10 steps of anoxic enchephalopathy
Without energy, neurons leak potassium
and take in calcium.
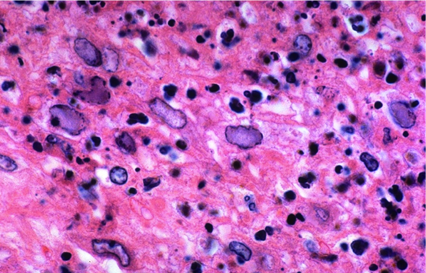
Liquefactive
necrosis with
infiltration by
macrophages
containing
cell debris,
myelin and
a little
hemosiderin.
what is at:
Ridiculously oversimple timetable:
12 hours: red neurons.
24-48 hours: neutrophils.
72 hours-3 weeks: macrophages.
3 weeks-3 months: astrocyte proliferation around empty space,
with their processes forming wall around the hole left behind.
4 hydrocephalus causes in a baby?
Hydrocephalus: Causes:
In a baby
1) intraventricular
matrix hemorrhage
(premature infants)
2) Arnold-Chiari
malformation
3) Dandy-Walker
malformation
4) spina bifida
2 hydrocephalus causes in an older child?
In an older child:
tumor (ependymoma,
medulloblastoma)
2) infection
2 hydrocephalus causes in an adult?
In an adult:
1) subarachnoid
hemorrhage
2) tumor
(astrocytoma,
metastasis)
“bruise, an area of hemorrhage
into soft tissue due to rupture of blood vessels
caused by blunt trauma”
contusion
What is it?

“Herpes encephalitis starts in, and most
severely involves, the inferior and medial
regions of the temporal lobes and the orbital
gyri of the frontal lobes. The infection is
necrotizing and often hemorrhagic in the
most severely affected regions.”
Enlarged cells with
irregularly oval shaped
nuclei containing lilac
colored ground glass
intranuclear inclusions
and marginated native
chromatin, and necrosis
what is described?

Herpes simplex virus encephalitis
what are the 3Ms of Herpes?
Multinucleation, Molded nuclei and Marginated chromatin.
cells in brains only have one nucleus: exception: brain, liver, at times lung
what is upward gaze paresis?
the association?
Upward gaze paresis
associated with
high intracranial pressure
especially due to hydrocephalus
can be the earliest sign
________ gene amplification (not mutation) is a feature of neuroblastoma.
Neuroblastoma is a tumor of neural crest-derived cells that occurs outside
the brain in small children (median age 2 years old).
NMYC gene amplification (not mutation) is a feature of neuroblastoma.
Neuroblastoma is a tumor of neural crest-derived cells that occurs outside
the brain in small children (median age 2 years old).
________ mutation is associated with neurofibromas and germline NF1 mutation
is associated with type 1 neurofibromatosis.
NF1 mutation is associated with neurofibromas and germline NF1 mutation
is associated with type 1 neurofibromatosis.
Germline ________mutations are present in 25% of melanoma-prone kindreds.
Germline CDKN2A mutations are present in 25% of melanoma-prone kindreds.
Tumoral________ deletions or inactivations are seen in up to 70% of
glioblastomas.
Somatically acquired _______ deletions or inactivations are present in
many kinds of cancer.
Acquired _______ deletions or inactivations are present in 75% of
pancreatic carcinomas. If you have only enough spare memory for
one association of messed up CDKN2A, pancreatic carcinoma might
be the best one to remember.
Tumoral CDKN2A deletions or inactivations are seen in up to 70% of
glioblastomas.
Somatically acquired CDKN2A deletions or inactivations are present in
many kinds of cancer.
Acquired CDKN2A deletions or inactivations are present in 75% of
pancreatic carcinomas. If you have only enough spare memory for
one association of messed up CDKN2A, pancreatic carcinoma might
be the best one to remember.
what is the DDX for ring-enhancing lesions?
MAGIC DRL
M: Metastasis
A: Abscess
G: Glioblastoma multiforme
I: Infarct (subacute phase)
C: Contusion
D: Demyelinating disease
R: Radiation necrosis or
Resolving hematoma
L: Lymphoma
“___________ is a medical used word used
to express respiration characterized by
a heavy snoring or gasping sound, i.e.
hoarsely breathing. It occurs in common
with mouth breathing due to chronic
nasal obstruction. The patient is said to
suffer from stertor. __________breathing
will be audible in the epileptic patient
during the post-ictal phase following a
tonic-clonic seizure. It is important to distinguish stertor from stridor.
“Stertorous is a medical used word used
to express respiration characterized by
a heavy snoring or gasping sound, i.e.
hoarsely breathing. It occurs in common
with mouth breathing due to chronic
nasal obstruction. The patient is said to
suffer from stertor. Stertorous breathing
will be audible in the epileptic patient
during the post-ictal phase following a
tonic-clonic seizure. It is important to distinguish stertor from stridor.
what are the 5 most common cancers that metastasize to brain?
where do they usually go?
lung, breast, skin (melanoma), kidney and gastrointestinal tract.
Metastases form sharply demarcated masses,
often at the gray-white junction”
more frequently present are perivascular
pseudorosettes in which tumor cells are arranged
around vessels with an intervening zone
containing thin ependymal processes.”
ependymoma
Sheet of
small
round
blue
cells
GBME
are extremely cellular, with
sheets of anaplastic (“small blue”) cells…
Often, focal neuronal differentiation is seen in
the form of the Homer Wright rosette…primitive
tumor cells surrounding central neuropil”
Gliobastoma multiforme
how would you manage abscess?
Get an
immediate
Gram stain.
Culture this
for aerobes,
anaerobes,
fungi and
mycobacteria;
many brain
abscess are
polymicrobrial
with aerobes
+ anaerobes