Conjunctiva Flashcards

(89 cards)

1
Q

Conjunctiva Anatomy

A
  • Transparent mucous membrane
  • Vascular & lymphatic network - Passive & active immunity
  • Palpebral conjunctiva lines the inner lid
  • Forniceal conjunctiva
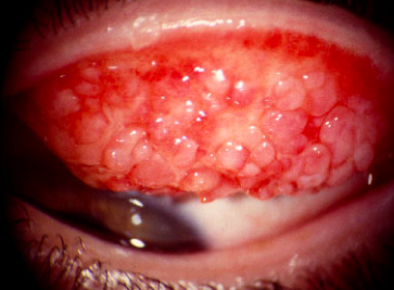
  • Bulbar Conjunctiva
    • Overlies the anterior sclera
    • Continuous with corneal epithelium at the limbus
How well did you know this?
1
Not at all
2
3
4
5
Perfectly
2
Q

List the Conjunctival Reaction

A
  • Hyperemia
  • Hemorrhages
  • Chemosis
  • Membranes
  • Infiltration
  • Subconjunctival Scarring
  • Follicles
  • Papillae
How well did you know this?
1
Not at all
2
3
4
5
Perfectly
3
Q

Hyperemia Injection

A
  • Engorgement of blood vessels
    • Without accompanying exudation or infiltration
    • Anterior ciliary & palpebral arteries
  • Causes
    • Trauma/Irritation
      • Mechanical manipulation
      • Dryness
    • Infection
    • Environmental
      • smoke/smog/chemical fumes
      • Wind
      • UV radiation
      • Prolonged topical instillation vasoconstrictors
How well did you know this?
1
Not at all
2
3
4
5
Perfectly
4
Q

Hemorrhages

A
  • Escape of blood from vessels
  • Causes
    • Trauma
    • Infection
      • Viral
      • Bacterial - infrequent
How well did you know this?
1
Not at all
2
3
4
5
Perfectly
5
Q

Petechial hemorrhages

A
  • Pinpoint hemorrhaging from capillaries (allergies & rubbing)
  • Causes
    • Prolonged straining
    • Medical conditions
    • Medications
    • Trauma
  • Can be result of asphyxiation
How well did you know this?
1
Not at all
2
3
4
5
Perfectly
6
Q

Chemosis

A
  • Conjunctival swelling
    • Frequently with accumulation of fluid within or beneath
  • May protrude through closed lids if severe (can have trouble closing lids)
  • Causes
    • Hypersensitivity reaction
    • Manipulation
How well did you know this?
1
Not at all
2
3
4
5
Perfectly
7
Q

Define true membrane and pseudomembrane

A
  • True membrane (Palpebral conj)
    • involves superficial conjunctival layers
    • Cannot be peeled - results in tearing of conjunctival epithelium
    • Associated with Stevens Johnson Syndrome
    • Adenoviral infection
    • HSV conjunctivitis
  • Pseudomembrane
    • Coagulated exudate adherent to inflamed tissues
    • Can be peeled off leaving underlying epithelium intact
    • Adenoviral infection
    • HSV conjunctivitis
How well did you know this?
1
Not at all
2
3
4
5
Perfectly
8
Q

Infiltration

A
  • Cellular recruitment to the site of chronic inflammation
  • Frequently accompanies papillary reaction
  • loss of detail of normal tarsal conjunctival vessels
  • More pronounced UL
How well did you know this?
1
Not at all
2
3
4
5
Perfectly
9
Q

Cicatrization Subconjunctival Scarring

A
  • Destruction of stromal tissue
    • Associated with loss of goblet cells & accessory lacrimal glands
  • Complications
    • Cicatrizing entropion
    • DES
    • Trichiasis
    • Foreshortening of fornix
    • Keratinization
    • Ankyloblepharon
  • Cause
    • Trachoma
    • Cicatrizing conjunctivitis
How well did you know this?
1
Not at all
2
3
4
5
Perfectly
10
Q

Follicles

A
  • Multiple, discreet, slightly elevated lesions
    • collections of lymphocytes
    • Resemble grains of rice
  • Small, dome-shaped nodules without a vascular core
  • Causes
    • Viral, chlamydial
    • Parinaud oculoglandular syndrome
    • Medication hypersensitivity
How well did you know this?
1
Not at all
2
3
4
5
Perfectly
11
Q

Papillae

A
  • Occur on palpebral conjunctiva & limbal bulbar conjunctiva
  • Nodule with fibrovascular core
  • Appearance depends on location
    • Tarsal - flattented
    • Limbal - dome-shaped
How well did you know this?
1
Not at all
2
3
4
5
Perfectly
12
Q

List the conjunctival degenerations

A
  • Pinguecula
  • Pterygium
  • Concretions
  • Conjunctivochalasis
  • Retention cyst (epithelial inclusion cyst)
How well did you know this?
1
Not at all
2
3
4
5
Perfectly
13
Q

Conjunctival degeneration

A
  • Decomposition & deterioration of the tissue elements & functions
  • Age-related
  • Disease-specific
  • Chronic environmental exposures
  • Unilateral or bilateral
  • Asymmetric
How well did you know this?
1
Not at all
2
3
4
5
Perfectly
14
Q

Pinguecula

A
  • Extremely common
  • Elastotic degeneration of the collagen fibers of conjunctival stroma
  • Actinic degeneration
  • Often bilateral, asymmetric
  • Cause
    • UV exposure
    • Conjunctival injury
  • Signs
    • yellow/white elevation on bulbar conjunctiva
      • Adjacent to limbus, DOES NOT extend onto the cornea
    • Within palpebral fissure
    • Nasal > temporal
    • May develop calcification or pigmentation
  • Symptoms
    • Cosmesis
    • FBS
    • Tearing
    • DES
  • Treatment
    • None
    • Lubrication - ATs, gels
    • UV protection
    • Surgical excision
How well did you know this?
1
Not at all
2
3
4
5
Perfectly
15
Q

Pingueculitis

A
  • Acute inflammation of pinguecula
  • May lead to dellen (area of extreme dryness next to area of elevation)
  • Treatment
    • None if asymptomatic
    • Lubrication
    • Short course of weak topic steroid
      • FML, Loteprednol
    • Excision if repeatedly inflamed or large causing irritation, cosmesis
How well did you know this?
1
Not at all
2
3
4
5
Perfectly
16
Q

Pterygium

A
  • Triangular, fibrovascular subepithelial ingrowth
  • Invades superficial corneal layers
  • Common in warm climates
    • Pt often long h/o of UV exposure or chronic surface dryness
  • M>F
  • Forms in interpalpebral zone
    • Nasal > Temporal
    • May be double (nasal & temporal)
  • 20-30 yo onset
  • Symptoms
    • Small lesions asymptomatic
    • Irritation & grittiness
      • Dellen formation at advancing edge
    • CL intolerance
    • Decreased vision
      • Induced irregular astigmatism
      • Interference with visual axis
    • Intermittent inflammation
    • Cosmesis
  • Pseudopterygium
    • Band of conjunctiva adhering to comprised cornea
    • Reponse to acute inflammation or inciting event
  • Treatment
    • None, most are asymptomatic
    • UV protection
    • Medical
      • Tear substitutes
      • Topical steroids
    • Surgical
      • Excision - 50% recurrence rate
        • Autograft
        • Mitomycin C
        • Amniotic graft
How well did you know this?
1
Not at all
2
3
4
5
Perfectly
17
Q

