CM4 Flashcards

(41 cards)

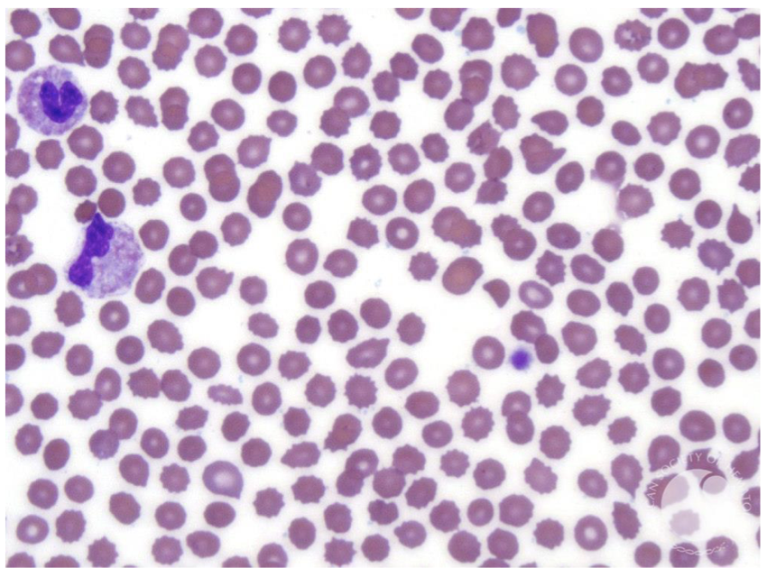
1
Q

Cas 4

A
How well did you know this?
1
Not at all
2
3
4
5
Perfectly
2
Q

Frottis du Cas 4

A
How well did you know this?
1
Not at all
2
3
4
5
Perfectly
3
Q

Décrit ce qui est observé au frottis du Cas 4

A
  1. Poikilocytose
    (plusieurs formes GR)
  2. Echinocytes et kératocytes
    (suggère mx métaboliques du foie/rein)
  3. Vitesse de sédimentation auguementée (comme CRP ça suggère un état inflammatoire)

Keratocyte: cell w/ protruding end

Echinocyte: cell w/ spikes
Kératocyte: cell w/ protuding end

How well did you know this?
1
Not at all
2
3
4
5
Perfectly
4
Q

Quels sont les 5 éléments à analyser PRIMORDIALEMENT dans une FSC

A
  1. Leucocytes
  2. Hémoglobine
  3. CGM
  4. Plaquettes
  5. Réticulocytes
How well did you know this?
1
Not at all
2
3
4
5
Perfectly
5
Q

Selon la FSC, combien de GB dans le sang?

A

(10.5 x 10^9)/L

How well did you know this?
1
Not at all
2
3
4
5
Perfectly
6
Q

Selon la FSC, combien de neutrophiles dans le sang?

A

(8.4 x 10^9)/L

0.8 x (10.5 x 10^9) = 8.4 x 10^9
Valeur normale: 2.0-7.5

Légère neutrophilie

How well did you know this?
1
Not at all
2
3
4
5
Perfectly
7
Q

Selon la FSC du Cas 4, quel serait le type d’anémie le plus probable

A

Normochrome normocytaire

Hémoglobine : 60g/L (N 118-160)
VGM: 90fl (N 82-94)

*VGM normale indique une taille moyenne normale des globules

How well did you know this?
1
Not at all
2
3
4
5
Perfectly
8
Q

Selon la FSC du Cas 4, lequel des 5 éléments est anormal?

A

Réticulocytes

How well did you know this?
1
Not at all
2
3
4
5
Perfectly
9
Q

Quel est le terme qui définie des valeurs de réticulocytes abaissées

A

Réticulopénie

How well did you know this?
1
Not at all
2
3
4
5
Perfectly
10
Q

Comment appele-t-on une anémie avec réticulopénie

A

Anémie non-regénérative

Dans le Cas 4 la dame souffre d’une anémie normocytaire normochrome non-regénérative

How well did you know this?
1
Not at all
2
3
4
5
Perfectly
11
Q

Quelle est la cause général des anémies non-regénératives?

