colegenososes Flashcards

(75 cards)

1
Q

Quais as patologias que podem cursas com Hipertensão pulmonar?

A
  • Artrite reumatóide
  • Esclerodermia
  • Lupus eritematoso sistêmico
  • Dermatomiosite/polimiosite
  • Doença mista do tecido conjuntivo
  • Síndrome de Sjogren - raramente
How well did you know this?
1
Not at all
2
3
4
5
Perfectly
2
Q

Achados no exame físico para hipertensao pulmonar:

A

Sinais de sobrecarga de cavidades direitas: estase jugular, visceromegalias, ascite, edema

How well did you know this?
1
Not at all
2
3
4
5
Perfectly
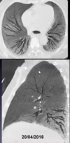
3
Q

Preservação subpleural + dilatação esofágica

A

PINE + esclerodermia

How well did you know this?
1
Not at all
2
3
4
5
Perfectly
4
Q
A

Faveolamento secundario a PINE

How well did you know this?
1
Not at all
2
3
4
5
Perfectly
5
Q

Fibrose com reticulado e preservação subpleural

A

Esclerodermia
PINE fibrótica

How well did you know this?
1
Not at all
2
3
4
5
Perfectly
6
Q

Reticulacao + bronquio dilatado

A

PINE

How well did you know this?
1
Not at all
2
3
4
5
Perfectly
7
Q

Cite as causas de hipertensão arterial pulmonar

A
  • Idiopática
  • Tromboembolismo
  • Embolismo por outras causas (tumoral, corpo estranho, etc.)
  • Esquistossomose
  • Doença parenquimatosa
  • DPOC
  • Doença intersticial crônica
  • SIDA
  • Doença hepática
  • Vasculites
  • Colagenoses
  • Shunt E-D
How well did you know this?
1
Not at all
2
3
4
5
Perfectly
8
Q
A

Hipertensão arterial pulmonar

How well did you know this?
1
Not at all
2
3
4
5
Perfectly
9
Q

Sinais radiológicos da HAP

A
  • Dilatação de artéria pulmonar central
  • Estreitamento abrupto ou afilamento de vasos pulmonares
  • Aumento de VD e AD
  • Dilatação de artérias brônquicas
  • Atenuação em mosaico (perfusão pulmonar)
How well did you know this?
1
Not at all
2
3
4
5
Perfectly
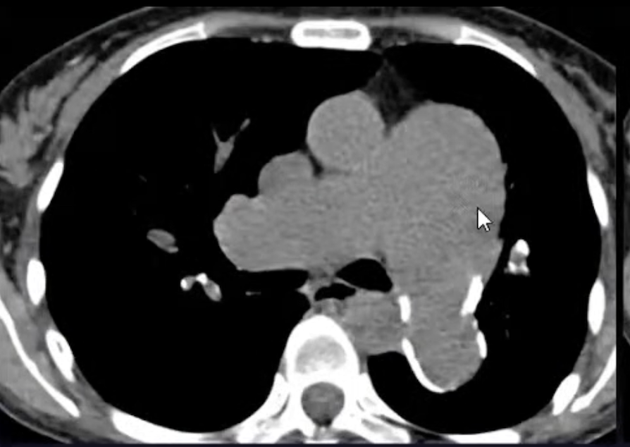
10
Q
A