Concretions

A
  • Extremely common
  • Age-related
  • Chronic conjunctival inflammation
    • Multiple, tiny cysts with yellow/white deposits (epithelial debris)
    • May become calcified
      • if large, can erode overlying epithelium
    • Most common inferiorly
  • Sx
    • None
    • FBS
  • Treatment: none
    • Excision with needle at slit-lamp with topical anesthesia
How well did you know this?
1
Not at all
2
3
4
5
Perfectly
18
Q

Conjunctivochalsis

A
  • Normal aging process exacerbated by posterior lid margin disease
  • Interferes with normal tear flow
  • Symptoms
    • Asymptomatic
    • Watering
      • obstruction of puncta & interference with tear meniscus
    • FBS on downgaze
  • Signs
    • Redundant conjunctival tissue
    • Inferior conjunctival & corneal staining with bengal
  • Evaluation
    • observation of blink
    • Physically move conjunctiva with lid
    • NaFL to observe conjunctival folds
    • Rose bengal staining
  • Treatment
    • Topical lubrication
    • Treatment of blepharitis
    • Short course of topical steroids
    • Surgical resection if severe
How well did you know this?
1
Not at all
2
3
4
5
Perfectly
19
Q

Retention/Epithelial Inclusion Cyst

A
  • Fluid-filled cyst
    • fluid clear to turbid
  • No discomfort
  • Treatment
    • None if asymptomatic
    • Puncture with needle to drain if pt bothered
How well did you know this?
1
Not at all
2
3
4
5
Perfectly
20
Q

List the vascular disorders of the eye

A
  • Subconjunctival hemorrhage
  • Conjunctival hemangioma
  • Pyogenic granuloma
How well did you know this?
1
Not at all
2
3
4
5
Perfectly
21
Q

Subconjunctival hemorrhage

A
  • Bleeding between conjunctiva & sclera
  • Often in one sector of eye - may spread
  • Sx
    • Asymptomatic
    • Cosmesis
    • FBS
  • Causes
    • Valsava maneuvers
    • Anticoagulation medications
    • Infection
    • Trauma/Surgery
    • Systemic vascular disease
    • Bleeding disorder
  • Treatment
    • Spontaneous resolution 1-3 weeks
    • Education & reassurance
    • Assessment for ocular trauma
      • Rule out penetrating injury
    • ATs
    • Consideration of blood work
    • Avoidance of anticoagulants (ASA, NSAIDs)
How well did you know this?
1
Not at all
2
3
4
5
Perfectly
22
Q

Conjunctival hemangioma

A
  • Vascular tumor
  • Sx
    • Asymptomatic
    • Mild ocular irritation
    • Spontaneous bleeding or bloody tears
  • Signs
    • Benign, slowly progressive, bright red patches
    • Round, nodular, lobulated, polypoid
    • Growth possible
  • Treatment
    • Observation
    • Surgical excision
How well did you know this?
1
Not at all
2
3
4
5
Perfectly
23
Q

Pyogenic Granuloma

A
  • Vascular tumor of skin or mucous membranes
    • Rapid development
  • Fibrovascular proliferative response to conjunctival injury
  • Any age - children & young adults most common
  • Causes
    • Trauma
      • Mechanical
      • Surgical
    • Infection
    • Hormonal influences
    • Idiopathic
  • Treatment
    • Steroids
    • Excision
How well did you know this?
1
Not at all
2
3
4
5
Perfectly
24
Q

