Córnea Flashcards

(115 cards)

1
Q

Tejido trasparente y avascular que se encuentra en la porción anterior del ojo

A

Córnea

How well did you know this?
1
Not at all
2
3
4
5
Perfectly
2
Q

Dimensión de la córnea

A

10-11 mm vertical
11-12 mm horizontal

How well did you know this?
1
Not at all
2
3
4
5
Perfectly
3
Q

La nutrición de la cornea es de_____ y llega a través de_____

A

glucosa; humor acuoso

How well did you know this?
1
Not at all
2
3
4
5
Perfectly
4
Q

Capas de la córnea

A
  1. epitelio
  2. membrana de bowman
  3. estroma corneal
  4. membrana de Descenet
  5. endotelio
    (6. Capa Dua)
How well did you know this?
1
Not at all
2
3
4
5
Perfectly
5
Q

Innervación de la córnea

A

Nervio trigemino

How well did you know this?
1
Not at all
2
3
4
5
Perfectly
6
Q

Los pasos fundamentales para la exploración de la cornea son:

A

Revisar agudeza visual y error refractivo

How well did you know this?
1
Not at all
2
3
4
5
Perfectly
7
Q

Inflamación de cualquier capa de la córnea

A

Queratitis

How well did you know this?
1
Not at all
2
3
4
5
Perfectly
8
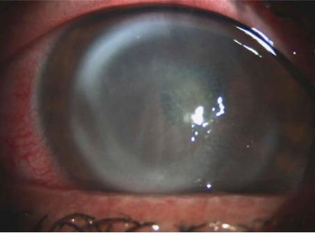
Q

Patología

A

Queratitis infecciosa secundaria a Acanthamoeba

How well did you know this?
1
Not at all
2
3
4
5
Perfectly
9
Q

Causas de las queratitis

A

Física, mecánica o por microorganismo

How well did you know this?
1
Not at all
2
3
4
5
Perfectly
10
Q

Causas más frecuentes de quemaduras corneales

A

Soldar sin mascara
Protección durante esquiar

How well did you know this?
1
Not at all
2
3
4
5
Perfectly
11
Q

síntomas de queratitis térmica o por luz ultravioleta

A

Dolor
Hipersensibilidad a la luz
Ojo rojo
lagrimeo
vision borrosa

How well did you know this?
1
Not at all
2
3
4
5
Perfectly
12
Q

Los síntomas de queratitis térmica o por luz ultravioleta empeoran de ____a_____ despues a la exposición

A

12-24 hrs

How well did you know this?
1
Not at all
2
3
4
5
Perfectly
13
Q

Signos más comunes por queratitis térmica o por luz ultravioleta

A

Hiperemia conjuntival, edema palpebral y defecto epitelial

How well did you know this?
1
Not at all
2
3
4
5
Perfectly
14
Q

Dx de queratitis térmica o por luz ultravioleta

A

Antecedente de expocisión
Con la lampara de hendidura se mostraran tinciones

How well did you know this?
1
Not at all
2
3
4
5
Perfectly
15
Q

Tx queratitis térmica o por luz ultravioleta

A

Ciclopléjicos tópicos + antibiótico + analgesico

How well did you know this?
1
Not at all
2
3
4
5
Perfectly
16
Q

Causas de queratitis por exposición

A

Cualquier factor que limite el funcionamiento de los parpados

How well did you know this?
1
Not at all
2
3
4
5
Perfectly
17
Q

Síntomas de queratitis por exposición

A

Irritación ocular
Dolor ardoroso
Sensación cuerpo extraño
Ojo rojo

How well did you know this?
1
Not at all
2
3
4
5
Perfectly
18
Q

Característica de los síntomas de queratitis por exposición

A

Primeras hrs del día empeora y mejora conforme pasa el día

How well did you know this?
1
Not at all
2
3
4
5
Perfectly
19
Q

Signos de queratitis por exposición

A

Cierre palpebral incompleto
Hiperemia conjuntival con quemosis
Defecto epitelial en lampara con hendidura

