Factor II * Factor VII * Factor IX * Factor X ## Footnote These factors are essential for proper blood coagulation.
188
What can cause **thrombocytopenia**?
* Infection with certain bacterial agents * Infection with viral agents * Infection with parasitic agents * Bone marrow depression * Autoimmune disease ## Footnote Thrombocytopenia can result from a wide variety of conditions.
189
What is **DIC**?
A consumptive coagulopathy that occurs secondary to other disease conditions ## Footnote DIC stands for disseminated intravascular coagulation.
190
True or false: Clinical signs and laboratory results for patients with **DIC** are consistent and predictable.
FALSE ## Footnote Clinical signs and laboratory results are highly variable for patients with DIC.
191
What is the most common inherited bleeding disorder in domestic animals?
Von Willebrand disease
192
List the tests that evaluate platelet function.
Clot retraction and buccal mucosal bleeding time
193
Which tests can be used to help evaluate tertiary hemostasis?
D-dimer and fibrin degradation products
194
________ cells are relatively large and pale-staining cells, whereas _______ cells are smaller and have clumped basophilic nuclei.
Myeloid erythroid
195
The _____ blood cell system provides the body’s first line of defense against pathogens.
myeloid
196
Which granulocytes are part of the proliferation pool (capable of mitosis)?
myeloblasts, promyelocytes, and myelocytes
197
Which granulocytes are part of the mature pool (not capable of mitosis, these are the infection fighters)?
The maturation pool includes metamyelocytes and band cells.
198
Macrophages develop from ____ to_____ and then mature ______. This happens when certain _____ are activated.
monoblast promonocyte monocyte Cytokines Memory hints for macrophages: short cycle because they need to quickly eat pathogens Mono- 1 big cell eating bunches of smaller cells promo- promoting the adult cycle
199
Platelets develop through ____ and starts with a ____, which matures into a______. Plaletes are the ______ of the final stage.
Megakaryoblast Promegakaryocyte Megakaryocyte Fragments memory hints: kary means core/kernal. In medical terminology it usually refers to cells/reproduction. So, thrombopoeisis is a cell that shatters to clot blood. (It starts from a
200
Erythrocyte functions
transportation of gases and nutrients buffering some immunity functions
201
Which erythroid stages are found in the bone marrow
rubiblast prorubicyte rubicyte metarubicyte (rub = red)
202
The megakaryocyte/erythrocyte progenitor differentiates into either
rubriblasts, which give rise to the erythrocytes, megakaryoblasts, which give rise to platelets. **** Seems like rubiblasts might more commonly be called proerythroblast because why would anything be easy. Online research shows proerythroblast is used more
203
At which erythroid stage are red blood cells released into the blood stream
reticulocytes (reticul/o =network)
204
Reticulocytes are _____ red blood cells. Mature red blood cells are call _____
immature punctate reticulocytes
205
Most chemical analysis requies_______
Serum
206
Chemistry panel should be analyzed within _____
1 hour
207
Albumin comprises ____ of Total Protein
35 to 40%
208
A simple description of blood seum is
It's plasma with fibinogen removed
209
Serum Separator tubes
Has a gel that forms between blood and serum cells The inside walls of the tube have silica particles When collecting invert gently then let sit for 30 minutes
210
Unconjugated bilirubin compromised approximately ______ of total bilirubin
two-thirds
211
Bilirubin life cycle
-Insoluble molecule derived from breakdown of hemoglobin in the spleen -liver cells conjugate bilirubin, which becomes a major component of bile - In GI bilirubin is acted on by bacteria and becomes urobilirubin -Excreted through feces or liver
212
Bile acids
Aid in fat digestion and modulate cholesterol
213
Bile acids life cycle
-Cholesterol is synthesized by hepatic cells to become BA -Secreted across the canalicular membrane (specialized liver cells) to duodenum -Stored in the gallbladder until GI contraction -Transported back to liver
214
Canalicular membrane
Found in liver, moves bile acids through the biliary system to intestine (duodenum)
215
Which animal does not store bile acids in the gall bladder
Horses
216
Elevated bile acids can indicate
* Indicate liver diseases * Congenital portosystemic shunts * Chronic hepatitis * Hepatic cirrhosis * Cholestasis * Neoplasms
217
Cholesterol
Plasma lipoprotein produced primarily in the liver but also ingested in food
218
Enzymes released from damaged hepatocytes
* Alanine transaminase (ALT) * Aspartate transaminase (AST) * Dehydrogenase enzymes * Iditol dehydrogenase (ID) * Glutamate dehydrogenase (GLDH)
219
Which chemistry blood panel tests are most readily available to test liver function
ALT (alanine transaminase) and AST (aspirate transaminase)
220
Alanine Transaminase
Usually called ALT In dogs, cats, and primates, the major source of ALT is the hepatocyte Note = Horses, ruminants, pigs, and birds do not have enough ALT in the hepatocytes for this enzyme to be considered liver specific.