List the Non-malignant tumors

A
  • Conjunctival nevus
  • Racial melanosis
  • Choriostoma
    • Dermolipoma
    • Osseous choristoma
  • Papilloma
How well did you know this?
1
Not at all
2
3
4
5
Perfectly
25
Conjunctival nevus
* Most common melanocytic tumor * 1% risk malignancy * 1st - 2nd decade * often unilateral * **Presentation** * **​**Discrete, slightly elevated, pigmented lesion on bulbar conjunctiva * Juxtalimbal * Plica semilunaris * Caruncle * Cystic spaces within nevus common * May exhibit growth due to hormonal changes or local inflammation * **Types** * Junctional * Subepithelial * Compound/combined * Blue * Congenital melanocytosis * **Tx** * **​**None - periodic observation or photo documentation * Excision for cosmesis
26
Racial Melanosis
* Flat conjunctival pigmentation in darkly pigmented individuals * Patchy pigmentation scattered throughout conjunctiva * Most dense at limbus - may extend onto the cornea * Palpebral or foniceal conjunctiva possible * Bilateral - asymmetric * Generally present at young age * **Management** - periodic observation or photo documentation
27
Choristoma
* Benign, congenital proliferations of normal tissue that is not typically found at the site of mass * **Types** * **Limbal dermoid** * **Dermolipoma** (pale yellow dermoid containing adipose tissue) * **Ectopic lacrimal glands** * **Osseous choristomas** * Solid nodules * Composed of mature, compact bone, pilosubaceous units & hair follicles * Rarest form of choristoma
28
Papilloma
* Benign sqamous epithelial tumors * **Classification** * **​Pedunculated** * **​**infectious * squamous cell * **Sessile** - limbal * **Mucoepidermoid** - inverted * **Sqamous cell papilloma** * **​**Usually seen in yonger pts * History of maternal HPV infection at the time of birth * A past history of tumor excision with recurrence * Refractive to past medical & surgical treatments * No decrease or loss of VA * A hx of a sibling w/ same condition * A hx of cutaneous warts outside the eye * **Limbal papilloma** * **​**Seen in older adults * History of UV exposure * Possible decrease or loss of visual acuity * Recurrence after excision, not common * History of chronic conjunctivitis refractive to medications
29
List the malignant tumors
* Squamous carcinoma * Lymphoma * Kaposi sarcoma * Primary acquired melanosis * Melanoma
30
Squamous cell carcinoma
* **MOST COMMON TYPE OF CONJUNCTIVAL TUMOR**\*\*\* * Older age * Male \> female * Chronic UV exposure * HIV infection in younger pts * **Risk Factors** * **​**Fair skin * Tendency to sunburn * outdoor occupation * living close to the equator * History of actinic skin lesions * **Xeroderma Pigmentosum** (Genetic disorder w/ decreased ability to repair DNA caused by UV) * Immunosuppression * Male gener * Older age * **Sx** * **​**Chronic conjunctivitis * Ocular irritation * **Presentation** * **​**White, flesh-colored or red patch * Round, elevated growth * Gel-like appearance * Ofen originate at/near the limbus * Supsect SCC in any pt with conjunctivitis lasting \>3months * **Treatment** * **​**Excision & Biopsy * Radiation &/or chemotherapy * Extenteration if orbital extension * **Prognosis** * **​**Mortality rate = 4-8% * Better prognosis if no orbital extension or metastasis to lymph nodes
31
Lymphoma
* Salmon colored patches on the eye * Firm * smooth, mobile * May represent underlying systemic lymphoma * Primarily non-Hodgkin lymphoma * Unilateral * **Sx** * **Conjunctival** - pinkish mass * **Orbital** - pain, exophthalmos, diplopia * **Tx** * **​**Excision & biopsy
32
Kaposi Sarcoma
* Highly vascularized, red, gelatinous lesion * Resembles subconjunctival hemorrhage * Associated with squamous cell carcinoma & HIV infection * M\>F * Older age * Younger onset with HIV infection/immunosuppression * 7-18% are conjunctival * **Presentation** * **​**Inferior conjunctiva & fornix * Recurrent subconjunctival hemorrhages * Injection * Chemosis * **work-up** * **​**Blood work * Biopsy * Evaluate for immunosuppression in younger pts * **Treatment** * **​**Monitor if no discomfort * Alleviate ocular irritation * Prevent disfigurement * Regain immunocompetent state * Excision * F/u frequency depends on severity of ocular involvement
33
Primary Acquired Melanosis (PAM)
* Unilateral - rarely bilateral * Fair-skinned individuals * Middle aged or older \>45 yo * Intraepithelial disease * Appears as fine dusting of pigmentation * **Presentation** * Irregular, flat pigmented patches * Generally interpalpebral or juxtalimbal * Size changes frequent * Intensity of pigmentation changes * Risk of malignant conversion * **Treatment** * **​Small lesions (1-2 clock hours)** * yearly monitoring * excision if nodularity, thickening, vascularity * **Moderate lesions (2-5 clock hours)** * Excisional biopsy * Cryotherapy at edges * **Large lesions (\>5 clock hours)** * Incisional map biopsy of all quadrants to determine malignancy
34
Melanoma
* Nodular or diffuse mass often with feeder vessels * 2% of ocular malignancy * PAM - 75% * Pre-existing nevus - 20% * Primary melanoma (de novo) - 5% * 6th decade * No sex predilection * More common in lighter pigmented individuals * **Locations** * Limbal - best prognosis * Caruncle * Tarsus * Fornix * **Presentation** * **​**Nodular or diffuse * with feeder vessels * Multinodular lesions possible * Grey to black vascularized nodule * Amelanotic lesions possible * pink, flesh colored lesions * May spread to adjacent tissues (lids, nasolacrimal drainage system) * Metastasis to regional lymph nodes * **Management** * **​**biopsy & excision * Radiotherapy * **Poor Prognostic factors** * **​**Non-limbal location * De novo development * Older age * Male * Non-white race * Nodularity or ulceration of tumor * **Mortality** * **​**5 years = 12% * **Metastases** * **​**regional lymph nodes * Lung * Brain * Liver
35
Comparison of pigmented conjunctival lesions
36
Questions to consider in pts with pigmented conjunctival lesions
* laterality * when did you first notice? * Has it changed in size or color? * Does it cause discomfort? * Has it ever bled? * Med hx * Occupation
37
Conjunctivitis
* Conjunctival inflammation * Sx often non-specific * Watering * Grittiness * Stinging * Burning * Itching (hallmark of allergic disease) * Pain, photophobia & marked FBS suggest corneal involvment
38
Discharge
* **Watery** * **​**Serous exudate & tears * Acute viral, acute allergic * **Mucoid** * **​**Mucus * Chronic allergic, DES * **Mucopurulent** * **​**Mucus & pus * Chlamydial, acute bacterial * **Purulent** * **​**Pus * Moderately purulent - acute bacterial * Severe purulent - Gonococcal
39
List Allergic conjunctivitis
* inflammatory response of the conjunctiva to an allergen * often occurring with systemic disease * May be only manifestation * Clinical variants * Acute allergic conjunctivitis * Seasonal allergic conjunctivitis * Perennial allergic conjunctivitis * Vernal keratoconjunctivitis * Atopic keratoconjunctivitis * Contact dermatitis * Phlyctenular keratoconjunctivitis * Giant papillary conjunctivitis * Mucus-Fishing syndrome
40
Allergic response