Hipertensão arterial pulmonar
- esquistossomose

How well did you know this?
1
Not at all
2
3
4
5
Perfectly
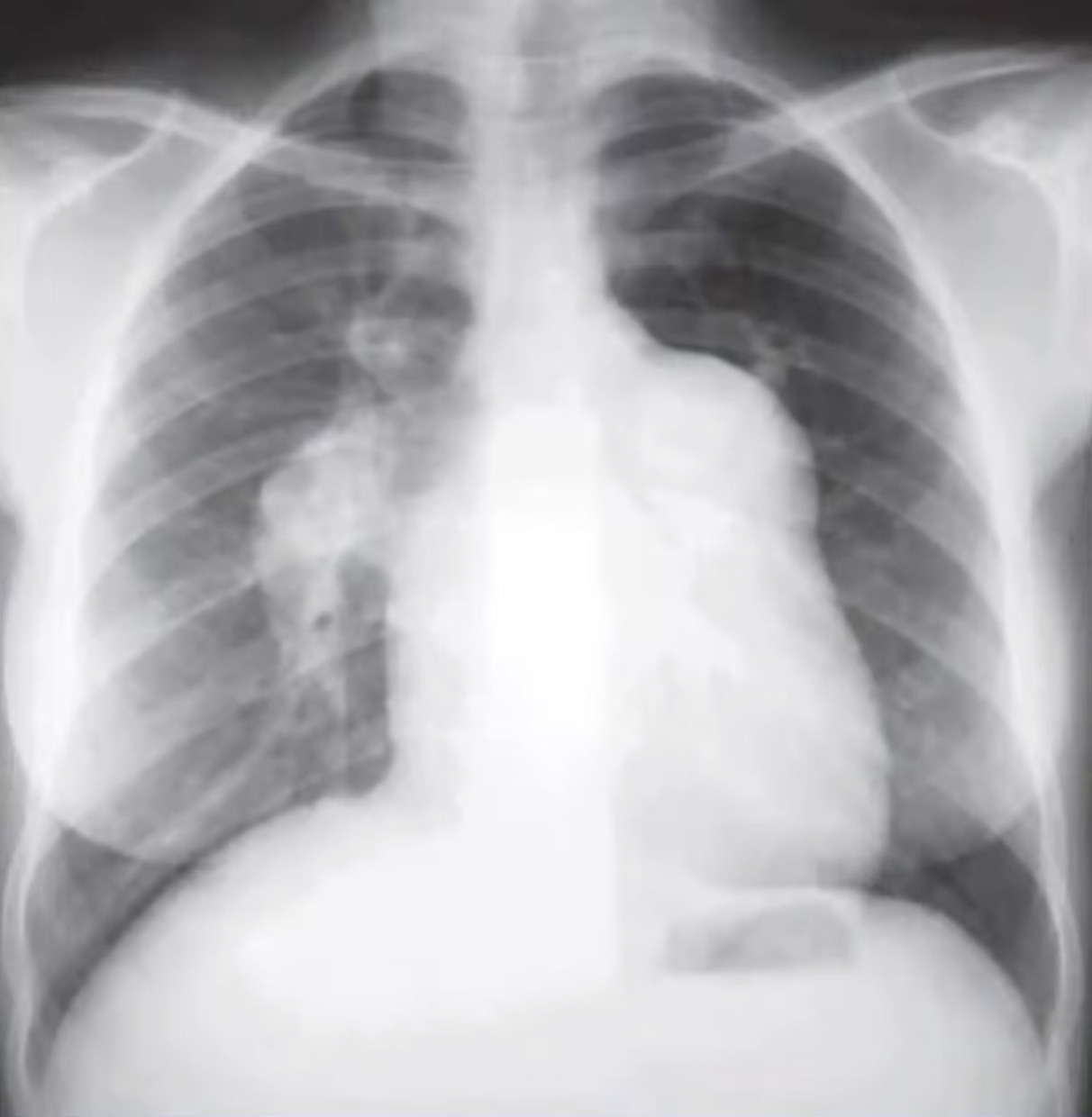
11
Q
A

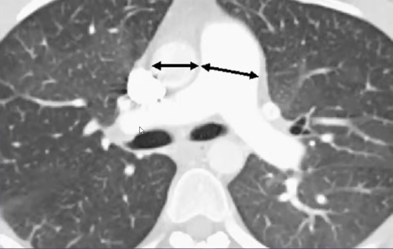
Hipertensão pulmonar
Relação artéria-brônquio

How well did you know this?
1
Not at all
2
3
4
5
Perfectly
12
Q
A

Hipertensão arterial pulmonar
- esquistossomose

How well did you know this?
1
Not at all
2
3
4
5
Perfectly
13
Q
A

Sinais de hipertensão arterial pulmonar

How well did you know this?
1
Not at all
2
3
4
5
Perfectly
14
Q
A

Hipertensão arterial pulmonar em esclerodermia

How well did you know this?
1
Not at all
2
3
4
5
Perfectly
15
Q
A

Hipertensão arterial pulmonar em esclerodermia

How well did you know this?
1
Not at all
2
3
4
5
Perfectly
16
Q
A
How well did you know this?
1
Not at all
2
3
4
5
Perfectly
17
Q

O que é PINE (sigla)?

A

Pneumonia intersticial não específica

How well did you know this?
1
Not at all
2
3
4
5
Perfectly
18
Q

O que é PINE?

