What are the causes of an acute dry and productive cough?
Acute dry cough:
Acute productive cough:
What are the causes of chronic dry and productive cough?
Chronic dry cough:
Chronic productive cough:
What are the causes of mixed dry and productive cough?
Mixed dry cough:
Mixed productive cough:
What type of cough is usually present in heart failure?
What type of cough is usually present in asthma?
What is the definition of pneumonia?
What are the 3 different types?
an infection of the alveoli in the lungs
it is a lower respiratory tract infection
What are the 3 most common causes of community-acquired pneumonia?
What are the common causes of atypical pneumonia?
What are the 3 most common causes of hospital-acquired pneumonia?
How is this defined?
HAP is defined as acquiring pneumonia after being in hospital for at least 48 hours
What is aspiration pneumonia and what causes it?
What are the general risk factors for pneumonia?
What are the associated features of Staph aureus and Klebsiella causing hospital-acquired pneumonia?
they are both associated with cavitating lesions
it is a gas-filled area of the lung in the centre of a nodule or area of consolidation
this looks like an abscess with an air-fluid level inside

What specific feature is pneumonia caused by Mycoplasma pneumonia associated with?
it is associated with transverse myelitis
this is inflammation of both sides of one section of the spinal cord

What specific features is pneumonia caused by Legionella pneumophilia associated with?
What are the normal symptoms associated with typical pneumonia?
What are the symptoms associated with atypical pneumonia?
What clinical signs would you expect to be present on inspection of someone with pneumonia?

What would you expect to see on palpation, percussion and auscultation in someone with pneumonia?
Palpation:
Percussion:
Auscultation:
What key feature can make someone more susceptible to atypical organisms that cause pneumonia?
being immunocompromised
this can include someone who takes regular steroid medications
What investigations would be done in pneumonia?
Bedside tests:
Blood tests:
Imaging:
What would the blood test results look like in someone with pneumonia?

If atypical pneumonia is suspected, what additional tests are performed to identify the causative organism?
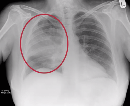
What are the 2 different types of pneumonia on a chest X-ray?
Lobar pneumonia:
Bronchopneumonia:

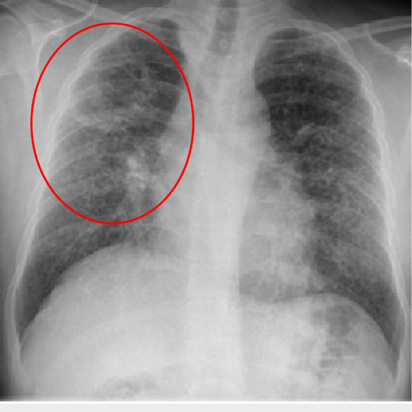
What type of pneumonia is shown in this image?

this image shows lobar pneumonia