COPD & Asthma Flashcards

(6) (48 cards)

1
Q

COPD

* Is a chronic condition that can be medically managed but exhibits periods of exacerbation

* Is a disease state characterized by airflow limitation that is not fully reversible

  • This is different than asthma which is reversible
  • However, many people with asthma also have COPD

* Asthma is recognized as a risk factor for COPD (asthma-COPD overlap syndrome)

A

* 15 million Americans have been diagnosed with COPD

How well did you know this?
1
Not at all
2
3
4
5
Perfectly
2
Q

Review of Normal A&P

* Trachea, primary bronchi, cilia, goblet cells, bronchioles, (dead space)

* Gas exchange occurs at the alveolar level and in the normal anatomy, they resemble grape-like structures that have maximum surface contact with the pulmonary capillary bed for maximum gas exchange

* The ___ separates the thoracic cavity from the abdominal cavity and is important in the normal breathing process

A

diaphragm

How well did you know this?
1
Not at all
2
3
4
5
Perfectly
3
Q

COPD involves 2 disease processes that affect airway patency: inflammation of the large and small airways in __ __, and the destruction of lung parenchyma in ___

Regardless of how the disease process manifests, the end result of COPD is a chronic ventilation-perfusion mismatch:

Blood flows past non-oxygenated alveoli (anatomical dead space), resulting in hypoxemia and progressive ___ (increased blood CO2)

Airflow limitation is progressive and is associated with abnormal inflammatory response of the lungs to noxious agents; inflammatory response occurs throughout the airways, lung parenchyma, and pulmonary vasculature
- Scar tissue and airway narrowing

A

chronic bronchitis; emphysema

hypercapnia

How well did you know this?
1
Not at all
2
3
4
5
Perfectly
4
Q

With ___, the mucous glands in the lungs become enlarged 2º to an irritant causing increased mucous production which stimulates coughing

  • Coughing produces inflammation in bronchi and bronchioles causing thickening of walls
  • Ciliary function is reduced and stagnant; mucous may plug airways
  • Chronic [] is defined clinically by the presence of chronic bronchial secretions, enough to cause expectoration, occurring on most days for a minimum of 3 months of the year for 2 consecutive years
A

bronchitis

How well did you know this?
1
Not at all
2
3
4
5
Perfectly
5
Q

___ is a condition where there is permanent destructive enlargement of the air spaces distal to the terminal bronchioles

  • Is an abnormal distension of the air spaces beyond the terminal bronchioles with destruction of the walls of the alveoli
  • Often leaves enlarged, thin-walled air spaces, known as “blebs” when they occur near visceral pleura and “bullae” when they develop in lung parenchyma
  • There’s decreased elasticity of lung tissue
A

Emphysema

How well did you know this?
1
Not at all
2
3
4
5
Perfectly
6
Q

* Decreased alveolar surface area causes an increase in “dead space” and decreased areas for gas exchange

* Reduction of or collapse of the pulmonary capillary bed increases pulmonary vascular resistance and pulmonary artery pressures
- Right side of the heart has to pump blood to the lungs that have increased pressures and over time, the patient may develop cor pulmonale (right sided heart failure)

A

* There’s decreased surfactant production so the risk of alveolar collapse increases

* There’s increased trapping of air related to alveolar destruction and decreased elasticity (due to increased proteases released r/t increased pollutants) to recoil air out of the lungs

How well did you know this?
1
Not at all
2
3
4
5
Perfectly
7
Q

* With emphysema, patients have abnormal, permanent enlargement of the alveoli and terminal bronchioles

* Main types of emphysema include centrilobular and panlobular

A
How well did you know this?
1
Not at all
2
3
4
5
Perfectly
8
Q

?

Effects the entire lung equally

Destroys the lung tissue at the more distal structures and alveolar sacs

A

Panlobular emphysema

How well did you know this?
1
Not at all
2
3
4
5
Perfectly
9
Q

?

Lung destruction begins in the central respiratory bronchioles and extends toward the periphery

As tissue walls disintegrate, bronchioles enlarge and become confluent

Found in long-term smokers; is the more common form; and effects are more severe in the upper lobes

A

Centrilobular emphysema

How well did you know this?
1
Not at all
2
3
4
5
Perfectly
10
Q

* In both types, altered tissue results in reduced elasticity of the lungs, increased dead space, and a heightened risk of airway collapse during expiration, causing airway obstruction

* Destruction of alveoli reduces the surface area at the alveolar-capillary membrane, which decreases gas exchange and reduces surfactant production

___ - gases cross alveoli to capillary bed

___ - airation into lungs

___ - blood gas to cells

A

Diffusion

Ventilation

Perfusion

How well did you know this?
1
Not at all
2
3
4
5
Perfectly
11
Q

?