* Hypersensitive immune reaction to a substance that would not normally elicit the response in all persons * **Atopy:** genetic predisposition to hypersensitivity reactions upon exposure to environmental antigens * **Type I hypersensitivity** * **​**Anaphylactic response * Immediate hypersensitivity response * Humoral response * Exposure to soluble allergen causing sensitization of plasma cells * Production of IgE specific for that antigen * IgE binds in great number to mast cells * Re-exposure to allergen causes degranulation of mast cells & relesae of allergic mediators * **Chemical mediators - Chemotactic mediators** * **​**Stimulate migration of cellular components of immune system * Eosinophilic chemotactic factor of anaphylaxis * Major component * High molecular weight neutrophil chemotactic factors * Leukotriene B * Prostaglandins * **Eosinophils** * **​**Terminally differentiated granulocytic effector cells * **Produce** * **​**cytotoxic proteins * lipid mediators * chemotactic peptides * cytokines * players in innate & adaptive immunity * **Chemical mediators: Vasoactive mediators** * **​**Activate smooth muscles, small blood vessels, mucus glands & sensory nerve endings * Histamine - major component * Leukotrienes C,D,E * Platelet activating factors * Serotonin * Prostaglandins * Heparin * **Histamines** * **​**Spasmogenic to smooth muscle * Increased heart rate * Diastolic hypotension * Flushing (vasodilation) * HA * Increased vascular permeability * Stimulating of peripheral nerve ending * Exocrine secretion * Gastric secretion
41
Allergic response (Early phase & Late Phase)
* Release of chemical mediators results in the development of the early & late signs & sx of an allergic response * **Early phase** * **​**Due to mast cell degranulation & release of chemical mediators including histamine, prostaglandins, heparin, cytokines & PAF * Produce sx of itching, redness & chemosis * **Late phase** * **​**Begins hours after allergen exposure & may last for hours * Due to infiltration of activated inflammatory cells including eosinophils, basophils, neutrophils & macrophages recruited by mediators released in early phase * Cells release additional mediators responsible for perpetuating the signs & sx of the early phase * May also casue new sx * Tearing * Irritation * Stinging/Burning * Photophobia
42
**Type I hypersensitivity**
* Common 10-20% * Variable * Mild presentation to anaphylactic shock * Rapid * Signs as early as 5 minutes * Sx in 30 mins * Young males \> young females * Increased IgE in serum & tears * Eosinophil accumulation at site * Conditions * Acute allergic conjunctivitis * Seasonal allergic conjunctivitis * Perennial allergic conjunctivitis * Vernal keratoconjunctivitis * Atopic keratoconjunctivitis
43
Type II hypersensitivity
* Cytotoxic * Autoimmune response * Inability to distinguish self from non-self * Production of auto antibodies * Etiology unknown
44
Type III hypersensitivity
* Immune complex * **soluble** antigen/antibody complex which stimulates neutrophils & complementary system * Results in overwhelming destruction of surrounding tissues * Examples * Drug rxn * Erythema multiforme * Steven-Johnson syndrome
45
Type IV hypersensitivity
* Delayed hypersensitivity reaction * Mediated by T-lymphocytes * Less common than type I * **Slower response** * Occurs 24-72 after re-exposure * Contact dermatitis * Thimerosol sensitivity * PPD * Localized response * No increase IgE serum or tears * **Examples** * Contact dermatitis * Phlyctenular conjunctivitis * Giant papillary conjunctivitis * Combination of Type I & Type IV
46
Comparison of Hypersensitivity Reactions
47
Maagement of ocular allergic disease
* Supportive Antihistamines * Mast cell stabilizers * combo agents * Steroids * NSAIDs (Decrease inflammation) * Decongestants (nasal sprays, vasoconstrictors) * Isolation & removal of the allergen\*\*
48
Acute Allergic Conjunctivitis
* Acute conjunctival reaction to an environmental antigen * Young children, after playing outdoors esp in spring & summers * **Presentation** * Acute itching * Watering * Severe chemosis * **Treatment** * **​**None often resolves in hours of removal of allergen * Cool compresses * Topical adrenaline 0.1% - decrease chemosis
49
Seasonal & Perennial allergic conjunctivitis (Which age group affected, Association with which disease, Presentation, Tx?)
* Estimated to affect 20% of population annually * **Young adults more common** * Age of presentation 20yo * sx tend to decreased with age * Possible to develop as an older adult * **High association with other allergic disease** * Allergic rhinitis * Asthma * Atopic dermatitis * **Presentation** * **​**Hyperemia * Tearing * Watery, ropy discharge * Burning\*\*\*\* * Itching\*\*\*\* * Chemosis (1+ trace) * Eyelid edema * Papillary reaction * Rarely follicular (chronic presentations) * Petechial hemorrhaging * Sneezing * Nasal discharge * Often complete resolution between attacks * **Treatment** * **​**Artificial tears * Mast cell stabilizers * Antihistamines * Dual action agents * Topical steroids * Oral antihistamines
50
Seasonal allergic conjunctivitis
* Sub-acute condition * Common * Hay-fever * High association with rhinitis * Attributable to outdoor pollens * Develops over days to weeks in response to specific pollen * **Causes** * Spring - tree pollens * Summer - grass pollen * Late summer, early fall - weed pollen * Variation based on geographic location * Tree & grass pollens most common
51
Perennial allergic conjunctivitis
* Sx throughout the year * Mild, chronic, waxing & waning conjunctivitis * Autumn * Indoor allergens * Dust mites, animal dander, mold/fungal * More mild presentation than seasonal
52
Vernal Keratoconjunctivitis
* Recurrent, bilateral * IgE & cell-mediated immune response * **Boys age 5+** * 95% remit by late teens * Remainder often develop atopic keratoconjunctivitis * Mostly in warm, dry, subtropical climates * **90% with other atopic conditions** * asthma eczema * **Seasonal exacerbations** * Late spring to summer * Mild perennial sx * Uncommon * **Symptoms** * **​**Intense itching * Lacrimation * Photophobia * FBS * Burning * Thick mucoid discharge * Increased blinking * **Signs** * **​**Palpebral * upper tarsal conjunctiva * Early mild - conjunctival hyperemia, diffuse papillary hypertrophy on superior tarsus * **Macropapillae** - flat topped polygonal appearance * **Giant papillae** - smaller lesions amalgamate * Mucus deposition between papillae * Characteristics **polygonal "cobblestones"** * **Limbal** * **​**May occur alone or in associate with palpebral * Thickening & opacification at the limbus * nodules may become confluent * Homer-Trantas' dots * More severe in tropical regions * **Keratopathy** * **​**More freqeuent in the presence of palpebral disease * Superior punctate epithelial erosions (PEE) * Pannus * Plaques & shield ulcers * Subepithelial scars * Pseudogerontoxon * Mild eyelid disease
53
Atopic Keratoconjunctivitis (AKC)
