CNS-infeksjoner Flashcards

(31 cards)

1
Q

Hvilkne ulike inndelinger deler mann akutt/subakutte meningitter inn i?

Inndelingen er kunstig!

A

Bakteriell meningitt

“Aseptisk” meningitt

How well did you know this?
1
Not at all
2
3
4
5
Perfectly
2
Q

Hva menes med “aseptisk meningitt”?

Inndelingen

A

Neg. gram preparat og neg. CSF agenspåvisning

Deles inn

A; med behov for antimikrobiell terapi:
- Delvis behandlet meningitt
- Parameningealt suppirativt fokus
- TB
- Neuroborreliose
- Sopp
- Syfilis
- Herpes simplex 1/2
- Varicella/Zoster virus
- Mycoplasma

B; uten behov for anti-mikrobiell terapi:
- Virus

How well did you know this?
1
Not at all
2
3
4
5
Perfectly
3
Q

Hvilken etiologi har bakteriell meningitt?

A

Avhengig av alder

Nyfødte:
- E.coli
- S.agalactiae (= Gr. B streptokokker)
- Listeria monocytogenes

Voksne og barn etter nyfødtperioden:
- Norge i dag; Pneumokokker og meningokokker

Enkelte særtrekk:
- Barn < 6 år; Haemophilus influenzae før vaksinasjon
- Eldre (>60-70 år) & immunkomprimitterte; L.monocytogenes (sjelden)

How well did you know this?
1
Not at all
2
3
4
5
Perfectly
4
Q

Hvilke underliggende sykdom kan influere bakteriell meningitt, og hvilke bakterier er da aktuelle?

A

Diabetes mellitus:
- Pneumokokker
- Stafylokokker
- Gram neg. staver

Alkholisme:
- Pneumokokker

Immunsuppresjon:
- L.monocytogenes
- S.aureus
- Gram neg. staver
- OBS!; sopp
- Cryptococcus neoformans
- Candida spp.

Kraniefraktur og nevrokirurgiske pas.:
- S.pneumoniae
- Stafylokokker
- Pseudomonas
- Gram neg. staver
- 𝛼-hemolytiske streptokokker

CNS-shunt:
- S.epidermidis
- Enterokokker
- Gram neg. staver

How well did you know this?
1
Not at all
2
3
4
5
Perfectly
5
Q

Hva er symptomer ved bakteriell meningitt?

A

Feber > 90%

Hodepine > 90%

Meningisme > 85%

Cerebral dysfunksjon > 80%
- Kramper > 30%
- Fokale nevr. utfall hos 10-20%
- Papilleødem < 1%

Manglende/mindre symptomer hos nyfødte/eldre
- Immunsupprimerter; nøytropene

Presentasjon også influert av agens

Ved CNS shunt infeksjoner:
- Svært varierende bilde

Meningisme;tilstand minner om meningitt u.s. av CSF er normal/nesten nor

How well did you know this?
1
Not at all
2
3
4
5
Perfectly
6
Q

Hvilken patogenese har meningitt?
Hvilke fysiologiske konsekvenser har dette?

A

Mukosa kolonisering => systemisk invasjon => bakteriemi => meningeal invasjon => endringer i BHB => bakterier overlever og formeres i subarachnoidale rom => induksjon av subarachnoidal inflammasjon => hjerneødem => økt ICP => endringer i cerebral blod flow

Hjerneødem:

  • Vasogen komponent; økt permabilitet
  • Cytotoksisk komponenet; Granulocyttproduksjon og bakteriell degraderings produksjon
  • Interstitiell opprinnelse; obstruksjon i CSF flow

Blod flow:

  • Vaskulitt
  • Kompresjon pga. økt intrakranielt trykk
  • Eksperimentelt; tap av autoregulering

Meningitt => meningoencephalitt:

  • Iskemi/infarkter
How well did you know this?
1
Not at all
2
3
4
5
Perfectly
7
Q

Hvordan gjøres meningitt diagnostikken?

A

Spinalpunksjon

  • Etter oftalmoskopi!

CSF-analyse:

  • Trykkmåling; evt. hvis tid
  • Utseende; klar-blakket-blodig-xanthochrom
  • Biokjemisk; LPK, glukose, protein
  • Mikrobiologi:
    - Gram-farging
    - Dyrking
    - PCR
    - Evt. antigen analyse; pneumokokk >> kryptokokk

Blod-kulturer

Naspharynx-prøve:

  • Dyrkning/PCR, spesielt hvis ab. gitt før innleggelse

CT/MR; evt. behov senere i forløpet

  • Må gjøres umiddelbart og før spinalpunksjon hvis:
    - Fokale nevrologiske utfall
    - Papilleødem
    - Tegn på herniering

Xantochromi; gulfarging. Kryptokokk; soppinfeksjon

How well did you know this?
1
Not at all
2
3
4
5
Perfectly
8
Q

Hva er typiske spinavæskeforandringer v/meningitt?

