Coluna Flashcards

(57 cards)

1
Q

tumores raquimedulares

Maior causa dos tumores intramedulares
Extramedulares
Extradurais

Quais sao mais comuns?

A

Intradural e Intramedular: Astrocitoma / Ependimoma

Extramedular: Schwannomas/ MEningieoma e Neurofibromas

Extradural: Metástases / Tumores primários da coluna / Lipoma / Linfoma

Extradural > Extramedular > Intramedular

How well did you know this?
1
Not at all
2
3
4
5
Perfectly
2
Q

Schwannoma Raquiano

Maioria está intra ou extradural?

Qual síndrome está associada

A

80% intradural
20% Intra e Extradural

Associado a NF tipo II

Neurofibroma é tipo I

Geralmente ele se insinua no forame de conjugação.

How well did you know this?
1
Not at all
2
3
4
5
Perfectly
3
Q

Os Schwannomas são mais comuns em qual segmento da coluna?

Quais as características da imagem?

A

Cervical > Lombar (Diferente dos meningeomas)

Iso em T1, Hiper no T2, realce de gadolínio em 100%

Imagem em halter (porque passa pelo forame de conjugação, e o dilata)

How well did you know this?
1
Not at all
2
3
4
5
Perfectly
4
Q

Meningioma raquiano

É o mais frequente?
onde se originam?
Sexo?
Idade?
Fator de risco?
Maioria é qual grau da OMS?

A

Segundo mais frequente

normalmente mais torácica
Pode ter calcificação

São mais anteriores e se originam no ligamento denteado,

Após a quarta década de vida

Sexo feminino

Radiação ionizante

Maioria é grau I

How well did you know this?
1
Not at all
2
3
4
5
Perfectly
5
Q

Meningioma raquiano

É o mais frequente?
onde se originam?
Sexo?
Idade?
Fator de risco?
Maioria é qual grau da OMS?

Qual achado é tipico, apesar de infrequente?

A

Segundo mais frequente

normalmente mais torácica
Pode ter calcificação

São mais anteriores e se originam no ligamento denteado,

Após a quarta década de vida

Sexo feminino

Radiação ionizante

Maioria é grau I

DOR NOTURNA É TÍPICA

How well did you know this?
1
Not at all
2
3
4
5
Perfectly
6
Q

Quais são os principais tipos histológicos dos tumores raquianos INTRAMEDULARES

A

Gliomas (80%) -
1- Ependimoma
2- Astrocitoma (pilocitico e difuso de baixo grau)
3- Ganglioglioma (Raro)

Hemangioblastoma (10%)
metástases
Linfomas

How well did you know this?
1
Not at all
2
3
4
5
Perfectly
7
Q

Ependimoma intramedular

Quando ocorre (idade)?
Associado a qual síndrome?
Quais os locais de predileção?

A

é o tumor intramedular mais comum, até 60% dos casos

3 e 4 décadas de vida

Neurofibromatose tipo II

50% dos casos está na coluna, sendo cervical e cauda equina as regiões mais comuns

How well did you know this?
1
Not at all
2
3
4
5
Perfectly
8
Q

Ependimoma Medular

Características de imagem

Central ou LAteral?
Simétrico ou assimétrico
Impregnação de contraste?
É comum seringomielia?
É comum haver calcificação?

A

Centromedular
Simétrico
Impregnação heterogênea
Seringomielia (65% dos casos)
Pode haver calcificação

Pode ser circunscrito ou infiltrativo

How well did you know this?
1
Not at all
2
3
4
5
Perfectly
9
Q

Ependimoma Medular

comportamento biológico

Qual tipo celular é mais comum?
Qual está mais associado ao filum terminalis

A

Maioria é benigna

Tipo mais comum é o celular (OMS grau II)

Filum terminalis = Mixopapilar (OMS grau I)

Pior prognóstico: Anaplásico grau III

How well did you know this?
1
Not at all
2
3
4
5
Perfectly
10
Q

Quais características únicas do ependimoma no fillum terminalis

A

é Mixopapilar (grau I)

Pode estar associado a hemorragia em todo SNC

RT está indicada na ressecção incompleta

20 anos de sobrevida

How well did you know this?
1
Not at all
2
3
4
5
Perfectly
11
Q

Astrocitoma do canal raquiano

É o mais comum?
Mais em crianças ou adultos?
qual região acomete mais?
Associado a qual sindrome?

