What are the types of COPD?
What is inflamation of the large airways?
bronchitis
What are the causes of bronchitis?
What are the symptoms of bronchitis?
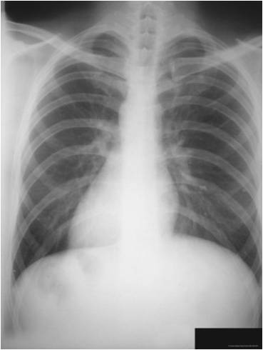
What does this x-ray illustrate?

bronchitis
How do you treat bronchitis? (4)
What is the most common lung disease?
Emphysema
What causes lung destruction of the terminal bronchioles on down to the alveoli?
emphysema
What does emphysema cause to happen to the airways?
Slowly and irreversibly destroys the elastic fibers that hold open the the small airways.
What are the causes of emphsema?
What are the symptoms of emphysema?
Shortness of breath
Impaired ability to exhale
What is the treatment for emphysema?
What is:
bronchiolitis
What are the symptoms of bronchiolitis?
Shortness of breath
Cough
Wheezing
What is the treatment for bronchiolitis?
Antibiotics to treat recurrent infections
Hydration
Chest physical therapy
Steroid therapy
Bronchodilators
What is the:
bronchiectasis
What are the causes of bronchiectasis?
What are the symptoms of bronchiectasis?
What does this image depict?
bronchiectasis
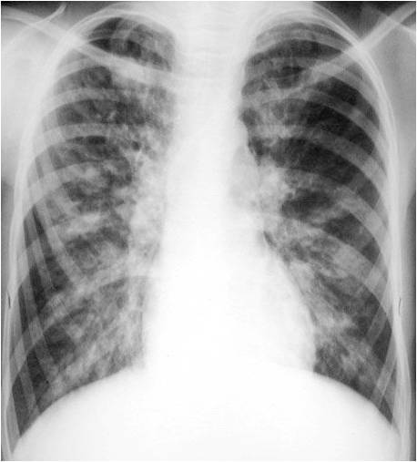
What does this CXR depict?

bronchiectasis
What are the treatments for bronchiectasis?
What type of COPD:
decreased airway lumen due to mucus/inflammation
marked decrease in PaO2
marked increase in PaCO2
increased hematocrit
marked cor pulmonale
prognosis is poor
chronic bronchitis
What type of COPD:
loss of elastic recoil
severe dyspnea
normal hematocrit
good prognosis
emphysema
Name the branching of the bronchial tree from the trachea:
trachea
primary bronchi
secondary bronchi
tertiary bronchi
bronchioles
terminal bronchioles