* Rare - prevalence unknown * Bilateral * **Develops in adulthood following long h/o eczema** * Peak 30-50 * 5% chronic VKC in childhood * M=F * Perennial, worse in winter * Less responsive to tx * Type I & IV reactions contribute * **Sx** * Similar to VKC * more severe * Unremitting * Intense itching * Lacrimation * Photophobia * FBS * Burning * Thick mucoid discharge * Increased blinking * Eyelid changes * intermittent swelling * **Signs** * **​Eyelid** * Skin changes - erythema, dryness, scaling & thickening * Chronic **staphylococcal blepharitis** * Madarosis * Keratinization of lid margin * Induration * Tightening of facial skin * Ectropion * Epiphora * **Conjunctiva** * **​**Inferior, palpebral \> superior * Discharge - watery to stringy mucoid * Smaller papillae initially * Diffuse infiltration * Scarring * Cicatricial changes * Moderate symblepharon * Forniceal shortening * Keratinization of caruncle * Horner-Trants dots * **Keratopathy** * **​**Inferior PEK * Persistent epithelial defects * Plaque formation * Peripheral vascularization * Predisposition to 2^ bacterial & fungal infection * Agressive HSK (herpect disease) * Keartoconus - due to chronic rubbing, thinning of cornea * **Cataract** * **​**Presenile shield-like anterior or posterior subcapsular * Worsen with long-term steroid use * **Retina** * **​**Retinal detachment
54
Treatment for VKC & AKC
* Allergen avoidance * Cool compress * Lid hygiene * **Topical treatment** * Mast cell stabilizers - decrease frequency * Antihistamines - acute * Dual action * NSAIDs * Steroids - severe * Immune modulators - restasis * **Systemic tx** * Antihistamines * Antibiotics * Immunosuppressive agents * ASA- avoid in children du eot reye's risk * **Surgical tx** * BCL * Superficial keratectomy * Surface maintenance * Amniotic graft * Lamellar keratoplasty * BOTOX * Lateral tarsorrhaphy
55
Contact Dermatitis
* More common in pt with atopy * F \> M * **Often associated with topical ocular agents** * Antibiotics * Dilation agents * Preservatives * **Presentation** * **​**Marked crusting, scaling & thickening of lids * Moderate to severe lid edema * Conjunctival injection * Chemosis * PEK * **Treatment** * **​**Identification & avoidance of irritant * Treatment of inflammation
56
Phlyctentular Keratoconjunctivitis
* **Local conjunctival/corneal immune response to some previously sensitized antigen** * Historical association with TB * Staph antigens most frequent agent now * More common in children * **Initial episode always affects limbus** * Subsequent episodes involve cornea & bulbar conjunctiva * **Subepithelial inflammatory nodules made of WBC & blood vessels** * Macrophages * Lymphocytes * Plasma cells * PMNs * **Sx** * **Conjunctiva** - injection, tearing, FBS * **Corneal** - extreme photophobia, pain, blepharospasm * **Signs** * **​Limbal - first attack** - single or multiple pinkish-white nodules adjacent to area of conjunctival hyperemia * Great variation in size * Becomes grayish in color, ulcerates, then resolves * **Corneal** **​** * White mound bordered by radial pattern of dilated vessles of conjunctiva * Progresses toward central cornea as a wedge-shaped gray, necrotic, superficial ulcer leaving a white anterior stromal infiltrate * No clear zone between limbus\*\*\*\* * Perpendicular to limbus * **Management** * **​**Determination of cause (Check for staph & TB) * PPD, chest x-ray * Lid margin &/or conjunctival cultures * **Treatment** (NEED BOTH b/c it is an immune response against a previously sensitized antigen) * **​**Anti-inflammatory * Anti-infective
57
Giant Papillary conjunctivitis
* **Mechanically-induced papillary conjunctivitis** * CLs- any type * Prosthesis * Suture * Corneal scars * Combination type I & IV rxn * Directed at mucin coating & recurrent trauma * Both sexes, any age possible * **Etiology** * Mechanical irritation & or antigenic stimulus on the upper tarsal conj * Histologic changes - mast cell degranulation & secondary allergic cascade * Conjunctivitis, tissue changes & inflammatory marker in tears * **Symptoms** * ​FBS * Redness * Itching * Increased mucus * Blurred vision * CL/prosthesis intolerance * **Signs** * **​**Giant papillae * Mechanical ptosis * Stringy mucous discharge * Increased discharge on CLs or prosthesis * Conjunctival injection * **Treatment** * **​**Avoidance of mechanical stimulation * Mast cell stabilizer * Antihistamines * Not as effective * NSAIDs * Topical steroids * Caution - may lead to secondary infection * **Prognosis** * **​**80% able to return to comfortable CL wear * Remissions & exacerbations common * Ptosis may resolve * May have scarring or permanent giant papillae
58
Mucus-Fishing Syndrome
* Chronic papillary conjunctivitis * Pts exacerbate conjunctival irritation by mechanically removing excess mucus from globe or inferior fornix * **Associations** * DES * Blepharitis * Allergic conjunctivitis * GPC * Floppy eyelid syndrome * **Symptoms** * **​**FBS * Excess mucus * Lacrimation * Intolerance of CL/prosthetic * **Examination** * **​**Thorough history * ask about discharge * Have pt show you how they remove from eye * Staining - look for staining on inferior cornea & conjunctiva in area that pt removes mucus * **Treatment** * **​**Avoidance * treat underlying condition * Mucolytic agent - N-acetylcysteine 10% * Antihistamine- mast cell stabilizers * epinastine (elestat) * Ketotifen (alaway, zaditor) * Olopatadine (patanol, etc) * Therapy
59
Stevens-Johnson Syndrome
* Type III hypersensitivity * Rare, potentially fatal condition * **Cell-mediated delayed hypersensitivity reaction** * Drugs * Epithelial cell antigens modified by drug exposure * **Risk** * Viral infection * Weakened immune system * H/O **Stevens-Johnson syndrome** * **​**Previous reaction * Immediate family member * HLA-B1502 * **Presentation** * **​**Flu-like sx up to 14 days prior to mucotaneous lesions * **Early** * **​**Hemorrhagic crusting of lid margins * Papillary conjunctivitis * Severe hyperemia * Membrane/pseudomembranes * Blisters * Patchy infarction * Keratopathy * **Late** * **​**Keratinized of conjunctiva & lid margin * Forniceal shortening & symblepharon * Cicatricial complications of lids * **Systemic Tx** * **​**Hospitalization * Often placed in burn units * Removal of precipitant * Supportive measures * Others * Systemic steroids * Immunosuppressants * Systemic antibiotics * **Ocular tx** * **​**Supportive therapy * pseudomembrane peeling * Scleral ring * Mucous membrane grafting * Amniotic membrane * Keratoprosthesis (Boston K-pro)
60
Superior Limbic Keratoconjunctivitis
* Rare, chronic recurrent disease affecting the superior limbus, superior bulbar & tarsal conjunctiva * W \> M * Presentation around 6th decade * years of exacerbations & remissions * **Pathogenesis** * **​**Unknown etiology * ​Traumatic * mechanical irritation from friction between tarsal & bulbar conj * Conjunctivochalasis\*\*\*\*\*\* * Other * infectious * Immunologic * allergic * **Associations** * **​**Hyperthyroid - 50% \*\*\*\* * KCS - up to 50% (Dry eye, Keratoconjunctivitis sicca) * Hyperparathyroidism\*\*\* * CL wear * UL trauma/surgery * **Symptoms** * **​**FBS * Photophobia * Increased blinking * Burning * Pain * Itching * Ocular dryness * **Presentation** * **​Conjunctiva** * Papillary hypertrophy * Sectoral hyperemia of superior bulbar & limbal conjunctiva * Petechial hemorrhages * Redundancy & thickening of superior conjunctiva * **Cornea** * SPK common * Superior filamentary keratitis * Superior pannus (blood vessel growth) * KCS in about 50% cases (Dry eye) * **Examination** * **​**Careful examination of upper tarsal & bulbar conjunctiva * look for redundancy, folds, hyperemia, filaments * Staining technique * Cotton swab manual manipulation of conjunctiva * Schirmer testing * Lab testing * Thyroid function * Autoimmune serologic tests * **Treatment** * **​**Thyroid function testing in pts without documented thyroid dysfunctions \*\*\* * refer to rheumatologist or endocrinologist * **Mild** * Lubrication * Punctal occlusion * restasis * Cromolyn sodium drops (Mast cell stabilizers) * **Moderate to severe** * Silver nitrate solution applied with cotton swab (Shrink conjunctivochalasis) * Bandage CL * Acetylecysteine if mucous or filaments present * BOTOX injection (make lid more floppy to reduce tension of UL)