A

Atteintes à la production des érythrocytes

Les réticulocytes sont des formes immatures d’érythrocytes. Quand on est en anémie, le corps devrait typiquement auguementer la productions d’érythrocytes, auguementant alors le nombres de réticulocytes. Une réticulopénie pointe vers un problème de synthèse central (dans la moelle) et NON de déstruction des GR en périphérie (dans le sang)

How well did you know this?
1
Not at all
2
3
4
5
Perfectly
12
Q

Selon la FSC du Cas 4, quel serait le diagnostic différentiel

Rappel:
1. Anémie normocytaire normochrome
2. Réticulopénie (non-regénérative)
3. Légère neutrophilie

A

La réticulopénie pointe vers un problème de production central (dans la moelle) et NON de déstruction des GR en périphérie (dans le sang)

Options possibles:

  1. Atteinte moelle osseuse
    MAIS leucocytes et plaquettes sont N
    si il y avait atteinte de moelle elle-même, il y aurait pancytopénie
  2. Manque de facteur de croissance pour erythropoïèse
    - Patiente avec INS. RENAL AVANCÉE
  3. Absence de réponse à l’EPO
    - Anémie des maladies chroniques
How well did you know this?
1
Not at all
2
3
4
5
Perfectly
13
Q

Quels serait les investigations complémentaires à faire pour le Cas 4

A
  1. Créatinine
    pour insuffisance rénal
  2. Dosage EPO
  3. Rx pulmonaire
    jsp pourquoi c’est silly goofy
  4. Bilan inflammatoire (martial)
    pour rule out une anémie par inflammation chronique ig
How well did you know this?
1
Not at all
2
3
4
5
Perfectly
14
Q

EPO est produite par quel organ?

A

Rein

Appareil juxtaglomérulaire

How well did you know this?
1
Not at all
2
3
4
5
Perfectly
15
Q

Décrire la production d’EPO

A

Production stable

How well did you know this?
1
Not at all
2
3
4
5
Perfectly
16
Q

Qu’est-ce qui influence la production d’EPO

A
  • Insuffisance rénale
  • Paramètres inflammatoires
How well did you know this?
1
Not at all
2
3
4
5
Perfectly
17
Q

Réponse thérapeutique

A

Préalable: pas d;autres cause d’anémie dont ferriprive

18
Q

Autres mécanismes physiopathologiques pr le cas 4

La prof est passé vrm quick la dessus

genre ongod 30s

20
Q

Selon la FSC du Cas 5 lesquels des 5 éléments à analyser sont anormaux?

A

Hémoglobine : 68g/L anémie

VGM: 95fl legèrement macrocytaire

Reticulocytes: 180x10^9 réticulocytose

Anémie regénérative
la réticulocytose montre un effort de regénérer es érythrocytes donc production médullaire est adéquate

21
Q

Expliquez les observations au frottis du Cas 5

  • Polychromatophilie
  • Présence de sphérocytes
A
  1. Polychromatophilie
    c’est simplement parce que le cytoplasme des réticulocytes est teinté bleu. Puisqu’on est en réticulocytose, le frottis est plus bleuté
  2. Sphérocytes (le GR est en forme de sphère plutôt que biconcave)
    Ceci arrive quand la membrane de l’érythrocyte a des parties “enlevée”.
    Il existe deux causes générales:
    - Intrintsèque (génétique): la membrance est mal attachée au cytosquelette
    - Extrinsèque (immune ou non): anticorps, allo-immun mère-bébé, médicaments, brûlures, troubles electrolytiques importants
22
Q

Quel serait le type d’anémie le plus probable du Cas 5

Rappel:
Anémie regénérative d’allure normochrome/normocytaire
Présence de sphérocytes

A

Anémie Hémolytique
- Les GR sont en forme de sphère, signe qu’elles se font attaquer
- Le patient a un ictère, signe d’hémolyse
- La production médullaire semble adéquate. Nous pouvons alors penser à de la destructionn des GR dans le sang périphérique
- Le patient a été exposé à de la péniciline. Il y a peut-être eu une réaction croisé avec le Gr

23
Q

Quel est le diagnostic différentiel des anémies hémolytiques?