Qual diferença mais comum da imagem em comparação ao ependimoma?

A

segundo mais comum

Crianças (90%)

Região cervical

Neurofibromatose tipo I

Imagem: Mais excêntrico e costuma não captar contraste, diferente do ependimoma que capta de maneira muito homogenea

How well did you know this?
1
Not at all
2
3
4
5
Perfectly
12
Q

Qual metástase mais comum para o canal raquiano?

A

pulmão

É pessimo prognóstico.

How well did you know this?
1
Not at all
2
3
4
5
Perfectly
13
Q

Fluxograma diagnóstico baseado em imagem para tumores raquimedulares

A
How well did you know this?
1
Not at all
2
3
4
5
Perfectly
14
Q

Nos tumores raquimedulares, as metástases devem ser tratadas? E os linfomas?

A

Metastase só se for descompressão porque o prognóstico é muito ruim

Linfoma não opera

How well did you know this?
1
Not at all
2
3
4
5
Perfectly
15
Q

Eletroneuromiografia intraoperatória para tumores medulares

O que sugerem as espiculas?
O que sugerem os surtos?

A

Espicular são ondas Bi ou Trifásicas < 2000 uV, surgem e desaparecem abruptamente e podem existir já antes da cirurgia.

Por si só nao representam fator prognóstico desfavorável.

Somente um alarme. Cuidado na manipulação.

Surtos são espiculas superpostas. Podem chegar a 5000uV. Também só requer cuidado.

How well did you know this?
1
Not at all
2
3
4
5
Perfectly
16
Q

Eletroneuromiografia intraoperatória para tumores medulares

O que sugerem aos TREMs?

A

Periodo sustentado de atividades ENMg

Trens de onda A, B, C

Tipo A é muito perigoso. Parar.

How well did you know this?
1
Not at all
2
3
4
5
Perfectly
17
Q

Qual o valor de referëncia para se considerar uma estenose do canal cervical ?

A

Normal > 13 mm
Estenose - 10 - 13 mm
Estenose crítica < 10mm

How well did you know this?
1
Not at all
2
3
4
5
Perfectly
18
Q

O que é índice de Torg-Pavlov da coluna cervical?

A

É uma medida para avaliar estenose congênita da coluna cervical

Divide o diametro do canal pelo diametro anteroposterior do corpo vertebral

Se for < 0.8 é estenose
Se for < 0.7 risco de mielopatia

Ele dá o diagnóstico de mielopatia congênita

How well did you know this?
1
Not at all
2
3
4
5
Perfectly
19
Q

Por quais motivos a espondilopatia cervical é um diagnóstico que necessita de clínica?

A

Espondilose = Desgaste, caracterizado por diminuição da altura, osteofitose, degeneração e artrose facetária

Mielopatia = Doença que acomete a medula, precisa ser clínica com liberação piramidal, alteração esfincteriana…

Após 60 anos quase 90% dos pacientes terão imagem de espondilose, então é necessário que o paciente tenha clínica ou seja muito alto risco para ser operado.

How well did you know this?
1
Not at all
2
3
4
5
Perfectly
20
Q

Como é dada a classificação da severidade para mielopatia cervical?

Qual importancia para indicação do tratamento cirúrgico?

A

Através do JOA Score

< 7 grave
8-12 moderada
13-16 leve

Toda mielopatia moderada ou grave precisa de tratamento cirúrgico. A Leve vai depender.