221
ALT stands for
Alanine Transaminase
222
Besides the live, what else can cause abnormalities in ALT
Damage to renal cells, cardiac muscle, skeletal muscle, and the pancreas
223
Aspartate Transaminase
AST Present in hepatocytes in other tissues * RBCs, cardiac muscles, skeletal muscles, kidneys, and pancreas * Common cause for elevation: Liver disease, muscle inflammation or necrosis, hemolysis * Liver disease, muscle inflammation or necrosis, hemolysis
224
ALT compared to AST
* More severe liver damage required to release AST compoared to ALT * AST levels rise slower than ALT but return to normal faster
225
Other enzymes released from damage to liver
Generalized as Leakage Enzymes Glutamate Dehydrogenase = GD Iditol Dehydrogenase = ID Sorbitol Dehydrogenase = SD
226
Cholestasis
Reduction or stoppage of bile flow.
227
Alkaline phosphate (AP)
* Used to detect cholestasis in small animals Less important: Present in osteoblasts, chondroblasts, intestines, and placenta and liver cells
228
What does AP stand for in blood chemisty
Alkaline phosphate
229
Gamma glutamyltransferase (GGT)
* Found in many tissues – primary source is the liver * Cattle, horses, sheep, goats, and birds have higher GGT than dogs and cats * Elevated levels in liver disease, especially with obstructive liver disease
230
GGT
Gamma glutamyltransferase
231
Most chemistry analyzes use principles of _______ to quantify constituents of blood
photometry
232
Total plasma proteins include ______ Total serum proteins do not include ________
fibrinogen fibonegen
233
Elevated Bile Acids
Indicates liver diseases
234
Leakage enzymes include:
ALT, AST, ID, and GLDH
235
Summary of Kidney functions
* Control water and electrolyte levels in times of abnormal balance (primary function) * Excrete or conserve hydrogen ions to maintain blood pH * Conserve nutrients * Remove end products of nitrogen metabolism * Produce renin, erythropoietin, prostaglandins, and aid in vitamin D activation
236
Increases in BUN caused by:
* Dehydration * Increases retention of urea – azotemia * High-protein diets * High levels of amino acids * Strenuous activity * Breakdown of amino acids
237
Any condition that alters the glomerular filtration rate (GFR) will alter ______ levels
creatinine
238
Uric Acid is
Metabolic by-product of nitrogen catabolism found mainly in the liver Transported to the kidneys bound to albumin. Then converted to allantoin and excreted in urine. Except in dalmations where it is not converted to allantonin and is excreted as Uric Acid
239
Lipase
* Derived from the exocrine pancreas * Function to break down long-chain fatty acids of lipids * Excess lipids filtered through the kidneys
240
Amylase and Lipase in Peritoneal Fluid
* Comparing levels in peritoneal fluid with those in serum provides more diagnostic information * Higher levels in the peritoneal fluid suggest pancreatitis provided intestinal perforation is ruled out
241
Trypsin
* Proteolytic enzyme that aids in digestion * Breaks down proteins in foods * More readily detectable in feces than blood
242
Endocrine Pancreas Tests Includes:
* Glucose * Fructosamine * Glycosylated hemoglobin * Also provide information on the pancreas * Urinalysis * Serum cholesterol * TriglyceridesEndocrine Pancreas
243
Agents that boost blood glucose levels.
