CMV Flashcards

(17 cards)

1
Q

cómo se considera el CMV?

A

infeccion vertical mas frecuente

How well did you know this?
1
Not at all
2
3
4
5
Perfectly
2
Q

de qué es la causa infecciosa más comun el CMV?

A

anormalidades congénitas

How well did you know this?
1
Not at all
2
3
4
5
Perfectly
3
Q

qué tipo de infecciones causa el CMV?

A
  • latentes
  • persistentes
How well did you know this?
1
Not at all
2
3
4
5
Perfectly
4
Q

por qué medio se disemina el CMV?

A
  • leucocitos
  • linfocitos
How well did you know this?
1
Not at all
2
3
4
5
Perfectly
5
Q

por qué se reactiva el CMV?

A

inmunodepresión

How well did you know this?
1
Not at all
2
3
4
5
Perfectly
6
Q

por qué se controla el CMV?

A

inmunidad celular

How well did you know this?
1
Not at all
2
3
4
5
Perfectly
7
Q

como es el CMV la mayoría de las veces?

A

asintomático

How well did you know this?
1
Not at all
2
3
4
5
Perfectly
8
Q

en dónde se puede identificar el CMV?

A

mayoría de tejidos y fluidos

How well did you know this?
1
Not at all
2
3
4
5
Perfectly
9
Q

en que px sucedería una reactivación de CMV?

A

px con inmunosupresión (transplantados)

How well did you know this?
1
Not at all
2
3
4
5
Perfectly
10
Q

como se puede presentar el CMV en adultos?

A
  • asintomáticos,
  • Mono-Like,
  • hepatitis muy leve
  • ETS: pero no hay síntomas genitales
How well did you know this?
1
Not at all
2
3
4
5
Perfectly
11
Q

enfermedades que puede causar CMV

A
  • neumonía
  • retinitis
  • collitis
  • esofagitis
  • EICH (enf del injerto contra hospedero) + COMUN px trasplantados de MO
How well did you know this?
1
Not at all
2
3
4
5
Perfectly
12
Q

cómo es considerada la retinitis x CMV?

A

enf definitioria de SIDA

How well did you know this?
1
Not at all
2
3
4
5
Perfectly
13
Q

por qué es causado el CMV congénito?

A

primoinfección materna

How well did you know this?
1
Not at all
2
3
4
5
Perfectly
14
Q

que porcentaje de RN son asintomáticos de CMV al nacer?

A

90%

How well did you know this?
1
Not at all
2
3
4
5
Perfectly
15
Q

síntomas del CMV congénito

A
  • microcefalia
  • sordera
  • retraso psicomotor
  • calcificaciones periventriculares
  • ictericia
  • hepatoesplenomegalia
  • exantema
How well did you know this?
1
Not at all
2
3
4
5
Perfectly
16
Q

como se le conoce al exantema en bebés x CMV y por qué es causado?

A

blueberry muffin baby
* causado x eritropoyesis extramedular (los progenitores se plantan en otros sitios)

17
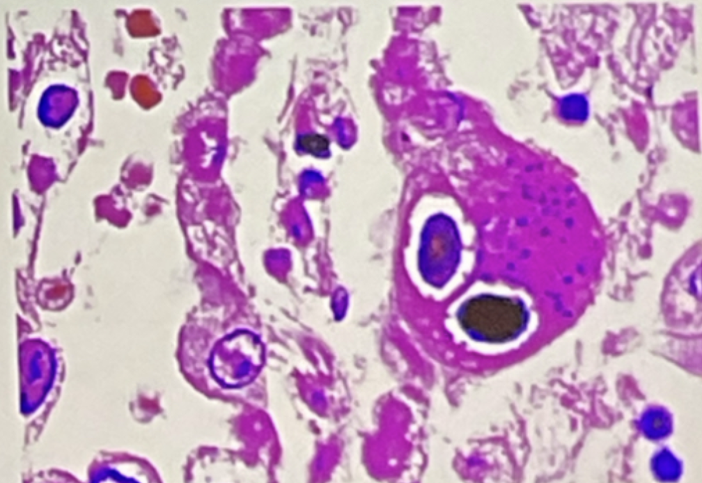
Q

como se dx el CMV?

A
  • histológico: células citomegálicas
  • serología (IgM e IgG)
  • PCR (sangre, orina y semen)