What are the causes of visual impairment in someone with diabetes?
How would you manage somoene with signs of retinopathy?
What are pathophysiological consequences of diabetes?
Non-enzymatic glycosylation of a wide variety of proteins e.g. haemoglobin, collagen, LDL and tubulin in peripheral nerves -> leads to an accumulation of advanced glycosylated end-products causing injury and inflammation
Changes in vascular permeability, cell proliferation and capillary structure - due to metabolism of glucose
Abnormal microvascular blood flow
Haemodynamic changes - kidney
What macrovascular complications occur in diabetes?
Accelerated atheroma
What microvascular complications occur in diabetes?
What are the main complications seen in diabetes?
How would you attempt to manage the risk of macrovascular complications?
What are the main diabetic eye diseases?
What is the main cause of diabetic eye disease?
Diabetic retinopathy
Why does cataracts occur in diabetes?
This can be due to reversible osmotic changes in patients with acute hyperglycaemia. It may also be due to senile cataracts.
What is the following?

Cataracts
How would you manage someone who had developed cataracts as a complication of diabetes?
What is juvenile “snowflake” cataracts?
Sustained very poor diabetes control with a degree of ketosis can cause an acute cataract (snowflake cataract), which comes on rapidly. Fluctuations in blood glucose concentration can cause refractive variability, as a result of osmotic changes within the lens (the absorption of water into the lens causes temporary hypermetropica). This presents as fluctuating difficulty in reading. It resolves with better metabolic control of the diabetes.
Why can glaucoma occur in diabetes?
New vessel formation can occur in the iris in late stage diabetes, which can lead to galucoma by blocking the natural drainage pathways of the eye.
What could be the following in the context of a diabetic patient?

Glaucoma
What is the pathophysiology of diabetic retinopathy?
The metabolic consequences of poorly-controlled diabetes cause intramural pericyte death, and thickening of the basement membrane in the small blood vessels of the retina. This leads initially to incompetence and increased permeability of the vascular walls, and later to occlusion of the vessels (capillary closure). This process has somewhat different consequences in the peripheral retina and in the macular area.
What are the effecs of diabetes on the peripheral retina?
What are the following?
What are dot/blot haemorrhages?
Larger red dots with distinct (dot) or indistinct (blot) borders. Caused by burst blood vessel in the retina
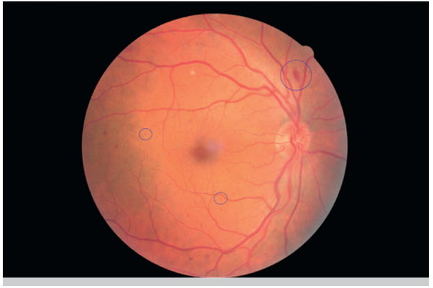
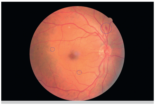
What stage of retinopathy can be seen in this individuals eye (who has diabetes)?
Background retinopathy - Dot/bloot haemorrhages, microaneurysms
What are the stages of diabetic retinopathy?
Maculopathy can also occur at any of these stages
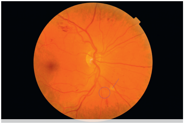
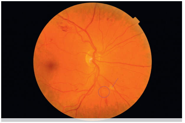
What stage of retinopathy can be seen in this individuals eye (who has diabetes)?
Background retinopathy - Hard exudates
What are cotton wool spots?
Ischaemic swelling of the optic nerve layer causes a white, round or patchy appearance (circled)
What are features of background retinopathy in diabetes?