How well did you know this?
1
Not at all
2
3
4
5
Perfectly
21
Q

Mielopatia Cervical

História natural da doença

  • % retornam ao estado inicial?
  • % piora episódica
  • % piora progressiva
  • 5% piora rápida

Qual chance de um paciente sintomático piorar?

Qual chance de um paciente assintomático desenvolver sintomas?

A

Uma boa parte dos pacientes é assintomático, mesmo com compressão. Entretanto, uma vez que teve sintomas….

nenhum paciente volta ao normal
75% piora episodica
20% progressão lenta
5% piora rápida

sintomático:
20-60% vai deteriorar em 3-6 anos

Assintomático
8% desenvolve mielopatia em 1 ano
23% em 4 anos

How well did you know this?
1
Not at all
2
3
4
5
Perfectly
22
Q

Mielopatia Cervical

Quais pacientes assintomáticos possuem maior risco de desenvolver mielopatia?

A

Achados clínicos

Achados clínicos: Radiculopatia e alteração da marcha

Alterações da eletroneuromiografia

Alteração da RM
Diametro do canal (< 70mm2)
Diametro AP / LateroLateral < 0,4 (menor ou igual)
Hipersinal em T2 nao apresenta sinal com prognóstico

How well did you know this?
1
Not at all
2
3
4
5
Perfectly
23
Q

Paciente com alteração de sinal medular no T2 assintomatico foi encaminhado para consulta com urgência na neurocirurgia querendo saber se vai ter de operar

A

Alteração isolada, assintomatica, de sinal da medula no T2 não apresenta correlação com prognóstico.

24
Q

Mielopatia Cervical

Tratamento

Quando operar?

Quais pacientes não são bons candidatos a cirurgia para descompressão medular?

A

Operar

Pacientes com JOA < ou igual a 12 pontos (moderado a grave)
Que tenham sintomas
Ou que sejam leves (13 pontos ou mais) mas que tenham alto risco.
Pacientes mesmo leves com < 60 anos e tenham estenose congenita do canal