Are the black areas filled with air on diagnostic imaging

  • Take up a lot of dead space and prevent full exhalation
  • Treatment with thoracoscopic bullectomy; volume reduction surgery with localized area of ___; lung transplant with larger areas
A

Bullae

How well did you know this?
1
Not at all
2
3
4
5
Perfectly
12
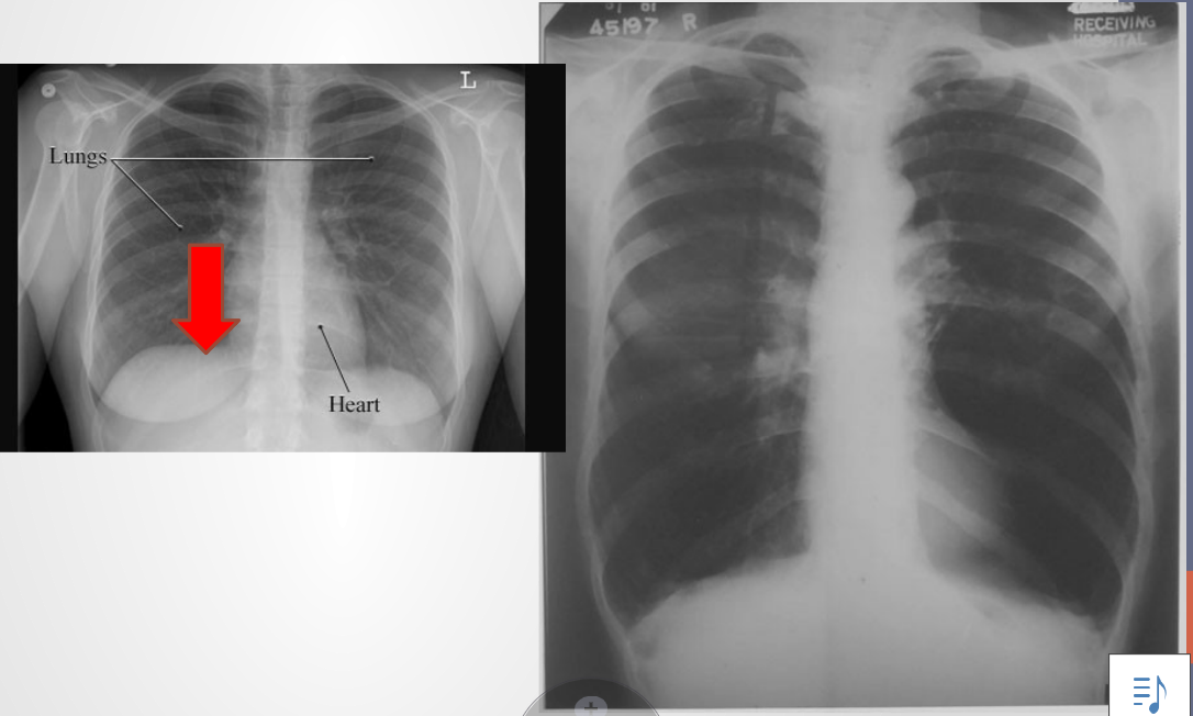
Q

Normal Inspiration

* Diaphragm pulls down and air rushes into the negative space produced

* Intercostal muscles contract and pulls ribs up and out

Normal Expiration

* Diaphragm relaxes, intercostals relax, elastic recoil and ribs return to baseline

A

COPD

With the hyperinflated lungs, patient is unable to exhale and air gets trapped. Diaphragm flattens but ribs remain in an anatomical position of inspiration versus expiration

How well did you know this?
1
Not at all
2
3
4
5
Perfectly
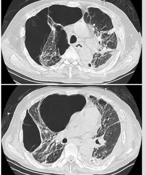
13
Q