A
PMN; Polymorfnukleære.
How well did you know this?
1
Not at all
2
3
4
5
Perfectly
9
Q

Hvordan har forekomsten av menigokokksykdom vært i Norge ifølge MSIS (2011-2018)?

A
How well did you know this?
1
Not at all
2
3
4
5
Perfectly
10
Q

Hvordan har forekomsten av systemisk pneumokokksykdom vært i forhold til diagnoseår og aldersgruppe i følge MSIS i 2011-2018?
Hvilken aldersgruppe er størst?

A
How well did you know this?
1
Not at all
2
3
4
5
Perfectly
11
Q

Hvordan har utviklingen av invasive haemophilus influenzae vært i Norge (1977-2017)?

How well did you know this?
1
Not at all
2
3
4
5
Perfectly
12
Q

Hvordan behandler man meningitt med ukjent etiologi?

A

Initial behandling med ukjent etiologi:

  • 3.generasjon cefalosporin + ampicillin (i “meningitt-doser”)

Hvis penicilliner og cefalosporiner er kontraindisert:

  • Meropenem
How well did you know this?
1
Not at all
2
3
4
5
Perfectly
13
Q

Hvilken behandling skal pasientene ha når etiologien er kjent?

A

Når etiologi og resistens er klarlagt!

N.meningitidis:

  • Penicillin G hvis MIC ≤ 0.06 mg/L
  • 3.generasjons cefalosporin hvis MIC > 0.06 mg/L

S.pneumoniae:

  • Cefotaksim/ceftriakson eller
    - Forutsatt MIC ≤ 0.06 mg/L; Penicillin G
    - Hvis cefalosporin MIC > 0.5 mg/L; Cefotaksim + vankomycin

H.influenzae:

  • Cefotaksim/ceftriakson, eller vurder:
    - Ampicillin (forutsatt full følsomhet)

L.monocytogenes:

  • Ampicillin (eller penicilllin G?)
How well did you know this?
1
Not at all
2
3
4
5
Perfectly
14
Q

Hvor lenge skal behandlingen av meningitt vare?

A

Behandlingsvarighet:

  • N.meningitidis; (5-)7 dager
  • S.pneumoniae; 12 (14) dager
  • H.influenzae; 7 dager
  • L.monocytogenes; min. 21 dager

Ab. iv. er rutine

Intraventrikulær instillering (inn i hulrom i hjernen):

  • CNS shunt infeksjoner
  • Kan vurderes i meget sjeldne situasjoner
  • OBS! Toksisk

Ikke reduser dosen når pasienten blir bedre!!!

How well did you know this?
1
Not at all
2
3
4
5
Perfectly
15
Q

Hva er viktig med intensiv behandling når det gjelder meningitt?

A

Monitorere og opprettholde vitale funksjoner

Ved hjerneødem:

  • Mekanisk hyperventilering
  • Mannitol iv.
  • Kortikosteroider

Kramper

How well did you know this?
1
Not at all
2
3
4
5
Perfectly
16
Q

Hvilken type adjuvansbehandling er aktuell ved meningitt?

A

Kortikosteroider:

  • Engangsdose? Flere doser?
  • Studier som har vist gunstig effekt ved pnemuokokk-meningitt
  • Bør vurderes ved økt intrakranielt trykk
17
Q

Hvordan er mortaliteten ved bakteriell meningitt?
Hva er vanlige sequeler?

A

S.pneumoniae; > 20%

H.influenzae; 5-10%

N.meningitidis; 1-2%

  • Betraktelig høyere ved samtidig sepsis

Vanlige sequeler:

  • Hørseldefekter

Mindre vanlige:

  • Mindre nevrologiske defekter
18
Q

Hva er øvrige aktuelle smitteverntiltak ved menigokokksykdom?

A

Nominativt meldepliktig sykdom

Vaksinasjon:

  • Meningokokk C konjugatvaksine
  • Meningokokk A+C+W135+Y vaksine
  • To meningokokk B vaksiner (proteinsvaksiner) tilgjengelig

Penicillin gis til nære kontakter

Eridikasjon av meningokokker i nasopharynx er en mulighet

19
Q

Hva er encephalitt?
Hvordan inndeler man denne?

A

Sykdom karakterisert ved endret mental status + ulike kombinasjoner av:

  • Akutt feber
  • Nevrologiske utfallssymptomer
  • Kramper
  • CSF pleocytose
  • Abnormaliteter med endringer ved nevro bildediagnostiske metoder og EEG

Inndelinger etter involverte strukturer:

  • Encephalitt
  • Meningoencephalitt
  • Meningoencephalomyelitt
  • Meningioencephalomyeloradiculitt

Pleocytose; Økt antall celler, spesielt hvite blodceller

20
Q

Hvilke virale årsaker er vanlig ved encephalitt?

A

Herpes simplex virus; 11-22%

Varicella zoster virus; 4-14%

Enterovirus; 1-4%

21
Q

Hvilke symptomer er tegn på akutte encephalitter?