Não são bons candidatos
Mielopatia leve (13 pontos ou mais) > 60 anos

25
Mielopatia Cervical Existe diferença no resultado da via anterior e posterior para descompressão medular?
Não. Ambos podem ser utilizados. O que existem são peculiaridades que devem ser consideradas em cada caso.
26
Mielopatia Cervical Quais os pacientes parecem se beneficiar com a cirurgia pela via posterior?:
Aqueles que possuem doença mais difusa, em especial naqueles pacientes com estenose congênita do canal Paciente com mais de 3 níveis de compressão a via posterior parece ser mais interessante Contra-indicação: Cifose fixa
27
Mielopatia Cervical O que é o diamante de Benzel? Como é desenhado Quais são as classificações Muda o tratamento cirúrgico?
É uma forma de avaliar o balanço sagital da coluna cervical e avaliar graus de cifose da coluna cervical 1- Traça uma linha entre um ponto situado no aspecto dorso caudal de C2 e dorso caudal de C7 2- afere-se o ponto médio desta linha e a partir deste ponto são traçados mais dois outros pontos, 2mm anterior e outro posterior. 3- Unir os pontos. Avaliar o tipo de Coluna A - O Diamante fica atras dos corpos vertebrais e indica uma coluna lortdotica normal. Essa pode se beneficiar de uma abertura posterior. B - A linha dos corpos vertebrais ultrapassa a parte anterior do diamante diamante, mas nao a linha média. É uma coluna retificada. Pode se beneficiar de uma abertura anterior ou posterior. C- A linha posterior dos corpos vertebrais ultrapassa a linha média do diamante. É uma coluna cifótica. Não adianta abrir posterior, porque a coluna seguirá empurrada para trás.
28
Mielopatia Cervical Quantos níveis deve-se fazer pelo menos na laminectomia?
Pelo menos de C3 a C6. Menos que isso é insuficiente.
29
Disco Vertebral Qual sua função? Qual sua constitução?
40% constitui de núcleo pulposo Nucleo - Fibras colágenas mergulhadas em matriz de proteoglicanos hidratada (remenescentes da notocorda). Colageno tipo II Anel fibroso: 12 camadas concentricas de tecido fibrocartilaginoso de colágeno tipo I
30
Quais fatores contribuem pra degeneração discal?
Obesidade, Tabagismo, Gestação, movimentos fisicos repetitivos, postura inadequada. Exercícios físicos em geral aumentam a nutrição do disco. (O disco é avascular, ele recebe nutrientes por difusão, entao a movimentação melhora isso)
31
Quais são as fases de degeneração do disco vertebral?
Fase 1 - Mais hérnias Fase 2 - Mais listeses Fase 3 - Estenose de canal lombar. A reestabilização da coluna se dá as custas de estenose.
32
A ressonância magnética com alterações de disco vertebral lombar é comum mesmo em pacientes assintomáticos?
SIM! Tem que ter correlação
33
Qual impacto da lombalgia na população
Principal causa de incapacidade em pacientes com < 50 anos Segunda maior queixa de atendimento em PS 85% não terao diagnóstico específico / 2% serão hérnia
34
Por qual motivo as hérnias de disco são mais laterais que centrais?
O ligamento longitudinal posterior é mais aderido e espesso (forte) na linha média e mais frágil nas laterais, por isso é mais comum que elas sejam centrolaterais. É uma doença de pacientes mais jovens (30 a 50 anos) porque o disco do paciente idoso é mais fibrótico.
35
A hérnia de um segmento, geralmente atinge qual raiz?
A hérnia de um segmento geralmente acomete e raiz que está descendo, não a raiz que sai naquele forame, exceto naquelas muito laterais Geralmente uma hérnia L4/L5 vai acometer a raiz de L5 (que vai descer) não a de L4 que sai naquele segmento. Logo, as hérnias posterolaterais comprimem a raiz que está passando (A de baixo) As hérnias na emergência do forame, mais laterais, podem pegar as hérnias daquele segmento 90% das hérnias são em L4/L5 ou L5/S1
36
Qual o tratamento conservador para hérnia de disco? É efetivo?
O tratamento é efetivo em 90% dos casos 3 meses: Fisioterapia com correção postural e escalada medicamentosa
37
Quais são as indicações precisas de tratamento cirúrgico para hérnia de disco
PAciente que tem dor que foi refratária ao tratamento Paciente com déficit motor Paciente com anestesia em Sela
38
Dê a classificação de ASIA Qual sua principal função? A maior parte dos pacientes tem lesão completa ou incompleta?