The lung with COPD

  • Hyperinflation of the lung (air is darker than lung tissue)
  • Increased space between ribs
  • Less of an angle in the bases; the diaphragm forced down and ribs are forced up and out. Similar to inspiratory position at rest
  • Patient has difficulty taking a deeper breath and needs to force an exhalation. One way to release trapped air is pursed-lip breathing
A
How well did you know this?
1
Not at all
2
3
4
5
Perfectly
14
Q

Risk Factor Cues for COPD

* Tobacco smoke causes 80-90% of COPD cases
* Passive smoking
* Infections
* Occupational exposure
* Ambient air pollution
* Genetic abnormalities (alpha1-antitrypsin (AAT) deficiency)

A

* The only known genetic risk factor is the condition known as alpha1-antitrypsin (AAT) deficiency

  • AAT is a protease inhibitor produced by the liver, which acts predominantly by inhibiting neutrophil elastase in the lungs
  • Accounts for less than 1% of COPD cases in the US
How well did you know this?
1
Not at all
2
3
4
5
Perfectly
15
Q

Diagnostics

* H&P

* PFT, peak flow

* CXR

* ABGs

* Pulse oximetry

* Hgb, Hct, & RBC

* WBC

* AAT levels

A
  • Severity of COPD will be determined by diminished PFT’s and severity of manifestations such as chronic cough, chronic sputum production, and dyspnea
  • ABG - respiratory acidosis because they are unable to exhale retained CO2
  • Pulse oximetry - 88% can be normal for a COPD’er
  • Hgb and Hct must be sufficient for O2 carrying capacity to be optimum - elevated RBC may be evident - compensating for low O2 levels
  • WBC monitored for S&S of infection which can exacerbate an episode
  • AAT - alpha1-antitrypsin (AAT) deficiency - gene mutation (especially the Z/Z formation) can cause COPD) regulates proteases that break down pollutants in the lungs; no AAT ⇢ pollutants build up
How well did you know this?
1
Not at all
2
3
4
5
Perfectly
16
Q

GOLD Classification of COPD Severity

  • GOLD 1: Mild ⇢ FEV1 > or = 80% predicted for person’s weight, height, gender
  • GOLD 2: Moderate ⇢ FEV1 50-79% predicted
  • GOLD 3: Severe ⇢ FEV1 30-49% predicted
  • GOLD 4: Very Severe ⇢ FEV1 <30% predicted
A
  • FEV1 is a measurement in pulmonary spirometry or pulmonary function tests; it is the volume of air exhaled forcibly over 1 second after a full inspiration
  • This is important because people with COPD cannot take a deep breath in. At rest, their lungs/ribs/diaphragm are in a state of constant inspiration
How well did you know this?
1
Not at all
2
3
4
5
Perfectly
17
Q

Signs & Symptoms

  • CO2 narcosis
  • Low pulse oximetry
  • Abnormal ABGs
  • Dyspnea
  • Chest tightness
  • Cough
  • Wheeze/crackles
  • Tachypnea
  • Orthopnea
A
  • Tachycardia
  • Hypertensive
  • MS changes
  • Tripod position
  • Accessory muscles
  • Prolonged expiration
  • Anxiety
How well did you know this?
1
Not at all
2
3
4
5
Perfectly
18
Q

CO2 Narcosis

  • Normally the typical person’s respiratory drive is dependent on an increased blood CO2 (hypercarbia)
  • CO2 goes up and the RR increases
  • In COPD, they live with an elevated CO2 so a decreased O2 level will increase the RR
  • If the patient is hypoxic and oxygen must be given, the risk is giving them too much O2 may shut down their respiratory drive; RR can plummet
A
  • If a higher rate is needed to maintain oxygen saturation at the prescribed level, check the patient at least every 30 minutes for a decreased RR
  • If the rate drops below 10 breaths/min in a patient with COPD, attempt to arouse him or her
  • If he or she doesn’t arouse easily, reduce the oxygen flow and reassess
  • If the RR does not increase or if the SpO2 drops, call the Rapid Response Team
  • These patients usually require lower levels of O2 delivery, usually 1-3L/min via nasal cannula
How well did you know this?
1
Not at all
2
3
4
5
Perfectly
19
Q
  • Dyspnea especially over 50 years of age; may be noted on exertion then progresses to dyspnea at rest; watch for trends
  • Cough may be non-productive or productive; worse in the morning
  • May need to schedule ADL’s later in the morning (after they clear their lungs of mucous but before they are tired from moving around)
  • May have wheeze that probably worsens with activity
  • Orthopnea - how many pillows being used at night?
  • ABG’s
    __ pH
    __ PaO2
    __ PaCO2
    Possibly elevated bicarbonate
A

