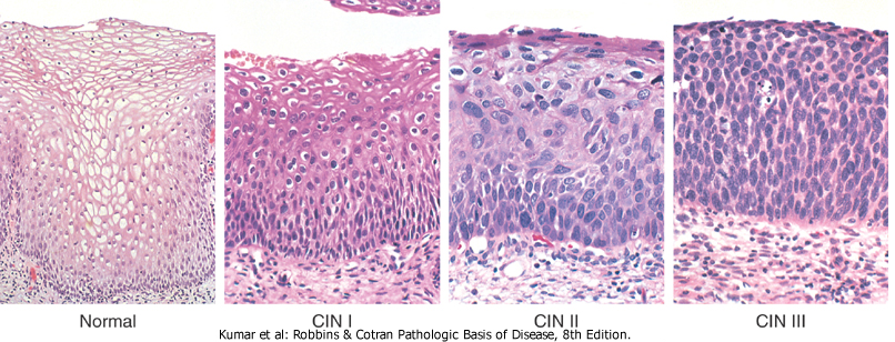
Classification of cervical neoplasia
CIN I, mild dysplasia
CIN II moderate dysplasia - progressive atypia and expansion of the immature basal cells
CIN III severe dysplasia - diffuse atypia, loss of maturation, and expansion of the immature basal cells

Screening for colorectal cancer?
Faecal Occult Blood - Carcino-embryonic antigen, Alpha Foetoprotein
Colonoscopy - polyps, ulcers,
Cancers commonly screened
Cervix - cytology from smear
Breast - mammography/USS
Large intestine - FOB, colonscopy
Prostate - blood test for PSA
How can prognosis of cancer be improved? (population)
Early detection & screening programmes
Identify at risk groups
Tumour profiling
New targeted chemotherapeutic agents
Chemotheraphy for N-H lymphoma
Cyclophosphamide - cross links DNA
Hydroxydaunorubicin - inserts between DNA bases
Oncovin - prevents cell duplication
Prednisolone - corticosteroids
Treatment of cancer
Surgery
Radiotherapy
Chemotherapy
Hormone therapy
Some - vaccination, mAb
Compare different types of treatment for cancer
Surgery: invasive, removed tumor cells, depends on staging (size/invasion/nodes/margins)
Radiotherapy: Produces free radicals which cause DNA damage. Cancer cells have a high proliferation rate and poor repair mechanisms, therfore damage kills cells. Solid tumours less responsive due to low O2
Chemotherapy: affects tumour cells in cycle, disrupts DNA synthesis/cell division or inhibits nucleic acid synthesis. Also affects rapidly dividing cells e.g. BM, GIT
Hormone therapy: mAbs specific to overexpressed receptors, hormone receptor antagonists
Vaccines: HPV
Give 5 examples of tumor markers
Alpha fetoprotein - hepatocellular carcinoma, germ cell tumours
Carcinoembryonic antigen - GI neoplasia
hCG- trophoblastic tumour, germ cell tumours
thyroglobulin - thyroid cancer (pappillary/follicular)
Hormones - endocrine tumours/paraneoplastic
Immnoglobulins - myeloma/lymphoma
What are tumor markers?
Products liberated from tumour into blood stream
Help with determining response to therapy
Disease monitoring
Diagnosis
Nottingham prognostic index
Used for assessing breast cancer
size
stage
grade
3 Most common caners in men/women
Male:
Lung
Prostate
Colorectal
Female:
Breast
Lung
Colorectal
Factors that can be used to predict tumour behaviour (also helps prognosis)
Size of tumour
Node status
Distant metastasis
Staging
Grade
Receptors/Molecular alterations
Genetic events that lead to the development of cancer
Point mutations: abnormally functioning product/inactive tumor supressor (ras, EGFR)
Gene amplification: excess production of oncogene (Her-2)
Chromosomal arrangement: inappropriate promoter activity, novel product (CM leukemia, Burkitts)
Genes involved have a role in DNA repair, apoptosis, replication, angiogenesis, local invasion
Staging of hodgkins and NHL
I one group of nodes involved
II two separate groups, same side of diaphragm
III nodes involved both sides of diaphragm
IV bone marrow, lung, other sites
A no symptoms
B fever, weight loss, night sweats