How well did you know this?
1
Not at all
2
3
4
5
Perfectly
20
Q

Tx de queratitis por exposición

A

Lubricantes tópicos
Oclusión del ojo

How well did you know this?
1
Not at all
2
3
4
5
Perfectly
21
Q

Causa más común según la literatura anglosajona de queratitis intersticial

A

Sífilis

How well did you know this?
1
Not at all
2
3
4
5
Perfectly
22
Q

Causa más común real de queratitis intersticial

A

Herpes simple
tuberculosis
Sx de Cogan

How well did you know this?
1
Not at all
2
3
4
5
Perfectly
23
Q

queratitis intersticial puede ser uni o bilateral

A

ambas

How well did you know this?
1
Not at all
2
3
4
5
Perfectly
24
Q

queratitis intersticial puede ser la primer_____ de una enfermedad sistémica

A

Manifestación

How well did you know this?
1
Not at all
2
3
4
5
Perfectly
25
Síntomas de queratitis intersticial fase aguda
Sintomas de cuadro inflamatorio ocular abrupto Dolor Disminución de agudeza visual hipersensibilidad a la luz ojo rojo
26
Síntomas de queratitis intersticial fase crónica
Disminución visual y antecedentes síntomas de fase aguda
27
Signos de queratitis intersticial
Edema Vascularización corneal Inflamación de la cámara anterior
28
Signos de queratitis intersticial cronica en lampara de hendidura
Vasos en el estroma corneal con lípidos adyacentes y cicatrización corneal
29
Tx de queratitis intersticial
Esteroides tópicos + rehabilitar visión
30
Queratitis infecciosa más común
Queratitis bacteriana
31
Microorganismos bacterianos que infectan la cornea con mayor regularidad
Staphylococcus, pseudomonas, streptococcus y moraxella
32
Microorganismos bacterianos que infectan la cornea más temido
Pseudomonas
33
Factores de riesgo para desarrollo de queratitis bacteriana
- Lentes de contacto - Enfermedad de la superficie ocular - Trauma - cuerpo extraño
34
patología
Queratitis infecciosa secundaria a estreptococo
35
Dx
Infección corneal grave por pseudomonas
36
Síntomas de infección corneal bacteriana
- Irritación ocular - Secreción mucopurulenta de color amarillo-verdoso - Lesión blanco-gris en cornea - Disminución de la agudeza visual - Edema palpebral
37
Dx
Ulcera bacteriana
38
Dx de queratitis bacteriana
Frotis y cultivo, identificacion de ulcera bacteriana o cualquier infiltrado en el estroma corneal
39
tx empírico de queratitis bacteriana
Antibiótico de amplio espectro como fluoroquinolonas de cuarta generación
40
virus mas comunes de queratitis por infección viral
adenovirus y herpes simple
41
Síntomas de queratitis por infección viral
- Irritacion ocular - Dolor - Hipersensibilidad a la luz - SECRECIÓN ACUOSA (de acuerdo a estadio mucupurulenta) - Ojo rojo
42
Signos de queratitis por herpes
- Lesion dendritica a nivel de la capa epitelial que tiñe con fluoroseina - Cronicidad del cuadro - Hiposensibilidad
43
Signos generales de queratitis viral
Edema a nivel estromal depositos inflamatorios a nivel endotelial
44
Signos de queratitis por adenovirus
- Lesiones subepiteliales difusas numulares (forma de moneda) en cornea - Ganglio periauricular - Foliculos en conjuntiva
45
Tx de queratitis por herpes
Acic lovir/ganciclovir topicos
46
Tx de queratitis por adenovirus
Paliativo con: lubricantes + AINE + cicloplejicos
47
Patogeno más frecuente de queratitis micóticas
Hongos filamentosos (Aspergillus o Fusarium)
48
Un trauma ocular con______ puede ser significativo para contraer queratitis micotica
Vegetales
49
Las queratitis micoticas por levaduras son por que el paciente se encuentra______
Inmunodeprimido o abuso de esteroides topicos
50
Sintomas generales de queratitis micotica
- Dolor - Hipersensibilidad a luz - Ojo rojo - Lagrimeo (es de evolución cronica)
51
Como antecedente para pensar en una queratitis micotica es necesario considerar que el px
Esta inmunodeprimido Trauma con un vegetal Fómite (lentes de contacto) Abuso de esteroides
52
Signos de queratitis micotica
- Lesión infiltrativa opaca - Borde irregular en forma de pluma
53
Como realizar dx diferencial de queratitis micotica
Frotis o cultivo
54
Tx de queratitis micotica
Antimicoticos NUNCA ESTEROIDES
55
Enfermedad autoinmune que más comúnmente produce queratitis
Artritis Reumatoide
56
Sintomas de queratitis autoinmune
- Dolor - Hipersensibilidad a luz - Disminución de la agudeza
57
Signos de queratitis autoinmune
Adelgazamiento del estroma corneal periferico
58
Dx de queratitis autoinmune
Clínico y antecedente autoinmune
59
Tx de queratitis autoinmune
Inmunosupresores topicos + lubricante + antibiótico profiláctico
60
Queratitis caracterizada por alteracion en la sensibilidad y perdida de la homeostasis de la superficie ocular que produce un desequilibrio en los factores proliferativos epiteliales
Queratitis neurotrofica
61