How well did you know this?
1
Not at all
2
3
4
5
Perfectly
20
Q
  • Mental status changes - anxiety, restless, memory impairment, confusion
  • Tripod position
  • Accessory muscles - nasal flaring, supraclavicular/abdominal/eye brows elevated and intercostal muscles
  • Prolonged expiration - decreased elasticity of parenchyma traps gas in alveoli
  • Anxiolytics are sometimes prescribed for the anxiety that accompanies the feeling of not being able to breathe
A

Signs & Symptoms

  • Peripheral cyanosis
  • Cyanosis - related to hypoxia - seen in a 5 g/dL rise in unoxygenated blood
  • Late sign is oral cyanosis
  • Frequent infections
  • Infections related to increased secretions and steroids
  • Finger clubbing
  • Clubbing related to long-term hypoxia
  • Weight loss
  • Related to inability to eat and breathe at same time
  • ADLs
  • Client too tired to perform on own
21
Q

Complications

  • Pulmonary infection
  • Related to increased secretion and inability to clear
  • Atelectasis or pneumothorax
  • Related to bullae - decreased surfactant production
  • Respiratory insufficiency or failure
  • Pulmonary hypertension/cor pulmonale
  • Pulm htn r/t increased fibrous scar tissue and decreased elasticity of parenchyma (heart is pumping against a brick wall [lung])
A

Right sided heart failure

  • Hypoxia and hypoxemia
  • Increasing dyspnea, fatigue
  • Enlarged and tender liver
  • Warm, cyanotic hands and feet with bounding pulses
  • Cyanotic lips
  • Distended neck veins
  • Right ventricular enlargement (hypertrophy)
  • Visible pulsations below the sternum
  • GI disturbances, such as nausea or anorexia
  • Dependent edema
  • Metabolic and respiratory acidosis
  • Pulmonary htn
  • Respiratory failure may need mechanical ventilation and ICU stay
22
Q

Medications

  • Beta-adrenergic agonists
  • SABA, LABA, anticholinergics
  • Anticholinergics
  • Xanthines
  • Corticosteroids
  • Anti-inflammatories including corticosteroids which are much slower acting than bronchodilators
  • Must be tapered as patient’s pulmonary status improves
A
  • Mast cell stabilizers
  • Leukotriene modifiers
  • Mucolytics
  • Inhaled (Mucomyst) acetylcysteine or PO guaifenesin may be used to liquefy mucous for ease of expectoration
  • Focus is on long-acting medications
23
Q

Asthma leads to dyspnea, chest tightness, cough, and wheezing

  • Affects about 32 million Americans with approximately 4,000 deaths/year
  • 30% prevalence among women and African Americans
  • Is recurrent, chronic, and reversible (which separates it from COPD)
A

