What are the 6 different classifications of Connective tissue?
Embryonic Blood & lymph Bone Cartilage Connective Tissue Proper haemopoietic tissue
What are the 3 main fibres of CT ?
Collage Reticular Elastic
What are the properties of this Fibre?

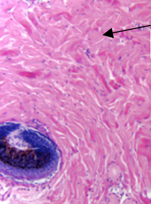
Collagen -strong, flexible, -white, fibrous -eosiniphilic in H & E
What are the properties of this fibre?

Reticular - fine network -poorly stained in H&E, black in reticulin
What are the properties of this fibre?

Elastic Stretchable, elastic Yellow fibrous tissue eosinophilic in H&E black in verhoeffs stain
Name the 4 tissue types that comprise all the organs of the body in some combination:
What are the functions of connective tissue proper?
support protection connections within locomotor system holds tissues together energy storage
What is a “loose” type of connective tissue proper?
higher ratio of cells to fibres
What is a “dense” type of connective tissue proper?
lower ratio of cells to fibres - regularly arranged -irregularly arranged
Name the 7 cell types of CTP
Name this cell:

Mesenchymal cell:
stellate - star shaped, many cytoplasmic processes
Name this cell:

Fibroblast:
stellate/spindle shaped
basophilic cytoplasm
synthesize and secrete collagen and other extracellular matric components
differentiate into FIBROCYTES
cytoplasm looks purple
Name this cell:

Fibrocyte:
“resting” form of fibroblasts - no longer highly active in secretions
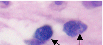
Name this cell:

Macrophage:
large cell
derived from blood monocyte
phagocytic cell
produces lysosomal proteases

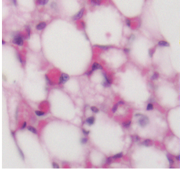
Name this cell:

Fat cells (adipocytes):

Name this cell:

Mast Cells:

Name this Cell:

Plasma Cell:
