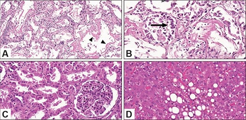
COVID - Lesão pulmonar - infiltrado mononuclear nos septos alveolares

deposição de fibrina e membranas hialinas em alvéolos (FIGURA A), acompanhados de hiperplasia de pneumócitos do tipo II (FIGURA B)
Na fase fibrótica, há organização e obliteração dos alvéolos por tecido cicatricial.
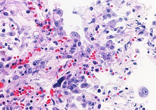
Relação covid - pulmão - megacariocitos - trombocitopenia

Pulmão: efeito citopático viral e megacariócitos aumentados no pulmão
Estudos anteriores mostram que o pulmão pode ser um dos órgãos onde os megacariócitos maduros liberam plaquetas e que a trombocitopenia em pacientes com infecção por SARS-Cov-2 pode estar associada diretamente ao dano pulmonar
Formação de Trombos

(1) resposta inflamatória ao vírus, que induz ativação endotelial e tem ação pró-trombótica;
(2) ativação plaquetária
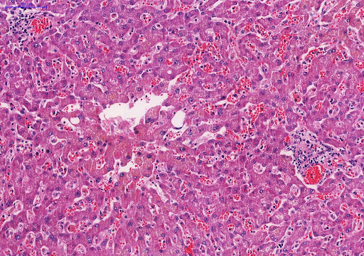
No fígado, as principais alterações são esteatose macrovesicular discreta a moderada

infiltrado mononuclear lobular e periportal, congestão e dilatação sinusoidal periportal e centrolobular
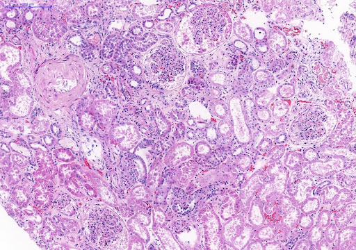
Sistema urinário.
O SARS‐CoV‐2 infecta células dos glomérulos e túbulos renais e causa um tipo particular de glomeruloesclerose segmentar e focal (glomerulopatia colapsante) e microangiopatia trombótica

túbulos mostram dilatação, degeneração vacuolar, redução da borda em escova e necrose de células nos túbulos proximais
Focos de infiltrado inflamatório mononuclear e de fibrose também podem ser observados.
Foco de necrose pode ocorrer em consequência da vasoconstrição intensa induzida pela Angiotensina II.
Mecanismos de expulsão do agente agressor:
Assoar
Fungar
Pigarrear
Espirrar
Tossir
Transporte mucociliar
Relação Covid - Receptor ECA2 - SRAA

Mecanismos inflamatorios desencadeados pelo COVID

Diagnostico

Primeiros dias: RT PCR
8-10d : RT PCR e IgM
12-14d : IgM e IgG
Lembrar: isolamento especifico é no local na infecção primaria
Ex: lavado nasofaringeo SWAB