3 contributing processes

  1. Increased mucous production
  2. Inflammation of the mucosa
  3. Bronchospasm/constriction
24
Q
  • Asthma has many triggers that can set the immune system into motion
  • When the person is exposed to an allergen, IgE antibodies are released and attach to mast cells
  • They in turn release inflammatory mediators such as histamine and leukotrienes
  • Mediators cause vasodilation and increase blood flow; they increase capillary permeability and inflammation
A
  • There’s impaired mucociliary function with decreased removal of mucous; all with bronchoconstriction
25
Allergens/Triggers * Inhalants - Pollen, dust, air pollutants, fungi, smoke, perfume, animal dander, mold * Foods - Wheat, eggs, milk, chocolate, strawberries, seafood, peanuts, preservatives/additives, MSG * Drugs - ASA, antibiotics, serum * Infectious agents - Bacteria, virus, fungi * Occupational chemicals
* Contact - Poison ivy, poison oak, chemicals * Weather changes - Changes in barometric pressure, humidity, cold, increased ozone * Stress/anxiety * Exercise - Symptoms improve after cessation of exercise, usually no symptoms at night
26
Risk Factors/Comorbidity * Gastroesophageal reflux - aspiration of stomach contents * Small birth size - decreased surfactant production; decreased diameter of bronchioles * Eczema - correlated to allergies/inflammation * Sinusitis/nasal polyps - generalized inflammation to allergens and polyps develops with chronic inflammation * Respiratory infections
27
Signs & Symptoms - Initially: * Cough * Dyspnea * Wheezing - Usually upon expiration; audible wheezes ensure some aeration; absence may mean the bronchioles have completely occluded - *medical emergency* * Prolonged expiration - Air in alveoli has difficulty exhaling through the narrowed airways * Chest tightness * Accessory muscles * Anxiety, restlessness - Increased anxiety d/t feeling of suffocation
Can Progress To * Diaphoresis * Tachycardia * HTN * Hypoxia * Cyanosis - altered mental status * Absence of wheeze/airflow
28
Diagnostics * PEF, FEV1, and FVC decreased (seen on PFT's) - Airway responsiveness to bronchodilators \> Improved FEV1 or PEF by 12% after treatment with a bronchodilator is diagnostic for asthma - Peak flow monitoring PEF: peak expiratory flow - fastest airflow rate reached at anytime during exhalation FVC: forced vital capacity - volume of air exhaled from full inhalation to full exhalation FEV1: forced expiratory volume in 1 second - measured with a peak flow monitor
* H&P - H/o allergens, fhx, tobacco use, work hx * Sputum C&S - R/o infection that can exacerbate attack * Blood - eosinophils, IgE (allergy) * Allergy testing * ABGs - May show initial respiratory alkalosis with a low PCO2 (increased RR and blowing off CO2) - Then as fatigue sets in, CO2 builds and pH turns to respiratory acidosis * CXR - Asthma doesn't show but other issues such as infection or COPD may * Oximetry - Troubleshooting - no nail polish; apical pulse should be same as monitor; ensure fingers are warm
29
Skin Testing * Suspected allergens are injected into skin; a positive allergen injection becomes red and swollen
Prevention/Maintenance * Flu vaccination * Pneumovax * Smoking cessation * Avoid triggers * Anticipate need for respiratory rx's and antibiotics - For example, if exercise-induced bronchospasm, bronchodilator to be used 15 min prior to exercise - Monitor sputum for color and consistency; abx ASAP to avoid exacerbations * Peak flow monitoring/asthma action plan * Maintenance medical management - Preventive/maintenance rx's to prevent inflammatory responses to allergens * Rescue medical management - Rescue rx's are usually fast-acting beta-2 adrenergic agonists
30
Key Features (should be 2x/week or less) * Frequency of daytime symptoms * Activity limitations * Nighttime awakening with symptoms * Worsening PEF or FEV1 - FEV1 decrease of 15-20% expected value for patient based on age, gender, weight * Increased requirement for rescue/relief rx's
Stepwise approach for managing asthma in adults and children
31
Medications Used to Treat ? * Corticosteroids * Leukotriene modifiers * Cromone
Anti-inflammatories
32
? * Beta-2 adrenergic agonists (short and long acting) * Anticholinergics * Xanthines
Bronchodilators \* Albuterol - the most common short-acting bronchodilator
33
Nebulizer * Preferred method for an acute attack - the drug is delivered more slowly and as the bronchioles dilate, the drug gains deeper and deeper access to the lungs
34
Bronchodilators 1. Beta-2 adrenergic agonists Albuterol (Ventolin) Metaproterenol (Alupent) Salmeterol (Serevent) Levalbuterol (Xopenex) * Side effects: increased HR, tremors, restlessness, insomnia, anorexia, HA, hyperglycemia, paradoxical bronchospasm * Antidote: beta blockers
