CLM Flashcards

(18 cards)

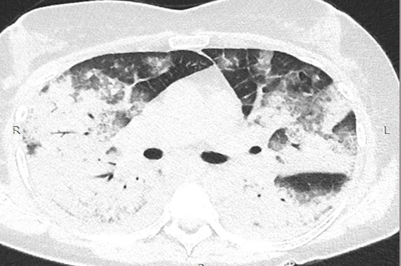
1
Q

Infiltrado bilateral difuso na SARA:

A
How well did you know this?
1
Not at all
2
3
4
5
Perfectly
2
Q

Classificação de SARA:

A
How well did you know this?
1
Not at all
2
3
4
5
Perfectly
3
Q

É necessário uma PaO2/FiO2 inferior a 100 para incluir nos critérios de SARA?

A

Não. Abaixo de 300 já inclui.

How well did you know this?
1
Not at all
2
3
4
5
Perfectly
4
Q

Na SARA, a manobra prona deve ser feita quando?

A

Em pacientes com hipoxemia refratária, estando o paciente sedado e sob efeito de bloqueadores neuromusculares.

How well did you know this?
1
Not at all
2
3
4
5
Perfectly
5
Q

Elemento-chave para o sucesso da reanimação e aumento na probabilidade de sobrevivência:

A

Tempo para desfibrilação

How well did you know this?
1
Not at all
2
3
4
5
Perfectly
6
Q

Qual antimicrobiano deve ser usado para S.aureus meticilina sensível?

A

Oxacilina

How well did you know this?
1
Not at all
2
3
4
5
Perfectly
7
Q

A acetazolamida (diurético inibidor da anidras carbônica que leva à acidose metabólica) é associada à maior ou menor risco de formação de cálculo renal?

A

Maior risco!

How well did you know this?
1
Not at all
2
3
4
5
Perfectly
8
Q

Qual medicação deve ser evitada na crise de gota aguda?

A

Alopurinol

How well did you know this?
1
Not at all
2
3
4
5
Perfectly
9
Q

Pode usar corticoide em crise aguda de gota?

A

Sim!

How well did you know this?
1
Not at all
2
3
4
5
Perfectly
10
Q

Causas de hiperpotassemia:

A
  • IECA
  • Acidose tubular renal tipo IV (ATR IV)
  • Insuficiência adrenal
How well did you know this?
1
Not at all
2
3
4
5
Perfectly
11
Q

AVCs e suas manifestações, dependendo da região afetada:

A
How well did you know this?
1
Not at all
2
3
4
5
Perfectly
12
Q

AVCs e suas manifestações, dependendo da região afetada:

A
How well did you know this?
1
Not at all
2
3
4
5
Perfectly
13
Q

STEPs do tratamento da Asma:

A
How well did you know this?
1
Not at all
2
3
4
5
Perfectly
14
Q

Classificação da Asma:

A
How well did you know this?
1
Not at all
2
3
4
5
Perfectly
15
Q

A articulação metacarpofalangeana é afetada em qual doença?

A

Artrite Reumatoide

How well did you know this?
1
Not at all
2
3
4
5
Perfectly
16
Q

Articulações mais acometidas na Artrite Reumatoide?

A

Metacarpofalangeanas, IFP e punhos

17
Q

Doenças que acometem articulação IFD:

A

Osteoartrite e artrite psoriásica

(AR começa com A, então vem primeiro -> proximal)

(OA começa com O, então vem depois -> distal)

18
Q

IECA melhora os desfechos de pacientes com qual doença?