A

Endret bevissthetsnivå:

  • Irritabilitet
  • Likegyldighet/sløvhet
  • Atferdsendring
  • Forvirring
  • Koma

Ofte tegn på meningeal irritasjon

Fokale nevrologiske tegn

Kramper

22
Q

Hvilke diff.diagnoser er aktuelle ved mistanke om encephalitt?

A

Bakterielle infeksjoner:

  • Listeria
  • Borrelia
  • Spirochets
  • Rickettsiae
  • ++

Sopp-infeksjoner:

  • Cryptococcus
  • Histoplasmosis
  • ++

Parasittære infeksjoner

  • Toxoplasmosis
  • Cysticercosis
  • Ecchinococcosis
  • Trypanosomiasis
  • P.falciparum
  • Schistosomiasis
  • Amoeba
  • ++

Vaskulitter

23
Q

Hvordan stiller man encephalitt diagnostisk?

A

CSF:
- Lett pleocytose; primært mononuklære (MN)
- Protein; lett økning
- Normal glukose

Nevrodiagnostiske hjelpemidler:
- EEG
- CT/MR

Mikrobiologi
- Viruspåvisning; PCR, dyrkning av
- CSF, faeces, nasofarynxsekret
- Biopsi?

Serologi:
- Holdepunkter for intrathekal antistoff produksjon?
- Immunoglobuline ratio CSF : Serum
- IgM
- Titerstigning, alt. serokonversjon

24
Q

Hva kjennetegner herpes simplex encephalitt?

A

Sporadiske tilfeller, oftest lokalisert
- HSV1 (») HSV2

Patogenese:
- Reaktivering > primærinfeksjon/viremi

Alvorlig:
- Høy mortalitet hvis ubehandlet

Ca. 10-20% av alle encephalitter

Ca. 10/mill.innb./år.

Kan opptre som diffus encephalitt perinatalt:
- HSV2 eller oftest som meningitt
- Insidens; ca. 2 nyfødte pr. år
- Kan debutere noen uker etter fødsel

25
Hvordan er den symptomgivende klinikken til HS encephalitt?
Debut: - Akutt eller gradvis Kan gi: - Feber - Hodepine - Personlighetsendring Antatomiske predileksjonssteder: - Mediale temporallapp eller orbitofrontallapp; gir inflammasjon/nekroser CSF: - Ofte lett hemorrhagisk - Lett pleocytose Nevrodiagnostiske hjelpemidler: - EEG - CT/MR | Predileksjonssted; "kjærlighet" for å angripe et foretrukket sted
26
Hvordan er hhv. prognosen og behandlingen ved herpes simplex encephalitt?
Alvorlig prognose: - Mortalitet 70% ubehandlet sykdom - 15-20% ved behandlet sykdom - Alvorlig sequele; 15-60% Terapi: - Acyclovir; fordelt på 3 doser i 14-21 dager Nyfødte: - 3 uker iv. ofte etterfulgt av flere mnd. po
27
Hvordan er patogenesen ved hjerneabscess? Hvilken lokalisasjon er vanlige?
Patogenese: - Direkte spredning fra suppurativt fokus; ≤ 50% - Hematogent; ca. 25% - Traume - Kryptogent; 15-20% Lokalisasjon: - Frontal ≈ Temporal > frontotemporal > parietal > cerebellum > occipitalt | Suppurativt; "å gi fra seg puss". Kryptogent; utgangspunkt ukjent
28
Hvilken patologi kjennetegner hjerneabscess, og hvilken etiologi er vanlig?
Patelogi: - Cerebritis m/kapseldannelse Etiologi: - Streptococcus spp; 60-70% - Bacteroides spp., Prevotella spp.; 20-40% - Enterobacteriaceae; 20-30% - S.aureus; 10-15% **Svært ofte polymikrobiell** Meget sjelden forårsaket av: - Sopp - Protozoer - Helminter | Cerebritis; inflammasjon av cerebrum
29
Hvordan er den kliniske manifestasjonen ved hjerneabscess?
Svært variabel 50% feber eller fokale nevrologiske utfall < 50% klassisk triade: - Feber + hodepine + fokale nevrologiske utfall Symptomer på romoppfyllende prosess: - Relativt hyppig
30
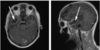
Hvilke diagnostiske metoder benytter man seg av ved hjerneabscess?
Inflammatoriske parametre ofte normal Lumbalpunksjon er *kontraindisert* - CSF endringer er uspesifikke Bildediagnostikk: - MR/CT Må ha nært samarbeid med nevrokirurgi og infeksjonsmedisin: - Kirirgu ofte nødvendig i forløpet; aspirasjon og/eller eksisjon
31
Hvilken type behandling gis ved hjerneabscess?
Dekning for anaerober og aerober: - F.eks. metronidazol + 3.gen.cefalosporin - Langvarig behandling