What are the 5 types of COPD?
Bronchitis is inflammation of the ______ airways.
Large airways
Causes of bronchitis
Smoking
Air pollution
Allergies
Certain occupations: Coal Miners, Textile Workers, Grain Handling
Symptoms of Bronchitis
Wheezing in Bronchitis patients caused by
Increased secrections and inflammation
(different than asthmatic patients)
Normal bronchi vs. Bronchitis
(picture, at same airway generation)

On the following CXR, which image is of a patient with Bronchitis?

Left - Bronchitis, note: darker is more air
Right - normal
Treatment of Bronchitis:
Minimize inflammation with ______ ______ therapy.
short-term steroid therapy
Treatment of Bronchitis:
What kind of bronchodilators can be used?
Albuterol inhalation
Treatment of Bronchitis:
What does hydration do to help the treatment of bronchitis?
Dehydration causes dry secretions which are very difficult to clear in the lower airway spaces.
Treatment of Bronchitis:
Use _______ if a bacterial infection is present.
Antibiotics
Which type of COPD causes lung desruction of the terminal bronchioles down to the alveoli?
Emphysema
(one of the most common lung dieseases)
Which type of COPD slowly and irreversibly destroys the elastic fibers that hold open the small airways?
Emphysema
Emphysema is caused by: (2)
Smoking (most common cause)
Some causes of bronchitis may also lead to emphysema
Symptoms of Emphysema: (2)
Shortness of breath
Impaired ability to exhale
What happens to the alveoli in emphysema?
Septal walls of alveoli breakdown –> large bulla

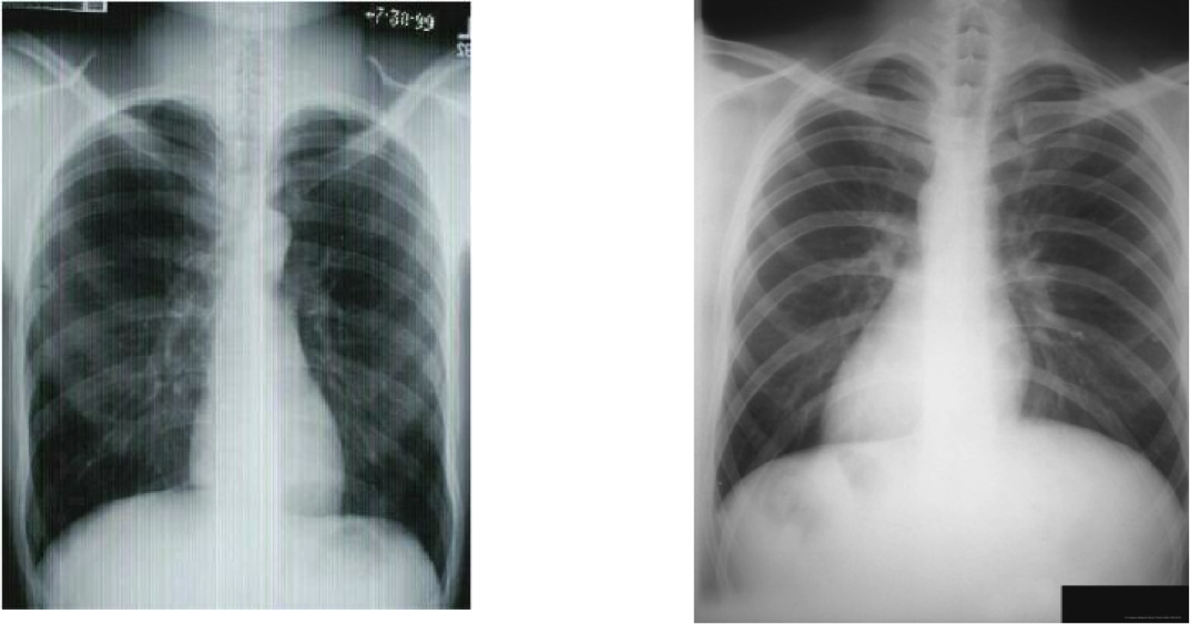
Which image is of a patient with emphysema?
Discuss the findings of the X-Ray of the patient with emphysema.

The image on the right is the emphysema patient.
Hyperinflation of the lungs (black is air), flattened out diaphragm.
What types of short acting bronchodilators can be used to treat emphysema?
Beta-2 (Albuterol), and
anticolinergic (Atrovent)
What type of long-acting anticholinergic bronchodilators can be used when treating a patient with emphysema?
Spiriva
When treating emphysema, inhaled _______ usually are combined with a long-acting _______ (Advair).
corticosteroids
bronchodilator
End stage emphysema is treated with what?
Oral steroids (Prednisone), and supplimenta oxygen
Which COPD can be treated with lung reduction surgery if the patient has large regions of over distention and poorly functioning lung tissue?
Emphysema
Which COPD is classiifed as swelling and mucus build up in the bronchioles, due to a virus infection?
Bronchiolitis, seen in pts < 2 yo
Which COPD has a seasonal pattern? And which seasons are the worst?
Bronchiolitis; Fall and Spring