61
List the bacterial conjunctivitis
* Acute bacterial conjunctivitis * S. aureus * S. pneumoniae * H. influenzae * Hyperacute bacterial conjunctivitis * N. gonorrhoeae * N. meningitidis * Chronic bacterial conjunctivitis * Adult chlamydial conjunctivitis * Trachoma * Neonatal conjunctivitis
62
Barriers to infection
* Ocular defense mechanisms * Intact epithelium * Normal lid/tear film function * Low conjunctival & corneal temperature * Mucus * Conjunctival lymphoid elements (MALT - mucosa associated lymphatic tissues) * Normal microbial flora * Staphylococcus peidermidis * Aerobic & anaerobic diphtheroids * Transient pathogens
63
Pathogens (Gram + & Gram -)
* **Gram + organisms** * **​Staphylococcus aureus** * Gram + cocci * MOST COMMON cause of conjunctivitis * **Streptococcus pneumoniae** * **​**Gram + diplococci * **Cornebacterium diphtheria\*** * **​**Gram + bacillus * Uncommon highly invasive & toxigenic * **Gram - organism** * **​Haemophilus influenza\*** * Gram - coccobacillus * Affects young children (esp \<5yo) * **Moraxella lacunata** * Gram - diplobacillus * Affects elderly & debilitated * **Neisseria gonorrhoeae\*** * Gram - diplococcus * Highly pathogenic, virulent & invasive * Associated with venereal disease * **Neisseria meningitides\*** * Gram - diplococci * uncommon * Associated with meningitis in children
64
Response to infection (Pathogenesis & Histopathology)
* **Role of microorganism** * Adherence * Invasion * Multiplication & spread * Introduction of host inflammatory response by PMNs * Tissue damage * **Response of host tissue** * **​Conjunctival** * **​**Vascular engorgement * Increased vascular permeability * Cellular exudate * Papillary & follicular hypertrophy * **Corneal** * **​**Infiltration by PMNs (conj vessels -\> tears -\> cornea) * Release of proteolytic enzymes
65
Acute bacterial conjunctivitis
* Rapid onset conjunctivitis * Less severe * Begins unilateral & may spread to fellow eye * Sx generally last 10-14 days, but may become chronic * **Causative agents** * **​S. aureus** - all ages, regions, seasons * **S. pnuemonia** - children\>adults, northern US, colder months * **H. influenza** - young children, southeastern US, warmer months, more severe presentation * **Moraxella Catarrhalis** * **Sx** * **​**Unilateral * Acute onset redness, grittiness, burning, discharge * Eyelids stuck shut on awakening * Systemic sx rare * **Signs** * **​**Conjunctival injection - palpebral & bulbar * Mild discharge - mucopurulent * Diffuse PEK * Peripheral corneal ulcerations * Lymphadenopathy absent (Preauricular node) * **Lab work up** * **​**Rarely necessary * organisms typically responds to broad spectrum antibiotics * Self-limiting infection - resolves in 1-2 wks without tx * 60% resolution in 5 days without tx * Giemsa stain * Gram stain * **Supportive therapy** * **​**lavage (Irrigate) * Cool compresses * Topical antibiotics - QID x 1 week * Oral antibitoics - depends on causative agent * Topic steroids - to reduce scarring, membrane formation * Caution - slow healing time * **Treatment** * **​**Discontinuation of CL wear & change all solutions/cases/accessories * Hygiene - hand washing, changing towels/bedding * Avoidance while contagious - stay home from work/school * Notification of public health authorities - depends on causative agent
66
Hyperacute bacterial conjunctivitis
* Rare * More severe presentation * Rapidly progressive * **Symptoms** * **​**Unilateral tearing & irritation * Eye ache * Lid tenderness * Lids stuck closed * Systemic sx common * **Signs** * **​**Marked bulbar & palpebral conjunctival hyperemia * Severe conjunctival chemosis * Copious purulent discharge * Severe lid edema * Prominent preauricular lymphadenopathy * Corneal ulceration possible * **Causative agents** * **​N.gonorrhoeae** * **​**more common * 2 mill annually cases of genital infection * ~3000 develop ocular involvement per year * Neonatal & adult forms * 3-19 day incubation period for GU infection * Precedes ocular infection by 1+ weeks * **N. meningitidis** * **​**Uncommon * associated with meningitis * may be bilateral onset * Younger pts * Ocular signs * Purulent signs * EOM palsies * Increased intracranial pressure -\> papilledema * Nystagmus * \*\* Kids with systemic sx need to go to PCP immediately \*\* * **Gonococcal conjunctivitis** * **​**Markedly inflamed conjunctiva * Intense dilation of conjunctival vessels * Petechial hemes * Purulent discharge * Decreased vision * **Lab workup** * **​**MANDATORY * Giemsa stain * Overwheling PMN response * Gram stain * Culture & sensitivity testing * Chocolate agar * Thayer-Martin medium * Consider tests for syphilis, chlamydia & HIV \*\* * **Treatment** * **​**Supportive therapy * saline lavage * cool compresses * Ocular therapy * topical antibiotics - q1-2hrs initially, then taper to q2-4hrs, then QID * Follow closley - q24hrs for first few days * Systemic therapy * Oral antibiotics
67
List the chronic bacterial conjunctivitis
* Chlamydial conjunctivitis * Trachoma conjunctivitis
68
Chlamydial conjunctivitis
* Oculogenital infection - autoinoculation from genital secretions * 10% eye to eye spread * Affects 5-20% sexually active adults in western countries * Incubation period 1 week * Causative agent: chlamydia trachomitis * Serotypes D-K * No gender predilection * 15-35yo most common presentation * Unilateral or bilateral * Conjunctivitis chronic - may last many months * Women - concomitant vaginal discharge secondary to chronic vaginitis or cervicitis * Men - symptomatic or asymptomatic urethritis * Inquire about duration of sx, prior tx, sexual exposure * **Sx** * **​**Subacute onset unilateral or bilateral redness, watering & discharge * Tender PAN common * Keratitis may develop in 2nd week * Untreated conjunctivitis becomes chronic * Ask about sexual exposure if suspected * **Signs** * **​**Watery or mucopurulent discharge * Large follicles - esp. bulbar or plica semilunaris * PEK * Peripheral subepithelial corneal infiltrates * 2-3wks after onset conjunctivitis * Tender PAN * Conjunctival injection * Chemosis * Superior micropannus * **Workup** * **​**Referal to GU specialist mandatory * Lab testing * Giemsa staining * Chlamydial cultures of conjunctiva * ELISA * Serum immunoglobulin G titers * Complete STD workup of pts & partners * **Treatment** * **​**Systemic antibiotics * Azythromycin 1000mg single does * 30% require subsequent doses * Doxycycline 100mg BID x 7-10 days * Tetracycline 100mg QID x 7-10 days * Tetracyclines contraindicated in pregnancy/nursing, under 12yo * Erythromycin 500mg QID x 7-10 days * Topical antibiotics - speed resolution of ocular involvement * Reduction of transmission risk * Avoidance of sexual contact until completion of therapy
69
Trachoma conjunctivitis