Glucagon, thyroxine, growth hormone, epinephrine, and glucocorticoids
244
How do blood glucose influencers work
They encourage glycogenolysis, gluconeogenesis, and lipolysis while discouraging glucose entry into cells.
245
The hypoglycemic hormone
Insulin
246
How does insulin work
Moves into target cells (glucose flux) in the pancreatic inlets (in beta cells) Anabolism occurs and glucose is converted. Only insulin can lower blood sugar levels.
247
The pancreatic islets respond directly to________ and they release
blood glucose concentrations, glucagon or insulin
248
Glucagon
Released from alpha cells in the pancreatic inlets Increases glucose levels Directly stimulates insulin release.
249
Glucose drops ______ if left in contact with RBCs at room temperature
10% an hour
250
Because ________is under sympathetic neural control, ______ can result from the “fight or flight” state.
Epinephrine hyperglycemia.
251
When glucose concentrations are persistently elevated in blood, glucose binds to ______. This results in increase ______ in blood levels
serum proteins fructosamine Bonus- diabetes mellitus is the condition that causes persistent elevation in blood
252
Increased glucose levels means Increased fructosamine means:
Diabetes mellitus Persistent hyperglycemia or Glycosylated Hemoglobin
253
Glycosylated hemoglobin
also called hemoglobin A1C Because
254
The hemoglobin A1C test result is a reflection of the average glucose concentration over the life span of an _____ which is ______ in dogs and ______ in cats.
erythrocyte, 3 to 4 months 2 to 3 months
255
The ketone produced in greatest abundance in ketoacidotic patients is
β-hydroxybutyrate.
256
Ketone bodies can be detected in ______
plasma
257
Glucose tolerance tests challenge the _____ and measure ______ by evaluating blood or urine glucose concentrations.
pancreas insulin's effect
258
Insulin Tolerance test investigates
the cause of diabetes mellitus
259
Glucagon Tolerance tests
Assesses hyperinsulinism
260
For glucose/insulin tests ____ is the anticoagulant of choice
Sodium fluoride
261
Electrolytes (5 things)
* Negative ions or anions * Positive ions or cations * Are found in all body fluids * Function in maintenance of water balance, fluid osmotic pressure, and normal muscular and nervous functions * Also maintain and activate several enzyme systems in the acid-base regulations
262
Every change on the pH scale of 1 number is a power of
10 difference in H + concentrations
263
Normal pH in animals is
7.35 to 7.45
264
Which systems work to regulate the pH in acid-base balance Bonus: time frame of systems
Respiratory and renal systems Bonus: * Respiratory works within minutes * Renal works for days to restore balance
265
Describe the bicarbonate buffer process in the body
* When blood becomes acidic, bicarbonate (HCO3 ) binds to excess free H + to form carbonic acid (H2CO3) * Carbonic acid breaks down to water and CO2 * CO2 is removed through respirations * Kidneys play a major role by actively secreting or resorbing bicarbonate
266
Describe the potassium buffer process in the body
* Potassium in the plasma and extracellular fluid affect the plasma concentration of H + * Potassium and H + are positively charged ions that move freely between ICF and ECF * Decreases in plasma potassium cause potassium to move from cells to the ECF and H+ to move from the ECF into the cells and vice versa
267
Hypercapnia
* If respiratory rate decreases, less CO2 is eliminated
268
Metabolic Acidosis/Alkalosis
* Any metabolic condition that results in the buildup of acids or decrease in blood bicarbonate in the body * Ketones – produced when glucose metabolism is abnormal, can overwhelm buffer system * Vomiting can cause alkalosis
269
Base Excess test (4 things)
* The amount of strong acid or base required to titrate 1 L of blood to pH 7.4 at 37° C while P CO2 is held constant at 40 mm Hg * Calculated from the pH, CO2, and hematocrit measurements * Negative value – metabolic acidosis * Positive value – metabolic alkalosis
270
Major cations and anions in electrolytes
Cations: Sodium, calcium, potassium, magnesium, hydrogen Anions: chloride, phosphate, bicarbonate