A

Doença intersticial crônica, caracterizada por infiltração dos septos alveolares por inflamação, fibrose, ou ambos

How well did you know this?
1
Not at all
2
3
4
5
Perfectly
19
Q

Quais sao as formas de apresentação de PINE? Qual tem melhor prognóstico?

A

Formas inflamatória (celular) e fibrótica (acúmulo de colágeno)

How well did you know this?
1
Not at all
2
3
4
5
Perfectly
20
Q

A PINE pode ser secundária a … ?

A
  • Reação a drogas
  • Colagenoses
  • Pneumonite por hipersensibilidade
  • Outras
How well did you know this?
1
Not at all
2
3
4
5
Perfectly
21
Q

Quais sao as doencas secundárias a PINE?

A
  • Artrite reumatóide
  • Esclerodermia
  • Lupus eritematoso sistêmico
  • Dermatomiosite/polimiosite
  • Doença mista do tecido conjuntivo
  • Síndrome de Sjogren
How well did you know this?
1
Not at all
2
3
4
5
Perfectly
22
Q

Como se caracteriza a patologia da PINE?

A

Infiltração homogênea dos septos alveolares por inflamação, fibrose, ou ambos

How well did you know this?
1
Not at all
2
3
4
5
Perfectly
23
Q

A homogeneidade (sugere que as lesões estão no mesmo estágio de evolução) está mais presente na PIU ou PINE?

A

PINE

How well did you know this?
1
Not at all
2
3
4
5
Perfectly
24
Q

A fibrose pode envolver quais estruturas na PINE?

A

A fibrose pode envolver septos alveolares, interstício PBV, septos interlobulares e pleura visceral

