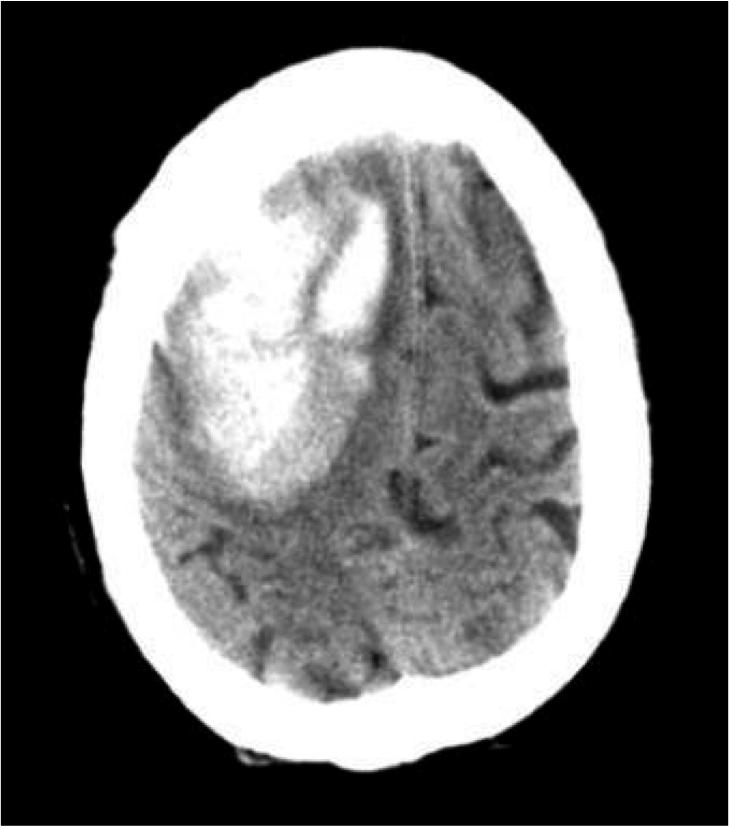
What is shown?

Subdural hematoma
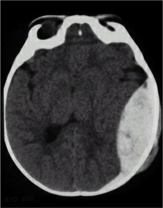
What is shown?

Epidural hematoma
What is shown?

Subarachnoid hemorrhage
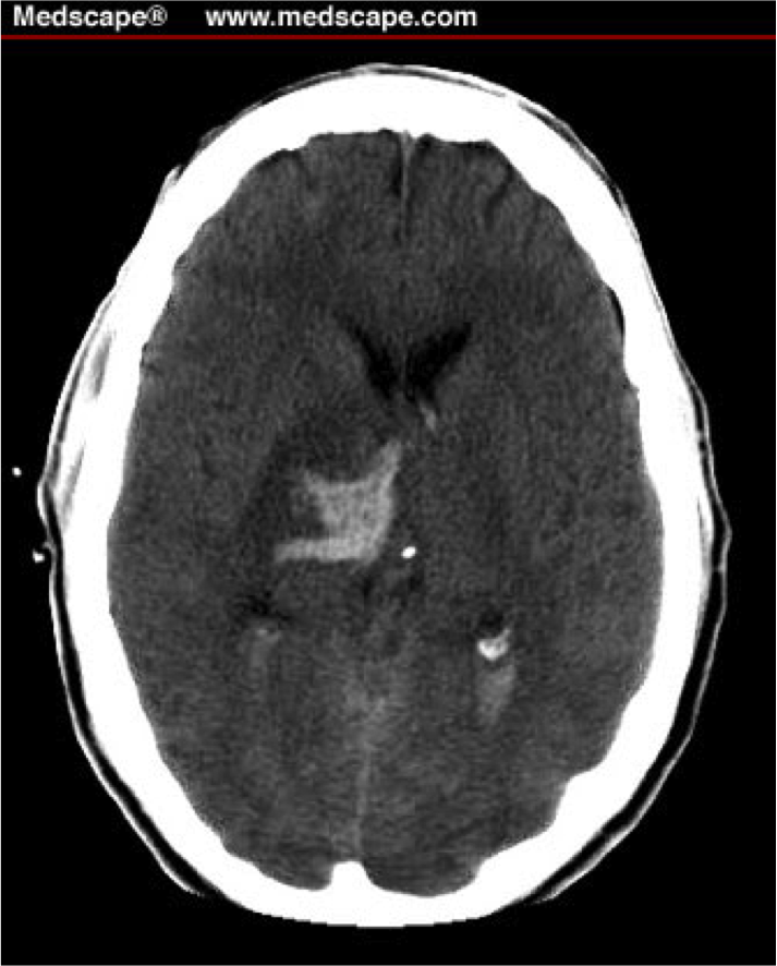
what is shown

Intraparenchymal hemorrhage
What is shown?