* Leading cause of preventable, irreversible blindness in the world * vision impairment in 1.8 million (WHO.org) * Irreversible blindness in 0.5 million * 1.4% global total of blind individuals * Chronic infection leads to cell-mediated hypersensitivity response (type IV) * Spread through personal contact & infected flies * Causative agent: chlamydia trachomatis * Serotypes A, B, Ba, & C * **Stages** * **​**Active trachoma * Cicatricial trachoma * Trachomatous scarring * Trachomatous trichiasis * Corneal opacity * **Active trachoma** * **​**Mixed follicular/papillary conjunctivitis * Mucopurulent discharge * Superior epithelial keratitis & pannus formation * 60-90% infection in endemic regions * **Cicatricial trachoma** * **​**30-40 yo * Women 2-3x more than men * Conjunctival scarring * Mild: linear or stellate * Severe: Arlt's line, broad, confluent * Herbert pits * Trichiasis, distichiasis * Corneal vascularization * Cicactrical entropion * Severe corneal opacification * Destruction of goblet cells & ductules of lacrimal glands = DES * **Treatment** * **​**SAFE strategy - managed & supported by WHO * **S -** Surgery: entropion & trichiases repair * **A** - Antibiotics: pt & family members * Azythromycin 20mg/kg to 1000mg single dose * Erythromycin 500mg BID x 14 days * Topical 1% tetracycline ung. QID x 6 weeks * **F -** Facial cleanliness: preventative * **E -** Environmental improvements: access to clean water & sanitation, control of flies
70
Neonatal conjunctivitis
* Infection transmitted mother to infant during delivery within 1st month of life * Most common infection of neonates * **Causes** * C. trachomatis * N. gonorrhoeae * HSV * H. influenzae * Strep species * **Presentation** * **​**Depends on causative agent * Discharge * Lid edema * Lid/periocular vesicles * Keratitis * **Treatment** * **​**Variable from supportive for mild cases to oral antibiotics or antiviral therapy for more severe infections * Consultation with microbiologist or pediatrician for severe infection * Referal to genitourinary specialist for mother & sexual partners depending on causative agent.
71
List the viral Conjunctivitis
* Non-specific viral conjunctivitis * Adenoviral conjunctivitis * epidemic keratoconjunctivitis * Pharyngoconjunctival fever * Acute hemorrhagic conjunctivitis
72
Viral Conjunctivitis
* **General characteristics of viruses** * smallest infectious organisms * Obligate intracellular parasite * Depend on hosts metabolic processes for multiplication * **Ocular infection** * **​**Acute conjunctivitis, keratitis, blepharitis * Chorioretinitis, uveitis * Optic neuritis, papillitis, oculomotor paresis * Induction of tumors (esp.. Epstein - Barr)
73
Adenoviral conjunctivitis
* Infection by adenovirus * DNA virus * 50+ serotypes - 1/3rd with ocular mvmt * Severity depends on serotype * Most common cause of viral conjunctivitis **75%** cases * Any age, gender, race * Virus remains infections in desiccated (dry) state for weeks at room temp * **Clinical course** * 7-6 day (avg.10) incubation period * 7-28 day symptomatic * Different serotypes with different duration * Prior URI * **Presentation** * **​**Lid edema * Serous discharge * Crusting on lashes * Pseudomembranes * PAN * Subepithelial infiltrates possible 15-35%
74
Non-specific Viral Conjunctivitis
* Pink eye * More mild presentation * Most common ocular manifestation * 65-90% caused by adenovirus * Self-limited * Sx last 1-3 wks * Transmission via upper respiratory droplets * **Symptoms** * **​**FBS * Burning * Redness * Mild - Photophobia * **Signs** * **​**Serous discharge * Moderate follicular response * Diffuse bulbar injection (pink) * Mild chemosis * Discrete lid edema * No corneal involvement * No/mild preauricular lymphadenopathy * Starts Unilateral, moves bilateral * **Treatment** * **​**Supportive thearpy - lubrication, ocular decongestants, cool compress * Hygiene - hand washing, change pillowcases/towels/sheets daily * F/u - 1wk - may cancel if pt resolves
75
Epidemic Keratoconjunctivitis
* Acute, highly infectious infection * Outbreaks common in clinics * Common in developed countries * More common in adults (20-40) * Adenovirus serotypes 8,19, & 37 * **Transmission** * Direct contact with ocular secretions * Contact with instruments in eye clinics * Work-place, eye care facilities, close personal contact, neonatal units, nursing homes * 3-4 week duration, occasionally longer * Incubation period 4-24 days * **Biphasic infection** * Infective phase * Inflammatory phase: begins 7-10 days after initial infection * Pt remain infectious for 10-14 days * Starts unilateral, becomes bilateral in 70% cases * **Symptoms** * **​**FBS * Photophobia * Conjunctival hyperemia * Sero-fibrinous discharge * **Severe cases** * **​**Decreased VA * Orbital or periorbital pain * Often have recent h/o of eye exam * May be preceded by flu-like sx * Fever, malaise, myalgia, respiratory sx, nausea, vomiting, diarrhea * **2 Phases** * **​**Acute phase * Sequelae phase * **Acute phase** * **​**Begins unilateral, moves to fellow eye but less severe * Follows 7-16 day course * Sudden onset of profuse serous discharge * Periorbital pain * Esp. when bend forward * Severe follicular conjunctivitis with petechial hemes on palpebrum * Moderate to severe eyelid edema * Chemosis * Preauricular lymphadenopathy * Potential pseudomembrane formation * Subconjunctival hemorrhaging * Chemosis * Corneal involvement * PEK * Early in 2nd week * Virus-infected cells * May form focal keratitis * **Sequelae phase** * **​**Variable course * Subepithelial infiltrates * Early in 3rd week * Variable number, location & density * Variable effect on VA * Delayed hypersensitivity reaction to viral antigen in overlying epithelium * **Treatment** * **​**Hygiene * Discared CL & accessories * Supportive therapy * ice packs * Analgesics * Peeling of pseudomembranes * Topical corticosteroids * Decreased inflammation * Soften membranes/pseudomembranes * Cycloplegics * Antivirals * Betadine * **What you should do when pt sees you** * DO NOT see pts if you have EKC * Wear gloves * Disinfect instrumetns well * anyting pt touched * Careful about tonometry * Can live in fluress for up to 1 month * If have more than 1 exam lane, confine pts to same room
76
Pharyngoconjunctival fever
* **Sx** * **​****Ocular** * **​**Redness, watering, itching, burning * **systemic** * **​**Pharyngitis * Fever - gradual onset - 100-104 deg * Other associations - diarrhea, rhinitis * **Signs** * **​**Follicular conjunctivitis - often bilateral * starts unilateral & spreads to 2nd eye in 1-3 days * Copious serious discharge * Lid edema * Hyperemia * Chemosis * **Tx** * **​**Non-self-limiting * Supportive therapy * Artificial tears * Cool compresses * Analgesics/antihistamines
77
Viral conjunctivitis: Diagnosis
* Clinical examination * Most often used method * Poor accuracy reported * Cell culturing * Giemsa staining * PCR * High accuracy of diagnosis * Antigen detection * **AdenoPlus** * Fast, completed in-office in ~10 mins * High accuracy * Point of care testing to detect unkown serotypes of adenovirus * 90% sensitivity * 96% specificity * Fast - results in about 10 mins * Reads like pregnancy test * Red & blue line = positive * Blue line = negative * No line = invalid test
78
Adenoviral conjunctivitis tx
* **Tx** * **​**topical lubrication * Hygiene * D/C CL wear & discared/replace all accessories * Topical steroids for membranes or severe corneal involvement * Cool compresses * Off-lable tx * Topical antiviral * Canciclovir (Zirgan) in trial currently * Opthalmic betadine * In office single tx * instill topical anesthetic & topical NSAID then lavage the eye with betadine * Have pt close eyes & swab lids with betadine * Rinse with sterile saline & instill topical NSAIDS * Clinical evidence shows increased rate of healing with decreased sequelae * No well-controlled studies on efficacy * Risk for conjunctival & corneal irritation