271
Arterial samples are ideal for analysis of
electrolytes and blood gases
272
Sodium in electrolytes
* Major cation of plasma and the ECF * Important role in water distribution and body fluid osmotic pressure maintenance * Hypernatremia – elevated sodium * Hyponatremia – decreased sodium * Do not use heparin – falsely elevates result
273
Conditions associated with hypernatremia
Water deprivation Hyperventilation Osmotic diuresis
274
Conditions associated with hypornatremia
GI Disorders Ketonuria hypoadrenocorticism Congestive heart failure
275
Potassium in electrolytes
* Major intracellular cation; * important in normal muscular function, respiration, cardiac function, nerve impulse transmission, and carbohydrate metabolism * When measuring potassium levels plasma samples are preferred * Avoid hemolysis when collecting samples as it releases K
276
Hyperkalemia
* In acidic animals K + leaves ICF as they are replaced by H+ ions. This results in elevated plasma K + levels * related conditions: Metabolic acidosis, urinary tract infection, renal insufficiency
277
Hypokalemia –
* Decreased K + levels due to inadequate K + intake, alkalosis, or fluid loss from vomiting or diarrhea
278
Chloride in electrolytes
* Predominant extracellular anion * Plays an important role in maintenance of water distribution, osmotic pressure, and the normal anion/cation ratio * Is usually included in electrolyte profiles because of its close relationship to sodium and bicarbonate levels.
279
Bicarbonate in electrolytes
* Second most common anion of plasma * Kidney helps regulate bicarbonate levels * Frequently estimated from blood CO 2 levels * Arterial blood preferred for sample collection
280
The bicarbonate level is approximately_____ of the total CO 2 measured
95%
281
Magnesium
* Fourth most common cation in the body and second most common intracellular cation * Found in all body tissues * More than 50% in bones * Closely related to calcium and phosphorus * Activates enzyme systems * Imbalance of Mg/Ca ratio can result in muscular tetany (spasms/increased nerve stimulation) from the release of acetylcholine * Cattle and sheep only animals that show clinical signs related to Mg deficiencies * Anticoagulants other than heparin may decrease results of tests
282
Calcium
* <99% of Ca in the body found in bones * Remaining 1% or less has major functions in the body * Maintenance of neuromuscular excitability and tone * Maintenance of activity of enzymes * Facilitates blood coagulation * Maintenance of inorganic ion transfer across cell membranes * Concentrations are inversely related to inorganic phosphorus concentrations * Do not use EDTA or oxalate or citrate anticoagulants for samples as they bind with calcium
283
Inorganic Phosphorus
* More than 80% of phosphorus found in bones * 20% or less has major functions * Energy storage, release, and transfer * Involvement in carbohydrate metabolism * Composition of many physiologically important substances * Inorganic PO4 in plasma and serum, most of the rest of PO4 that is organic and in erythrocytes
284
Anion Gap
* Any difference between cations and ions is called the anion gap * Value calculated from measured electrolyte values * Normal gaps * 12 to 24 mEq/L in dogs * 13 to 27 mEq/L in cats * Increases seen in lactic acidosis, renal failure, and diabetic ketoacidosis * Decreases ─ hypoalbuminemia
285
Creatine Kinase (CK)
* Produced primarily in striated muscle cells and to some extent in the brain * CK leaks out of damaged muscles into the blood * Cannot determine which muscle is damaged or the severity
286
Adrenocortical function tests
* Commonly performed * Dysfunction is increasingly common * Misuse of corticosteroids perhaps why increasing * Other causes are brain or pituitary tumors * Diagnosis – more than one single measurement
287
Hypothalamic-Pituitary-Adrenal (HPA) Axis
* also called adrenal * starts with the hypothalamus * When stressed, brain triggers the hypothalamus to secrete corticotropin-releasing factor (CRF) * CRF triggers adenohypophysis to secrete adrenocorticotropic hormone (ACTH) * Cortisol is the major hormone released in animals * It feeds back to inhibit both CRF and ACTH release * Completes a balanced system