Bleed in ventricular system
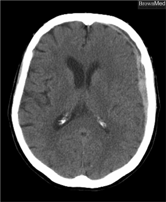
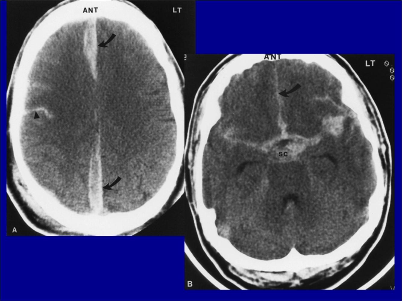
What is shown?

Subdural hematoma
WHat is shown?

subarachnoidhemorrhage.
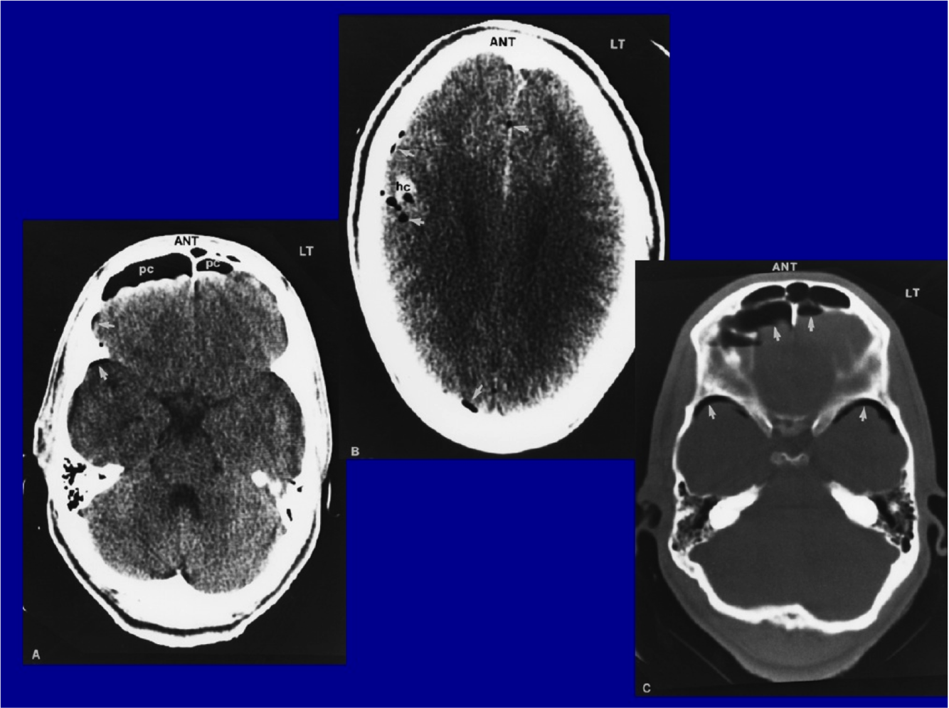
What is shown

pneumocephalus (probably fracture in sinuses or mastoid where there is air)
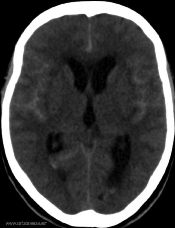
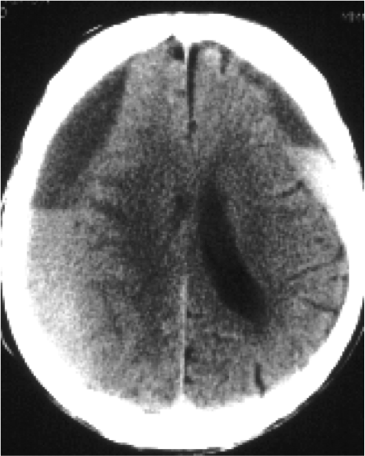
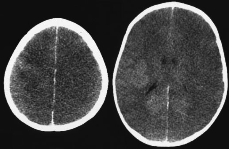
WHat do you see?

Diffuse cerebral edema