Connective Tissue Lab Flashcards

(9 cards)

1
Q

Starting W/ Special C.T. pg. 30 BLD.

A

Place keeper card.

How well did you know this?
1
Not at all
2
3
4
5
Perfectly
2
Q
A
How well did you know this?
1
Not at all
2
3
4
5
Perfectly
3
Q

Cell Type?

A

RBC’s

How well did you know this?
1
Not at all
2
3
4
5
Perfectly
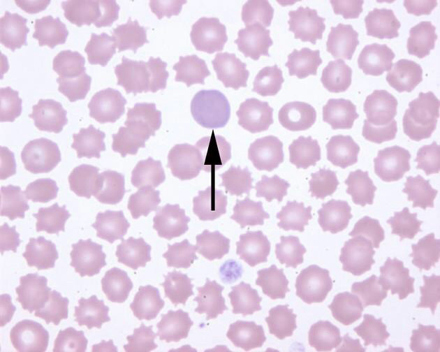
4
Q

Cell Type?

A

Reticulocyte (Immature RBC.)
Notice: Nuclear Extrusion, larger, more Basophilic (Blue).

Basophilic: Attraction to Basic/ Cationic Dye- H&E: Haematoxylin.

How well did you know this?
1
Not at all
2
3
4
5
Perfectly
5
Q

Cell Type?

A

Reticulocyte (Immature RBC.)
Notice: Anucleate, larger, more Basophilic (Blue).

Basophilic: Attraction to Basic/ Cationic Dye- H&E: Haematoxylin.

How well did you know this?
1
Not at all
2
3
4
5
Perfectly
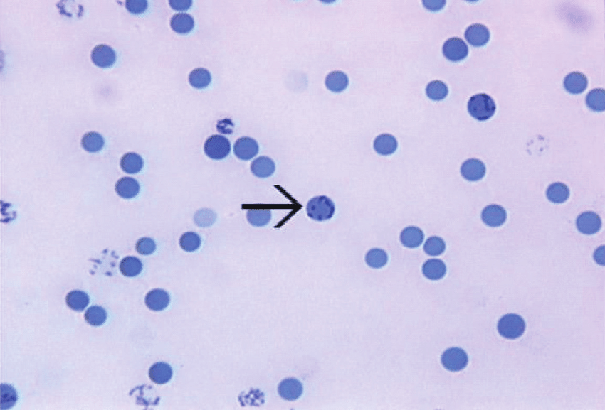
6
Q

What are the 4 ways of recognizing Reticulocytes?
Specific Stain you can use for recognition?

A
  • Somewhat Basophilic Cytoplasm than RBC.
  • Nuclear Fragments or Anucleate.
  • Larger.
  • Less uniform (Still Biconcave).
  • New Methylene Blue Stain: Reticular/ Granular Network (Absent in Mature.)

Basophilic: Attraction to Basic/ Cationic Dye- H&E: Haematoxylin.
Reticulocyte: Immature RBC.
Nuclear Extrusion/ Enucleation: Nuclear Expulsion & Breakdown.

How well did you know this?
1
Not at all
2
3
4
5
Perfectly
7
Q

What is the Development of an RBC?

A
  1. Mesenchyme.
  2. Hemocytoblast.
  3. Myeloid Progenitor.
  4. Proerythroblast/ Pronormoblast.
  5. Basophilic Erythroblast.
  6. Polychromatic Erythroblast.
  7. Orthochromatic Erythroblast/ Normoblast.
  8. Polychromatic Erythrocyte/ Reticulocyte.
  9. Erythrocyte (Complete/ Mature.)
How well did you know this?
1
Not at all
2
3
4
5
Perfectly
8
Q

What does Orthochromatic mean?
In Relation to RBC’s?

A

Orth/o: Normal.
Chrom/o: Color.
Erythrocyte: Refers to the precursor cell (Polychromatic Erythroblast) becoming more eosinophillic/ normal Colored due to filling with Hemoglobin @ this Stage.
Still more Basophiliic than next step: Polychromatophilic Erythrocyte/ Reticulocyte.

How well did you know this?
1
Not at all
2
3
4
5
Perfectly
9
Q

What are the 5 types of Leukocytes?

A
  • Basophils (Granular).
  • Neutrophils (Granular).
  • Eosinophils (Granular).
  • Lymphocytes (Agranular).
  • Monocytes (Agranular).

Granular Vs Agranular: Visible Granules.

How well did you know this?
1
Not at all
2
3
4
5
Perfectly