How well did you know this?
1
Not at all
2
3
4
5
Perfectly
25
Quais sao os DD da PINE?
Principalmente com PH e FPI
26
Quais sao os sintomas da PINE?
* Dispnéia progressiva e tosse seca, de evolução crônica * Pode ter exacerbação aguda
27
A superposição de reticulação e bronquiectasias de tração (fibrótica) está mais relacionada a PIU ou PINE?
28
Na PINE o vidro fosco é simétrico ou assimétrico?
Simétrico
29
Qual o grau do faveolamento na PINE ?
Discreto
30
Na PINE o predomínio é periférico ou central? Mais superior ou inferior?
Periférico e inferior
31
A preservação da região subpleural está mais presente na PIU ou PINE?
PINE
32
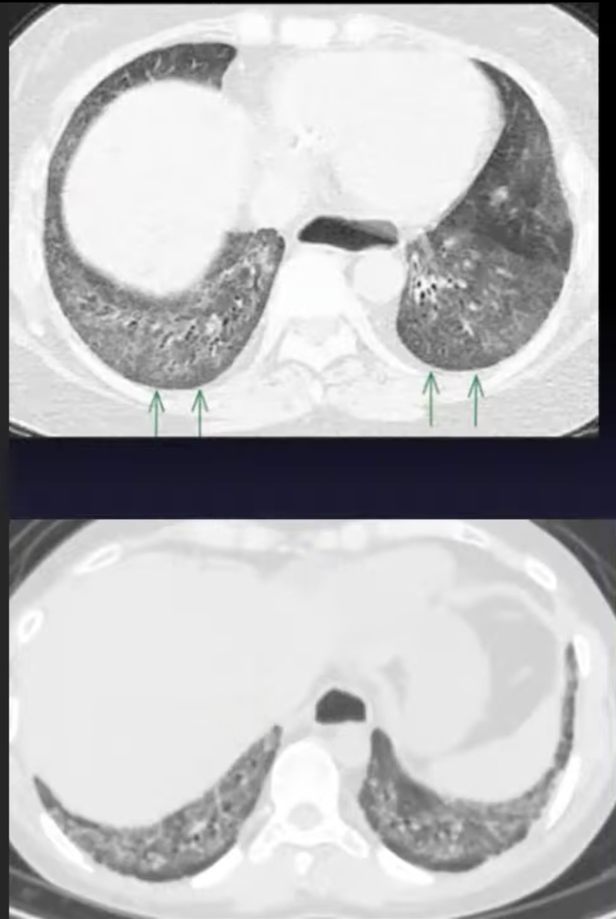
Opacidades em vidro fosco envolvendo regiões postero-inferiores dos pulmões Discreta dilatação do esôfago
Eclerodermia e PINE
33
PINE
34
PINE celular
35
PINE celular
36
Preservação da região subpleural
PINE
37
Fibrose pulmonar + LUPUS
38
S. Sjogren
39
Faveolamento em PINE Em geral mais discreto e menos simétrico que na PIU PINE fibrótica com faveolamento (padrão PIU) - mesmo prognóstico de PIU
40
Esclerodermia, Lupus e PINE
41
Síndrome de superposição (LES + esclerodermia),
42
O que é PIU?
Pneumonia intersticial usual
43
Características radiológicas da artrite reumatóide
* Opacidades em vidro fosco (PINE) * Evidências de fibrose: reticulação, faveolamento (PINE - PIU) * Doença de vias aéreas - Atenuação em mosaico; bronquiectasias, bronquiolite obliterativa * Vasculopatia pulmonar - hipertensão pulmonar * Derrame pleural * Nódulos necrobióticos
44
PINE celular
45
Artite reumatóide e PIU. Reticulação subpleural e discreto faveolamento
46
Artrite reumatóide
47
Artrite reumatóide
48
Artrite reumatóide e síndrome de Sjogren,
49
PINE
50
PINE
51
PINE
52
Atenuação em mosaico
53
PINE
54
Nódulo necrobiótico com hemorragia
55
Nódulos reumatóides (nódulos necrobióticos) Únicos ou múltiplos, bem definidos, com preferência por regiões subpleurais
56
Embolia séptica x nódulos necrobióticos
57
Nódulo necrobiótico? Carcinoma broncogênico?
58
Síndrome de Caplan
59
Síndrome de Caplan
60
Reabsorção da extremidade distal das clavículas - Síndrome de Caplan
61
Reabsorção das clavículas distais e cabeças dos úmeros
62
Doença mista do tecido conjuntivo
A doença mista do tecido conjuntivo é uma doença rara que combina características do lúpus eritematoso sistêmico, esclerose sistêmica, polimiosite e/ou artrite reumatóide
63
Qual doença está associadas as características abaixo?
* Em geral inicia com artrite, dores nas mãos, fenômeno de Raynauld, miosite e esclerodactilia * Comprometimento maior de esôfago, coração e pulmões * Pulmões: especialmente hipertensão pulmonar e doença intersticial
64
Citar as características radiográficas da doença mista do tecido conjuntivo ?
* Opacidades em vidro fosco (PINE) - fibrose ou doença reversível * Evidências de fibrose - reticulação, opacidades lineares, etc. Faveolamento é incomum * Bronquiectasias e/ou bronquiolectasias de tração * Hipertensão pulmonar * Consolidações - PO ou infecção * Derrame pleural
65
Qual doença está associadas as características abaixo? * Inflamação muscular e dano vascular são as alterações básicas * Consideradas parte de um mesmo espectro de doença * Vários padrões histológicos - PIU, PINE, DAD, PO, hemorragia * Manifestações pulmonares podem preceder à miopatia inflamatória * Fenômeno de Raynald
Polimiosite/Dermatomiosite
66
Dermatomiosite
67
Dermatomiosite
68
Cites as características topográficas da Polimiosite/Dermatomiosite
* Vidro fosco difuso - DAD ou PINE (eventualmente hemorragia) * Fibrose pulmonar (padrão PINE) * Consolidações - PO ou infecção * Opacidades lineares (atelectasias ou PO) * Hipertensão pulmonar
69
* Alteração autoimune na qual ocorre destruição de glândulas exócrinas (lacrimais, salivares) * Mais comum em mulheres (9:1) * Os sintomas principais são a boca seca (xerostomia), olhos secos (ceratoconjuntivite seca), artrite e aumento de volume das parótidas. Secura vaginal, Fenômeno de Raynald * A síndrome pode se associar com outras doenças auto-imunes (AR, ESP) e é positiva para fator reumatóide em 90% dos casos * Cistos pulmonares (pneumonia intersticial linfocítica)
Qual doença associada a Síndrome de Sjögren?
70
Pneumonia Intersticial Linfocítica
71
Síndrome de Sjögren
72
Associação de nódulos (calcificados ou não) com cistos Amiloidose associada a PIL
73
síndrome de Sjögren (DD com linfangioliomiomatose)
74
síndrome de Sjögren
75