
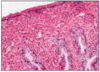
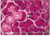
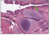
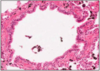
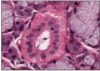
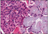
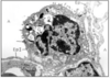
LYMPH NODULE WITHIN SUBMANDIBULAR GLAND

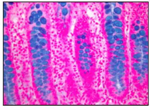
SIMPLE COLUMNAR
left = gallballder

GI TRACT LAYERS (x4)

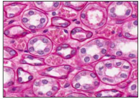
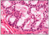
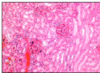
LOOP OF HENLE (PAS)
this slide - thick and thin limbs and vasa recta

PITUITARY GLAND
POSTERIOR - neuronal origin, down growth of brain, pituitary stalk to median eminence of mid-brain @ floor of V3
supra optic and para-ventricular nuclei
ANTERIOR (TROPHIC) - epithelial origin. roof of primitive gut. adheres @ anterior border of posterior pituitary and surrounds stalk (pars tuberalis)

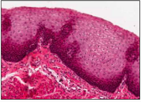
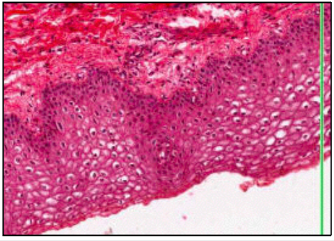
STRATIFIED SQUAMOUS
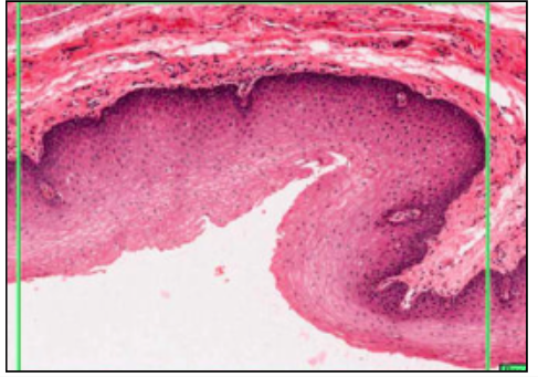
this slide = moist non-keratinised stratified squamous epithelium at mouth
(moist from glandular secretion)

CONNECTIVE TISSUE - INTRO

VEINS (TOP LEFT x2)

LIP 1
What is this?

ALCIAN BLUE
BLUE

SKELETAL MUSCLE LONGITUDINAL
this slide -tongue
n.b. small fascicles usuall denote smaller motor units = fine control

EPITHELIAL SQUAMES
pale green cells - outermost layer, predominate at first half of menstrual cycle
pink cells - deeper layer

SKELETAL MUSCLE (TRANSVERSE)
SKELETAL MUSCLE INDIVIDUALLY INNERVATED IN MOTOR UNITS
MITOCHONDRIA BETWEEN MUSCLE FIBRILS WITH MUSCLE FIBRES
MAY SEE GLYCOGEN AND LIPID DROPLETS

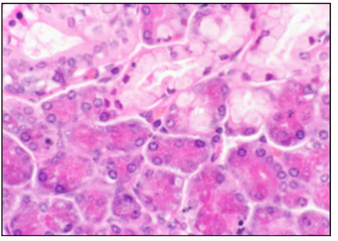
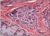
GI FORMATIVE 3
therefore this is a submandibular gland
(mixed = submandibular)

NOSE (H&E AND ALCIAN BLUE)

EPIGLOTTIS 2

EPITHELIA

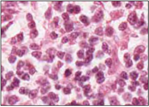
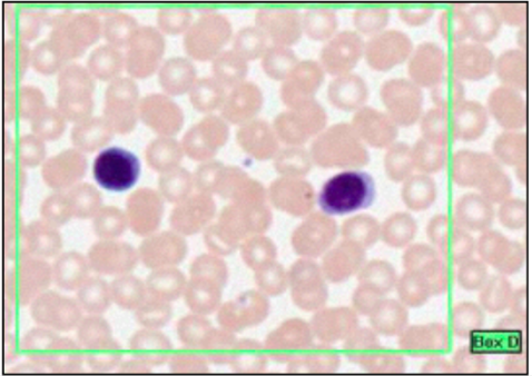
LYMPHOCYTE SIZE

FOLLICULAR PHASES

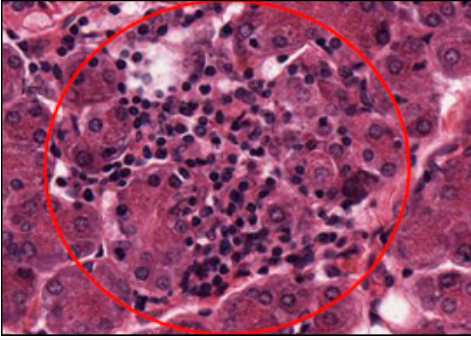
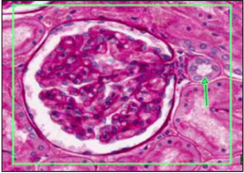
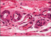
GLOMERULAR TUFT (PAS)

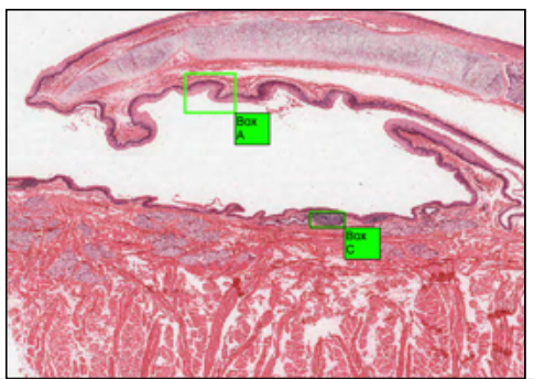
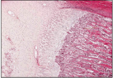
EPIGLOTTIS
contains:
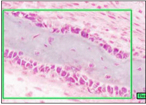
Box A = buccal surface - faces mouth

LYMPHOCYTES

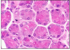
GROWING LONG BONE

MEMBRANOUS BONES & OSTEOBLATS
trapped within bone when they lay down new bone - form osteocytes