O nível da lesão é dado pelo ÚLTIMO nível NORMAL do paciente, mesmo que abaixo ele tenha déficit parcial. A = Nada preservado (nem motor nem sensitivo) abaixo da lesão. B = Tem sensitivo mas nada motor preservado C = Tem sensitivo e motor é preservado com score < 3 em mais de 50% dos níveis abaixo da lesão. D = Tem sensitivo e motor é parcialmente com score > 3 em mais de 50% dos níveis abaixo da lesão. E = Sem qualquer alteração neurológica 45% serão ASIA A 30% serão ASIA D Maior parte é incompleta ASIA SERVE PARA DAR PROGNÓSTICO!!!
39
Na classificação ASIA, a maior parte dos pacientes deve ser avaliado com cuidado até ____ horas. Por qual motivo?
Após 72h Antes tem alto risco de choque medular O que indica choque medular = Ausência do reflexo bulbocavernoso. Se você não tiver, teoricamente o ASIA não vale.
40
Qual o prognóstico do TRM de acordo com o ASIA?
Melhorar = Subir um nível da escala ASIA. Asia A = 11% melhoram (3% ASIA D) Asia B = 44% melhora (28% ASIA D) Asia C = 55% melhoram para D ou E Asia D = 97% permanecem chance de piora: 3% CUIDADO PARA NÃO DAR FALSOS PROGNÓSTICOS ANTECIPADAMENTE. A MAIORIA DOS PACIENTES VAI MELHORAR.
41
A preservação da função sensitiva sacral após o TRM é um dos melhores preditivos de que o paciente irá voltar a caminhar. Por qual motivo?
Se você preservar função sensitiva sacral, em 90% das vezes o paciente vai voltar a caminhar. Porque a distribuição sensitiva do sacro no trato espinotalâmico é o que tem mais proximidade anatômica com o trato piramidal (corticoespinhal). Então se ele tiver preservado (espinotalâmico), maior a chance do motor também estar.
42
QUal a chance do paciente com TRM fazer alteração do reflexo de tosse? E insuficiencia respiratória/
Agudamente QUALQUER lesão acima de T11 vai prejudicar o reflexo de tosse, principalmente se acima de T1 Teoricamente lesão abaixo de C5 preserva o nervo frênico
43
Qual paciente com mielopatia cervical será candidato a tratamento cirúrgico
Quem vai tratar? Pacientes com 12 pontos ou MENOS na escala do JOA (A escala é pior quanto menos pontos) 8-12 moderada 7 ou menos = Grave Avalia: Função motora e sensitivas nos membros e função vesical. VIA DE REGRA: Paciente sintomático ou paciente com JOA < 12 é CIRÚRGICO. JOA> 12 = operar só os com estenose congênita e menos de 60 anos ou CLLP
44
No paciente com estenose de canal cervical assintomático, quais são os pacientes que mais provavelmente irão desenvolver sintomas?
* Preditor de que vai desenvolver mielopatia:  RAdiculopatia clínica / Alteração da marcha /SSEP / MEP  Eletroneuromiografia alterada  RM: Diametro canal ≤70 / Diametro AP/LL ≤ 0.4 Atenção: SOMENTE SINAL MEDULAR (T2 ELEVADO) NÃO QUER DIZER NADA
45
Qual a história natural da mielopatia cervical
Grande maioria será assintomática Sintomáticos, até 60% vao deteriorar em 3-6 anos e vamos precisar de tratamento. * nenhum vai retornar ao estado inicial * 75% piora episódica * 20% piora progressiva * 5% piora rapida (geralmente associada a trauma) Assintomáticos: * 8% vao desenvolver mielopatia em 1 ano * 23% em 4 anos
46
O que é a classificação de SINS?
É uma classificação de instabilidade da coluna pra paciente com tumor. 13 ou mais é instabilidade 7 a 12 é indeterminado
47
Classificação das fraturas subaxiais da coluna cervical de acordo com a AOSpine
48
SLICS
49
modificadores de classificação das fraturas subaxiais da coluna vertebral
50
Scotty Dog - Anatomia
51
modificadores das fraturas cervicais altas
52
Fraturas cervicais altas pela AOSpine (classificação)
53
Em um TRM, é comum fraturas em níveis não contíguos?
Sim. Em 20% por isso tem que ter alto grau de suspeição
54
TLICS score
cirurgico > 4
55
Classificação do Deslocamento facetário cervical (Ferguson & Allen)
Grau 1 - Subluxacao Grau II = Unilateral (25% de deslocamento) Grau III - Bilateral (50% de deslocamento) Grau IV - Completamente deslocado (Escorregamento completo)
56
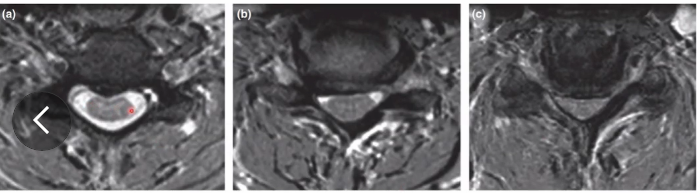
O Que é o sinal do pão invertido? o que ele significa?
É sinal de fratura da faceta articular.
57
Qual sinal radiologico é este? O que significa? O que esperar no alinhamento sagital?
É o sinal do pao invertido Indica fratura da Faceta articular No sagital é provável que vocË tenha desalinhamento < 25% (porque parece ser unilateral.