288
ACTH Stimulation Test
* tests for addison's or cushings * Distinguishes between iatrogenic and spontaneous hyperadrenocorticism * Screening test * 80% accurate in dogs * 50% accurate in cats
289
Dexamethasone Suppression Tests
* Can confirm or replace low-dosage test confirms or replaces ACTH response test for hyperadrenocorticism (Cushing) * Can differentiate pituitary from adrenal causes * Cats – only high-dose dexamethasone suppression test is suitable
290
Corticotropin-Releasing Hormone Stimulation test
Differentiates between pituitary-dependent and primary hyperadrenocorticism
291
Thyroid Assays
* Thyroid hormone influences metabolic rate, growth, and differentiation of all body cells * Thyroid glands are governed by adrenal cortices Tests include: TSH Response test, Triiodothyronine Suppression, Thyrotropin-releasing factor (TRF) and in-house testing * In-house testing is performed with immunologic methods (T 4 and free T4 )
292
Thyrotropin-releasing factor (TRF)
triggers release of thyrotropin or thyroid-stimulating hormone (TSH)
293
Thyroid disease
* is primarily hypofunction in dogs, horses, ruminants, and swine * Hyperfunction in cats * Cause – dietary iodine deficiency or excess, primary gland disease
294
TSH
* enhances thyroid growth, function, and thyroxine release * triggered by Thyrotropin-releasing factor (TRF)
295
Thyroxine (T3 or T4)
*Inhibits TRF and TSH
296
Triiodothyronine Suppression Test
* Hyperthyroidism is common in middle- aged cats in the U.S. and the UK * Diagnosis is based on resting thyroid hormone concentrations
297
TSH Response test
*TSH Response test is used on small animals and horses (except cats) but mostly dogs - After TSH is added an increase in serum T4 levels occurs in normal animals
298
Pituitary Function Test
* canine acromegaly is when the pituitary produces too much growth hormone * Serial GH samples needed (usually 3 to 5 tests in 10 minutes) * Affected dogs have constant levels of GH * Affected dogs do not respond to GH-releasing hormone (GHRH)
299
GI tract disease and Clin Path
* GI tract diseases are common * Specific diagnosis is essential * May need biopsy for definitive diagnosis * However, function tests are performed to confirm the need for more invasive tests * Malassimilation classified by pathophysiologic process ---- Maldigestive ---- Malabsorptive
300
GI Tract Clin Path tests
* Malassimilation tests Fecal occult blood * Fecal Occult Blood tests (guaiac. Impregnated strips or tablets) *Monosaccharide Absorption Tests Serum Folate and Cobalamin (malabsorption) *Mucin Clot test (relates to synovial function but in GI relates to immunology)
301
Anticoagulants and Rodenticides
* Warfarin, diphacinone, and pindone act by inhibiting the metabolism of vitamin K in the body * Initially prolongs prothrombin time (PT); then partial thromboplastin time (PPT) and activated coagulation time (ACT) are prolonged * Diagnosis based on these screening tests and response to vitamin K therapy
302
Chemicals That Denature Hemoglobin
* Alter hemoglobin in RBCs and form Heinz bodies * Cats – paracetamol and methylene blue * Dogs – onions * Horses – red maple leaves * Ruminants – onions and brassicas
303
Ethylene Glycol (Clin path)
* Antifreeze * Serious or fatal in dogs and cats * Ethylene glycol and its metabolites can be detected in whole blood or serum by a toxicology laboratory * Strongly suggested in urine sediments containing large amounts of calcium oxalate monohydrate crystals
304
Name the major internal defense systems of mammals
Innate or nonspecific immune system Adaptive, or specific immune system (also called acquired immunity).
305
The innate immune system includes (7)
*Skin *Physical and biochemical components of the nasopharynx, gut, lungs, or GI tract *populations of commensal bacteria that compete with invading pathogens *the body's inflammatory response.
306
What are cytokines
They are chemical messengers produced by a variety of cells that interact with components of the immune system.
