Cell labeled A

Fibroblast (active cell, open faced nucleus)
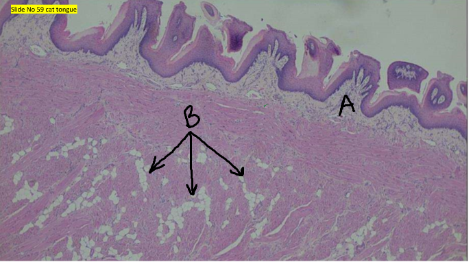
Tissue labeled A

Dense irregular connective tissue
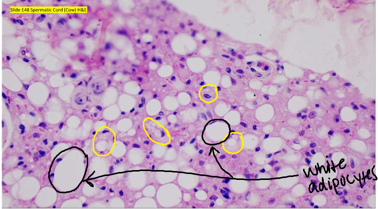
ID cells circled in yellow

Multilocular/brown adipocytes; multiple lipid droplets
Cell labeled B

Neutrophil
Tissue labeled B

Adipose tissue
Cell labeled B

Fibrocyte (inactive, closed faced nucleus)
Cell labeled B

Neutrophil
Tissue labeled A

Dense regular connective tissue (DRCT)
Cell labeled C

Plasma cell
Fibers labeled B

Collagen fibers
Cells labeled A

Mast cells
Type of tissue

Dense irregular connective tissue (DICT)
Cells labeled A

Unilocular/white adipocytes; single lipid droplet
Type of fibers

Collagen fibers
Cells labeled A

Eosinophils
Cells labeled B

Plasma cells
Fibers labeled A

Elastic fibers
Type of fibers
**silver stain**

Reticular fibers (aka collagen type III)
Cells labeled A

Eosinophils
Cell labeled A

Eosinophil
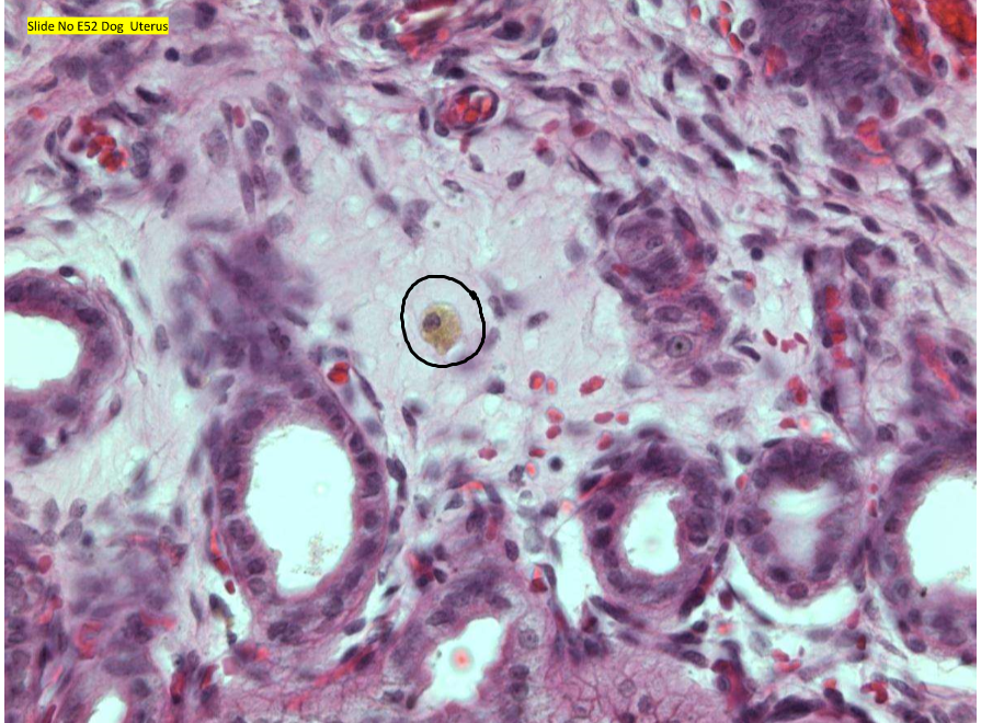
Cell + cell inclusion

Macrophage with hemosiderin
Tissue at A (marked yellow)

Loose connective tissue/stroma (LCT)
Cells labeled A
Very large

Giant macrophages