aka. c’est quoi les autres causes d’anémie hémolytique

A
  • Traumatisme intravasculaire (ex. valves métalliques, malformation artério-veineuses
  • Microangiopathies

Associé à des schizocytes (GR en fragments) plutôt que sphérocytes

24
Q

Schéma résumé des cause de l’anémie NORMOCYTAIRE

25
Quel serait le bilan complémentaire à faire pour le **Cas 5**
Bilan d'hémolyse - Bilirubine - LDH (marqueur de turnover cellulaire) - Haptoglobine (devrait diminué en hémolyse intravasc.) - Test à l'antiglobuline Coombs (identifie les Ac à la surface du GR. Résultat positif indique hémolyse auto-immune) Si lien avec médicament **ARRÊT** Pour le **cas 5**, considérer une transfusion car patient agé avec symptômes d'angine. On veut éviter un arrêt cardiaque.
26
**Cas 6**
27
Frottis **Cas 6**
28
Selon la FSC du **Cas 6** lesquels des 5 éléments à analyser sont anormaux?
1. Hémoglobine (72g/L) 2. VGM (124.2) **anémie macrocytaire**
29
Décrit ce qui est observé au frottis du **Cas 6**
Neutrophiles hypersegmentés 5 lobes nucléaires ou plus ## Footnote *c'est un signe classique d'un problème avec la maturation (particulièrement division) d'ADN *
30
Quel est le diagnostic différentiel d'une anémie macrocytaire?
**Anémie macrocytaire mégaloblastique** - Déficit vitamine B12 - Déficit en folates - Médicaments anti-métaboliques **Anémie macrocytaire non mégaloblastique** - Syndrome myélodysplasique (*hématopoïèse toute croche*) - Atteinte hépatiques - Réticulocytose (*VGM est élevé parce que y'a plus de réticulocytes et c'est des cellules généralement plus grosses*) - Hypothyroïdie
31
Décrire cliniquement l'anémie macrocytaire mégaloblastique
- VGM élevé - Neutrophiles hypersegmentés - Atteintes neuropathique (par manque de B12)
32
Quel serait le bilan complémentaire a prescrire pour le **Cas 6** | Rappel: anémie macrocytaire
Vitamine B12 Folates Bilan d'hémolyse *Pour s'assurer que c'est pas une anémie hémolytique qui auguemente la quantité de réticulocyte et donc la VGM* Moelle (si ambiguë)
33
**Cas 7**
34
Frottis du **Cas 7**
35
Selon la FSC du **Cas 7** lesquels des 5 éléments à analyser sont anormaux?
1. Hémoglobine (56 g/L) 2. Thrombocytopénie (86x10^9) 3. Leucopénie (1.2x10^9) avec neutropénie sévère (0.37x10^9) ## Footnote **AKA PANCYTOPÉNIE**
36
Quel genre d'atteinte pourrait expliquer une pancytopénie
1. Atteinte de la moelle osseuse (affecte la production de cellules sanguines) 2. Destruction périphérique - Hypersplénisme
37
Quel sont les types d'atteinte à la moelle
Moelle riche (bcp de cellules non-fonctionnels): - Déficience B12 ou folates - Remplacement par cellules néoplasiques - Syndrome myélodysplasique Moelle pauvre (moins de cellules): - Aplasie médullaire
38
Décrit le frottis sanguin du **cas 7**
Présence de 1% de blastes dans le sang périphérique (*PAS NORMAL!! Jamais de blastes en périphérie*) Dacryocytes (suggére une infiltration de la moelle osseuse) | Dacryocyte : cellule en larme ## Footnote SPOILER! Patient a une leucémie
39
Quel serait le bilan complémentaire/investigations à préscrire pour le **cas 7** ## Footnote Rappel: Anémie macrocytaire
- Aspiration et biopsie de la moelle osseuse (*riche ou pauvre*) - S'assurer de l'absence de complications immédiates/urgences
40
En résumé
41
Thérapie immédiate du patient leucémique dans le **cas 7**?
Transfusion culots érythrocytaires *la patient fait un infarctus* Prise en charge des urgences (infectieuses, métaboliques) *le patient a des leucopénies sévères donc c'est propice à l'infection* Traitement de la pathologie hématologique *la leucémie en tant que tel*