307
The immune complement system is made up of
a series of chemicals that interact with the cells of the immune system.
308
What does sensitivity mean regarding immunological testing
Refers to the ability of the test to correctly identify all animals that are truly positive for a given reaction procedure.
309
Antigens
Any substances that are capable of generating a response from the immune system
310
What do monocytes do during inflammatory response
* Follows neutrophils * Ingest and destroy antigens * In blood they are monocytes but when migrate into tissue → macrophages
311
Where do you find macrophages as part of the mononuclear phagocytic system
Located in liver, brain, connective tissue, spleen, lung, bone marrow, and lymph nodes
312
Natural killer cells (NK)g
* Small subset of lymphocytes in blood and lymph organs * Recognize and destroy host cells infected with microbes or viruses * Activate phagocytes by releasing interferon-γ * Part of innate immune system
313
Interferons
* Part of the innate immune system * Cytokines that elicit cellular reactions * Prevent viral replication
314
Adaptive Immune System
* More sophisticated than innate system * Humoral and cell-mediated components * Respond specifically to foreign substances
315
Antigens may be:
* Bacterial, fungal, viral, altered host cells
316
Lymphocytes
* Largely responsible for the adaptive immune system * Stem cells develop in yolk sac and then fetal liver and move to bone marrow near birth * Destined to mature into either --- B-lymphocytes – bone marrow --- T-lymphocytes – thymus
317
Humoral Immune System process
* Antibodies produced by B lymphocytes * Secreted into body’s fluid or “humors” * Matures to lymphoblast, prolymphocyte, and lymphocyte * Mature cells leave bone marrow to enter spleen or lymph nodes, where they encounter antigens * Each B cell develops a specific receptor molecule to a specific antigen * Each time that antigen enters the body, the B cell reacts to it
318
IgM
* first one, activates complement (immune cascade) * 5% of total immunoglobulins * large molecule
319
IgG
*most abundant of immunoglobulins * neutralizes *75% of total immunoglobulins *longest in circulation *small
320
IgE
*Very small amounts of total IG, * similar in structure to IgG * Immediate hypersensitivity reactions, such as allergy and anaphylactic shock * Coating of helminth parasites for destruction by eosinophils
321
IgA
*approximately 20% of circulating antibodies * Mucosal immunity * Protection of respiratory, intestinal, and urogenital tracts
322
IgD
*a monomer, very low amounts * B lymphocyte surface antigen receptor in some species
323
Anaphylactic shock is a/an _______ hypersensitivity.
Type 1
324
The production of a specific antibody is referred to as _______ immunity.
Active
325
What does specificity mean in regards to immunological testing.
It is a measure of the numbers of false positives produced with the given reaction procedure.
326
What is required for most immunoassays.
* Serum or plasma samples
327
Most immunoasays used in vet practices utilize the
ELISA method.
328
The latex agglutination test makes use of small, spherical latex particles coated with _____ and suspended in ______ to detect _____ in samples.
antigen water antibody
329
With the lateral flow assay methods, a sample that contains antigen flows through ________, and positive reactions are shown by the appearance of ______
a porous strip a colored band.
330
ELISA (is in ELISA immunology test) stands for
Enzyme link immunounosorbent assay
331
Three phsases of ELISA test
Solid phase Conjugate reagents Chromagen
332
What is urticaria
hives
333
What can happen with blood transfusions if the blood doesn't match
* Antigen-antibody reactions can occur with blood transfusions * Result in clumping or lysis of RBC
334
What does DEA stand for when it comes to canine blood
dog erythrocyte antigen these are blood types (IE DEA1 or DEA7)
335
Dogs have how many blood types
More than a dozen
336
The most clinically significant blood group in dogs is
DEA 1 bonus DEA 7 is next most important
337
Blood typing of dogs and cats can be performed in the veterinary practice laboratory with either
agglutination or immunochromatographic methods.
338
The cat blood system is _____ and it's important to know that
AB system A is not compatible with B and vice versa
339
Alloantibodies
naturally occurring antibodies against the RBC antigens that they do not possess.
