Considered Normal Flashcards

(28 cards)

1
Q

Fordyce Granules what is it

A

cluster of sebaceous (oil) glands.

How well did you know this?
1
Not at all
2
3
4
5
Perfectly
2
Q

Fordyce Granules Location

A

Mostly on the lips and buccal mucosa.

How well did you know this?
1
Not at all
2
3
4
5
Perfectly
3
Q

Fordyce Granules Appearence

A

Clusters of tiny yellow lobules.

How well did you know this?
1
Not at all
2
3
4
5
Perfectly
4
Q

Fordyce Granules Demographic

A

Over 80% of adult

How well did you know this?
1
Not at all
2
3
4
5
Perfectly
5
Q

Exostosis

A

Benign bony overgrowths on the buccal (outer) surface of the maxilla or mandible.

How well did you know this?
1
Not at all
2
3
4
5
Perfectly
6
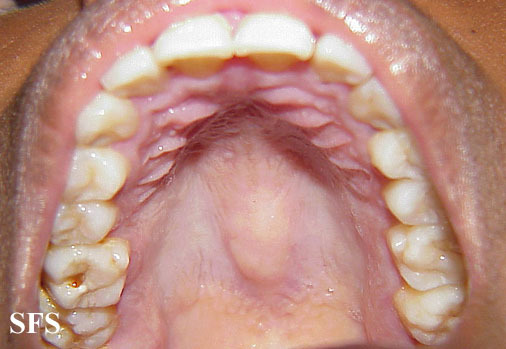
Q

Torus palatinus (maxillary torus):

A

Appears near the midline of the hard palate.

How well did you know this?
1
Not at all
2
3
4
5
Perfectly
7
Q

Mandibular tori

A

Appear on the lingual aspect of the mandible in the premolars. Usually bilateral, lobulated, or nodular. (Tori is the plural of torus)

How well did you know this?
1
Not at all
2
3
4
5
Perfectly
8
Q

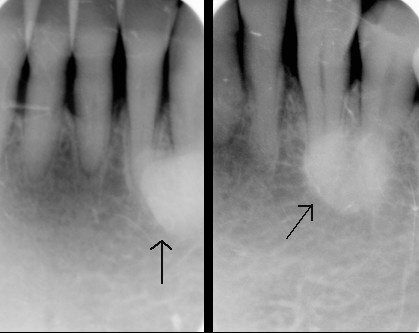
Tori and Exostosis: radiographs

A

appear as a radiopaque mass

How well did you know this?
1
Not at all
2
3
4
5
Perfectly
9
Q

Tori and exostosis tx

A

Not needed unless the tori interfere with speech, prosthetic appliances, or swallowing.

How well did you know this?
1
Not at all
2
3
4
5
Perfectly
10
Q

Melanin Pigmentation

A

Caused by increased melanin production in the oral mucosa

How well did you know this?
1
Not at all
2
3
4
5
Perfectly
11
Q

Melanin Pigmentation Location

A

gingiva and labial mucosa

How well did you know this?
1
Not at all
2
3
4
5
Perfectly
12
Q

Melanin Pigmentation appearance

A

flat, dark macule
borders well define or diffused

How well did you know this?
1
Not at all
2
3
4
5
Perfectly
13
Q

Melanin Pigmentation Demographic

A

in dark skin individuals

How well did you know this?
1
Not at all
2
3
4
5
Perfectly
14
Q

Melanin Pigmentation symptoms and tx

A

Asymptomatic. Biopsy if melanoma (cancer) is suspected

How well did you know this?
1
Not at all
2
3
4
5
Perfectly
15
Q

Lingual varicosity

A

Enlarged, dilated veins on the ventral side of tongue

How well did you know this?
1
Not at all
2
3
4
5
Perfectly
16
Q

Lingual varicosity caused by

A

age related loss of elasticity

17
Q

Lingual varicosity demographic

A

adults <60 yrs old

18
Q

Lingual varicosity appearance

A

Purple or blue, enlarged vessels visible under the tongue.

19
Q

Lingual varicosity Symptoms

20
Q

Lina alba

A

white line on the buccal mucosa level of the occlusal plane

21
Q

Lina alba caused

A

caused bruxism, clinching, grinding

22
Q

lina alba location

A

buccal mucosa, occusal plane

23
Q

lina alba look

A

white, raised, well define
bilateral

24
Q

lina alba symptoms

25
Leukoedema:
Grey opalesece or milky white on buccal mucosa cannot be rubbed off, disappears when stretched
26
Leukoedema demographic
smoking or black males
27
Lingual thyroid Nodule
thyroid tissue results from incomplete migration of thyroid during embryonic period foramen cecum and did not full developed during the 4th-7th week leaving some of the thyroid
28
Amalgam tattoo
Discoloration of mucosa due to contact to amalgam near restoration