colon Flashcards

(58 cards)

1
Q

medidas del apendice

A

6-9 cm de longitud
3-6 mm de diametro

How well did you know this?
1
Not at all
2
3
4
5
Perfectly
2
Q

donde se puede encontrar el punto de mcburney en embarazadas?

A

en la fosa izq por el desplazamiento del utero

How well did you know this?
1
Not at all
2
3
4
5
Perfectly
3
Q

localizacion mas frecuente del apendice

A
  1. retrocecal
  2. pelvico
  3. subcecal
How well did you know this?
1
Not at all
2
3
4
5
Perfectly
4
Q

la apendicitis es mas comun en :

A

mujeres

How well did you know this?
1
Not at all
2
3
4
5
Perfectly
5
Q

etiologias de apendicitis

A

-fecalito
-hiperplasia linfoide
-semillas
-tumores
-parasitos como E. vermicularis

How well did you know this?
1
Not at all
2
3
4
5
Perfectly
6
Q

fisiopatologia de apendicitis

A

se comprimen la arteria y la vena apendicular que causa isquemia y evoluciona a gangrena

How well did you know this?
1
Not at all
2
3
4
5
Perfectly
7
Q

bichos que causan apendicitis

A

-e coli
-b fragilis
-klebsiella
-fusobacterium
-s anginosus
-enterococos

How well did you know this?
1
Not at all
2
3
4
5
Perfectly
8
Q

la apendicitis es considerada una herida _

A

contaminada

How well did you know this?
1
Not at all
2
3
4
5
Perfectly
9
Q

clinica de apendicitis

A

-dolor periumbilical que migra a FID a las 6-8 hrs
-anorexia
-nausea y vomito
-obstipacion previo al dolor abdominal
-signos como mcburney, rosving, dunphy, psoas, obturador
-leucocitosis con neutrofilia

How well did you know this?
1
Not at all
2
3
4
5
Perfectly
10
Q

que vemos en un USG en apendicitis?

A

-liquido libre en la cavidad
-signo de Diana

How well did you know this?
1
Not at all
2
3
4
5
Perfectly
11
Q

en que px se pide USG para apendicitis?

A

en embarazadas y niño que no se puedan radiar

How well did you know this?
1
Not at all
2
3
4
5
Perfectly
12
Q

escala de alvarado para apendicitis

A
How well did you know this?
1
Not at all
2
3
4
5
Perfectly
13
Q

escala AIRS para apendicitis

A
How well did you know this?
1
Not at all
2
3
4
5
Perfectly
14
Q

algoritmo para dx de apendicitis

A
How well did you know this?
1
Not at all
2
3
4
5
Perfectly
15
Q

dx diferencial de apenditicis

A

-adenitis mesenterica
-EPI
-embarazo ectopico
-ruptura folicular
-torsion ovarica
-gastroenteritis
-Meckel

How well did you know this?
1
Not at all
2
3
4
5
Perfectly
16
Q

tratamiento de apendicitis

A

-qx
-analgesia: ketorolaco
-antibioticos: ceftriaxona con metronidazol o clindamicina

How well did you know this?
1
Not at all
2
3
4
5
Perfectly
17
Q

torsion de un asa de intestino sobre su eje mesenterico

A

volvulo

How well did you know this?
1
Not at all
2
3
4
5
Perfectly
18
Q

donde se pueden presentar los volvulos?

A

-sigmoides*
-ciego*
-transverso
-flexura esplenica

How well did you know this?
1
Not at all
2
3
4
5
Perfectly
19
Q

fisiopatologia de los volvulos

A

-constipacion
-dietas bajas en fibra

How well did you know this?
1
Not at all
2
3
4
5
Perfectly
20
Q

clinica de volvulos

A

-dolor abdominal que se intensifica
-constipacion
-obstipacion
-distension
-nauseas
-vomito

How well did you know this?
1
Not at all
2
3
4
5
Perfectly
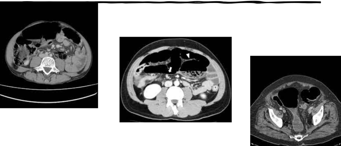
21
Q

signo de rx de volvulo

A

signo de grano de cafe

How well did you know this?
1
Not at all
2
3
4
5
Perfectly
22
Q

para que se pide una TAC en volvulos?