340
Most common small animal clinic blood type
Tube method
341
Intradermal testing is performed to identify
IgE-mediated allergic responses and to detect the presence of Mycobacterium antigens.
342
Allergic reactions result when ______ release their histamine-containing granules and trigger the ____ response.
basophils or mast cells inflammatory
343
The tuburculin skin test is a test for ______ Immunity and the species that causes TB is_________
Cell-mediated Mycobacterium
344
Coombs test
Detects the presence of inappropriate antibodies (i.e., antibodies against the body's own tissues).
345
Immunodiffusion tests use the
patient's serum and antigen
346
Fluorescent Antibody Testing
Used when reliable antigen test not available
347
Molecular Diagnostics for immunity analyze______ and an example is _______
DNA and RNA PCR
348
Antibody titers are performed to
Differentiate active infection from prior exposure and to evaluate the need for revaccination.
349
Type 1 hypersensitivity
* Chemical mediators released * Allergies (atopy) and anaphylactic shock * IgE antibodies formed in response to antigens * Mast cell mediators cause * Smooth muscle contractions * Increased permeability to vessels in minutes * Inflammatory and immune response
350
Immune responses that cause tissue injury are called
hypersensitivity reactions.
351
Type I hypersensitivity is also called
immediate hypersensitivity.
352
* Atopy is
allergies type I hypersensitivity disorder.
353
Type II hypersensitivity
Mediated by IgG and IgM Transfusion reactions Antibody-mediated Immune Responses * Immune-mediated hemolytic anemia (IMHA) * Neonatal isoerythrolysis * Immune-mediated thrombocytopenia (IMT) Is an immune response
354
IMHA, IMT, neonatal isoerythrolysis, and transfusion reactions are
antibody-mediated type II hypersensitivity reactions.
355
Immune-complex disorders are type III hypersensitivities that
result in the deposition of immune complexes in various tissues
356
Immune-mediated hemolytic anemia (IMHA)
* Destruction of RBCs by host
357
thrombocytopenia (IMT)
* Platelet destruction
358
Type III hypersensitivity disorders
* Occur when antibodies and antigens form complexes that deposit in blood vessels * Glomerulonephritis in the kidney * Systemic lupus erythematosus * Large amount of autoantibodies to a diverse population of cells and tissues * Is an immune complex disease
359
Type IV hypersensitivity
* T-cell mediated disease caused by reaction of T lymphocytes against self-antigens in tissues * Contact reactions (examples include: Dogs to plastic food dishes and Humans to poison ivy) * Type 1 diabetes * Rheumatoid arthritis * Tuberculosis
360
List, in order, the cells and fragments in the platelet maturation series beginning from the common myeloid precursor
thrombopoiten is produced by the liver and comined with various cytokines myeloid precursor developes into megakaryocyte/erythrocyte precurser megakaryoblast promegakaryocyte megakaryocyte which shears off to form proplatelets these shear off further to form platelets
361
Describe how to perform an Activated Clotting Time Test
*Prewarm the tube with a 37° C (98.6° F) water bath or heat block *Use Vacutainer tube that contains an additive such as diatomaceous earth or kaolin that triggers the activation of the coagulation pathways. *Collect 2 mL of blood directly into the prewarmed tube. *Start timer as soon as the blood enters the tube. *Gently invert tube once and place in a 37° C incubator or water bath. *Observe the tube at 60 seconds and then at 5-second intervals for the presence of a clot. *Record results *Normal values are approximately 60 to 90 seconds.
362
Interaction between DEA 1.1+ and DEA 1.1-
DEA 1.1 is one of two antigens that promote the most severe transfusion reactions. A DEA 1.1-negative patient receiving DEA 1.1-positive blood may not have an immediate transfusion reaction, but a delayed reaction may occur. The patient may then develop antibodies against DEA 1.1-positive blood. If antibodies do develop and the patient receives a second DEA 1.1-positive blood transfusion, a more severe, immediate transfusion reaction may occur.
363
Approximately ____ of dogs have DEA 1.1-positive blood.
50%