Etiologia más frecuente de queratitis neurotrofica
Cx por LASIK -Neuropatía diabetica - Herpes zooster o simple
62
Sintomas de queratitis neurotrofica
Ojo rojo sensacion cuerpo extraño edema palpebral
63
Dx de queratitis neurotrofica
Prueba de sensibilidad corneal disminuida y defectos epiteliales con lampara de hendidura
64
Tx de queratitis neurotrofica
Reepitelización de cornea con lagrimas artificiales
65
Enfermedad cronica NOO inflamatoria, caracterizada por un adelgazamiento y protrusión de la cornea
Queratocono
66
Etiologias de queratocono
- Mecánica - Genetica - Sx Down, Marfan, Turner - Conjuntivitis vernal o alergica
67
Síntomas de queratocono
Disminución progresiva de agudeza visual Distorsión de imagen (miopía/astigmatismo) Conjuntivitis alergica
68
Signo donde la protrusión corneal produce una distorsión en la forma del parpado inferior
Signo de Munson
69
Signos de queratocono
- Cornea de forma conica - Signo de Munson - Estrias de Vogt - Reflejo en tijera - Hidrops - Gota de aceite - Adelgazamiento corneal progresivo
70
Es la perdida subita y dolorosa de la visión provocado por el paso abrupto del humor acuoso al estroma corneal
Hidrops
71
Dx definitivo para clasificar queratocono
Topografía corneal
72
Tx de queratocono
- Lentes de contacto - Cx (no mejora visión pero detiene el deterioro)
73
Edad de inicio del queratocono
Adolescencia
74
Px que presenta dolor ocular, disminución de la visión, hiperemia, de instauración rapida, SUPRACIÓN y edema, infiltración epitelial y estromal tendría como dx:
Queratitis bacteriana
75
Px que presenta dolor ocular, disminución de la visión, hiperemia, infiltrados de anillo en sello, lesiones satelite corneales, antecedente de trauma VEGETAL, uso de CORTICOIDES o lentes de contacto tiene como dx:
Queratitis micotica
76
Px que presenta dolor ocular, disminución de la visión, hiperemia, ulcera DENDRITICA, areas punteadas, sensación de cuerpo extraño, LAGRIMEO, fotofobia e hiperemia conjuntival tiene como dx:
Queratitis viral
77
Px que presenta dolor ocular, disminución de la visión, hiperemia, queratitis punteada, seudodendritas, infiltrados subepiteliales y perineurales, muy dolorosa y usa de lentes de contacto tiene como dx:
Queratitis parasitaria
78
La degeneración corneal más común es
Geróntoxon
79
Geróntoxon consiste en:
Opacidad periferica de la cornea conocida como arco SENIL por lipidos, es asintomática
80
Geróntoxon se puede presentar a partir de:
40 años
81
Es causa de queratitis por exposición:
Paresia del VII par
82
Ulcera corneal cronica tiene como posibilidad dx:
Ulcera micotica
83
La primera opcion de tx para queratocono es:
Lentes de contacto gas permeable
84
La trasparencia de la cornea es dada por:
Endotelio córnea 
85
Bomba del endotelio córneal:
sodio-potasio ATP asa
86
Si el endotelio corneal se daña se puede
Opacar la córnea
87
La cornea contribuye un 74% o _____ dioptrías del total que son 58.60
43.25
88
Lo defectos epiteliales generan
dolor y mucho lagrimeo
89
El ojo seco que defecto del epitelio da:
queratopunteada
90
La presión intraocular se toma a través de la
Córnea
91
Grosor de la córnea:
550 micras
92
Epitelio de la córnea:
Epitelio escamoso estratificado no queratinizado
93
Cada cuanto se cambia el epitelio de la córnea:
14 días
94
Tipos de colágeno en la membrana de Bowman:
Colágeno tipo I, V y VI
95
Ocupa el 90% del grosor córneal:
Estroma
96
Lesión epitelial más común:
erosión epitelial punteada 
97
Las lesiones epiteliales superficiales son:
Erosión epitelial punteada Queratitis epitelial punteada Edema epitelial
98
Crecimiento subepitelial inflamatorio o degenerativo de tejido fibrovascular desde el limbo:
PANNUS
99
La queratitis ________ es edema en un solo sector en forma de disco y es comúnmente por virus herpes
disconforme
100
Cuando se vasculariza el estroma hay que descartar infecciones como:
sifilis, enf autoinmune, viral
101
Las lesiones de Descemet pueden ser:
Rupturas: daño obstétrico, queratocono Pliegues: traumatismo quirúrgico, hipotonía ocular
102
Para evaluar Forma, tamaño de las celulas se usa:
microscopia especular 
103
Para evaluar grosor de la córnea se utiliza la:
Paquimetria
104
La topografía corneal estudia:
Asimetria, grosor, distancias de las capas
105
Pentacam es un estudio de topografía corneal que ayuda a establecer si el px se puede
Operar o no
106
La aberrometria corneal ayuda a detectar los defectos producidos...
post-cx
107
Dx
Queratitis por herpes con dendrita
108
Dx
Queratitis micotica
109
Dx
Queratocono prominente
110
Dx
Signo de Munson
111
Dx
Queratocono con estrias de Vogt
112
Signo y dx
Anillo de Fleischer por queratocono
113
Signo y dx
Hidrops agudo en queratocono
114
Dx
Arco senil
115
Células de la córnea
Queratocito