A

para ver si hay isquemia o perforacion

How well did you know this?
1
Not at all
2
3
4
5
Perfectly
23
Q

que signo se ve en una tac cuando hay torsion del mesenterio en un volvulo?

A

signo del remolino

How well did you know this?
1
Not at all
2
3
4
5
Perfectly
24
Q

tratamiento de volvulos

A

-descompresion por sonda rectal en 70-90% de los casos
-qx: destorsion, si es electiva, destorsion + pexia o colectomia + anastomosis, si es de urgencia, procedimiento Hartmann

25
indicaciones qx de volvulos
-reduccion no exitosa -datos de SIRS o sepsis -cx electiva posterior a reduccion
26
datos de isquemia intestinal
-taquicardia -hipotension -peritonitis
27
la trombosis mesenterica puede ser:
-arterio-oclusiva -no oclusiva -trombosis venosa
28
factores de riesgo para trombosis mesenterica
-sx antifosfolipidos -fibrilacion auricular -IAM reciente -enfermedad valvular -cateterizacion reciente -enf autoinmunes que propicien estados procoagulantes
29
circulacion del colon
30
clincia de trombosis mesenterica
-dolor desproporcionado a la EF -nauseas -vomito -diarrea sanguinolienta transitoria -exploracion abdominal inicial sin relevancia
31
que observamos en imagen en una trombosis mesenterica?
-signo de huella digital -pneumatosis intestinal -calcificaciones en aorta
32
gold standard para trombosis mesenterica
laparotomia exploratoria
33
tratamiento para trombosis mesenterica
-reanimacion hidrica -AB de amplio espectro -monitorear SV -reseccion del segmento afectado + estoma
34
los diverticulos son protrusiones de _ a traves de _
mucosa y submucosa a traves de la muscular
35
en la enf diverticular hay una presion intraluminal de _
90 mmHg
36
factores de riesgo para enf diverticular
-inmunnocomprometidis -AINEs -opioides -fumar -alcoholismo -dieta baja en fibra
37
fisiopatologia de enf diverticular
-ley LaPlace -falta de relajacion de sigmoides -trastornos en actividad colinergica -aumento de la presion intraluminal
38
clinica de diverticulitis
-dolor en flanco y fosa iliaca izq -fiebre -leucocitosis -taquicardia -hipotension
39
clasificacion para diverticulitis
40
gold standard para dx de diverticulosis
colonoscopia
41
complicaciones de diverticulitis
-absceso -perforacion -fistula (colovesical + comun) -oclusion
42
tratamiento para enf diverticular
-AB -analgesia -ayuno -qx
43
indicaciones para cirugia en enf diverticular
-a partir del segundo episodio -episodio complicado -sepsis -datos de abdomen agudo
44
procedimiento electivo para enf diverticular
reseccion + anastamosis
45
procedimiento de urgencia para enf diverticular
Hartmann
46
predictores de complicaciones en enf diverticular
-edad avanzada -comorbilidades -obesidad -sepsis -obstipacion intestinal -uso de esteroides
47
segunda causa de muerte seguida de cancer de pulmon
cancer de colon
48
factores de riesgo para cancer de colon
-alimentacion de origen animal -deficiencia de folato (mutacion Kras)
49
los polipos se dividen en:
-neoplasicos -no neoplasicos
50
cuales son los polipos neoplasicos?
adenomatosos
51
cuales son los polipos no neoplasicos?
-hiperplasico -inflamatorio -hamartoma
52
cuales son los tipos de polipos adenomatosos?
-tubular -velloso -tubulovelloso
53
de los polipos adenomatosos, cual es el que se considera una lesion precancerigena?
tubulovelloso
54
cuadro clinico de cancer de colon
-cambios deposicionales -dolor intermitente y persistente -sangrado
55
dx diferenciales de cancer de colon
-SII -obstruccion intestinal -enf diverticular -EII
56
gold standard para cancer de colon
colonoscopia
57
signo de rx para cancer de colon
manzana mordida
58
estirpe histologica de cancer de colon mas comun
adenocarcinoma