79
Acute Hemorrhagic conjunctivitis
* **Picorna virus** * **​**Enterovirus 70 * Coxsackie virus A-24 * Coastal & tropical cities with high humidity & population density * Short incubation period giving rapid spread * Any age group, gender * **sx** * **​**Tearing * FBS * Itching * Redness * Discharge * **Signs** * **​**Seromucous discharge * Follicles * Pronounced lid edema * Petechial hemorrhages on bulbar conjunctiva which spread & become confluent to total subconj heme * Preauricular lymphadenopathy * Minimal corneal involvement * Minimal PEK * Secondary bacterial infections common * Mucopurulent conjunctivitis * N. gonorrhoeae * Neurological sequelae * Polio-like paralysis * 1/10,000 - 1/20,000 affected * Onset 1-8 weeks after conjunctivitis * Begins with fever, malaise & pain along a nerve-root with eventual paralysis * Usually limbs or cranial nerves * Great variability in severity * 1/3 remain permanently handicapped * Respiratory paralysis = death * **Tx** * **​**Usually self-limiting in 3-5 days * Prophylactic antibiotics * Avoid corticosteroids * worsen condition * Promote secondary infection * Prolonged recovery * Supportive therapy * Hygiene
80
List trauma
* Conjunctival foreign body * Abrasions & lacerations * Chemical burns * Acid * Alkali * Glue * Thermal burns
81
Conjunctival foreign body
* Object in conjunctiva * May be bulbar, palpebral or forniceal conjunctiva * Superficial or deep * **Sx** * **​**Redness * Pain, irritation * FBS * Photophobia possible * Watering * **Signs** * **​**Visible foreign body * Corneal or conjunctival tracking * Subconjunctival hemorrhage * Abrasion * Seidel sign * Dilate pt to r/o intraocular foreign body * **Tx** * **​**Superficial * Removal at slit lamp * anesthetize eye * Remove with cotton swab, golf spud, needle * Prophylactic antiboiotic * Lubrication * analgesic (pain reliever) * BCL * Deep * Refer for surgical removal
82
Abrasions & Lacerations
* **Abrasion** = irregularity of the epithelial surface of the conjunctiva * frequent association with corneal abrasions * **Laceration** = full thickness defect conjunctiva * Associations * Chemosis * Subconjunctival hemorrhage * Open globe * Hyphema (blood to front of eye) * **Risks** * **​**M\>F * Generally occur at work/home * Failure to wear protective eyewear * Substance abuse * **Cause** * **​**Blunt objects - fist, rocks, baseball * Sharp objects - scissors, knives, screwdrivers, nails * **Sx** * **​**Pain * FBS * Photophobia * Decreased vision * Watering * **Signs** * **​**staining with NaFL * Chemosis * Subconjunctival hemorrhage * Normal to decreased vision * **Evaluation** * **​**Thorough history * when & how injury occurred * what material they think got in the eye * General health of pt * External exam * Pupil testing * Evaluate for seidel sign * Dilate to r/o penetrating injury * Consider B-scan or imaging studies if suspect intraocular foreign body * **Signs of open globe** * **​**Seidel sign * Prolapsed uveal tissue * Low IOP * Decreased vision * Shallow or flat anterior chamber * Hyphema * Iris deformities * Dislocated lens * Retinal detachment * **Small wound/closed globe** * **​**prophylactic antibiotics * Lubrication * **Large wound/open globe** * **​**Fox shield * Refer for surgery
83
List chemical injury
* Acid * Alkali * Glue
84
Chemical injury - Acid burns
* Low pH * Dissociate into hydrogen ions & anions * Cause coagulation of proteins * Coagulative necrosis * Clouding of conjunctival/corneal tissue * Prevents further penetration into structures * Increased concentration or exposure leads to greater damage * Hydrofluoric acid can penetrate ocular surface
85
Chemical injury - alkali burns
* High pH * Readily dissociate into hydroxyl ions & cations * Hydroxyl ions * saponification & breaks down fatty acids in cell membranes * Liquefactive necrosis * Cations * Interaction with collagen & glycosaminoglycans of the stroma * Fogging of stroma * Deeper penetration & infilatration of the anterior segment * Increased IOP/Secondary glaucoma * Iritis * Decreased VA
86
Common caustic agents & source of alkali & acid injury
87
Chemical Injury
* **Sx** * **​**Acute onset pain/burning * FBS * Excessive tearing * Blurred vision possible * Swollen lids * Photophobia * Red/white eyes possible * Blepharospasm * **Initial evaluation** * **​**Type & form of chemical injury * Quantity * Concentration * Duration of exposure * How injury occurred * Determine if irrigation has occured * Determine pH of tears in cul-de-sac * Irrigate until neutral pH obtained * **Examination** * **​**May need anesthetic to improve pt cooperation * VA - not unusual for pt to be HM/LP * Pupil testing * EOMs * Feel for crepitus * Slit lamp * ever lids to look for retained particles - esp in cases of explosions * look for vascular ischemia * NaFL staining * applanation tonometry * Dilated exam * Evaluate both eyes * **Signs** * **​**Blurred vision * Chemosis * Blanching of vessels * Lacrimation * **Complications****​** * **​**Eyelids scarring - entropion, ectropion * Conjunctival scarring - symblepharon, ankyloblepharon * dry eyes * Corneal opacification/thinning/ulceration/perforation * Secondary glaucoma * 15-55% of severe chemical burns * Cataract * Pthisis bulbi * **Treatment** * **​**Antibiotics - ointment or drop * Cycloplegic * Steroid * Lubrication * IOP management * Symblepharon ring * **Other - alkali burns** * **​**Vit C / ascorbic acid drops or po * Doxycycline * Citrate drops * **Examination** * **​**Ensure neutrality of ocular surface * Irrigate until obtain neutrality * Check VA * Likely to be reduced * May need anesthetic at this stage * Pupils/CVF/EOMs * Slit lamp exam * including staining * IOP * Goldman, tonopen, icare * Dilation * **Surgical Tx** * **​**Epithelial debridement of necrotic tissue * Amniotic membrane transplant * Limbal stem cell transplant * Corneal transplant * Boston k-pro * Surgical correction of cicatricial changes
88
Chemicaly injury - glue
* glue * superglue * Nail glue * Injury occurs form dried particles of glue * Accidental from mistake for eye drops * Abuse * **Sx** * **​**Inability to open lids * Watering * FBS * Often unilateral * **Signs** * **​**Glue tarsorrhaphy * Conjunctival or corneal abrasion * **Treatment** * **​**Rinse thoroughly before dries * Trim lashes * Acetone * Bland ointment * Removal w/ forceps * Treat ocular injury with lubrication, prophylactic antibiotics, NSAIDs/steroids, cycloplegic
89
Thermal Burns
* Rarely affect conjunctiva due to reflexive closure of the eye upon exposure * **Causes** * Fireworks explosions * Steam * Boiling water * Molten metals or plastics * Curling irons * **Symptoms** * **​**Pain * Watering * Decreased VA * **Signs** * **​**Conjunctival injection * Corneal abrasion/edema * Burns to skin of lids & adnexa * Cicatrical changes common * **Treatment** * **​**As with other thermal injuries for external burns * Supportive * lubrication * Cool compresses * Analgesics * Oral NSAIDs * Cycloplegia * Prophylactic antibiotic therapy * Secondary infection common * Symblepharon prevention * Avoid rubbing