Coro-scanner Flashcards

(6 cards)

1
Q

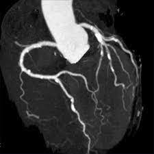
Coro-scanner: sert à quoi ?

A

. permet de visualiser, après injection, les artères coronaires.

How well did you know this?
1
Not at all
2
3
4
5
Perfectly
2
Q

Coro-scanner: se réalise comment ?

A

. au cours d’un TDM AVEC injection

How well did you know this?
1
Not at all
2
3
4
5
Perfectly
3
Q

Coro-scanner: inconvénients

A

. irradiant

. avec injection (avec ses contre-indications)

. couteux

How well did you know this?
1
Not at all
2
3
4
5
Perfectly
4
Q

Coro-scanner: VPN

A

. Il a une très bonne VPN

. si examen normal => on peut écarter une maladie athéromateuse coronarienne significative avec certitude

How well did you know this?
1
Not at all
2
3
4
5
Perfectly
5
Q

Coro-scanner: VPP

A

. la VPP est faible

. si l’examen retrouve une sténose, il faudra réaliser un test d’ischémie pour objectiver une ischémie avant de réaliser une coronarographie

How well did you know this?
1
Not at all
2
3
4
5
Perfectly
6
Q

Coro-scanner: utilité

A

. examen se situant à mi-chemin entre le dépistage et le diagnostic positif.

How well did you know this?
1
Not at all
2
3
4
5
Perfectly