Normal liver attenuation
40-60 HU; >75 HU = hyperattenuating; hypoattenuating = less than spleen on NECT or 25 HU less than spleen on CECT
Hot quadrate sign
SVC occlusion

Empty gallbladder fossa sign
Hepatic parenchyma surrounding GB replaced by fat in early cirrhosis
Criteria for distended GB
> 4 cm
Porcelain GB

Criteria for GB wall thickening
> 3 mm
Thoratrast complications (liver)
Indications for gallbladder polyp removal
> 10 mm
or
> 6 mm + suspicious features
Most common type of gallbladder polyp
Cholesterol polyps
Transplant type with highest incidence of PTLD
small bowel > pancreas > heart & lung
Most common organ involved in PTLD
Liver
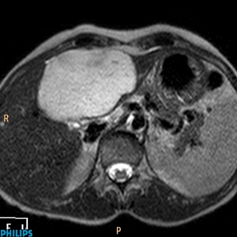
Multiple hepatic adenomas
Von Gierke disease or adenomatosis
Most common hepatitis virus to cause HCC worldwide
Hepatitis B (can occur in acute or chronic HepB infection)
Light bulb sign
Hemangioma - appears very T2 bright

Micronodular cirrhosis
Nodules are < 3 mm
Associated with alcoholism
Macronodular cirrhosis
Nodules are >3 mm
Associated with viral hepatitis
Starry sky pattern
Periportal edema in the setting of hepatitis

Hydatid sand
Echinococcal cyst
Fine sediment caused by separation of membranes
Can occur in liver or spleen

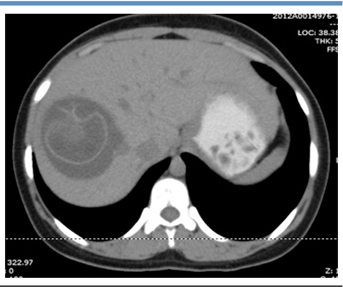
Water lily sign
Echinococcal cyst
Undulating membrane
Can occur in liver or spleen

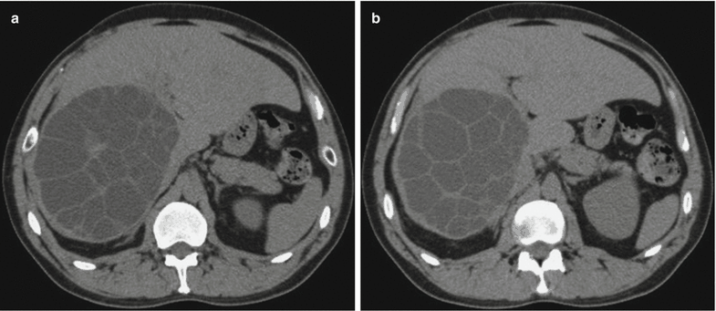
Daughter cysts
Echinococcal cyst within a larger cyst
Can occur in liver or spleen

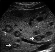
Hepatic candidiasis
Multipe small “targetoid” or “bull’s eye” lesions

Hepatic PCP
Punctate echogenic foci in liver +/- spleen
After inhaled pentamidine

Amebic abscess
Entamoeba histolytica
Characteristic location is near dome of right lobe
Most common complication of amebic abscess
Pleuropulmonary amebiasis (20-35%) > peritoneal, pericardial or renal amebiasis