Beta-2 adrenergic agonists work on the beta-2 receptors of the bronchioles to relax smooth muscles and unfortunately, they may also work on beta-1 adrenergic receptors in the heart and increase HR * An increase in HR can compromise circulation causing angina and arrhythmias Short and long-acting versions Many are via inhalers - metered dose inhalers (MDI) preferred with spacer Rinse mouth afterwards to prevent drying out and if with a corticosteroid, to prevent thrush Risk of paradoxical bronchospasm - stop rx immediately
35
Examples of inhalers and spacer
Proper use of MDI - Teaching for patient 1. Remove cap and hold inhaler upright. 2. Shake inhaler. 3. Tilt head back and breathe out slowly. 4. Put lips around spacer mouthpiece. 5. Press down on inhaler and breathe in slowly through mouth. 6. Breathe in slowly and deeply for 3-5 seconds. 7. Hold breath for 8-10 seconds. 8. Repeat puffs as directed. 9. Wait 1-2 minutes between puffs. 10. Rinse and recover. 11. Rinse mouth.
36
2. ? * Causes smooth muscle relaxation, increases cardiac output, dilates blood vessels and increases flow to kidneys \> aminophylline, theophylline (Slo-Bid, Theo-Dur, Bronkodyl, Uniphyl)
Xanthines Side effects: N/V, GI reflux, anorexia, sinus tachycardia, palpitations, increased urination, CNS stimulation \* Therapeutic blood levels usually between 5 and 15 mcg/mL Antidote: activated charcoal
37
3. ? * Causes smooth muscle relaxation by blocking acetylcholine from binding with receptors on the bronchioles \> ipratropium (Atrovent) * Side effects: dry mouth, nasal congestion, heart palpitations, GI distress, HA, cough, anxiety (contraindicated for allergies with atropine or soy lecithin) \> May be combined with albuterol in DuoNeb (an inhaled solution) or Combivent (an MDI)
Anticholinergics
38
Anti-inflammatories 1. ? - Decrease inflammation and mucous production \> fluticasone (Flovent), budesonide (Pulmicort) - Inhalers used for mild to moderate intermittent and moderate asthma \> methylprednisone and prednisone IV and PO for severe asthma
Corticosteroids \* If an inhaled steroid nebulizer is ordered with a bronchodilator, *bronchodilator should be given 5 minutes prior to steroid* so that the bronchioles will dilate and allow more surface area contact for the steroid
39
2. ? - nedocromil (Tildade) - inhibits release of cell mediators - cromolyn sodium (Intal) - prevents mast cells from opening with allergens
Cromones
40
3. ? - montelukast (Singulair), zafirlukast (Accolate)
Leukotriene modifiers
41
4. ? * Block histamine receptors - fexofenadine (Allegra), cetirizine (Zyrtec), loratidine (Claritin), diphenhydramine (Benadryl)
Antihistamines
42
Increased mucous production * Increase fluid intake * Expectorants - guaifenesin (Mucinex) * Decongestants - pseudoephedrine (Sudafed) * Non-productive cough - Antitussives - cough syrup with codeine or hydrocodone \> Dextromethorphan
43
Patient Teaching * The nature of asthma as a chronic/reversible inflammatory disease * Definition of inflammation and bronchoconstriction * Identification of triggers and how to avoid them/smoking cessation * Importance of rescue medications versus preventative medications
* Purpose and action of each medication * Proper inhalation techniques * How to perform peak flow monitoring * How to implement an action plan * Importance of taking maintenance medications
44
Peak Flow Meter (FEV1) * Establish personal best by checking peak flow at least 2x/day for 2-3 weeks when symptoms are controlled
Peak Flow Meter: Highest of 3 measurements 1. Place indicator arrow at the bottom of the numbered scale. 2. Stand up or sit upright. 3. Fill lungs with a deep breath. 4. Close lips around mouthpiece. 5. Blow out as hard and fast as possible in one blow. 6. Write down the number. 7. Repeat steps 1-6 x3. 8. Write highest # in asthma diary. 9. Clean peak flow meter after each use.
45
(Individualized) Asthma Action Plan * Green zone within 80% of predicted values for a gender of a certain height and weight - standardized chart (based on peak flow #'s)
46
Status asthmaticus (*life threatening; can lead to pneumothorax/cardiac arrest*) * Severe, prolonged asthma attack with bronchospasm that does not respond to routine treatment
Status asthmaticus causes * Viral/bacterial infections * ASA, NSAIDs * Pollutants, allergens * Emotional stress * Abrupt d/c of rx's * Abuse of aerosol medications * Ingestion of beta-adrenergic beta blockers * Dehydration
47
Status asthmaticus manifestations * An increase in asthma symptoms * Inability to speak * Cyanosis * Diaphoresis * Respiratory acidosis * Hypercapnia * Hypoxemia * Decrease or cessation in airflow
Status asthmaticus complications * Pneumothorax * Acute cor pulmonale * Muscle fatigue * Cardiac arrest * Respiratory arrest * Death
48
Status asthmaticus treatment * Systemic bronchodilators * Epinephrine * IV steroids/fluids * Supplemental O2 * Mechanical ventilation/ICU * Atropine * Magnesium sulfate * Calcium gluconate